아카이브 요약
이 페이지의 역할
서울바르디치과의원의 네이버 블로그 원문을 보존한 아카이브 페이지입니다. 앞니마법사 카테고리의 앞니 변색, 치아미백효과 없는 이유 솔직하게 말씀드립니다. 글을 통해 병원의 한국어 정보 제공 방식과 진료 관련 안내 톤을 확인할 수 있습니다.
원문 검증
필요하면 원문 블로그와 병원 프로필로 바로 이동해 문맥을 다시 확인할 수 있습니다.
출처 아카이브 열기아카이브된 블로그 글
서울바르디치과의원 · Naver Blog
앞니 변색, 치아미백효과 없는 이유 솔직하게 말씀드립니다. 안녕하세요. 서울바르디치과 원장입니다. 치과에서 환자분들 만나다 보면 앞니 변색 때문에 오랫동안 고민하신 분들이 참 많습니다. 그런데, "미백 받으면 이거 하얗게 되죠?" 이렇게 물어보시는 경우가 종종 있습니다....
게시일
2025년 12월 4일
원문 기준으로 확인된 발행일입니다.
카테고리
앞니마법사
원문 블로그 카테고리를 정리해 함께 표시합니다.
이미지 수
9
현재 아카이브에 연결된 이미지 수입니다.
아카이브 요약
서울바르디치과의원의 네이버 블로그 원문을 보존한 아카이브 페이지입니다. 앞니마법사 카테고리의 앞니 변색, 치아미백효과 없는 이유 솔직하게 말씀드립니다. 글을 통해 병원의 한국어 정보 제공 방식과 진료 관련 안내 톤을 확인할 수 있습니다.
원문 검증
필요하면 원문 블로그와 병원 프로필로 바로 이동해 문맥을 다시 확인할 수 있습니다.
출처 아카이브 열기안녕하세요. 서울바르디치과 원장입니다.
치과에서 환자분들 만나다 보면
앞니 변색 때문에 오랫동안 고민하신 분들이 참 많습니다.
그런데, "미백 받으면 이거 하얗게 되죠?"
이렇게 물어보시는 경우가 종종 있습니다.
하지만 안타깝게도
“미백으로는 어려우실 것 같습니다”라고
말씀드려야 하는 경우도 적지 않습니다.
모든 변색이 미백으로 해결되는 건 아니거든요.
오늘은 미백으로 개선이 어려운 변색의 종류와,
앞니 변색을 개선한 실제 사례를 말씀드리겠습니다.
<목차>
| 치아미백효과가 없는 앞니 변색의 경우 |
|---|
| 앞니변색과 벌어짐, 라미네이트로 개선한 실제 사례 |
일반적인 착색이나 노란빛 변색은
미백으로 개선되는 경우가 많습니다.
하지만 치아 내부에서 시작된 변색은
미백 효과를 거의 기대하기 어렵습니다.
미백으로 개선이 어려운 변색 유형
1.항생제로 인한 변색
어릴 때 테트라사이클린 같은
항생제를 복용한 경우,
치아 내부 깊숙이 변색이 진행됩니다.

