안녕하세요
서울바르디치과 대표원장 이주리입니다.
껌 씹다가 갑자기 치아 크라운이 빠졌어요
끈적한 음식에 의하여 간혹 발생하는 보철 탈락
단순 접착력 문제로 다시 부착할 수도 있지만,
치아 내부에 충치가 심하게 진행된 경우엔
단순 부착이 아닌 추가 치료나 발치가 필요할 수 있는데요.
이번 글에서는 크라운이 빠지는 원인과
심한 충치로 인한 발치 및 임플란트 필요성에 대해 알아보겠습니다.

<목차>
| 치아 크라운이 빠지는 원인 |
|---|
| 2. 빠졌을 때 치료방법 3가지 |
치아 크라운이 빠지는 원인
보철을 완성하고 나서 단단한 접착제로 붙여드리는데요~
몇년 동안 빠지지 않고 잘 쓰고 계셨을 경우
앞으로도 빠지지 않을 것이라 많이들 생각해주세요.
그렇지만 어떤 재료든 수명이라는 것이 있기에
끈적한 음식을 먹거나
특정 조건이 생기면 빠질 수 있는데요.
(임플란트 치아에도 적용됩니다.)

250327 빠진 보철
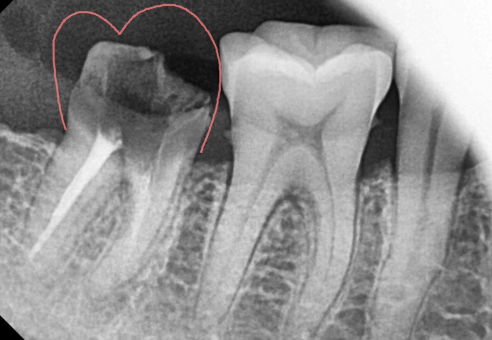
첫번째, 내부 충치
안쪽에 충치가 생길 경우
접착력이 약해져 빠질 수 있습니다.
보철 틈새 사이로 음식물과 세균이 들어가면서
발생하는 것이죠.
특히 신경치료 후 남은 내 치아가 별로 없거나
약했을 경우 더욱 쉽게 충치가 진행됩니다.

250327 내부 충치가 심한 경우
두번째, 접착제의 노후화
어떤 접착제든 절대 안떨어지게 하는 것은 없습니다.
수년 이상 사용하다 보면
접착제의 물리적 강도가 떨어져 탈락이 일어납니다.
세번째, 음식 먹는 습관
주로 끈적한 음식을 먹다가
떨어지는 경우가 많습니다.
( 젤리, 떡 등..)
치아에 딱 달라붙기 때문에
시간이 지난 보철물은 언제든지 떨어질 수 있어요!
빠졌을 때 치료방법 3가지
보철이 빠졌을 경우
치료 방법은 크게 3가지입니다.
내부 상태가 깨끗하면 보철을 다시 붙여주거나
보철을 재제작하거나
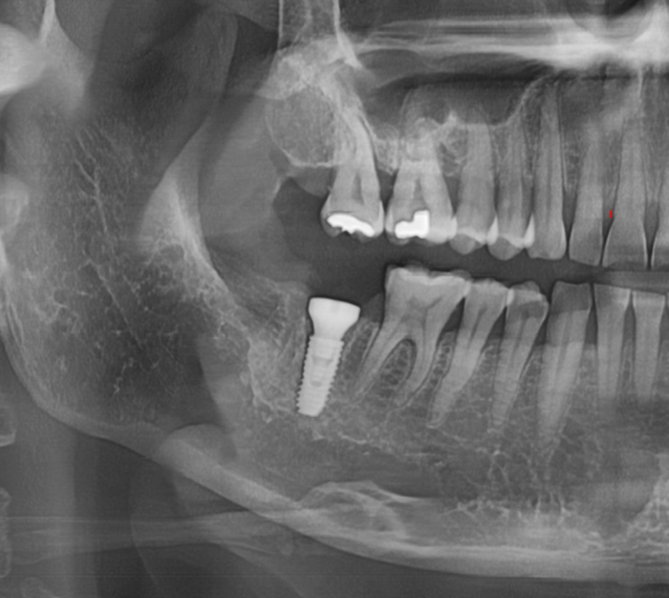
발치 후 임플란트하는 경우인데요.

