아카이브 요약
이 페이지의 역할
서울바르디치과의원의 네이버 블로그 원문을 보존한 아카이브 페이지입니다. 앞니마법사 카테고리의 고덕동 치과 누런 이, 앞니 사이 틈, 잘못된 관리 때문일까? 글을 통해 병원의 한국어 정보 제공 방식과 진료 관련 안내 톤을 확인할 수 있습니다.
원문 검증
필요하면 원문 블로그와 병원 프로필로 바로 이동해 문맥을 다시 확인할 수 있습니다.
출처 아카이브 열기아카이브된 블로그 글
서울바르디치과의원 · Naver Blog
고덕동 치과 누런 이, 앞니 사이 틈, 잘못된 관리 때문일까? 안녕하세요. 서울바르디치과 원장입니다. 나이가 들면서 관절이 예전 같지 않다거나, 몸이 쉽게 피로해진다고 느끼시는 분들이 많으십니다. 이처럼 몸이 변하듯, 치아 역시 나이가 들면서 조금씩 다른 변화를 겪게 됩니다. “젊었...
게시일
2025년 12월 12일
원문 기준으로 확인된 발행일입니다.
카테고리
앞니마법사
원문 블로그 카테고리를 정리해 함께 표시합니다.
이미지 수
16
현재 아카이브에 연결된 이미지 수입니다.
아카이브 요약
서울바르디치과의원의 네이버 블로그 원문을 보존한 아카이브 페이지입니다. 앞니마법사 카테고리의 고덕동 치과 누런 이, 앞니 사이 틈, 잘못된 관리 때문일까? 글을 통해 병원의 한국어 정보 제공 방식과 진료 관련 안내 톤을 확인할 수 있습니다.
원문 검증
필요하면 원문 블로그와 병원 프로필로 바로 이동해 문맥을 다시 확인할 수 있습니다.
출처 아카이브 열기안녕하세요.
서울바르디치과 원장입니다.
나이가 들면서
관절이 예전 같지 않다거나,
몸이 쉽게 피로해진다고
느끼시는 분들이 많으십니다.
이처럼 몸이 변하듯,
치아 역시 나이가 들면서
조금씩 다른 변화를 겪게 됩니다.
“젊었을 때는 괜찮았는데,
요즘은 먹기만 하면 음식물이 껴요.
치아도 더 누래진 것 같고요.
치아도 나이가 드나 봐요!”
오늘은 이런 고민으로 내원하신
50대 환자분의 사례를 통해,

240716
앞니 사이 틈과 누런 치아가
왜 생겼는지,
그리고 어떤 치료가 적절했는지
차분히 설명드리겠습니다.
앞니 사이 틈으로 음식물이 끼는 이유,
관리 문제일까요?
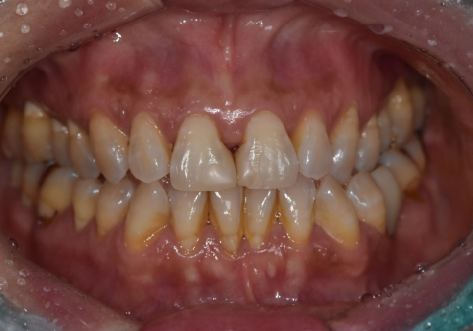
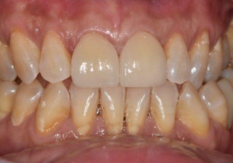
고덕동 치과 누런 이, 앞니 사이 틈, 잘못된 관리 때문일까?
앞니 사이에 음식물이 자꾸 끼고
치아가 누렇게 보이면
대부분은 양치나 관리 부족을
먼저 떠올리게 됩니다.
하지만 실제 치과에서 살펴보면
이런 변화는 단순한 관리 문제라기보다,
나이가 들면서 나타나는
잇몸 높이 변화와
치아 마모가 함께 작용해
생기는 경우가 적지 않습니다.

고덕동 치과 누런 이, 앞니 사이 틈, 잘못된 관리 때문일까?
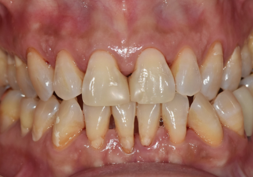
오늘 소개해 드릴 50대 환자분도
비슷한 고민으로 내원하셨는데요.
이 환자분은 젊었을 때부터
앞니 사이가 벌어져 있어
과거에 레진으로
치아 사이를 메운 경험이 있으셨습니다.

