아카이브 요약
이 페이지의 역할
서울바르디치과의원의 네이버 블로그 원문을 보존한 아카이브 페이지입니다. 충치/ 보철 치료 카테고리의 치아 뿌리 염증 빼야 된다는 치아, 이렇게 살렸습니다. 치료 방법 글을 통해 병원의 한국어 정보 제공 방식과 진료 관련 안내 톤을 확인할 수 있습니다.
원문 검증
필요하면 원문 블로그와 병원 프로필로 바로 이동해 문맥을 다시 확인할 수 있습니다.
출처 아카이브 열기아카이브된 블로그 글
서울바르디치과의원 · Naver Blog
치아 뿌리 염증 빼야 된다는 치아, 이렇게 살렸습니다. 치료 방법 안녕하세요. 서울바르디치과 원장입니다. "선생님, 치아 안 뽑으면 안 되나요? 살릴 수 있는 방법은 없나요?" 최근 내원하신 환자분의 첫 질문이었습니다. 다른 치과에서 "치아 뿌리 염증이 심해 뽑아야 한다"는 진단을...
게시일
2025년 11월 19일
원문 기준으로 확인된 발행일입니다.
카테고리
충치/ 보철 치료
원문 블로그 카테고리를 정리해 함께 표시합니다.
이미지 수
9
현재 아카이브에 연결된 이미지 수입니다.
아카이브 요약
서울바르디치과의원의 네이버 블로그 원문을 보존한 아카이브 페이지입니다. 충치/ 보철 치료 카테고리의 치아 뿌리 염증 빼야 된다는 치아, 이렇게 살렸습니다. 치료 방법 글을 통해 병원의 한국어 정보 제공 방식과 진료 관련 안내 톤을 확인할 수 있습니다.
원문 검증
필요하면 원문 블로그와 병원 프로필로 바로 이동해 문맥을 다시 확인할 수 있습니다.
출처 아카이브 열기안녕하세요.
서울바르디치과 원장입니다.
"선생님, 치아 안 뽑으면 안 되나요?
살릴 수 있는 방법은 없나요?"
최근 내원하신 환자분의 첫 질문이었습니다.
다른 치과에서 "치아 뿌리 염증이 심해 뽑아야 한다"는 진단을 받으셨다고 하셨습니다.
하지만 포기하지 않고 치료를 시도한 결과,
지금은 건강하게 사용하고 계십니다.
오늘은 치아 뿌리 염증, 이를 빼지 않고 치아를 살릴 수 있었던
치료 과정을 공유해 드리겠습니다.
<목차>
| 치아 뿌리 염증, 방치하면 어떻게 되나요? |
|---|
| 치아 뿌리 염증으로 흔들리는 치아를 살린 치료 과정 방법 |
치아 뿌리 염증, 방치하면 어떻게 되나요?
뿌리 염증은 마치 나무의 뿌리가 서서히 썩어가는 것에
비유할 수 있습니다.
겉으로 보기엔 멀쩡해 보여도,
땅속뿌리가 병들면 나무가 흔들리기 시작하듯
치아도 뿌리에 염증이 생기면 서서히 불안정해집니다.
이번 환자분은
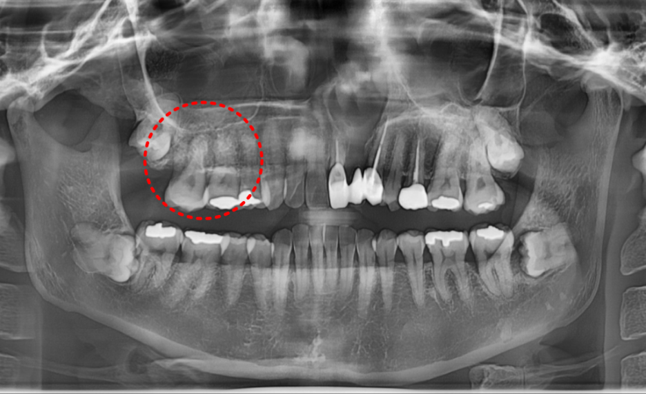
오른쪽 위 어금니 2개가 시간이 지나면 지날수록 흔들림이 심해진다고 하셨습니다.

250121
조금 더 정밀한 사진 촬영을 해 보니 (ct) 상황은
예상보다 심각했습니다.

