아카이브 요약
이 페이지의 역할
서울바르디치과의원의 네이버 블로그 원문을 보존한 아카이브 페이지입니다. 충치/ 보철 치료 카테고리의 잇몸 내려감으로 길어진 치아, 방치하면 안 되는 원인, 증상, 이유 글을 통해 병원의 한국어 정보 제공 방식과 진료 관련 안내 톤을 확인할 수 있습니다.
원문 검증
필요하면 원문 블로그와 병원 프로필로 바로 이동해 문맥을 다시 확인할 수 있습니다.
출처 아카이브 열기아카이브된 블로그 글
서울바르디치과의원 · Naver Blog
잇몸 내려감으로 길어진 치아, 방치하면 안 되는 원인, 증상, 이유 안녕하세요! 서울바르디치과 원장입니다. 치아가 점점 내려앉는 느낌이 들거나, 길어지는 것 같다고 느끼신 적 있으신가요? 찬물을 마실 때 유독 이가 시리거나, 치아 사이 틈이 점점 벌어지는 것 같다면 이미 잇몸이 내려가고...
게시일
2025년 11월 25일
원문 기준으로 확인된 발행일입니다.
카테고리
충치/ 보철 치료
원문 블로그 카테고리를 정리해 함께 표시합니다.
이미지 수
15
현재 아카이브에 연결된 이미지 수입니다.
아카이브 요약
서울바르디치과의원의 네이버 블로그 원문을 보존한 아카이브 페이지입니다. 충치/ 보철 치료 카테고리의 잇몸 내려감으로 길어진 치아, 방치하면 안 되는 원인, 증상, 이유 글을 통해 병원의 한국어 정보 제공 방식과 진료 관련 안내 톤을 확인할 수 있습니다.
원문 검증
필요하면 원문 블로그와 병원 프로필로 바로 이동해 문맥을 다시 확인할 수 있습니다.
출처 아카이브 열기안녕하세요!
서울바르디치과 원장입니다.
치아가 점점 내려앉는 느낌이 들거나,
길어지는 것 같다고 느끼신 적 있으신가요?
찬물을 마실 때 유독 이가 시리거나,
치아 사이 틈이 점점 벌어지는 것 같다면
이미 잇몸이 내려가고 있다는 신호일 수 있습니다.
잇몸이 내려가면서 치아 뿌리가 드러나게 되고,
그로 인해 점점 치아가 길어 보이게 되는데
이는 단순히 심미적인 것뿐만 아니라
이 시림, 통증, 심하면 치아 흔들림까지 이어질 수 있습니다.
오늘은 잇몸이 내려앉는 이유와 증상을
해결 사례를 통해 말씀드리겠습니다.
<목차>
| 1. 잇몸 내려감, 대표적인 원인 3가지 |
|---|
| 2. 치아가 길어 보일 때 자주 나타나는 증상들 |
| 3. 잇몸 내려감으로 길어 보이는 치아, 실제로 이렇게 해결했습니다 |
잇몸이 내려가는 가장 큰 원인은
치주 질환(잇몸병)입니다.

치석으로 인해 내려간 잇몸
치아와 잇몸 사이 틈새에 치석이 쌓이면서
잇몸에 염증이 시작되고,
아래 치조골(잇몸뼈)을 녹이면서
잇몸도 따라 내려가게 됩니다.
“세게 닦아야 깨끗이 닦이는 줄 알았다.”
고 말씀 하시는 환자분들이 많습니다.
하지만 칫솔을 꽉 눌러서 닦으면
칫솔모가 치아 표면만 닦는 것이 아니라
잇몸을 깎아내는 역할을 하게 됩니다.

옆으로 양치하는 습관으로 생긴 치경부마모증
이런 습관은 서서히 치아 뿌리 쪽 잇몸이
뒤로 밀리듯 물러나면서
잇몸이 점점 내려앉는 느낌을 받게 될 수 있습니다.
자는 동안 이를 꽉 물거나 가는 것,
비정상적인 교합 문제가 있으면
치아와 잇몸뼈에는 계속해서 과한 힘이 전달됩니다.
이 힘이 반복되면 잇몸뼈에 미세한 손상이 쌓이게 되고,
어느 순간부터는 뼈의 양이 줄어들면서
그 뼈를 덮고 있던 잇몸도 함께 뒤로 물러나게 됩니다.

