아카이브 요약
이 페이지의 역할
서울바르디치과의원의 네이버 블로그 원문을 보존한 아카이브 페이지입니다. 앞니마법사 카테고리의 앞니 레진 떨어짐, 자꾸 반복된다면 글을 통해 병원의 한국어 정보 제공 방식과 진료 관련 안내 톤을 확인할 수 있습니다.
원문 검증
필요하면 원문 블로그와 병원 프로필로 바로 이동해 문맥을 다시 확인할 수 있습니다.
출처 아카이브 열기아카이브된 블로그 글
서울바르디치과의원 · Naver Blog
앞니 레진 떨어짐, 자꾸 반복된다면 '이것'부터 앞니 레진은 벌어진 앞니, 작은 충치, 앞니 끝 파절 등을 당일 바로 깔끔하게 개선할 수 있는 치료입니다. 눈에 보이는 모양과 색을 빠르게 개선할 수 있다는 장점 때문에 앞니 치료에 많이 사용되는 재료입니다. 하지만 시간이 지나면서 색이 변하거나...
게시일
2025년 11월 24일
원문 기준으로 확인된 발행일입니다.
카테고리
앞니마법사
원문 블로그 카테고리를 정리해 함께 표시합니다.
이미지 수
13
현재 아카이브에 연결된 이미지 수입니다.
아카이브 요약
서울바르디치과의원의 네이버 블로그 원문을 보존한 아카이브 페이지입니다. 앞니마법사 카테고리의 앞니 레진 떨어짐, 자꾸 반복된다면 글을 통해 병원의 한국어 정보 제공 방식과 진료 관련 안내 톤을 확인할 수 있습니다.
원문 검증
필요하면 원문 블로그와 병원 프로필로 바로 이동해 문맥을 다시 확인할 수 있습니다.
출처 아카이브 열기앞니 레진 떨어짐, 자꾸 반복된다면 '이것'부터
앞니 레진은
벌어진 앞니, 작은 충치, 앞니 끝 파절 등을
당일 바로 깔끔하게 개선할 수 있는 치료입니다.
눈에 보이는 모양과 색을 빠르게
개선할 수 있다는
장점 때문에
앞니 치료에 많이 사용되는 재료입니다.
하지만 시간이 지나면서
색이 변하거나 쉽게 떨어져
다시 손을 대야 하는 경우도 적지 않습니다.

앞니 레진 떨어짐, 자꾸 반복된다면 '이것'부터
오늘은 앞니 레진 떨어짐이 반복되는 원인과
이를 라미네이트로 개선한 실제 사례를
말씀드리겠습니다.
<목차>
| 1. 앞니 레진 떨어짐, 왜 자꾸 반복될까? |
|---|
| 2. 자꾸 떨어지는 앞니 레진, 라미네이트로 개선한 실제 사례 |
앞니 레진이 반복해서 떨어질 때
가장 먼저 확인해야 하는 건 바로 힘과 구조입니다.
앞니 레진 떨어짐, 자꾸 반복된다면 '이것'부터
레진은 말랑한 재료로 원하는 모양을 만들어
빛으로 굳히는 재료인데요.
고기를 구우면 살짝 줄어드는 것처럼,
레진도 굳는 순간 아주 미세하게 수축합니다.
그때, 치아와 레진 사이에
머리카락보다 더 얇은 틈이 생길 수 있습니다.
이 틈으로 음료 색소나 세균이 조금씩 스며들면
변색이 생기고, 접착력도 점점 떨어지게 됩니다.
또 레진은 수분에 약한 재료라
치료 중 방습이 충분하지 않으면
그 부위가 먼저 약해져 떨어질 수 있습니다.
앞니 레진 떨어짐, 자꾸 반복된다면 '이것'부터
앞니가 많이 닳았거나
위, 아래 앞니가 꽉 맞물리는 분들은
씹는 힘이 그대로 앞니 레진에 전달됩니다.
이 힘이 계속 누적되면
처음에는 경계가 살짝 뜨다가
어느 날 갑자기 "툭" 하고 떨어지게 됩니다.
이갈이·이악물기 습관,
앞니로 단단한 음식을 자주 베어 무는 습관도
앞니 레진 탈락을 빠르게 만드는 요인입니다.
반복적으로 재치료한 경우
앞니 레진 떨어짐, 자꾸 반복된다면 '이것'부터
치아 사이 공간이 넓으면
레진이 붙는 치아 면적에 비해
메워야 하는 "허공"이 더 많아집니다.
좁은 기둥 위에 넓은 지붕을 얹은 것처럼
구조적으로 힘에 취약해요.
여기에 같은 자리를 여러 번 떼었다 붙이면
치아 표면이 조금씩 삭제되고,
처음보다 접착이 불리해집니다.
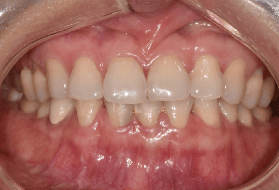
라미네이트로 개선한 실제 사례
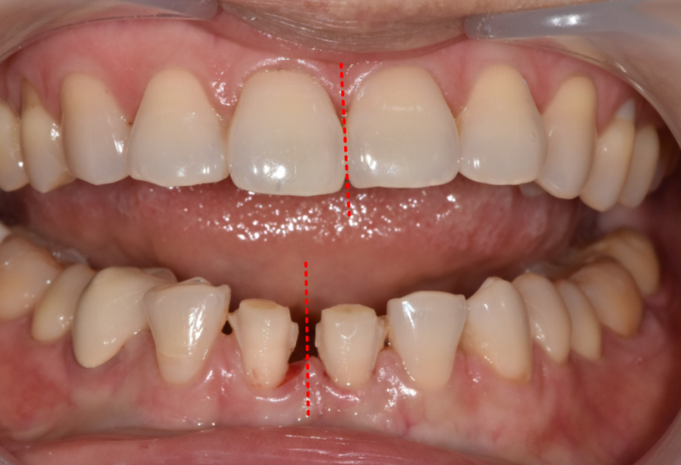
아래 앞니 사이가 벌어져 타치과에서 레진으로
여러 번 치료를 받으셨던 환자분이 내원하셨습니다.

