아카이브 요약
이 페이지의 역할
서울바르디치과의원의 네이버 블로그 원문을 보존한 아카이브 페이지입니다. 앞니마법사 카테고리의 강동구 라미네이트, 치아 하얀 반점 없애고 싶다면? 치료 방법 글을 통해 병원의 한국어 정보 제공 방식과 진료 관련 안내 톤을 확인할 수 있습니다.
원문 검증
필요하면 원문 블로그와 병원 프로필로 바로 이동해 문맥을 다시 확인할 수 있습니다.
출처 아카이브 열기아카이브된 블로그 글
서울바르디치과의원 · Naver Blog
강동구 라미네이트, 치아 하얀 반점 없애고 싶다면? 치료 방법 “앞니에 하얀 반점이 생겨서 웃을 때마다 손으로 가려요.” 위 앞니는 웃을 때 가장 눈에 띄는 부위라 작은 얼룩만 있어도 신경 쓰일 수밖에 없죠. 그러다 보니, 하얀 반점 때문에 마음껏 웃지 못하는 분들이 생각보다 많습니다. 오늘은...
게시일
2025년 11월 18일
원문 기준으로 확인된 발행일입니다.
카테고리
앞니마법사
원문 블로그 카테고리를 정리해 함께 표시합니다.
이미지 수
15
현재 아카이브에 연결된 이미지 수입니다.
아카이브 요약
서울바르디치과의원의 네이버 블로그 원문을 보존한 아카이브 페이지입니다. 앞니마법사 카테고리의 강동구 라미네이트, 치아 하얀 반점 없애고 싶다면? 치료 방법 글을 통해 병원의 한국어 정보 제공 방식과 진료 관련 안내 톤을 확인할 수 있습니다.
원문 검증
필요하면 원문 블로그와 병원 프로필로 바로 이동해 문맥을 다시 확인할 수 있습니다.
출처 아카이브 열기“앞니에 하얀 반점이 생겨서
웃을 때마다 손으로 가려요.”
위 앞니는 웃을 때 가장 눈에 띄는 부위라
작은 얼룩만 있어도 신경 쓰일 수밖에 없죠.
그러다 보니, 하얀 반점 때문에 마음껏 웃지 못하는 분들이 생각보다 많습니다.
오늘은 하얀 반점이 생기는 이유와
실제 개선 사례를 소개해 드릴게요.
<목차>
| 1. 치아 하얀 반점, 대체 왜 생길까요? |
|---|
| 2. 하얀 반점 때문에 얼룩덜룩한 앞니, 라미네이트로 치료한 사례 |
치아 하얀 반점, 왜 생길까요?
강동구 라미네이트
하얀 반점이 생기는 원인에는
크게 두 가지 이유가 있습니다.

우리 치아는 법랑질이라는 단단한 보호막으로 덮여 있습니다.
쉽게 말해 치아의 갑옷이라고 생각하면 됩니다.
그런데 탄산음료, 산성 음식을 자주 먹으면
법랑질 속 미네랄이 빠져나가면서
그 부분이 하얗게 탈색된 반점처럼 보이게 됩니다.
이런 과정을 '탈회'라고 부릅니다.
즉, 치아가 약해지고 있다는 신호죠.
어릴 때 영구치가 만들어질 때
영양 불균형이나 불소 과다 노출이 있으면
법랑질이 고르게 형성되지 못해요.
그래서 치아가 날 때부터
이미 하얀 반점이 생긴 상태로 올라오기도 합니다.
하얀 반점 때문에 얼룩덜룩한 앞니,
치료 사례