250318
치료 직후에는 큰 불편함 없이
오랜 기간 잘 사용하셨지만,
시간이 지나면서
앞니 사이로 음식물이 끼기 시작했다고
말씀해 주셨습니다.
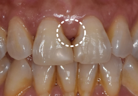
나이가 들수록 잇몸은
자연스럽게 조금씩 내려가게 되는데,

고덕동 치과 누런 이, 앞니 사이 틈, 잘못된 관리 때문일까?
이 과정에서
잇몸과 레진으로 막아두었던 경계 부위 사이에
미세한 틈이 생기게 됩니다.
잇몸이 내려가면서 치아 사이 공간이
삼각형 모양으로 검게 보이는 현상을
"블랙 트라이앵글(Black triangle)"이라고 합니다.

250318
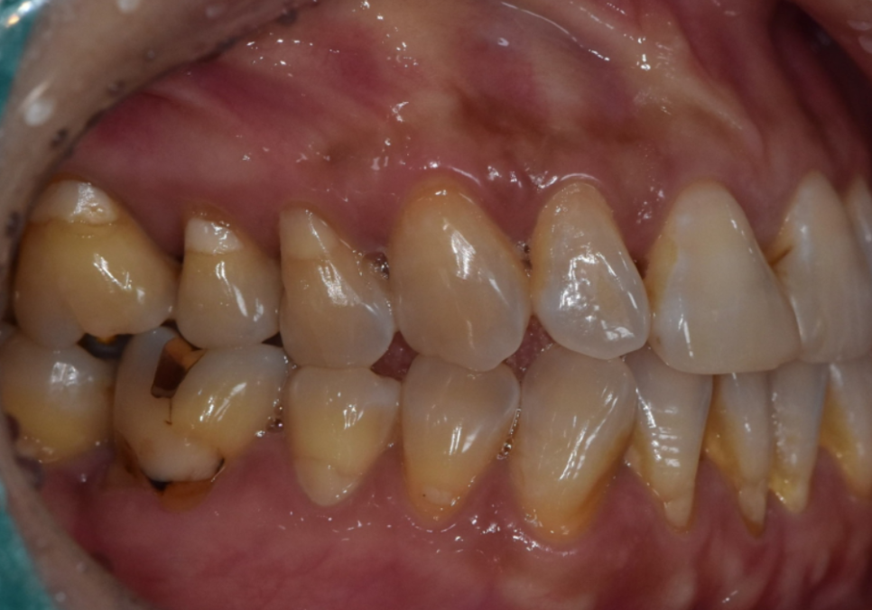
실제로 1년 전 초진 사진과
최근 사진을 비교해 보니,
잇몸 퇴축이 눈에 띄게 진행되면서
블랙 트라이앵글의 크기가
이전보다 확연히 커진 상태였습니다.


240716 / 250318
이로 인해
음식물이 반복적으로 끼고,
양치가 점점 어려워지면서
식사 후 불쾌감이 계속될 수밖에 없었던 것이죠.

고덕동 치과 누런 이, 앞니 사이 틈, 잘못된 관리 때문일까?
누런 이, 나이가 들수록 치아가
점점 더 누렇게 변하는 이유
고덕동 치과 누런 이, 앞니 사이 틈, 잘못된 관리 때문일까?
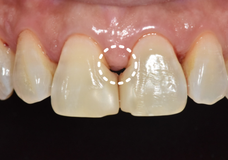
환자분의 또 다른 고민은
치아 색상이 예전보다
어둡고 누렇게 보인다는 점이었습니다.

250318
우리 치아는
겉을 감싸는 하얀 법랑질(enamel)과
그 안쪽의 노란빛을 띄는 상아질(dentin)로
이루어져 있습니다.

