아카이브 요약
이 페이지의 역할
서울바르디치과의원의 네이버 블로그 원문을 보존한 아카이브 페이지입니다. 앞니마법사 카테고리의 절단교합으로 인한 앞니 레진 깨짐, 교정 없이 해결한 사례 글을 통해 병원의 한국어 정보 제공 방식과 진료 관련 안내 톤을 확인할 수 있습니다.
원문 검증
필요하면 원문 블로그와 병원 프로필로 바로 이동해 문맥을 다시 확인할 수 있습니다.
출처 아카이브 열기아카이브된 블로그 글
서울바르디치과의원 · Naver Blog
절단교합으로 인한 앞니 레진 깨짐, 교정 없이 해결한 사례 안녕하세요. 서울바르디치과 원장입니다. “앞니 레진을 몇 번이나 다시 했는데 또 깨졌어요” 레진은 자연 치아색과 비슷하고 치료도 간단해 앞니가 깨졌을 때 많이 쓰입니다. 하지만 유리컵 모서리가 잘 깨지듯, 레진도 힘이 한곳에 반...
게시일
2025년 12월 6일
원문 기준으로 확인된 발행일입니다.
카테고리
앞니마법사
원문 블로그 카테고리를 정리해 함께 표시합니다.
이미지 수
11
현재 아카이브에 연결된 이미지 수입니다.
아카이브 요약
서울바르디치과의원의 네이버 블로그 원문을 보존한 아카이브 페이지입니다. 앞니마법사 카테고리의 절단교합으로 인한 앞니 레진 깨짐, 교정 없이 해결한 사례 글을 통해 병원의 한국어 정보 제공 방식과 진료 관련 안내 톤을 확인할 수 있습니다.
원문 검증
필요하면 원문 블로그와 병원 프로필로 바로 이동해 문맥을 다시 확인할 수 있습니다.
출처 아카이브 열기안녕하세요.
서울바르디치과 원장입니다.
“앞니 레진을 몇 번이나 다시 했는데
또 깨졌어요”
레진은 자연 치아색과 비슷하고 치료도 간단해
앞니가 깨졌을 때 많이 쓰입니다.
하지만 유리컵 모서리가 잘 깨지듯,
레진도 힘이 한곳에 반복적으로 몰리면 쉽게 파절됩니다.
특히 절단교합은
위 앞니와 아래 앞니가 끝과 끝끼리
딱 부딪히는 구조라
레진이 정면에서 계속 충격을 받습니다.
그래서 “또 깨졌어요”라는 고민이 반복되는 것이죠.
오늘은
절단교합에서 왜 레진이 자꾸 깨지는지
절단교합에 의한 레진 깨짐, 라미네이트로 안정적으로 개선한 실제 사례
두 가지를 소개하겠습니다.
반복적으로 깨질까요?
절단교합으로 인한 앞니 레진 깨짐, 교정 없이 해결한 사례
정상 교합에서는
위 앞니가 아래 앞니를 약 2mm 정도 살짝 덮습니다.

정상 교합
위아래 치아가 면으로 닿기 때문에
씹는 힘이 치아 전체로 분산됩니다.
하지만 절단교합은 다릅니다.

절단교합
위 앞니와 아래 앞니가 겹치지 않고
끝끼리 부딪힙니다.
가위 두 개를 세워놓고 끝부분만 계속
부딪히게 하는 모습을 떠올리면 비슷합니다.

절단교합
힘이 모서리에만 꽂히니
금이 가기 쉬운 구조죠.
이 상태에서 레진으로 수복하면
음식을 씹을 때마다 충격이
레진 끝부분에 그대로 전달됩니다.
그래서 조금씩 깨지고, 떨어지고,
색도 변하게 되는 거죠.
“왜 이렇게 자주 깨지지?”라는 의문이 생기지만
사실은 레진의 문제가 아니라
교합 구조가 만든 결과입니다.
교정 없이 라미네이트로
안정적으로 개선한 실제 사례
오늘 소개할 환자분도
어릴 때부터 절단교합을 갖고 계셨습니다.