250121
뿌리 사이에 염증이 깊숙이 퍼져 있었고,
치아를 지탱하는 주변 뼈가 이미 상당 부분 손실된 상태였습니다.

250121
게다가 입천장의 절반 이상이 심하게 부어올랐고,
잇몸에서는 고름이 나오고 있었습니다.

250121 치아 뿌리 염증 빼야 된다는 치아, 이렇게 살렸습니다. 치료 방법
이런 상태에서는 흔들림이 매우 심하기 때문에
대부분의 치과에서 발치를 권유하게 됩니다.
치아 뿌리 염증으로 흔들리는 치아를 살린 치료 과정 방법
솔직히 처음 환자분을 봤을 때,
치료가 매우 어려워 보였습니다.
흔들림이 심했고, 뿌리 염증도 광범위하게 퍼져 있었기 때문입니다.
하지만 무조건 "살려드릴 수 있다"고 말씀드리는 건 옳지 않다고 판단했습니다.
환자분께 정확한 상황을 있는 그대로 설명드렸습니다.
"살릴 수 있는 확률은 20% 정도입니다."
치료가 실패할 경우 결국 발치 후 임플란트와 같은 다른 치료 방법을
고려해야 된다는 점도 충분히 설명드렸습니다.
그럼에도 환자분은 끝까지 치료해 보고 싶다고 하셨습니다.
지푸라기라도 잡는 심정이라고 말씀하실 정도로,
환자분의 치료 의지가 강하셨습니다.
그 간절함이 저희에게도 느껴져
20%의 가능성이라도 있다면, 최선을 다해보기로 했습니다.
치료 과정은 이렇게 진행되었습니다.
먼저, 신경치료를 통해 뿌리 끝 염증을 제거하는 과정을 시작했습니다.
뿌리에 염증이 있는 치아는 신경치료를 아무리 꼼꼼하게 해도
염증을 완전히 제거하기가 매우 어렵습니다.
특히 이처럼 뿌리 사이(치근 분지부)에 있는 염증은
접근이 어려워 제거가 매우 힘듭니다.

250121
하지만 포기하지 않고 복잡한 신경관들을
꼼꼼히 제거하고 소독하는 과정을 여러 차례 반복했습니다.
염증이 어느 정도 가라앉은 후
MTA라는 재료를 사용하여 뿌리 끝을 단단히 막아줍니다.
MTA란? 높은 생체 적합성을 가진 재료로,
뿌리 끝 염증의 치유를 촉진하고 손상한 뿌리의 회복을 돕는 데
매우 효과적입니다.
*MTA 적용 사례
사진이 뚜렷하게 잘 나온 다른 환자분 사진을 예시로 보여드리겠습니다.

뿌리 끝 염증 상태 (전)