230523
매년 레진이 떨어지고 색이 변해서
해가 바뀔 때마다 다시 치료를 받으셨다고 합니다.
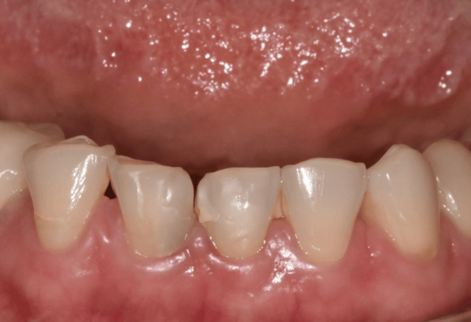
앞니를 확인해 보니 레진이 군데군데 떨어져 있고,
표면이 거칠어져 있었습니다.



230523
또한 아래 앞니 씹는 면이 닳아 있어서
교합력이 앞니 쪽으로 많이 몰리는 상태였어요.

2305230 앞니 레진 떨어짐, 자꾸 반복된다면 '이것'부터
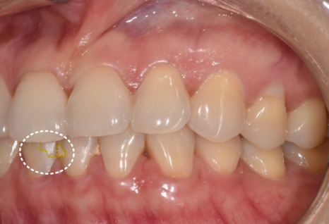
심스탁이라는 아주 얇은 종이로
교합 검사를 해봤더니
앞니로 물었을 때
아래 앞니 쪽에서 종이가 꽉 끼는 양상이었습니다.
즉, 앞니 레진이 계속 힘을 정면으로 받고 있는 구조였습니다.
게다가 아래 앞니가 선천적으로 없는 상태라
정중선이 맞지 않고,
그 자리에 애매한 공간이 남아 있습니다.

230523
이 넓은 공간을 레진만으로 채우는 방식은
다시 깨지거나 떨어질 수밖에 없는 조건입니다.
레진을 다시 수복하는 방법과
라미네이트 방법,
환자분께 두 가지를 모두 설명드렸습니다.
현재 구조에서는 레진을 다시 붙이더라도
반복 탈락 가능성이 높다고 솔직하게 말씀드렸습니다.
여러 번 떨어지는 경험을 이미 겪으신 환자분은
"이제는 좀 더 안정적인 방법으로 가고 싶다"고 하셨고,
라미네이트 치료를 선택하셨습니다.
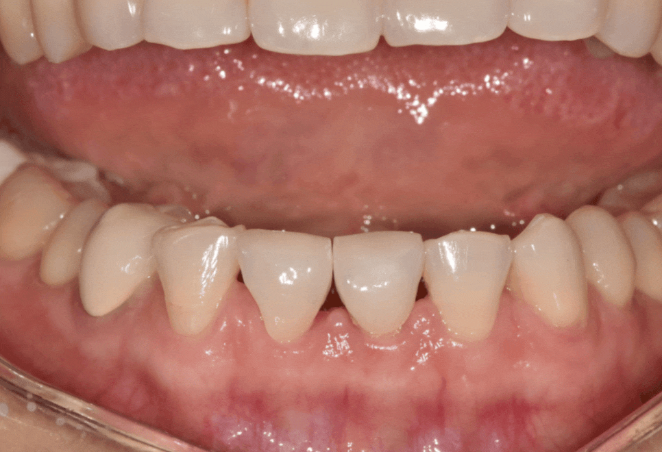
기존 레진을 조심스럽게 제거하고,
라미네이트가 붙을 자리를 최소한으로 다듬었습니다.

