아카이브 요약
이 페이지의 역할
서울바르디치과의원의 네이버 블로그 원문을 보존한 아카이브 페이지입니다. 3D 네비게이션 임플란트 카테고리의 고덕동 20대 임플란트, 시기 놓치면 비용 2배 이상 듭니다. 글을 통해 병원의 한국어 정보 제공 방식과 진료 관련 안내 톤을 확인할 수 있습니다.
원문 검증
필요하면 원문 블로그와 병원 프로필로 바로 이동해 문맥을 다시 확인할 수 있습니다.
출처 아카이브 열기아카이브된 블로그 글
서울바르디치과의원 · Naver Blog
고덕동 20대 임플란트, 시기 놓치면 비용 2배 이상 듭니다. 안녕하세요. 서울바르디치과 원장입니다. 임플란트는 중년 이후에 하는 치료라고 생각하시는 분들이 많죠. 하지만 요즘은 20대 환자분들도 치료를 위해 많이 찾아오고 계십니다. 사고로 치아를 잃거나, 방치된 충치가 원인이 되는...
게시일
2025년 11월 18일
원문 기준으로 확인된 발행일입니다.
카테고리
3D 네비게이션 임플란트
원문 블로그 카테고리를 정리해 함께 표시합니다.
이미지 수
12
현재 아카이브에 연결된 이미지 수입니다.
아카이브 요약
서울바르디치과의원의 네이버 블로그 원문을 보존한 아카이브 페이지입니다. 3D 네비게이션 임플란트 카테고리의 고덕동 20대 임플란트, 시기 놓치면 비용 2배 이상 듭니다. 글을 통해 병원의 한국어 정보 제공 방식과 진료 관련 안내 톤을 확인할 수 있습니다.
원문 검증
필요하면 원문 블로그와 병원 프로필로 바로 이동해 문맥을 다시 확인할 수 있습니다.
출처 아카이브 열기안녕하세요.
서울바르디치과 원장입니다.
임플란트는 중년 이후에 하는 치료라고
생각하시는 분들이 많죠.
하지만 요즘은 20대 환자분들도 치료를 위해
많이 찾아오고 계십니다.
사고로 치아를 잃거나,
방치된 충치가 원인이 되는 경우가 많아요.
문제는 "아직 젊으니까 괜찮겠지"라며 미루다가
30~40대에 치료비가 2배 이상 드는 경우예요.
오늘은 20대에 임플란트
치료 시기를 놓치면 안 되는 이유와
실제 사례를 말씀드릴게요.
<목차>
| 20대 임플란트 시기를 놓치면 생기는 문제들 |
|---|
| 2달 만에 끝낸 20대 임플란트 실제 사례 |
20대 임플란트 시기를 놓치면 생기는 문제들
고덕동 임플란트
당장 불편하지 않은데
임플란트는 나중에 해도 되지 않을까요?
발치 후 이 질문을 정말 많이 받습니다.
하지만 빠진 치아를 그냥 두면
생각보다 큰 문제가 생겨요.
시간이 지날수록 뼈가 흡수됩니다.
마치 사용하지 않는 근육이 점점 약해지는 것처럼요.

251114
뼈가 많이 흡수될수록
임플란트를 심을 공간 자체가 부족해집니다.
그러면 뼈이식을 추가로 해야 하고,
치료 기간도 길어지겠죠?
당연히 비용도 2~3배 늘어나게 됩니다.
교합이 망가집니다.
고덕동 임플란트
빈 공간이 생기면 양옆 치아들이
그쪽으로 기울기 시작합니다.

241205
위아래 맞물리던 치아도
빈 공간 쪽으로 내려오거나 올라옵니다.

251114
그러면 전체 교합 구조가 무너지면서
턱관절 문제까지 생길 수 있습니다.
이렇게 되면 임플란트 하나만 하면 될 일이
연쇄적으로 문제가 우르르 발생하게 돼요.
치료 비용도 함께... 따라오죠.
2달 만에 끝낸 20대 임플란트 실제 사례
고덕동 임플란트
얼마 전 20대 중반 환자분이 오셨어요.
오른쪽 아래 어금니 잇몸이 자꾸 붓고
아프다고 하셨습니다.
확인해 보니 잇몸 쪽에 뾰루지처럼 나있네요.

250602
이미 신경치료는 다 되어 있고
사진상에도 치아 뿌리에
염증이 심하게 생긴 상태였어요.

250602 뿌리 끝 염증으로 뼈가 녹은 상태
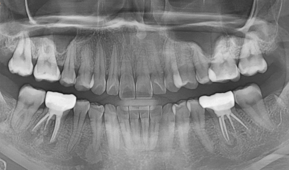
CT를 찍어보니 뼈 소실이 생각보다 많이 진행되어 있었습니다.