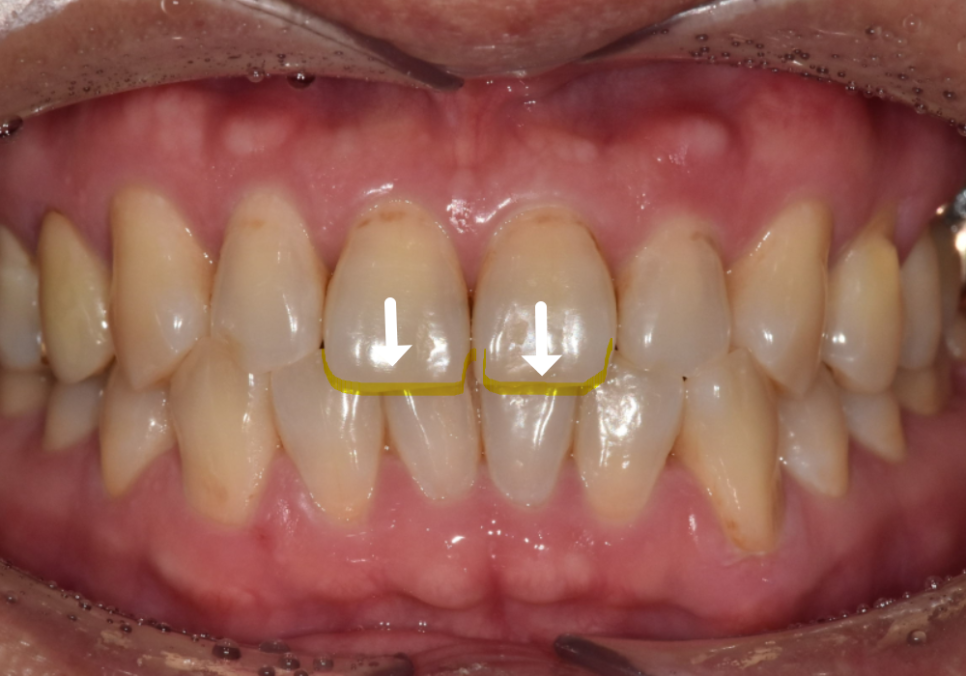
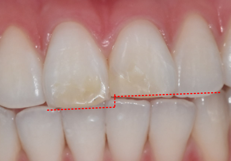
250203 절단교합으로 인한 앞니 레진 깨짐, 교정 없이 해결한 사례
한 번 앞니가 깨진 뒤 레진으로 여러 번 수복했지만
씹을 때마다 같은 자리에 힘이 실리면서
또 깨지고, 또 변색되는 상황이 반복됐습니다.

250203
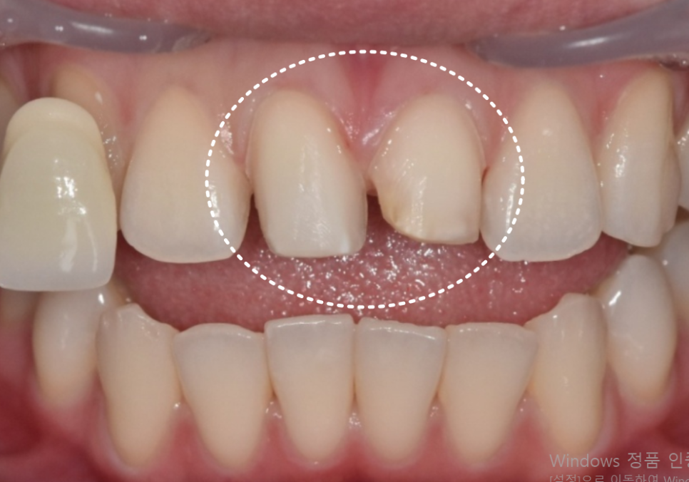
최근에는 레진이 다시 깨지면서
오른쪽과 왼쪽 앞니 길이가 다르게 보이고

250203
앞니가 살짝 앞으로 뻗어 보이는 돌출감도 겹쳐
웃을 때마다 더 신경 쓰인다며 내원하셨습니다.