송곳니 쪽만 반대교합으로 인해 잇몸이 내려앉고 치아가 길어 보이는 상태
그로 인해, 유달리 힘을 많이 받는 치아는
더 길어 보일 수 있습니다.
자주 나타나는 증상들
잇몸 내려감으로 길어진 치아, 방치하면 안 되는 원인, 증상, 이유
잇몸이 내려가면서 치아가 길어 보일 때,
함께 동반되는 증상들은 다음과 같습니다.
찬물이나 찬 바람에도 치아가 쉽게 시린 느낌
치아 사이 틈이 넓어지고, 음식이 자주 끼는 느낌
특정 치아 한두 개만 유난히 길거나 튀어나와 보임
양치할 때 피가 나거나, 잇몸이 자주 붓는 증상
이러한 변화는 대부분 오랜 시간에 걸쳐
아주 조금씩 진행되기 때문에
환자분께서도
“언제부터 이렇게 된 건지 잘 모르겠다"라고
말씀하시는 경우가 많습니다.
이런 증상이 지속된다면 잇몸과 잇몸뼈 상태를
점검해 보시는 것이 좋습니다.
실제로 이렇게 해결했습니다
이 환자분이 저희 병원에 오시게 된 이유들은 다음과 같습니다.


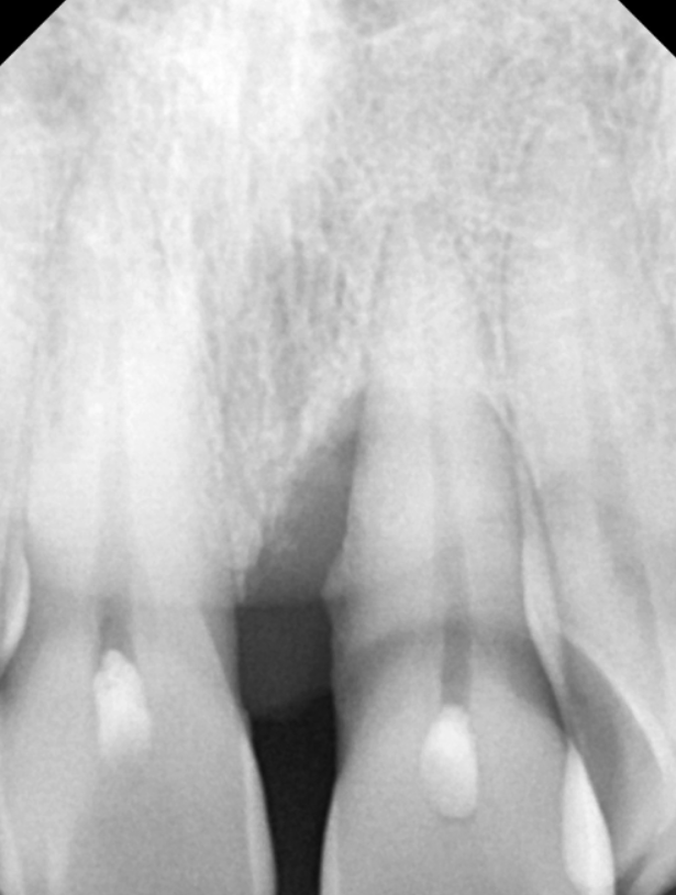
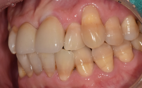
230413
왼쪽 앞니가 아래로 더 내려앉는 느낌
찬 것만 먹어도 시린 증상
앞니 사이 틈이 점점 넓어지는 변화
시간이 지날수록 위의 증상이 심해져서 고민하고 계셨습니다.
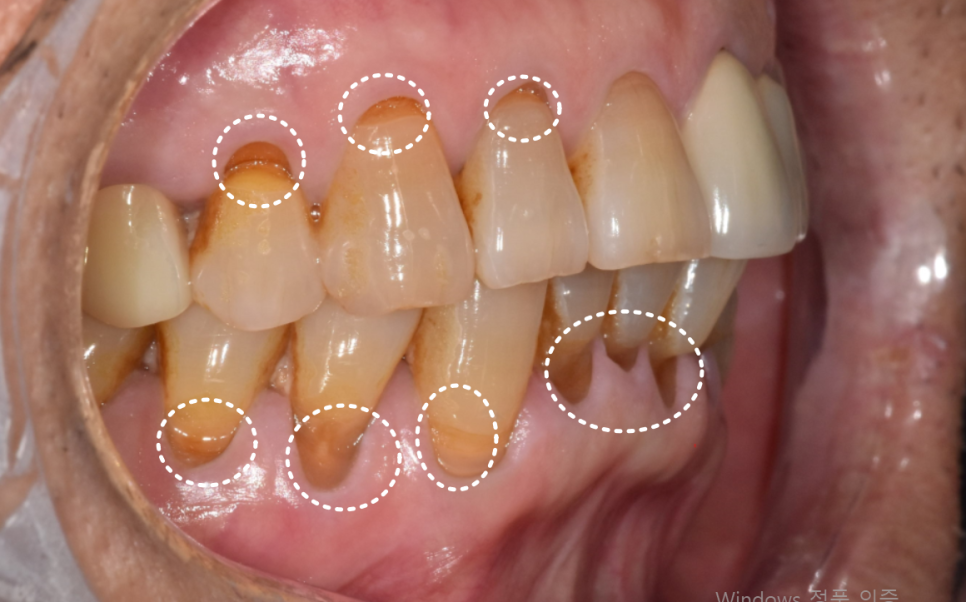
입안을 확인했을 때,
해당 부위 잇몸 안쪽으로 치석이 보였습니다.