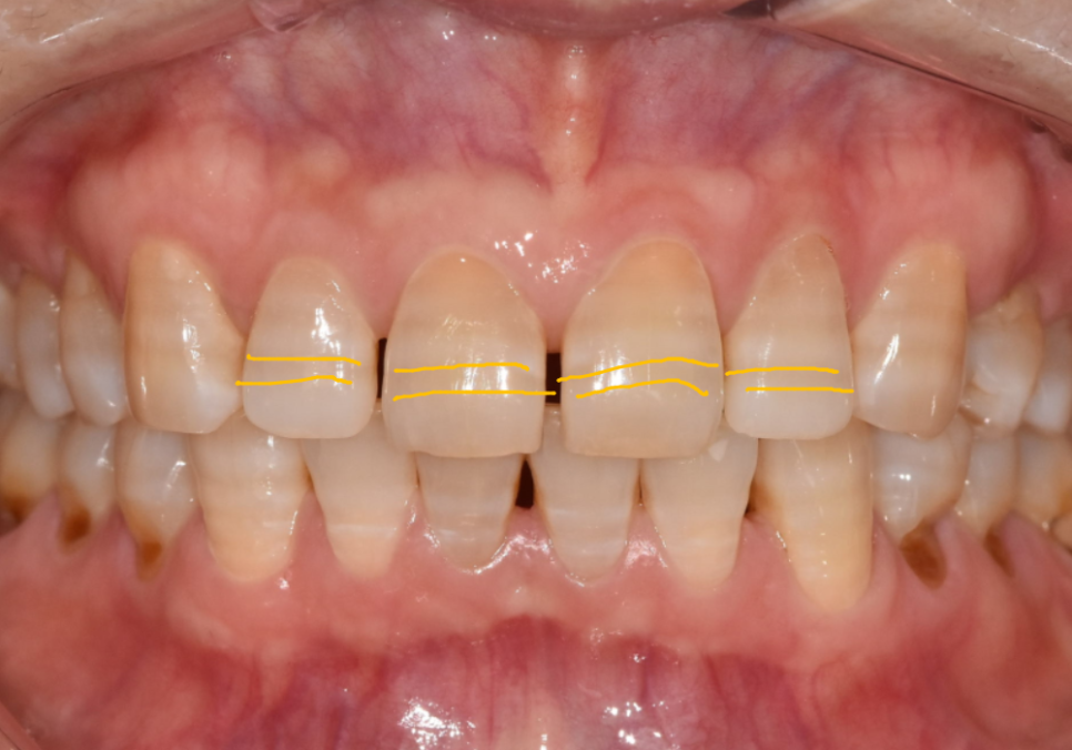
앞니 변색, 치아미백효과 없는 이유
갈색이나 회색 띠가 가로로
나타나는 것이 특징입니다.
이런 변색은 치아 표면이 아니라
내부 상아질에 색소가 침착되어 있어서
미백제로는 개선이 힘듭니다.

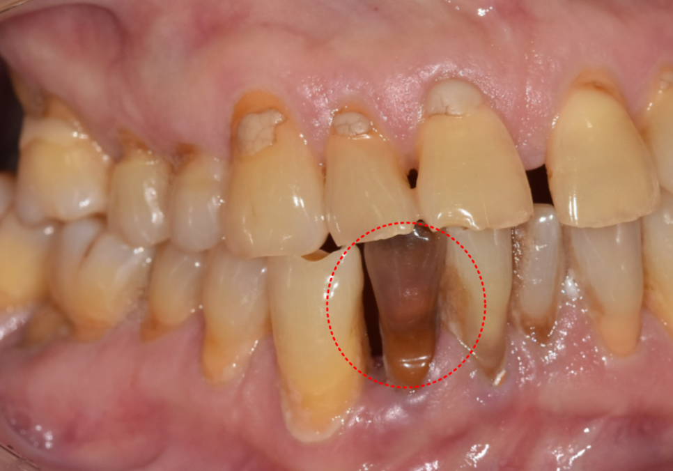
앞니 변색, 치아미백효과 없는 이유
치아에 외상을 입거나 신경이 손상되면
치아가 회색이나 갈색으로 어두워집니다.
이런 경우도 치아 내부에서 시작된 변색이라
일반 미백으로는 효과를 보기 어렵습니다.
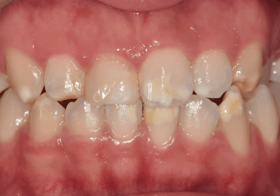
법랑질 형성 부전이나 불소 과다로 인한
흰 반점,갈색 반점이 있는 경우입니다.

앞니 변색, 치아미백효과 없는 이유
이 경우 미백을 하게 되면
반점 이외의 주변이 밝아져,
오히려 얼룩이 더 도드라져 보이기도 합니다.
그래서 미백보다는 라미네이트나 크라운 같은
보철 치료가 훨씬 효과적인 해결책이 됩니다.
라미네이트로 개선한 실제 사례
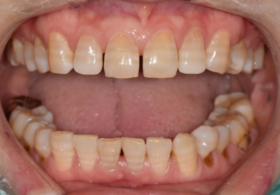
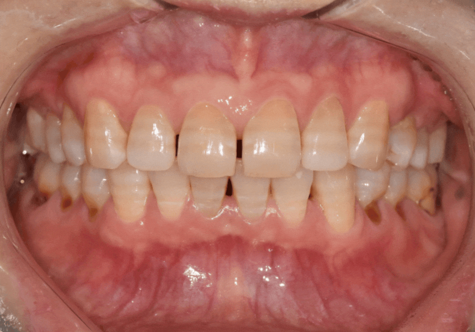
얼마 전에 내원하신 한 환자분이 특히 기억에 남습니다.
앞니가 벌어져 있고,
갈색 가로줄이 선명하게 보여서 웃을 때마다
입을 가리게 된다고 하셨습니다.