250203 앞니가 뻐드러진 세팔로사진
사실 이런 경우 교정 치료가
가장 정석적인 해결 방법입니다.
절단교합 자체를 개선해 앞니에 실리는
힘의 방향을 바꿔주는 것이기 때문입니다.
하지만 환자분은
교정 없이 가능한 해결책을 찾고 싶어 하셨고,
앞니 돌출감을 조금이라도 완화하고
양쪽 길이를 가지런하게 맞추고 싶다는
요구도 분명했습니다.
이러한 조건을 고려해
라미네이트로 기능과 심미를
동시에 잡는 방향으로 결정했습니다.
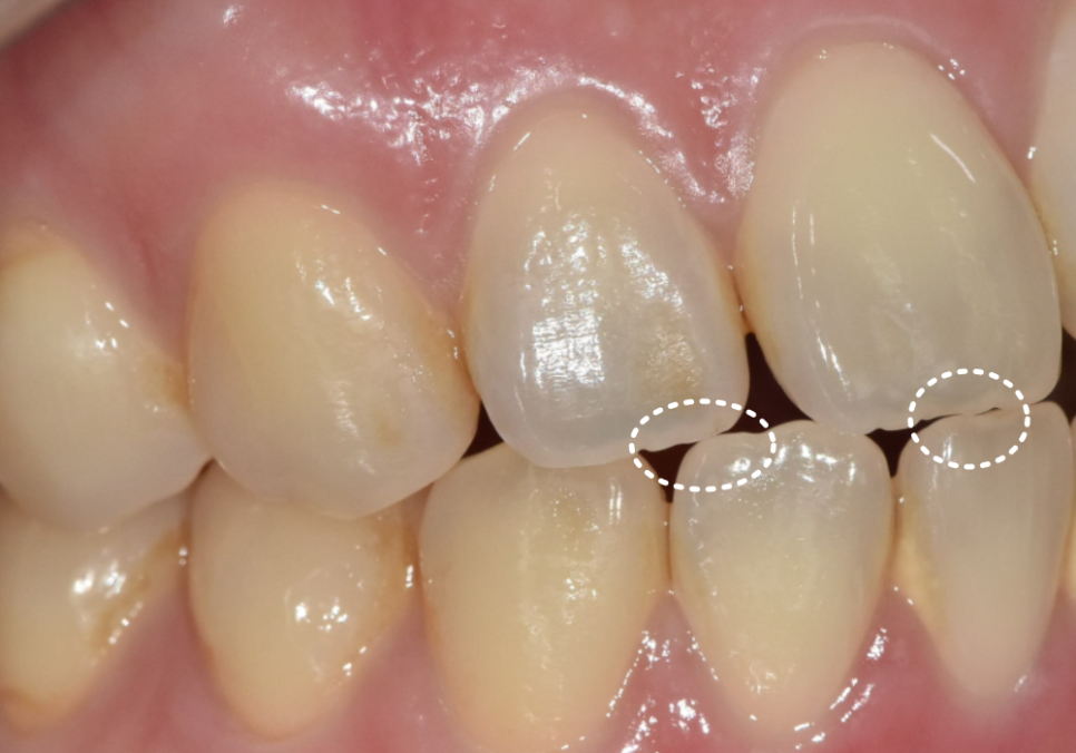
라미네이트가 오래 버티려면
앞니끼리 정면충돌하지 않도록 만드는 것이 핵심입니다.
그래서 아주 얇은 여유 공간을 만들어 주는 것이 중요했습니다.

250403
저희 병원의 강점인 원내 기공소를 통해
기공사와 바로바로 소통하며
· 앞니 돌출감을 얼마나 줄일지
· 길이를 어떻게 맞출지
· 힘이 덜 받는 각도를 어떻게 잡을지
이런 요소들을 실제 구강 상황과 비교해
즉각적으로 조정할 수 있었습니다.