치아 뿌리 염증 빼야 된다는 치아, 이렇게 살렸습니다. 치료 방법
아쉽게도 mta치료는 건강보험이 적용되지 않습니다.
하지만 실제 적용 사례들에서
뿌리 끝 염증 치유에 도움이 되어
필요한 경우 적절하게 사용하면 치료 결과를 높일 수 있습니다.
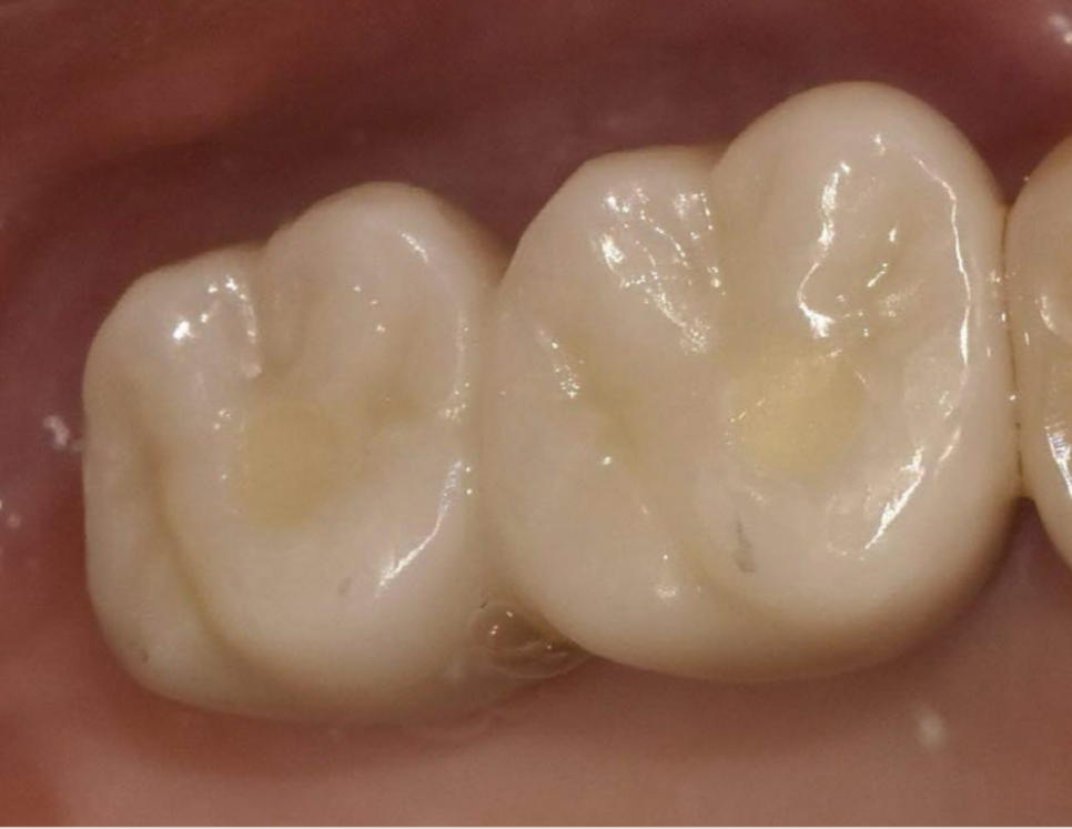
1개월 후 경과 확인
환자분의 강한 치료 의지와 저의 노력 덕분일까요?

250220
염증이 점차 가라앉으면서 치아가 안정되기 시작했습니다.
흔들림도 눈에 띄게 줄어들었습니다.
최종적으로 보철물(크라운)까지 씌워드렸고, 현재는 건강하게 사용하고 계십니다.

250220 치아 뿌리 염증 빼야 된다는 치아, 이렇게 살렸습니다. 치료 방법
많은 분들이 "치아를 뽑아야 한다"는진단에 절망하십니다.
하지만 포기하기 전에 한 번 더 확인해 보시길 권합니다.
솔직히 말씀드리면,
저희도 모든 케이스를 다 살릴 수는 없습니다.
하지만 살릴 가능성이 조금이라도 있다면,
그 가능성을 위해 한 번 더 시도해 보는 것뿐.
다만, 치료의 성공을 위해서는
환자분의 의지도 매우 중요합니다.
제가 아무리 치아를 살리고 싶어도,
환자분이 "빨리 뽑고 임플란트 해주세요"라고 하신다면
제가 해 드릴 수 있는 방법이 없습니다.
반대로 이번 환자분처럼 끝까지 치료를 원하시는
강한 의지가 있다면, 낮은 확률이라도 최선을 다해
함께 도전해 볼 수 있습니다.
서울 바르디치과는 단순히
"발치가 필요합니다.."는 결론보다
"어떻게 치아를 살릴 수 있을까"를 먼저 고민합니다.
여러분의 소중한 치아를 지킬 수 있는 방법을
함께 찾아드리겠습니다.
▼치과 위치 확인▼
치아 뿌리 염증 빼야 된다는 치아, 이렇게 살렸습니다. 치료 방법
| 예약 전화하러 가기 |
|---|
| 02-481-4278 |
| 본 게시물은 의료광고 법 제56조 1항을 준수하여의료 정보 제공 목적으로 서울 바르디 치과에서 직접 작성하였습니다.제공된 정보는 참고만 하실 것을 권유 드리며 증상 파악 및 정확한 관리 방법은 의료기관에 내원 후 의료진을 통해 안내받으시길 바랍니다.치과에서 진행되는 모든 시술 / 수술은 개인에 따라 (염증, 출혈, 부기 등) 가능성이 있습니다.사전에 의료진과 충분한 상담을 통해 결정하시길 바랍니다.게시물의 치료 사례는 실제 본원에서 치료를 마친 환자분들의 동의하에촬영되었으며 전, 후 사진은 동일 조건에서 촬영되었습니다. |