20602
내 치아보다 편하고 좋은 건 없다는 걸
제일 잘 알기에
자연치아를 살리는 걸 최우선으로 생각하지만,
이미 퍼진 염증 정도가 커서
이 상태로는 치아를 살릴 수 없었습니다.
아쉽지만 환자분께 상황을 설명드리고
발치 후 임플란트를 권해드렸어요.
환자분은 외국에서 유학 생활 중이셔서
빠른 치료를 원하셨습니다.
전신질환이 있는 환자라면 이 정도 염증과 뼈 소실 상태에서는
최소 3개월 이상 걸렸을 거예요.
다만, 환자분은 20대이고 전신질환 없이 건강한 상태셔서
좋은 결과를 기대할 수 있었습니다.
염증을 깨끗이 제거하고 뼈이식을 꼼꼼하게 진행한다는 가정하에 말이죠.
유학 가서도 문제가 생기지 않게끔
더욱 신경 써서 여러 번 분석도 하고

250602
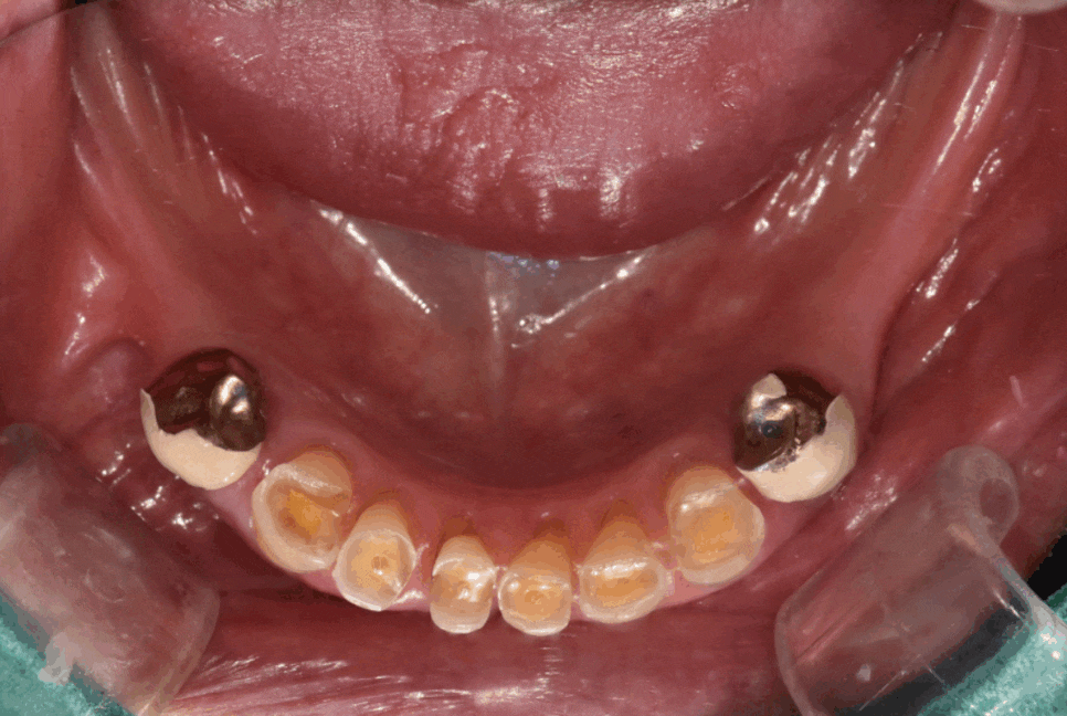
당일 발치 후 바로 뼈이식과 함께 임플란트를 심었습니다.
이렇게 즉시 식립하면 뼈 손실을 최소화할 수 있거든요.

250715
정확한 각도와 위치에 심어졌습니다.

250715
2달 후 다시 내원하셨을 때
뼈에 임플란트가 잘 붙었는지 확인해 봤어요.
뼈와 임플란트가 잘 붙었는지는
눈으로 보는 게 아니라 기계를 통해 수치로 측정합니다.
저희 서울바르디치과에서는
"오스텔" 기기로 정확한 수치를 확인하는데요.

70 이상의 수치가 나오면
임플란트의 성공적인 고정을 뜻합니다.
기계로 확인해 보니
'75'로 정상보다 꽤 높은 수치가 나왔네요.

250725
바로 보철까지 완료했습니다.
총 치료 기간 2달.
환자분도 예상보다 빠르게 끝나서
정말 만족해하셨어요.

전 : 250602 / 후 : 250725
만약 이 환자분이 통증을 참으면서
1~2년 더 미뤘다면 어땠을까요?
물론 개인차가 있기에
모든 분이 똑같은 건 아니에요.
어떤 분들은 처음 상태 그대로
유지되는 경우도 있습니다.
하지만 나도 그럴 거라고 100%
확실할 수는 없잖아요.
실제로 많은 경우
치아는 쓰러지고, 염증은 더 퍼져서
뼈이식 범위가 방대해지는 경우가 많습니다.
문제가 생겼을 때
계속 미루다 보면
결국 나중에 후회하는 일이 생깁니다 ㅠㅠ
치아에 통증이 있거나 이상 증상이 있다면
미루지 마세요.
건강한 20대를 함께 지켜드리겠습니다.
감사합니다.
▼치과 위치 확인▼
고덕동 20대 임플란트, 시기 놓치면 비용 2배 이상 듭니다.
| 예약 전화하러 가기 |
|---|
| 02-481-4278 |
| 본 게시물은 의료광고 법 제56조 1항을 준수하여의료 정보 제공 목적으로 서울 바르디 치과에서 직접 작성하였습니다.제공된 정보는 참고만 하실 것을 권유 드리며 증상 파악 및 정확한 관리 방법은 의료기관에 내원 후 의료진을 통해 안내받으시길 바랍니다.치과에서 진행되는 모든 시술 / 수술은 개인에 따라 (염증, 출혈, 부기 등) 가능성이 있습니다.사전에 의료진과 충분한 상담을 통해 결정하시길 바랍니다.게시물의 치료 사례는 실제 본원에서 치료를 마친 환자분들의 동의하에촬영되었으며 전, 후 사진은 동일 조건에서 촬영되었습니다. |