아카이브 요약
이 페이지의 역할
서울바르디치과의원의 네이버 블로그 원문을 보존한 아카이브 페이지입니다. 앞니마법사 카테고리의 고덕동 무삭제 라미네이트, 실패 없이 하려면 꼭 확인할 3가지 글을 통해 병원의 한국어 정보 제공 방식과 진료 관련 안내 톤을 확인할 수 있습니다.
원문 검증
필요하면 원문 블로그와 병원 프로필로 바로 이동해 문맥을 다시 확인할 수 있습니다.
출처 아카이브 열기아카이브된 블로그 글
서울바르디치과의원 · Naver Blog
고덕동 무삭제 라미네이트, 실패 없이 하려면 꼭 확인할 3가지 "치아 안 깎고 예쁘게 할 수 있다던데요?" "무삭제 라미네이트 하러 왔어요!" 안녕하세요. 서울바르디치과 원장입니다. 요즘 무삭제 라미네이트에 관한 SNS 광고, 정말 많이 보시죠. 치아를 전혀 깎지 않고도 예쁜 치...
게시일
2025년 12월 2일
원문 기준으로 확인된 발행일입니다.
카테고리
앞니마법사
원문 블로그 카테고리를 정리해 함께 표시합니다.
이미지 수
10
현재 아카이브에 연결된 이미지 수입니다.
아카이브 요약
서울바르디치과의원의 네이버 블로그 원문을 보존한 아카이브 페이지입니다. 앞니마법사 카테고리의 고덕동 무삭제 라미네이트, 실패 없이 하려면 꼭 확인할 3가지 글을 통해 병원의 한국어 정보 제공 방식과 진료 관련 안내 톤을 확인할 수 있습니다.
원문 검증
필요하면 원문 블로그와 병원 프로필로 바로 이동해 문맥을 다시 확인할 수 있습니다.
출처 아카이브 열기"치아 안 깎고 예쁘게 할 수 있다던데요?"
"무삭제 라미네이트 하러 왔어요!"
안녕하세요. 서울바르디치과 원장입니다.
요즘 무삭제 라미네이트에 관한 SNS 광고,
정말 많이 보시죠.
치아를 전혀 깎지 않고도
예쁜 치아를 만들 수 있다니,
저도 혹할 정도로 매력적으로 들립니다.
하지만 화려한 마케팅 뒤에
숨겨진 현실은 생각보다 훨씬 더 복잡합니다.
오늘은 무삭제 라미네이트를
실패 없이 진행하기 위해,
시술 전 꼭 확인해야 할 3가지를
솔직하게 말씀드리겠습니다.
<목차>
| 1. 무삭제 라미네이트는 모두에게 가능한 치료가 아닙니다. |
|---|
| 2. 무조건 무삭제 라미네이트가 좋은 건 아닙니다 |
| 3. 잘못된 무삭제는 오히려 입이 나와 보일 수 있습니다 |
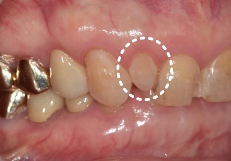
모두에게 가능한 치료가 아닙니다.
고덕동 무삭제 라미네이트, 실패 없이 하려면 꼭 확인할 3가지
무삭제 라미네이트를 받을 수 있는 경우는
생각보다 훨씬 제한적입니다.
실제로는 대부분의 환자분들께 무삭제가 어렵고,
일부 치아 조건에서만 가능합니다.
대표적으로는 이런 경우에 해당됩니다.
치아가 원래 작은 경우(왜소치)
앞니 사이가 많이 벌어진 경우
치아 두께가 유난히 얇은 경우
치아가 안쪽으로 들어가 있는 경우


왜소치인 경우

치아 사이 공간이 넓은 경우
정리하면,
치아가 작거나 앞니 사이에 여유 공간이 있는 경우에는 치아를 많이 깎지 않아도 됩니다.
겉을 살짝 다듬는 정도만으로도
치아 크기와 모양을 자연스럽게 채워 넣을 수 있습니다.