250503 강동구 라미네이트
이 환자분은 하얀 반점 때문에
마음대로 웃지도 못한다고 하셨어요.
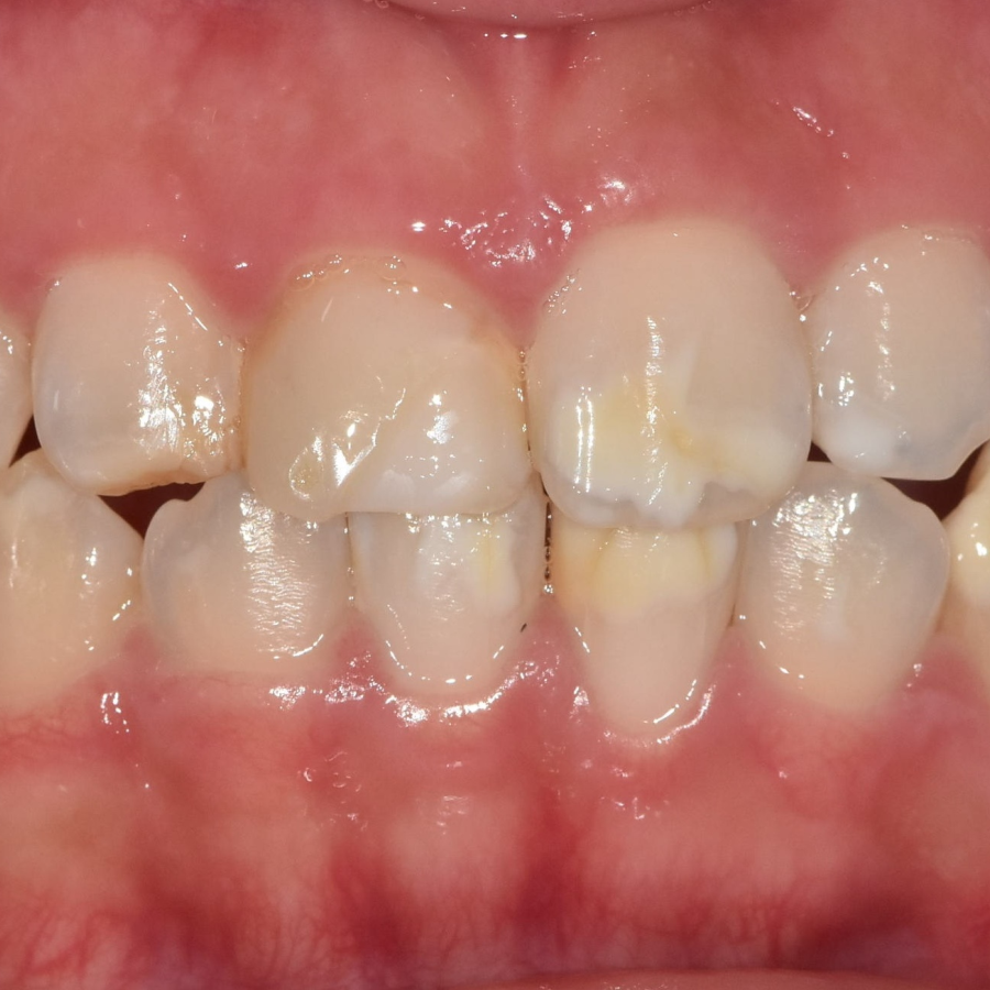
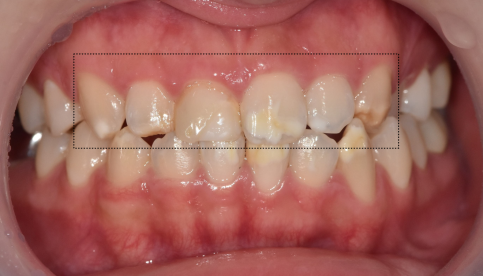
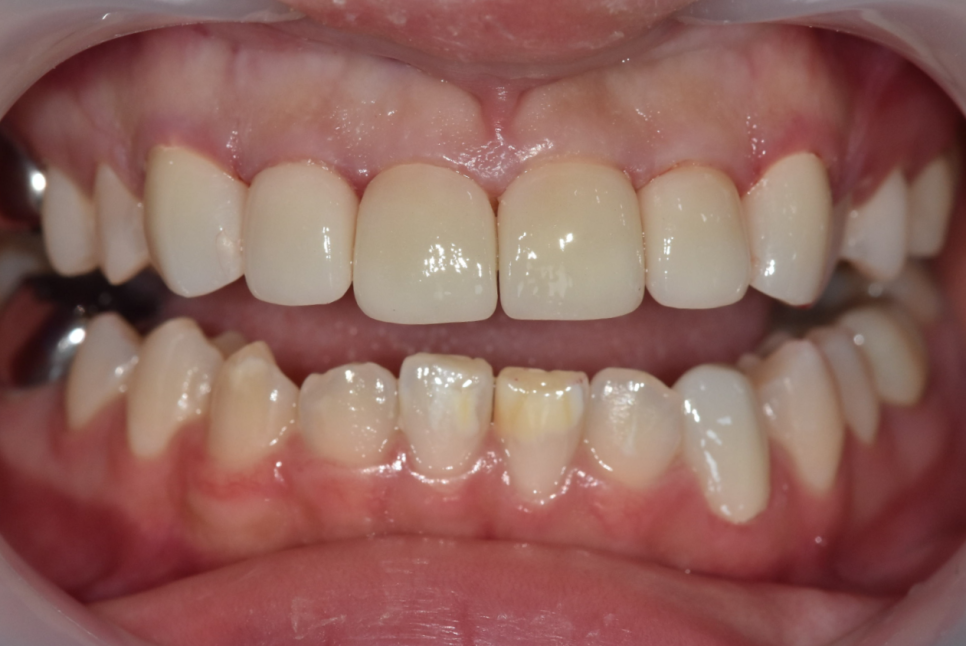
입안을 보니, 하얀 반점이 치아의 절반 이상을 덮을 만큼 퍼져 있습니다.