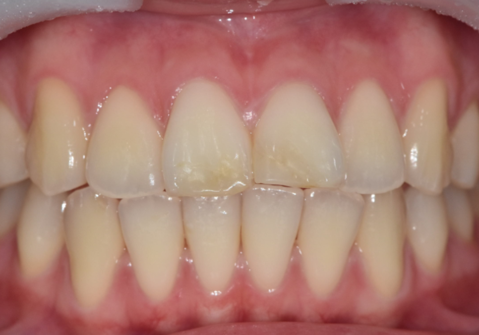
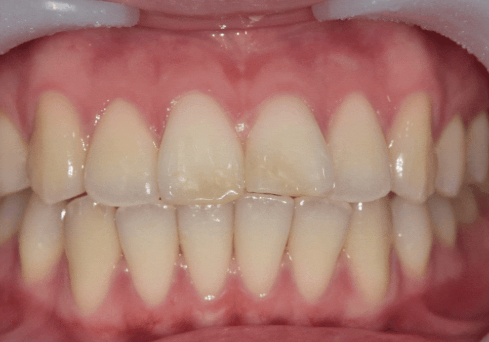
250410 절단교합으로 인한 앞니 레진 깨짐, 교정 없이 해결한 사례
단순히 “예쁘게 만드는 라미네이트”가 아니라
파절 위험을 낮추는 기능적 디자인으로
완성된 것이죠.

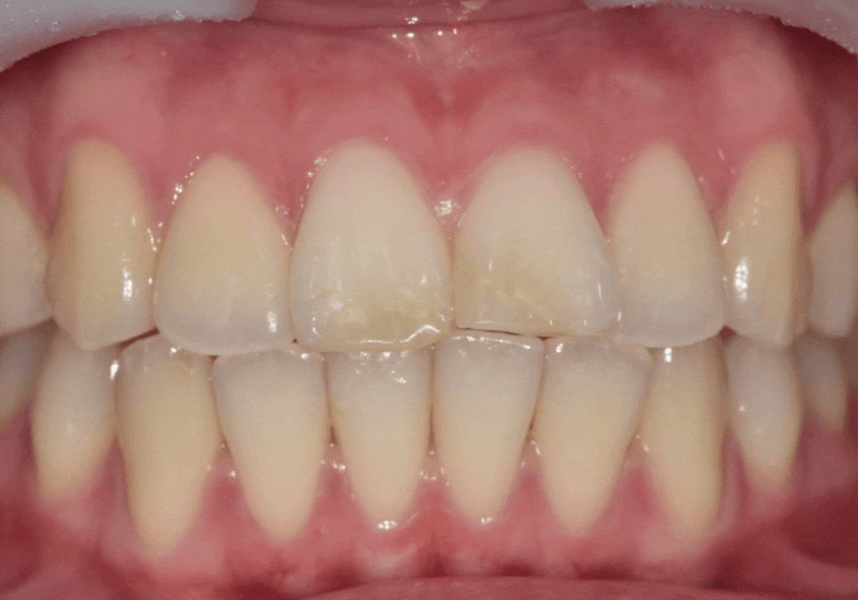
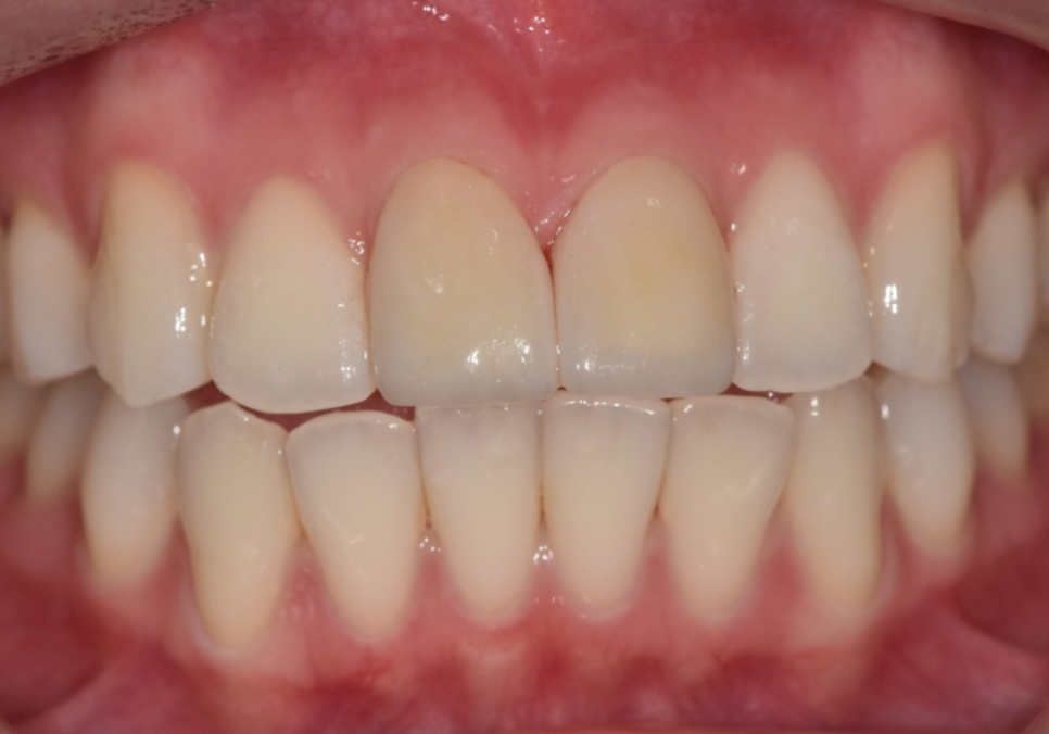
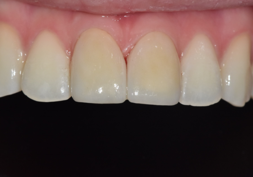
250203(전) 250410(후)
최종 라미네이트를 부착한 모습입니다.
· 양쪽 앞니 길이가 가지런해지고
· 앞으로 뻗어 보이던 느낌도 자연스럽게 완화되고
· 절단교합에서도 힘을 덜 받도록 안정적인 공간이 확보되었습니다.
제가 계획했던 대로 라미네이트가 제작되어
저 또한 뿌듯했던 것 같습니다.