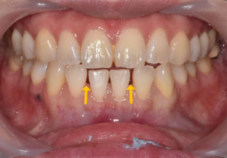
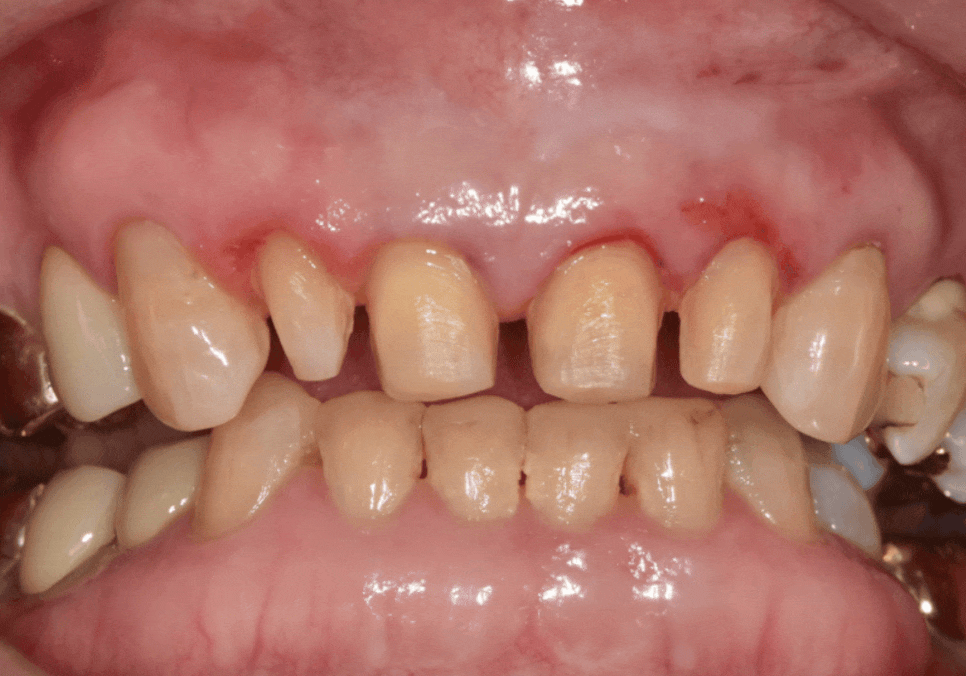
231017(전) 231116 (후)
다만, 어디까지 무삭제 또는 최소 삭제가 가능한지는
전체적인 교합 상태나,
치아가 얼마나 삐뚤어져 있는지까지
함께 보고 판단하는 것이 안전합니다.
반대로
치아가 크고, 튀어나와 있고, 삐뚠 경우라면
무조건 무삭제로 붙이기에는 한계가 있습니다.
고덕동 무삭제 라미네이트, 실패 없이 하려면 꼭 확인할 3가지
무삭제 라미네이트 광고가 많아지다 보니
"치아를 깎는 건 무조건 나쁘다"라는 인식이 생겨서
오히려 무삭제만 더 고집하게 되는 경우가 많습니다.
하지만 이건 오해입니다.
적절한 치아 삭제는
오히려 라미네이트의 접착을 좋게 하고,
좋은 형태를 만드는 데 도움이 됩니다.

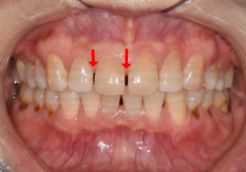
250313 (전) 250318 (후)
마치 벽에 벽지를 붙이기 전에
표면을 고르게 다듬는 것과 비슷합니다.
울퉁불퉁한 벽에 그냥 벽지를 붙이면
튀어나온 부분이 더 도드라져 보이죠?
치아도 마찬가지입니다.
튀어나온 부분을 살짝 다듬고 표면을 처리하는 과정은 필요할 수밖에 없습니다.
대부분의 경우 치아 전체를 깎는 게 아니라
필요한 부분만 선택적으로 삭제하는
최소 삭제 방식이 권장됩니다.

고덕동 무삭제 라미네이트, 실패 없이 하려면 꼭 확인할 3가지
무삭제 라미네이트의 가장 큰 문제는 원하지 않는 결과가 나올 수 있다는 겁니다.
라미네이트는 아무리 얇게 만들어도
0.1~0.5mm 정도 두께가 있습니다.


이미 어느 정도 앞으로 나온 치아에
이 두께가 그대로 더해지면 어떻게 될까요?
치아가 더 튀어나와 보이게 되겠죠.
그 결과 전체적으로 치아가 앞으로 나와 보이고,
입이 돌출돼 보이는 원하지 않는 결과를 얻을 수 있습니다.
게다가 마음에 안 든다고
라미네이트를 "쏙" 떼어내기도 어렵습니다.
라미네이트와 치아 경계가 애매해서
제거할 때 조심하지 않으면
치아 표면이 함께 손상될 위험이 있습니다.
라미네이트는 한두 푼 하는 치료도 아니고,
한 번 하면 10년 이상 치아와 미소에 영향을 주는 치료입니다.
그런데 막상 해놓고
본인이 생각한 것만큼 예뻐 보이지 않거나,
붙였다 떼었다 자꾸 떨어져서 스트레스를 받는다면
그것도 환자분 입장에서는 정말 힘든 일입니다.

인터넷 검색만 해봐도 라미네이트 떨어짐에 대한 고민글이 많이 보입니다.
그래서 저희는 무조건 “무삭제 됩니다”라고 하지 않습니다.
먼저 환자분의 치아 모양, 배열, 교합관계
(위아래 맞물림)을 전반적으로 확인한 뒤,
정말 무삭제로 가능한 치아인지
최소 삭제나 교정을 먼저 하는 것이 더 안전한지
오래 버틸 수 있는 라미네이트인지
이 부분을 솔직하게 설명드리려고 합니다.
광고 문구보다 여러 치과 의견을 들어보시고,
내 치아 상태를 현실적으로 이야기해 주는 곳을 선택하시길 권해 드립니다.
라미네이트를 고민 중이시라면
편하게 상담 받아보세요.
감사합니다.
▼치과 위치 확인▼
고덕동 무삭제 라미네이트, 실패 없이 하려면 꼭 확인할 3가지
| 예약 전화하러 가기 |
|---|
| 02-481-4278 |
| 본 게시물은 의료광고 법 제56조 1항을 준수하여의료 정보 제공 목적으로 서울 바르디 치과에서 직접 작성하였습니다.제공된 정보는 참고만 하실 것을 권유 드리며 증상 파악 및 정확한 관리 방법은 의료기관에 내원 후 의료진을 통해 안내받으시길 바랍니다.치과에서 진행되는 모든 시술 / 수술은 개인에 따라 (염증, 출혈, 부기 등) 가능성이 있습니다.사전에 의료진과 충분한 상담을 통해 결정하시길 바랍니다.게시물의 치료 사례는 실제 본원에서 치료를 마친 환자분들의 동의하에촬영되었으며 전, 후 사진은 동일 조건에서 촬영되었습니다. |