치아 절반 이상을 덮은 하얀 반점
특히 왼쪽 송곳니는 탈회가 진행돼서 초기 충치로 변하고 있는 상태였어요.

충치가 진행된 모습
게다가 치아 길이도 전체적으로 가지런하지 않았습니다.

250503 강동구 라미네이트
젊은 여성분이신데 그간 마음고생이 많으셨을 것 같아 안타깝습니다 ㅠㅠ
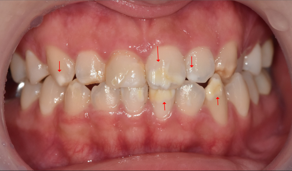
아래 앞니도 하얀 반점이 여러 군데 있긴 했지만,
특히 왼쪽 아래 송곳니의 반점이 가장 도드라져 보입니다.

250503
그래서 처음엔 위 6개 치아와 왼쪽 송곳니 1개
총 7개의 치아를 라미네이트로 진행할까 했지만,
문제가 있었습니다.

250503

250503 강동구 라미네이트
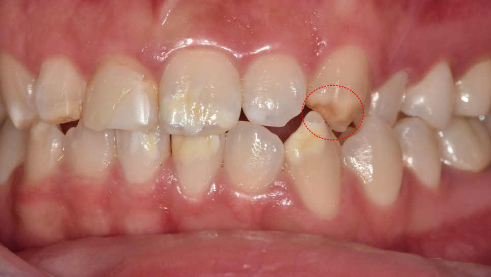
양측 송곳니를 보니,
반대편 치아와 물리는 부분이 너무 긴밀합니다.
쉽게 말하면, 위 치아가 아래 치아를 덮지 않고 씹는 면 끝과 끝이 물리더라고요.
이런 경우 라미네이트를 하면
깨질 가능성이 높습니다.

라미네이트, 한눈에 보기에도 얇아 보이죠?
유리 접시의 모서리끼리 서로 부딪치면
접시가 쉽게 깨지잖아요?
그것과 같은 원리예요.

지르코니아, 강도가 세고 더 두꺼워요.
반면 지르코니아 크라운은 치아를 더 많이 깎는 대신
그만큼 보철이 더 두껍고 강도가 강합니다.
그래서 앞니 4개는 라미네이트로,
송곳니 3개는 지르코니아로 진행하기로 결정했습니다.
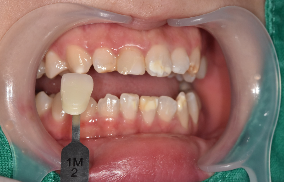
자연스러운 치아를 위해 옆 치아의 색상과 꼼꼼히 비교해 봅니다.

