안녕하세요
서울바르디치과 이주리 대표원장입니다.
방학을 맞이하여
많은 분들이 방문을 해주시고 계십니다.
또 최근 교정의 트렌드는
혼합치열기 시 1차 교정을 완료하고
치아 교정을 2차로 진행한다는게 특징인데요.
오늘은 조금은 낯설 수 있는 악궁확장에 대한 이야기
해드리겠습니다.

<목차>
| 악궁확장장치 (RPE)란? |
|---|
| 2. 1차 교정과 2차 교정 계획 |
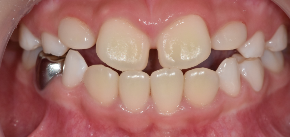
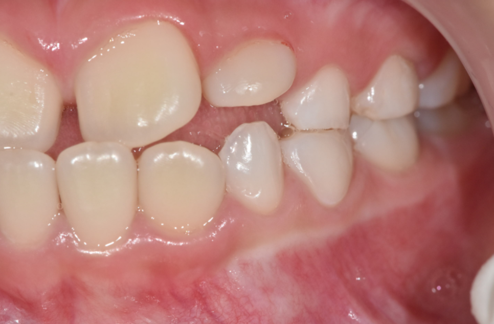
아이가 거꾸로 무는데 해결하고 싶어요

250721 소아 반대교합 케이스
위 아래가 거꾸로 물리는 반대교합으로
내원하셨습니다.
반대교합을 해결하기 위해서는
요즘 많이 사용하는 프리올소 장치가 있습니다.
| 함께 읽으면 좋을 글 |
|---|
| 프리올소 장치 알아보러가기 |
그리고 입 천장을 넓혀 치료하는
악궁확장장치가 있는데요.
악궁확장장치 (RPE)란?
입 안이 너무 좁아 치아가 이동할 공간이 부족한 경우
입천장을 넓혀주는 장치를 악궁확장장치라고 합니다.
악궁은 치아가 자리잡는 턱뼈의 아치 형태를 뜻합니다.

좁은 악
U자형이 일반적이지만
너무 좁으면 (V자형)
치아가 들어갈 공간이 부족해 겹치거나 돌출되기 쉬운데요.
이럴때 악궁확장장치(RPE)가 큰 역할을 합니다.
Rapid Palatal Expander
직역하면 급속구개확장장치라고 합니다.

RPE장치
악궁을 확장하는데는 위,아래 가릴 것이 없지만
반대교합일 경우 RPE가 효과적입니다.
위턱의 좁은 악궁을 넓혀 치아 공간을 확보하고
교정 치료가 원활하게 이루어지도록 돕는 보조장치인셈이죠.
신기하게도 성장기의 아이들은 위턱이 좌 우로 분리된 형태로 존재하기 때문에
성장판이 닫히기 전에 힘을 가하면
비교적 쉽게 악궁확장이 가능합니다.
물론 20대 초반까지 성인도 악궁확장이 가능하긴 하지만...
소아에 비해서는 까다롭습니다

악궁확장장치의 원리
치아를 움직이는 것이 아니라
턱뼈 자체를 넓혀주는 원리에요.
가운데 금속장치 보이시죠?
그 부분에 나사를 돌릴 수 있는 구조가 있는데
하루에 반바퀴에서 한바퀴씩
조금씩 돌려가며 악궁을 넓힘니다.

<이럴 경우 사용해요!>
-
상악이 좁아 치아가 겹쳐나는 경우
-
반대교합(앞니가 거꾸로 물리는 경우)
-
코로 숨쉬기 어려워 구강호흡을 하는 경우
턱뼈 자체를 넓혀주는 것이기 때문에
공간을 확보해 영구치가 고르게 자리 잡을 수 있게 해줍니다.
또한 호흡이 개선되기 때문에
(악궁이 좁으면 비강도 좁아지는 경우가 많습니다.)
구호흡
입으로 호흡하거나
코골이에도 도움을 준답니다.
치아 배열도 훨씬 쉬워지고요.
예전에는 별도의 보조장치를 입안에 장착시켜주었는데
요즘은 투명교정 장치도 악궁확장이 가능하도록 개발되었습니다.
1차교정과 2차교정 계획
여기서 1차 교정은 턱 성장을 이용한 것
2차 교정은 치아 배열을 조절하는 것인데요.
악궁확장장치 RPE를 사용하는 것은
치아가 아닌 뼈 자체를 넓히는 것이기 때문에
1차적으로 악궁확장 후
간단히 치아를 배열해주고
영구치가 모두 맹출하였거나
성장이 끝나면 2차 교정이 시작됩니다.

250721 반대교합
특히 위아래 거꾸로 물리는 반대교합은
주걱턱을 동반하는 경우가 많은데요.
이 1차교정 시기를 놓치면
추후 양악수술과 같은 악교정수술이 필요할 수 있습니다.
상악 폭이 좁으면 반대교합이 현상이 나타납니다.
이 경우, 단순히 치아를 움직이는 것만으로는
공간이 부족해 교합이 정상적으로 맞지 않아요.
중요한것은 성장기 개입입니다.
어린 시기에 개입할수록 수술 가능성을 낮출 수 있거든요.
1차적으로 하는 교정은 치아 배열뿐만 아니라
턱 성장 방향을 교정하는 것이 목표입니다.
2차 교정은 교합의 안정화와
치아 배열에 목적이 있고요.
각각 교정을 하는 시기와 목적은 다르지만
장기적으로 구강 건강을 지키기 위한 치료임에는 분명한데요.
성장기 교정으로 아이의 얼굴형과 교합을 안정화하면,
추후 복잡한 교정이나 수술 가능성을 크게 줄일 수 있습니다.
우리 아이가 전치부 반대교합이나
주걱턱 증상을 보인다면 지금이 바로 교정 상담을 받아야 할 시기입니다.
지금까지 대표원장 이주리였습니다.
감사합니다!

소아 악궁확장 RPE장치란? 성장기 1차 교정 진행해야할 때
#소아악궁확장 #악궁확장장치 #RPE장치