고덕동 치과 누런 이, 앞니 사이 틈, 잘못된 관리 때문일까?
법랑질은 우리 몸에서
가장 단단한 조직이지만,
평생 수천 번의 저작 운동과
음식, 생활 습관, 외부 자극을 반복적으로 받으며
조금씩 마모될 수밖에 없습니다.
이 과정에서
법랑질의 두께가 얇아지면
안쪽의 상아질 색이 비쳐 보이게 되고,
치아는 점점
어둡고 누렇게 보이게 됩니다.

250318
이처럼 노화로 인한 치아 변색은
표면 착색과는 원인이 다르기 때문에
전문가 치아미백만으로는
개선이 어려운 경우가 많습니다.
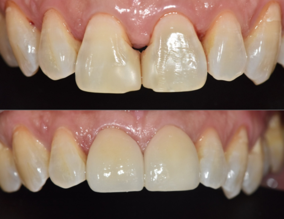
레진 재치료보다 라미네이트를 선택한 이유
고덕동 치과 누런 이, 앞니 사이 틈, 잘못된 관리 때문일까?
앞니 사이 틈과 치아 변색을
함께 개선하기 위해
레진 재치료도 고려할 수 있었지만,
잇몸이 더 내려가면
다시 틈이 생길 가능성이 높고
레진은 시간이 지나며
변색과 마모가 비교적 빠른 편이기 때문에
이번 경우에는
라미네이트 치료가 더 적절하다고 판단했습니다.
라미네이트는
얇은 세라믹 보철을 치아 겉면에 부착해
치아의 색상과 형태를 함께 개선할 수 있어,
블랙 트라이앵글과 치아 변색을
동시에 보완할 수 있는 치료 방법입니다.

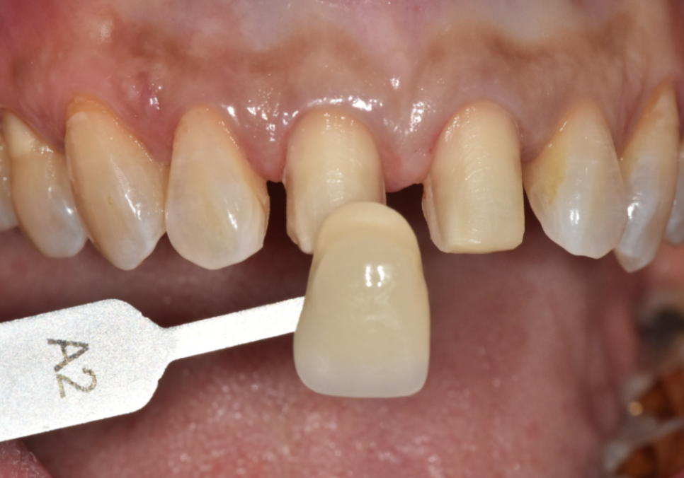
라미네이트 제작 과정
원내 기공소가 있는 치과의 차이
고덕동 치과 누런 이, 앞니 사이 틈, 잘못된 관리 때문일까?
저희 치과는
원내 기공소를 직접 운영하고 있습니다.
외부 기공소를 이용하는 경우에는
보철 제작과 수정 과정에서
기공물이 오가며 배송 기간을 기다려야 해
치료 기간이 길어지는 경우가 많습니다.
반면 원내 기공소에서는
의료진, 기공사, 환자분이 직접 소통하며
색상이나 모양이 조금이라도 마음에 들지 않으면
그 자리에서 바로 수정이 가능합니다.