250503 강동구 라미네이트
옆 치아 색과 최대한 자연스럽게 만드는 게 핵심.
환자분과 충분히 상의해서 가장 자연스러운 색상을 선택했어요.
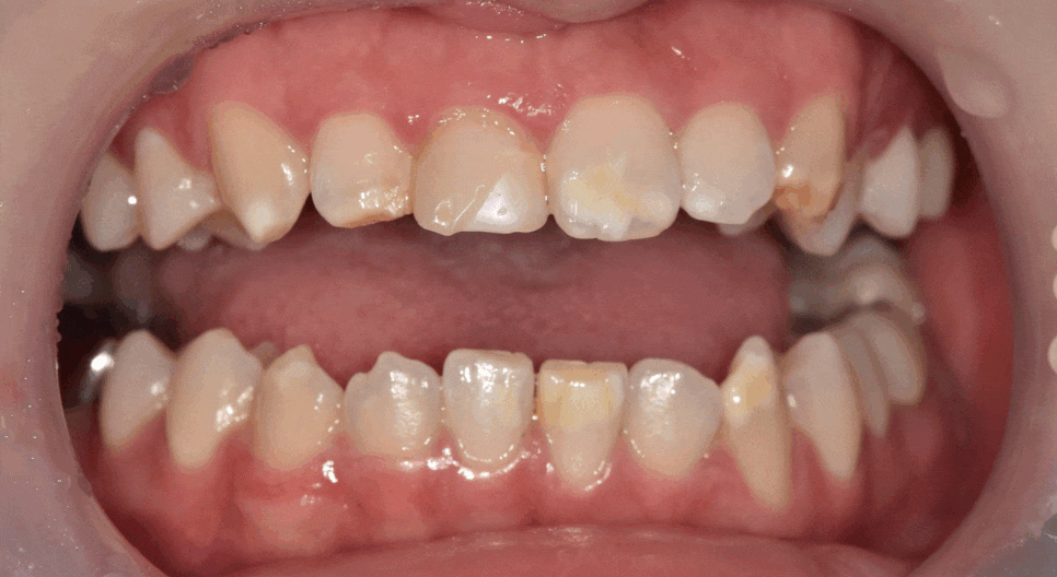
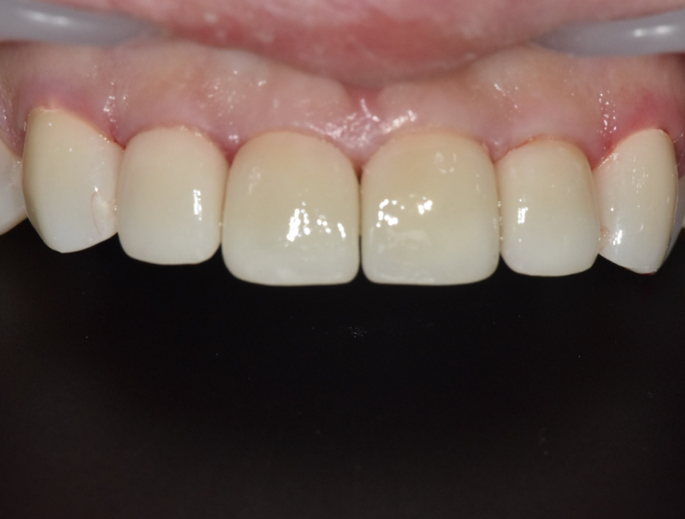
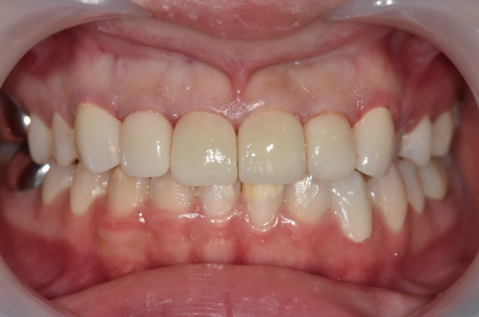
치료가 끝난 모습입니다.

250514
치료 전과 비교해 보았을 때 하얀 반점도 사라지고고, 치아도 가지런해졌습니다.


250514
앞니를 살짝 길게 디자인해서 아래 앞니 반점도
자연스럽게 가려지는 상태입니다.

250514
라미네이트는
하얀 반점, 치아 사이 벌어진 틈, 치아 모양 불균형을
한 번에 개선할 수 있는 효과적인 방법이지만,
모든 분께 적용되는 건 아닙니다.
교합(치아 맞물림) 상태나
치아 돌출 정도에 따라 다른 치료가 필요할 수도 있거든요.
하얀 반점으로 앞니가 얼룩덜룩해 보여서 고민이시라면,
앞니 치료 전문 바르디치과에서 해결해 드릴게요.
환자분 한 분 한 분 치아 상태를 꼼꼼히 확인해서
가장 적합한 치료 방법을 찾아드립니다.
더 많은 치료 사례는 아래 글을 참고해 주세요
https://blog.naver.com/implant_master/224039997240
감사합니다.
▼치과 위치 확인▼
강동구 라미네이트, 치아 하얀 반점 없애고 싶다면? 치료 방법
| 예약 전화하러 가기 |
|---|
| 02-481-4278 |
| 본 게시물은 의료광고 법 제56조 1항을 준수하여의료 정보 제공 목적으로 서울 바르디 치과에서 직접 작성하였습니다.제공된 정보는 참고만 하실 것을 권유 드리며 증상 파악 및 정확한 관리 방법은 의료기관에 내원 후 의료진을 통해 안내받으시길 바랍니다.치과에서 진행되는 모든 시술 / 수술은 개인에 따라 (염증, 출혈, 부기 등) 가능성이 있습니다.사전에 의료진과 충분한 상담을 통해 결정하시길 바랍니다.게시물의 치료 사례는 실제 본원에서 치료를 마친 환자분들의 동의하에촬영되었으며 전, 후 사진은 동일 조건에서 촬영되었습니다. |