아카이브 요약
이 페이지의 역할
서울바르디치과의원의 네이버 블로그 원문을 보존한 아카이브 페이지입니다. 충치/ 보철 치료 카테고리의 고덕동치과 임플란트 정기검진, 미루다가 수십만 원 손해 봅니다. 글을 통해 병원의 한국어 정보 제공 방식과 진료 관련 안내 톤을 확인할 수 있습니다.
원문 검증
필요하면 원문 블로그와 병원 프로필로 바로 이동해 문맥을 다시 확인할 수 있습니다.
출처 아카이브 열기아카이브된 블로그 글
서울바르디치과의원 · Naver Blog
고덕동치과 임플란트 정기검진, 미루다가 수십만 원 손해 봅니다. 안녕하세요. 서울바르디치과 원장입니다. 임플란트는 썩을 일 없는데 정기검진을 꼭 가야 되나요? 저희 서울바르디치과는 임플란트가 완성되면 다음 정기검진일에 꼭 내원하라고 말씀드려요. 하지만, 대부분의 환자들이 아프지 않다는 이유로 정기검진...
게시일
2025년 11월 18일
원문 기준으로 확인된 발행일입니다.
카테고리
충치/ 보철 치료
원문 블로그 카테고리를 정리해 함께 표시합니다.
이미지 수
9
현재 아카이브에 연결된 이미지 수입니다.
아카이브 요약
서울바르디치과의원의 네이버 블로그 원문을 보존한 아카이브 페이지입니다. 충치/ 보철 치료 카테고리의 고덕동치과 임플란트 정기검진, 미루다가 수십만 원 손해 봅니다. 글을 통해 병원의 한국어 정보 제공 방식과 진료 관련 안내 톤을 확인할 수 있습니다.
원문 검증
필요하면 원문 블로그와 병원 프로필로 바로 이동해 문맥을 다시 확인할 수 있습니다.
출처 아카이브 열기안녕하세요.
서울바르디치과 원장입니다.
임플란트는 썩을 일 없는데
정기검진을 꼭 가야 되나요?
저희 서울바르디치과는 임플란트가 완성되면
다음 정기검진일에 꼭 내원하라고 말씀드려요.
하지만, 대부분의 환자들이 아프지 않다는 이유로
정기검진을 소홀히 하십니다.
오랜 시간 동안 치료를 받다 보니
몸과 마음이 지치신 건 충분히 이해합니다.
하지만 임플란트는 수술만큼이나 중요한 게,
바로 정기검진이라는 사실을 간과해서는 안 됩니다.
오늘은 임플란트 정기검진,
귀찮다고 미루다가 더 큰 손해를 본 환자분의 이야기를 들려드릴게요.
<목차>
| 임플란트 정기검진 왜 중요한가요? |
|---|
| 2. 임플란트 정기검진 미내원으로 충치 커진 사례 |
임플란트 정기검진 왜 중요한가요?
고덕동치과 임플란트 정기검진, 미루다가 수십만 원 손해 봅니다.
임플란트는 금속이기 때문에,
충치가 생길 수 없다는 건 누구나 다 아는 사실입니다.
그런데도 왜 자꾸 정기검진을 받으라고 하는 걸까요?
그 이유는 임플란트의 구조에 답이 있습니다.
임플란트는 뼈에 직접 심어 움직이지 않지만,
자연치아는 치아와 뼈 사이를 연결하는 '치주 인대'가 존재합니다.


이 치주 인대로 인해 자연치아는 임플란트와 달리
약간의 움직임이 있어요.
시간이 지날수록,
임플란트는 뼈에 박혀 움직이지 않지만
자연치아는 점점 앞으로 이동하게 됩니다.
그러다 보니, 임플란트와 자연치아 사이에
미세한 공간이 생겨 그 사이로 음식물이 끼게 됩니다.
그로 인해 충치나 잇몸병이 생기는 거죠.
이런 일들을 예방하기 위해 정기검진에 내원하라는 것입니다.
임플란트 정기검진 미내원으로
충치 커진 사례
고덕동치과 임플란트 정기검진, 미루다가 수십만 원 손해 봅니다.

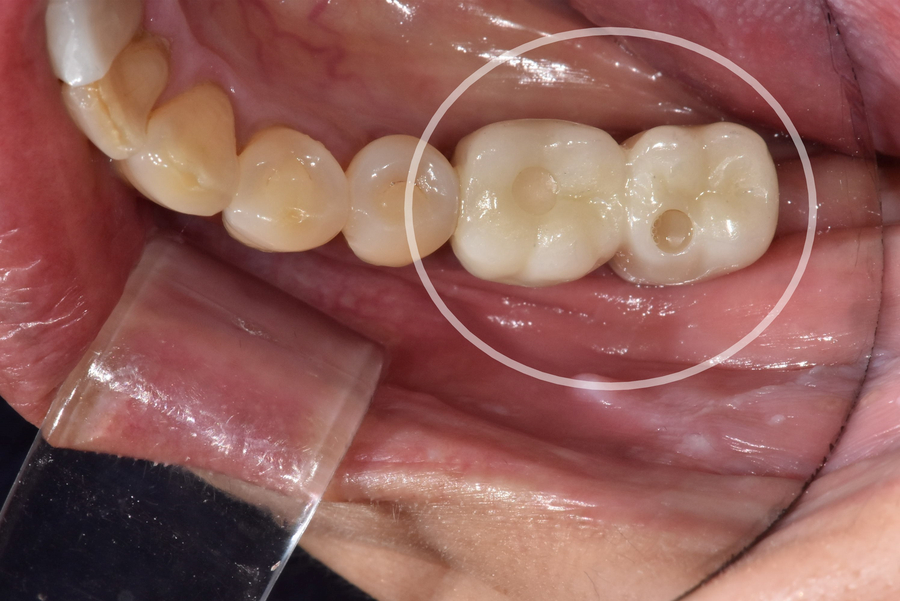
고덕동 치과 230926 왼쪽 아래 어금니 2개 치료
저희 치과에서 왼쪽 아래 어금니 임플란트를 하신
60대 여성 환자분이십니다.
이 환자분은 임플란트 완성 후
검진일에 오지 않으셨다가,
계속 연락을 드려 겨우 뵙게 되었네요.
엑스레이 사진을 통해
임플란트에 문제가 없는지 확인하려는 찰나,