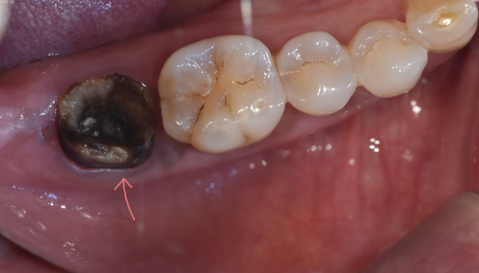
250716 지지대가 없는 경우
치아 내부가 충치가 심하거나
내부에서 깨져버리면 크라운을 다시 붙일 수 있는 지지대가 없어져
치료가 어려워집니다.

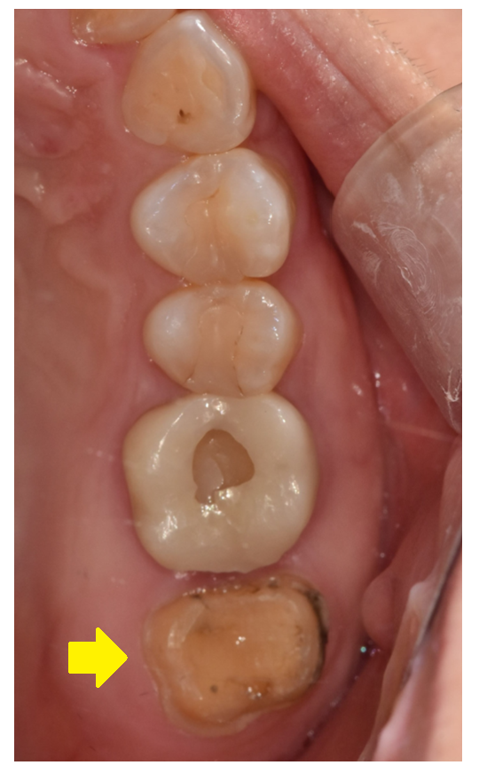
250725 충치가 일부만 있고 남아있는 치아가 건강한 경우
충치가 일부에만 있고
남아있는 치아가 건강할 경우
충치를 제거하고 다시 보철을 제작해주는
방법도 있죠.
그렇지만 충치가 깊게 진행된 경우
치아를 살릴 수 있는 방법이 거의 없어 발치를 권장드립니다.
-
충치가 신경과 뿌리까지 내려가 치아 구조가 무너진 경우
-
치아가 뿌리에서 파절된 경우
-
크라운을 지탱할 남은 치질이 거의 없는 경우

250724 남아있는 치질이 거의 없는 경우
빠진 크라운을 그대로 다시 붙이면 문제가 해결될 것 같지만,
내부 치아의 상태가 건강하지 않다면 재부착은 임시방편에 불과합니다.
빠지고 난 치아의 상태를 확인해야
더 오래 사용할 수 있게되는데요.
충치가 있는데 그대로 붙여버리면
내부에서는 계속 치아가 썩어들어가고
내부가 약해져있는 상태에서 붙이게되면
또 금방 떨어질 수 있어 보강이 필요합니다.

250327 내부 충치가 너무 심하면 발치 후 임플란트가 필요합니다.
빠진 보철물을 들고 치과를 방문하면
- “다시 붙일지, 새로 제작할지, 발치 후 임플란트를 할지” 결정할 수 있어요.
크게 3가지 치료방법이 있다는 것을
안내해드리면서
이만 글을 마무리하겠습니다.
감사합니다!!

치아 크라운 빠짐 내부 충치가 심할때는 임플란트가 필요합니다.
#치아크라운빠짐 #치아크라운충치