230413 잇몸 내려감으로 길어진 치아, 방치하면 안 되는 원인, 증상, 이유
정확한 상태 확인을 위해 엑스레이 촬영과 검사를 진행한 결과,
치석으로 인해 잇몸병이 진행되면서
잇몸뼈가 일부 녹아 있는 상태였습니다.


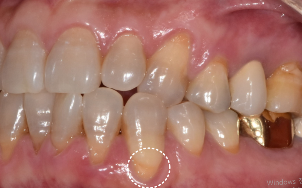
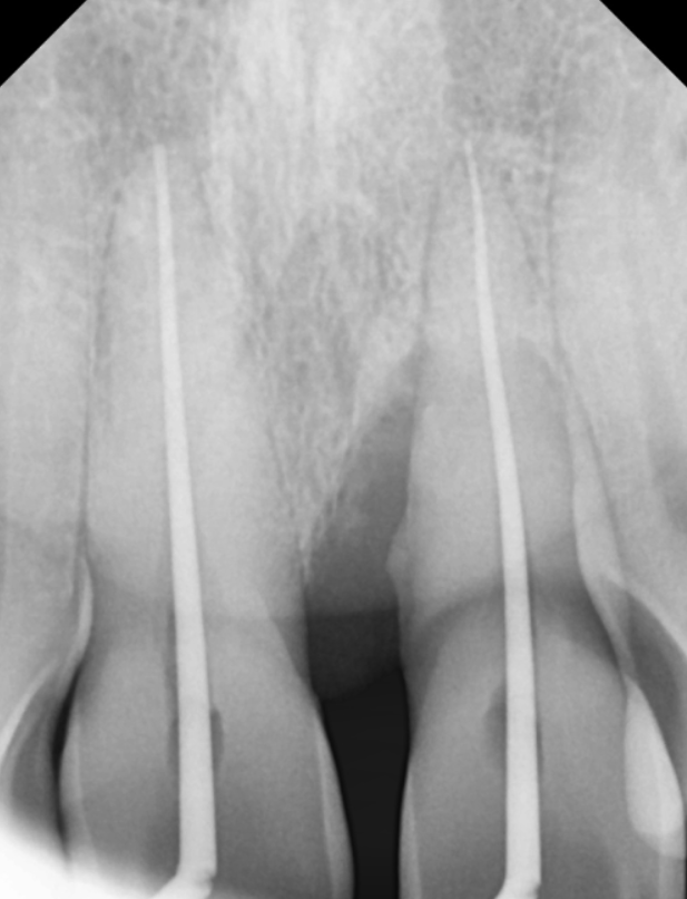
230413 / 230417
잇몸뼈가 줄어들면
치아를 받쳐주던 힘이 약해집니다.
그 결과 치아가 제자리에서 점점 내려오고,
치아가 길어 보이게 됩니다.
이 정도 상황에서는 발치로 이어지는 경우도
적지 않습니다.
하지만 이 환자분은 앞니를
지지하는 뼈가 완전히 무너진 상태는 아니었고,
치아 흔들림도 심하지 않아
자연치아를 살리는 방향으로 계획을 세울 수 있었습니다.
또한 과거 대장암으로 오랜 기간 치료를 받으신 병력이 있어 가능하면