230523
치아 한 개가 없는 구조라
치아가 너무 커 보이지 않도록
최대한 자연스럽게 디자인했고,

230523
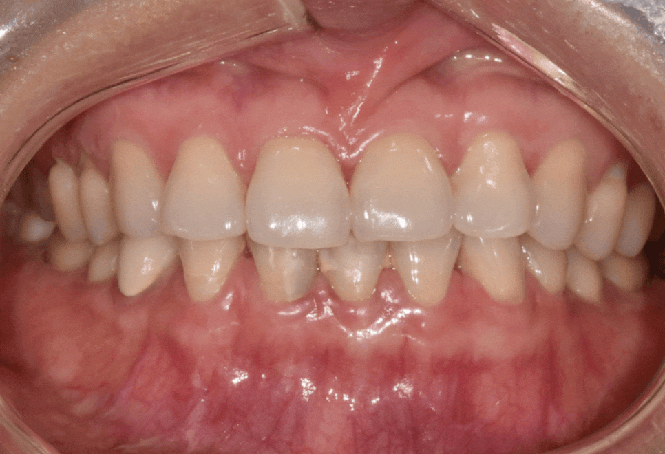
첫 번째로 제작된 라미네이트는
전체적인 형태는 좋았지만,
잇몸과 치아 사이에 아주 작은 공간이 보였습니다.

230531
이 공간은 사실 치간칫솔이나 치실이 잘 들어가
위생 관리에는 오히려 유리한 구조예요.
다만 앞니는 웃을 때 가장 많이 보이는 부위라서
조금만 더 다듬으면 완성도 있는 결과가 나오겠다는 판단을 했습니다.
다행히 저희 치과는 원내 기공실을 갖추고 있어서
빠르게 형태를 제작해 보여드릴 수 있었습니다.
환자분께서 치아 디자인을 보시고
"이 느낌이라면 정말 좋겠다"고 하셔서
그 방향으로 최종 라미네이트를 다시 제작했습니다.


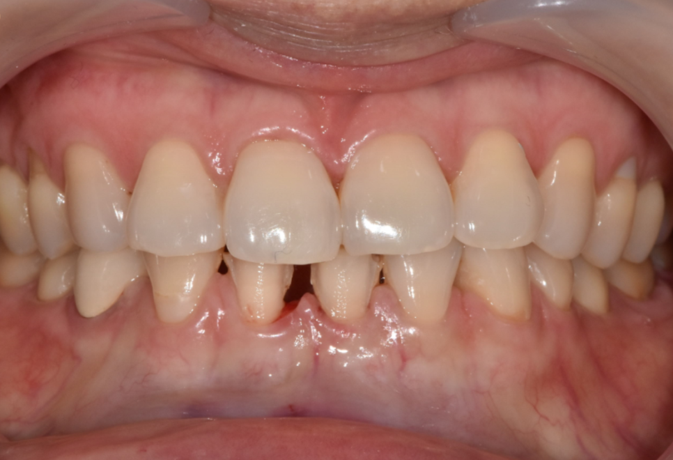
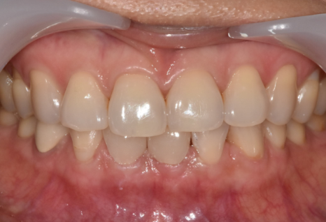
230703
완성된 두 번째 라미네이트는
앞니 사이 어둡게 보이던 공간이
자연스럽게 메워지고,
웃을 때 치아 라인도 훨씬 매끄럽게 이어졌습니다.

230523(전) 230703(후)
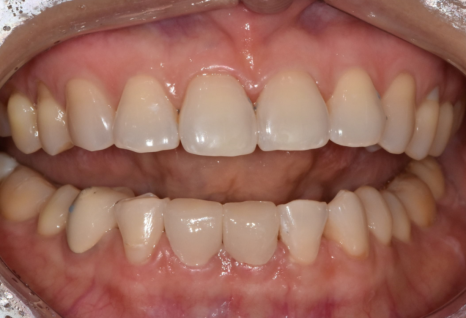
환자분께서는
색상과 모양이 자연스럽게 개선된 앞니를 보고,
"또 떨어질까 걱정하지 않아도 된다"는 점을 가장 크게 만족해하셨습니다.
앞니 레진이 자꾸 떨어진다고 해서
모든 경우에 라미네이트가 필요한 건 아닙니다.
다만 같은 자리가 반복해서 떨어지거나 변색 때문에
계속 신경 쓰이신다면,
다른 치료 방법도 고려해 보시는 것이 좋습니다.
치아 상태와 교합을 함께 살펴보며
환자분께 가장 적절한 치료 방법을 제안 드리겠습니다.
감사합니다.
▼치과 위치 확인▼
앞니 레진 떨어짐, 자꾸 반복된다면 '이것'부터
| 예약 전화하러 가기 |
|---|
| 02-481-4278 |
| 본 게시물은 의료광고 법 제56조 1항을 준수하여의료 정보 제공 목적으로 서울 바르디 치과에서 직접 작성하였습니다.제공된 정보는 참고만 하실 것을 권유 드리며 증상 파악 및 정확한 관리 방법은 의료기관에 내원 후 의료진을 통해 안내받으시길 바랍니다.치과에서 진행되는 모든 시술 / 수술은 개인에 따라 (염증, 출혈, 부기 등) 가능성이 있습니다.사전에 의료진과 충분한 상담을 통해 결정하시길 바랍니다.게시물의 치료 사례는 실제 본원에서 치료를 마친 환자분들의 동의하에촬영되었으며 전, 후 사진은 동일 조건에서 촬영되었습니다. |