250220
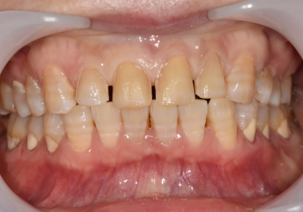
다른 치과에서는 앞니 벌어진 부분을 개선하기 위해
교정 치료부터 하자고 했지만,
시간도 오래 걸리고, 비용 부담도 커서
그냥 참고 지내고 계셨다고 합니다.
그러다 앞니 색과 벌어짐이 계속 신경 쓰여
저희 치과로 내원하셨고,
상담 중에
“미백하면 하얘질까요?” 하고 질문을 주셨습니다.
자세히 보니 전형적인 항생제 변색이었습니다.
앞에서 말씀드린 것처럼 항생제 변색은
치아 내부 깊숙이 색소가 침착되어 있어서
치아미백효과를 거의 기대하기 어렵습니다.

250220
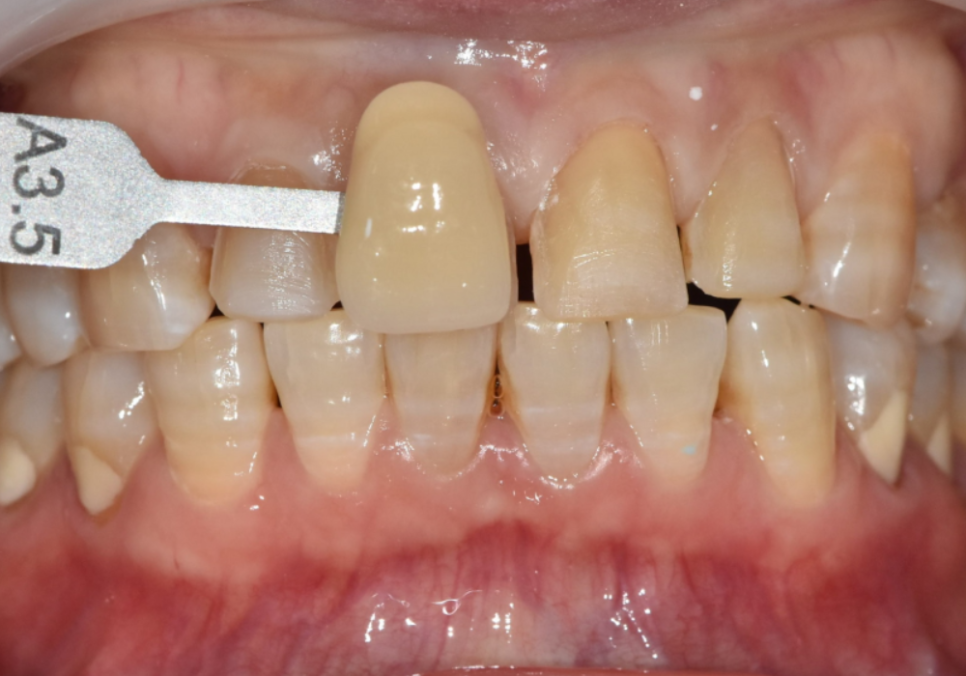
그래서 환자분께는 안타깝지만
미백만으로는 개선이 어렵다고
솔직하게 말씀드렸습니다.
대신, 라미네이트로 치아 벌어짐과 변색을
동시에 해결하는 것이 가장 효과적이라고 설명드렸습니다.
환자분도 오랜 고민 끝에 결정하셨고,
웃을 때 가장 잘보이는
앞니 4개를 라미네이트로 진행했습니다.