250410 절단교합으로 인한 앞니 레진 깨짐, 교정 없이 해결한 사례
절단교합에서 반복적으로 깨지는 앞니 레진은
재료 탓이 아니라 교합 구조 탓인 경우가 많습니다.
교정이 가장 이상적인 해결일 수 있지만
모든 분이 교정을 선택할 수 있는 건 아닙니다.
이럴 때는 이번 사례처럼 교합을 고려한
라미네이트 디자인으로
심미성과 기능을 동시에 잡는 방법도
충분히 도움이 됩니다.
앞니 레진이 자꾸 깨져 고민이시라면
혼자 걱정하지 마세요.
현재 교합 상태를 정확히 진단한 뒤
환자분께 가장 안전하고 현실적인 해결책을 찾아드리겠습니다.
감사합니다.
▼치과 위치 확인▼
절단교합으로 인한 앞니 레진 깨짐, 교정 없이 해결한 사례
| 예약 전화하러 가기 |
|---|
| 02-481-4278 |
| 본 게시물은 의료광고 법 제56조 1항을 준수하여의료 정보 제공 목적으로 서울 바르디 치과에서 직접 작성하였습니다.제공된 정보는 참고만 하실 것을 권유 드리며 증상 파악 및 정확한 관리 방법은 의료기관에 내원 후 의료진을 통해 안내받으시길 바랍니다.치과에서 진행되는 모든 시술 / 수술은 개인에 따라 (염증, 출혈, 부기 등) 가능성이 있습니다.사전에 의료진과 충분한 상담을 통해 결정하시길 바랍니다.게시물의 치료 사례는 실제 본원에서 치료를 마친 환자분들의 동의하에촬영되었으며 전, 후 사진은 동일 조건에서 촬영되었습니다. |