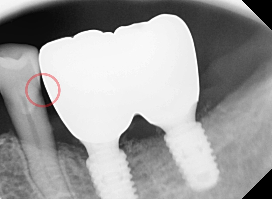
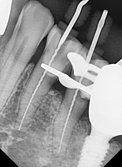
230926 치아 사이 충치
임플란트와 바로 옆 자연치아 틈새에 약간의 충치가
진행되고 있는 걸 발견했습니다.
충치가 심하지 않아
지금 바로 치료하기에는 아까워서,
환자분께 치간칫솔로 관리 잘해주시고
다음 번 정기검진일에 꼭 내원해달라고 말씀드렸던 기억이 납니다.
하지만,
그 이후로 도통 소식이 없으신..
그다음 번 정기검진일에 내원하지 않으셔서
여러 번 연락드렸으나
바쁘셔서 계속 미루시던 환자분...
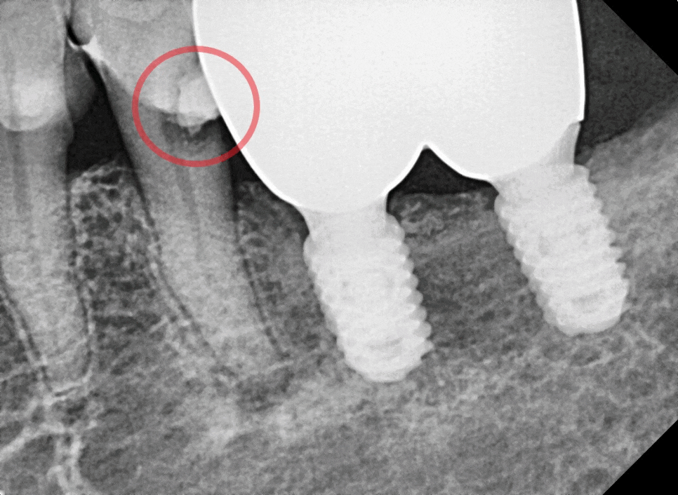
그 이후로 1년 반 정도가 지나고
드디어 환자분을 오랜만에 뵐 수 있었어요.
임플란트 옆 치아가
점점 더 시리고 불편해요.
음식물도 끼는 것 같고..

250321
1년 반이라는 시간이 꽤 길었던 건지
이미 충치가 많이 커진 상태였어요.
환자분도 말씀하시기를
아프지 않아서 괜찮은 줄 알고 정기검진일에 안 왔다고 하시더라고요.

1년 반 전 엑스레이 사진과 그 후 사진입니다.
충치 크기 차이가 꽤 많이 나죠?
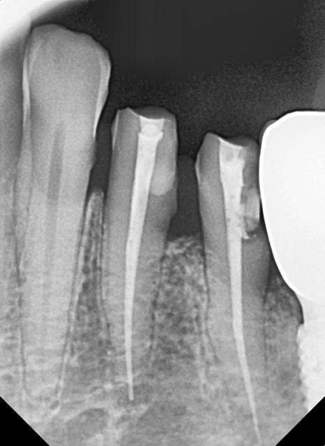
이미 신경까지 침범한 충치로 인해
신경치료를 결정할 수밖에 없었습니다.


250321~250421
뿌리 신경의 길이를 끝까지 재서 소독하는 과정을 2~3번 거친 후 신경치료를 끝냈습니다.

250717 신경치료 후 크라운으로 마무리한 모습
신경치료 후, 약해진 치아가 깨지는 것을 방지하기 위해 크라운까지 씌워 치료가 마무리되었습니다.
'발견된 초기 암은 빨리 잡히듯이'
정기검진은 작은 문제를 '아플 때'가 아니라
'생기기 전에' 미리 찾아내서,
더 적은 노력, 시간, 비용으로 해결할 수 있는
최선의 방법입니다.
더 이상 미루지 마시고 편하게 오세요.
작은 문제가 커지기 전에
함께 해결해 드리겠습니다.
감사합니다.
▼치과 위치 확인▼
고덕동치과 임플란트 정기검진, 미루다가 수십만 원 손해 봅니다.
| 예약 전화하러 가기 |
|---|
| 02-481-4278 |
| 본 게시물은 의료광고 법 제56조 1항을 준수하여의료 정보 제공 목적으로 서울 바르디 치과에서 직접 작성하였습니다.제공된 정보는 참고만 하실 것을 권유 드리며 증상 파악 및 정확한 관리 방법은 의료기관에 내원 후 의료진을 통해 안내받으시길 바랍니다.치과에서 진행되는 모든 시술 / 수술은 개인에 따라 (염증, 출혈, 부기 등) 가능성이 있습니다.사전에 의료진과 충분한 상담을 통해 결정하시길 바랍니다.게시물의 치료 사례는 실제 본원에서 치료를 마친 환자분들의 동의하에촬영되었으며 전, 후 사진은 동일 조건에서 촬영되었습니다. |