“치아를 최대한 살리고 싶어요"라고 말씀하셨습니다.
이에 저희도 같은 목표를 가지고
무리한 발치 대신,
잇몸치료와 보존 치료를 우선으로 진행했습니다.
뼈를 녹인 치석들을 제거하고 염증 조직들을 꼼꼼하게 제거한 뒤
잇몸을 다시 건강하게 회복시키는 것이 목표.
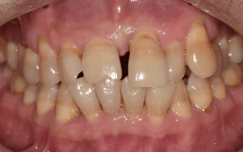
또한 치아 뿌리가 드러나 마모된 상태였고
시린 증상이 있어 신경치료를 함께 진행했습니다.

230417 신경치료
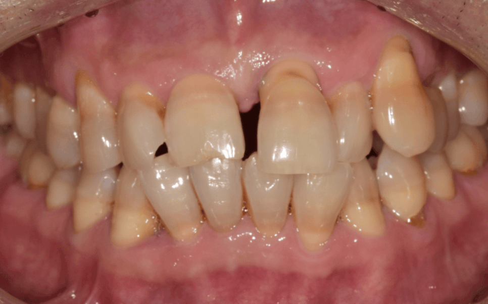
그 후 치아 벌어짐과 깨진 부위를 개선하기 위해
옆 치아와의 크기 분배 과정을 거쳐
지르코니아 크라운으로 마무리했습니다.
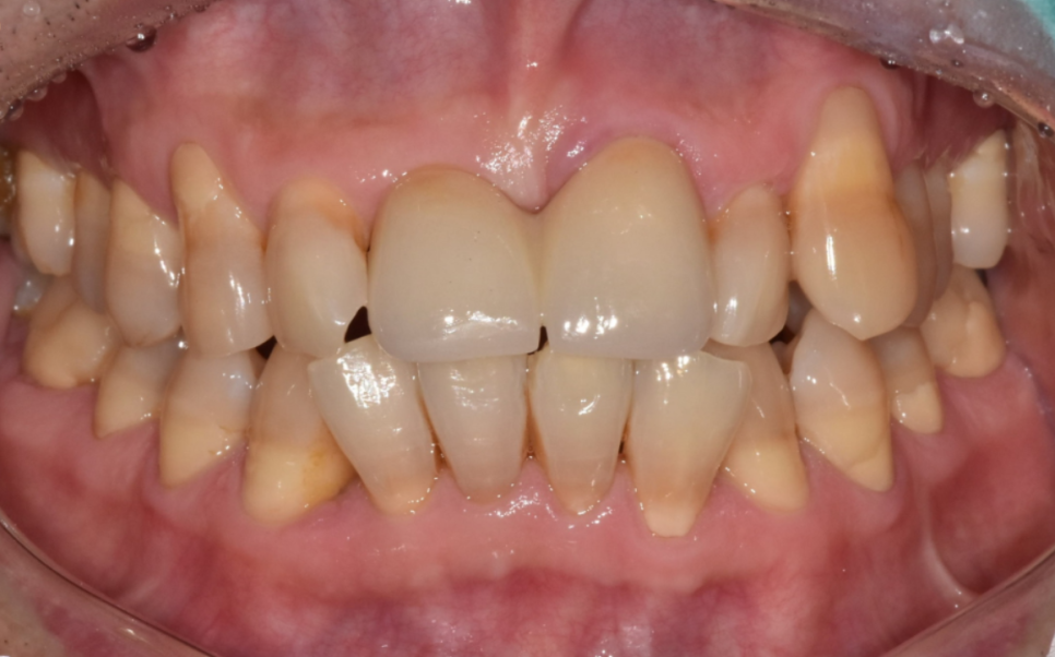
앞니는 가장 잘 보이는 자리라
조금만 크기나 모양이 달라도 금방 티가 납니다.