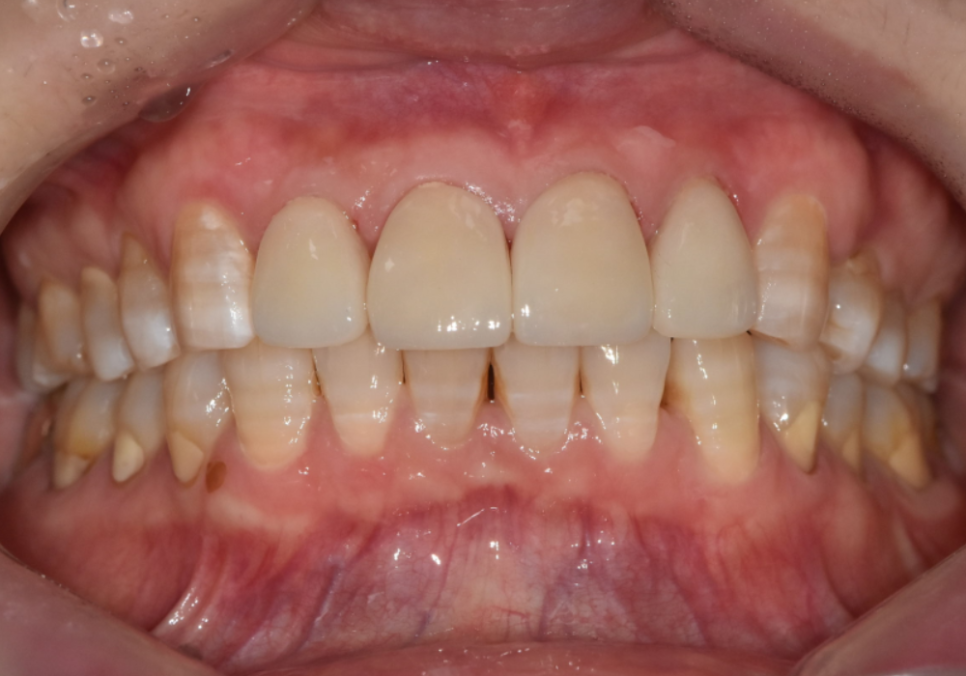
250228
치아 벌어짐을 자연스럽게 메우면서도
치아가 너무 커 보이지 않도록
크기와 비율을 꼼꼼하게 맞춰 드렸습니다.
색상은 환자분이 원하시는 밝기 범위 안에서,
자연스럽고 건강해 보이도록 제작했습니다.

250228
완성 후에는 갈색 가로줄도 보이지 않게 되었고,
치아 색도 밝고 균일하게 정돈됐습니다.

250307
치아 벌어짐도 자연스럽게 메워져서
웃을 때 자신감이 생겼다고 하셨습니다.
무엇보다 오랜 시간 고민하셨던 문제를
비교적 짧은 기간에 한 번에 해결할 수 있어
저 역시 참 다행스럽고 보람 있었습니다.

앞니 변색, 치아미백효과 없는 이유 250220(전) 250307(후)
치아 변색이라고 해서 모두 미백으로
해결되는 것은 아닙니다.
하지만 미백으로 해결되지 않는 변색이라도
라미네이트나 크라운, 다른 보철 치료를 통해
충분히 심미적으로 개선할 수 있습니다.
서울바르디치과는 원내 기공실을 갖추고 있어
환자분과 직접 상담하고,
기공사와도 긴밀히 소통하며
색상과 형태를 세심하게 조정합니다.
앞니 변색 때문에 고민이시라면,
정확한 진단을 통해 가장 적합한 해결 방법을
함께 찾아드릴 것을 약속드립니다.
감사합니다.
▼치과 위치 확인▼
앞니 변색, 치아미백효과 없는 이유 솔직하게 말씀드립니다
| 예약 전화하러 가기 |
|---|
| 02-481-4278 |
| 본 게시물은 의료광고 법 제56조 1항을 준수하여의료 정보 제공 목적으로 서울 바르디 치과에서 직접 작성하였습니다.제공된 정보는 참고만 하실 것을 권유 드리며 증상 파악 및 정확한 관리 방법은 의료기관에 내원 후 의료진을 통해 안내받으시길 바랍니다.치과에서 진행되는 모든 시술 / 수술은 개인에 따라 (염증, 출혈, 부기 등) 가능성이 있습니다.사전에 의료진과 충분한 상담을 통해 결정하시길 바랍니다.게시물의 치료 사례는 실제 본원에서 치료를 마친 환자분들의 동의하에촬영되었으며 전, 후 사진은 동일 조건에서 촬영되었습니다. |