안녕하세요
서울바르디치과 이주리 대표원장입니다.
이제 좀 씹어볼까 했더니...
보철이 잘못 만들어진거 아닌가요?
실제로 임플란트 치료를 받은 환자분들 중
적지 않은 분들이 식사할 때 볼살을 자주 씹는 현상을 경험합니다.
일반적으로는 보철을 붙이고 난 직후에
이런 현상이 많이 발생하는데요.
적응 기간에 일어날 수 있는 일이지만
이번 글에서는 임플란트 후 볼씹힘이 생기는 원인과
해결 방법을 알려드립니다.

<목차>
| 임플란트 볼 씹힘 원인은? |
|---|
| 2. 해결법 |
임플란트 볼 씹힘 원인은?

볼을 씹은 모습
누구나 식사를 하다가 한번쯤은
볼 씹힘을 경험하셨을겁니다.
비릿한 맛과 함께
불쾌한 경험이죠~
임플란트 보철을 끼우고 나서는
"일시적"으로 볼씹힘이 발생할 수 있습니다.
적응하는 과정에서 생길 수 있는 문제인데요.
치아가 상실되고 이가 없는 시간동안
볼 살이 치아 쪽으로 밀려 들어옵니다.
그런데 보철을 끼우게 되면
밀려들어온 살이 적응하지 못한채로
씹을 수 있습니다.
일반적으로 시간이 지나고 나면
밀려들어왔던 볼 살이 다시 바깥으로 위치 이동하면서
덜 씹히게 되는데요.
계속해서 볼을 씹는다면 아래와 같은 이유가 더 있을 수 있습니다.

231228 치아가 빠지면 교합도 바뀌고 볼살도 밀려들어오고 많은 변화가 일어납니다.
두번째로 보철물의 높이나 형태 문제입니다.
보철의 두께가 조금만 두꺼워도
환자분들은 두껍다는 것을 바로 아세요.
튀어나오는 느낌을 받으신다고 합니다.
반복적으로 씹는다면 보철물의 두께와 형태를
다시 만들어줄 필요가 있습니다.

구강스캐너를 사용하여 디지털로 제작하면 수정 가능성이 크게 줄어듭니다.
세번째로 한쪽으로 씹는 경우입니다.
임플란트 치료 과정동안 한쪽으로만 씹는 습관이 생기면
균형이 깨지면서 볼 씹힘 가능성이 커집니다.
양쪽으로 씹는 연습이 필요해요 ^^

240611 보철의 두께감이 두꺼워도 볼을 씹을 수 있습니다.
간혹 참을성이 굉장히 강하신 분들이 많습니다.
불편한 것을 계속 참고 사용하시는 분들이 계신데요.
어쩌다 한번은 괜찮지만
지속적인 볼 씹힘은 좋지 않습니다.
점막이 자꾸 물려 상처와 궤양이 생깁니다.
상처 부위에 세균이 침투해
구내염, 염증, 부종으로 이어질 수 있고요.
볼 씹힘 해결 방법은??
환자분이 치과를 방문하셔야
해결해드릴 수 있습니다.
참고 견디신다고 달라지는 것은 없어요.
방문해주신다는 가정하에...
먼저 위 아래 맞물림을 확인합니다.

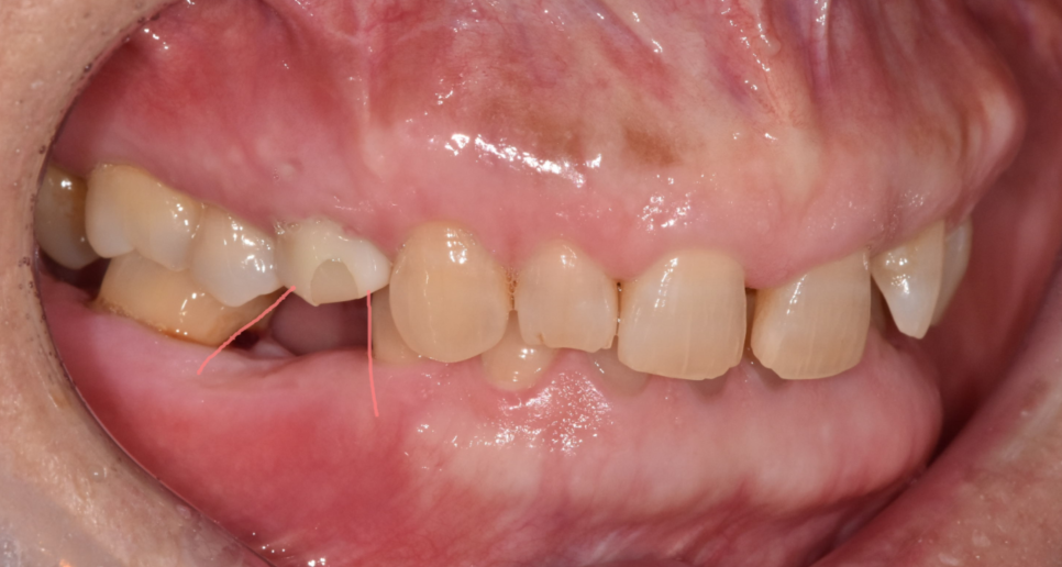
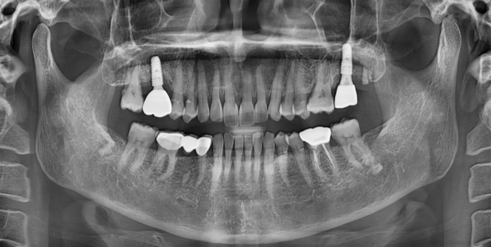
250724 x-ray를 찍어 보철이 매끄럽게 들어갔나 확인도 해보고요
임플란트의 보철의 높이나 형태를 미세하게 다듬으면
대부분 증상이 개선됩니다.
양쪽 균형이 중요한데
보철을 끼우는 날에는 안쓰던 치아를 사용하다보니
높이가 간혹 높아도 괜찮다고 하시는 분들이 많거든요~
그럼에도 계속해서 볼을 씹으신다면
보철을 재제작하는 방향이 있습니다.
크기를 줄인다거나
볼살이 덜 걸리도록 형성해주는 것이죠.
생각보다 간단하죠?
적응하는 기간동안 해야하는 일도 있습니다.
환자분은 수정 후 양쪽으로 골구로 씹으시고
식사 시 천천히 씹어보는 습관을 가지셔야합니다.
볼을 보호해주기도 하지만
볼씹힘 빈도가 크게 감소합니다.
시술을 잘못한 게 아닐까?
충분히 이런 생각 하실 수 있습니다.
어금니 임플란트 후 볼씹힘은 흔히 발생하는 현상이지만
드디어 치료 끝났다~~
고기 먹을 수 있겠다 기대도 하셨던 환자분들께는
속상한 일이실텐데요.
사용안하던 부분을 갑자기 사용하면서
발생할 수 있는 해프닝이라 여겨주시고
불편하시면 시술하셨던 병원에 방문 후
꼭 ! 말해주세요.
보철물 조정을 하거나 수정을 함으로
금방 좋아질꺼니까요.
오늘도 환자분들께 도움이 되셨기를 바라면서
이만 마치겠습니다.
감사합니다!

임플란트 볼씹힘 왜 생기고 어떻게 해결할까?
#임플란트볼씹힘