잇몸 내려감으로 길어진 치아, 방치하면 안 되는 원인, 증상, 이유
이 환자분처럼 사이 공간이 넓은 경우,
그냥 빈 공간을 꽉 메우면
앞니가 커 보이기 쉽습니다.
그래서 얼마나 메우느냐보다,
‘치아 분배’를 어떻게 하느냐가 핵심입니다.
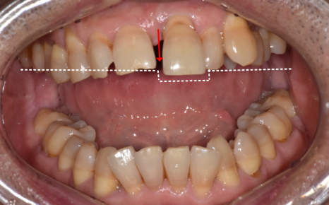
저희 치과는 구강 스캐너로 인상을 체득한 뒤,

3 shape
컴퓨터 화면에서 치아 하나하나의 폭과 길이를
여러 각도에서 보면서 미세하게 조정합니다.
그렇게 해서 나온 최종 결과물.

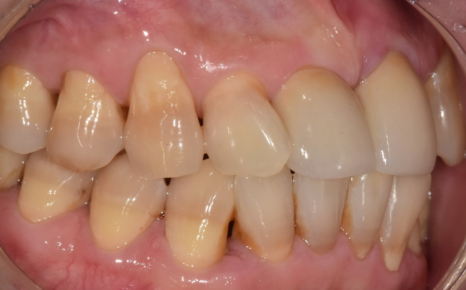
230515


230515
무엇보다 자연치아를 살릴 수 있어서 다행입니다.
나이가 들면서 잇몸이 자연스럽게 내려갈 수 있지만,
모든 경우가 정상적인 것은 아닙니다.
치아가 눈에 띄게 길어 보이거나,
시린 증상이 지속된다면 반드시 치아 점검이 필요합니다.
조기 발견과 적절한 치료를 통해 발치 없이
자연치아를 보존할 수 있습니다.
여러분의 소중한 치아를 지킬 수 있도록 마음을 다하겠습니다
감사합니다

230413(전) 230515 (후)
▼치과 위치 확인▼
잇몸 내려감으로 길어진 치아, 방치하면 안 되는 원인, 증상, 이유
| 예약 전화하러 가기 |
|---|
| 02-481-4278 |
| 본 게시물은 의료광고 법 제56조 1항을 준수하여의료 정보 제공 목적으로 서울 바르디 치과에서 직접 작성하였습니다.제공된 정보는 참고만 하실 것을 권유 드리며 증상 파악 및 정확한 관리 방법은 의료기관에 내원 후 의료진을 통해 안내받으시길 바랍니다.치과에서 진행되는 모든 시술 / 수술은 개인에 따라 (염증, 출혈, 부기 등) 가능성이 있습니다.사전에 의료진과 충분한 상담을 통해 결정하시길 바랍니다.게시물의 치료 사례는 실제 본원에서 치료를 마친 환자분들의 동의하에촬영되었으며 전, 후 사진은 동일 조건에서 촬영되었습니다. |