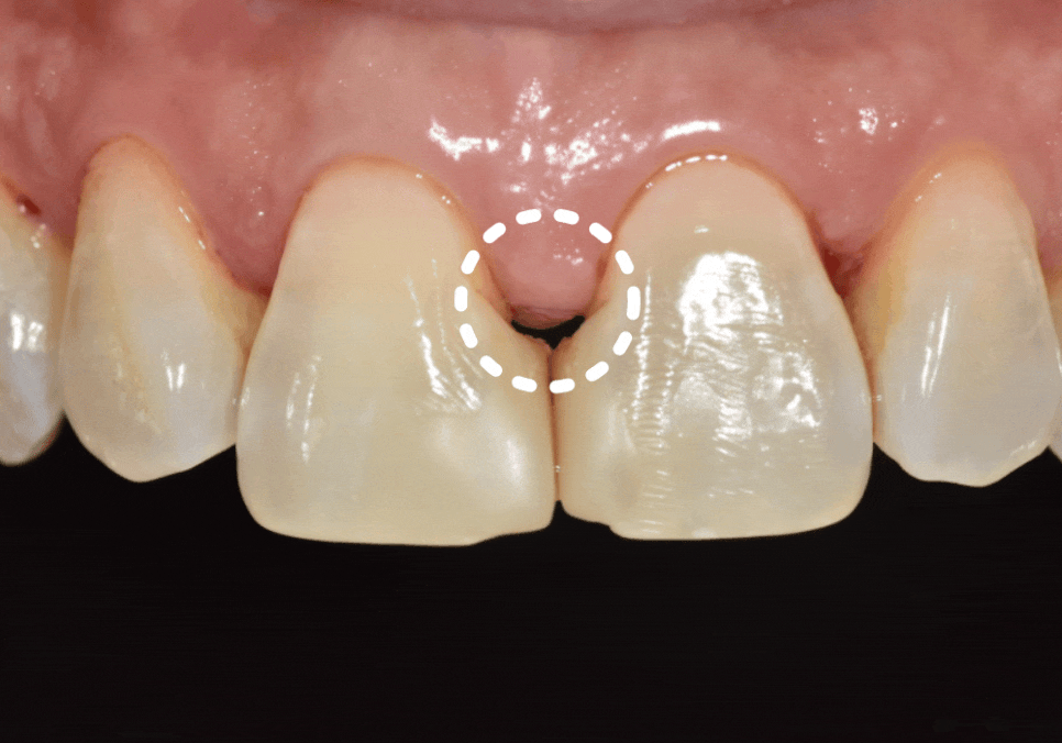
250318
이 환자분 역시
치아 색감과 투명도에 대해
세밀한 의견을 주셨고,


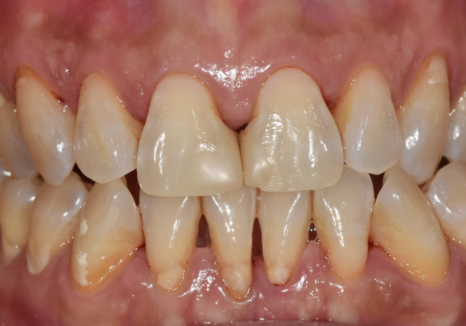
250318 (전) 250325 (후)
즉각적인 피드백을 반영해
자연스럽고 조화로운 앞니 라인이
완성되었습니다. ^^

250318 (전) 250325 (후)
앞니 사이 틈과 치아 변색은
단순히 관리가 부족해서 생긴 문제가 아니라,
노화와 과거 치료 이력이
함께 작용해 나타나는 변화인 경우가 많습니다.
치아도 몸처럼,
나이가 들면 ‘관리만으로는 부족한 시점’이
생길 수 있습니다.
이럴 때 현재 치아 상태에 맞는 치료 선택이
무엇보다 중요합니다.
비슷한 고민으로 불편함을 느끼고 계시다면
혼자 걱정하지 마시고,
전문의와 상담을 통해
본인에게 맞는 방향을 찾아보시기 바랍니다.
오늘도 긴 글 읽어주셔서 감사합니다.
▼치과 위치 확인▼
고덕동 치과 누런 이, 앞니 사이 틈, 잘못된 관리 때문일까?
| 예약 전화하러 가기 |
|---|
| 02-481-4278 |
| 본 게시물은 의료광고 법 제56조 1항을 준수하여의료 정보 제공 목적으로 서울 바르디 치과에서 직접 작성하였습니다.제공된 정보는 참고만 하실 것을 권유 드리며 증상 파악 및 정확한 관리 방법은 의료기관에 내원 후 의료진을 통해 안내받으시길 바랍니다.치과에서 진행되는 모든 시술 / 수술은 개인에 따라 (염증, 출혈, 부기 등) 가능성이 있습니다.사전에 의료진과 충분한 상담을 통해 결정하시길 바랍니다.게시물의 치료 사례는 실제 본원에서 치료를 마친 환자분들의 동의하에촬영되었으며 전, 후 사진은 동일 조건에서 촬영되었습니다. |