아카이브 요약
이 페이지의 역할
서울바르디치과의원의 네이버 블로그 원문을 보존한 아카이브 페이지입니다. 앞니마법사 카테고리의 천호 라미네이트 파절 탈락, 줄이려면 치과 선택이 중요합니다. 글을 통해 병원의 한국어 정보 제공 방식과 진료 관련 안내 톤을 확인할 수 있습니다.
원문 검증
필요하면 원문 블로그와 병원 프로필로 바로 이동해 문맥을 다시 확인할 수 있습니다.
출처 아카이브 열기아카이브된 블로그 글
서울바르디치과의원 · Naver Blog
천호 라미네이트 파절 탈락, 줄이려면 치과 선택이 중요합니다. 안녕하세요. 서울바르디치과 원장입니다. 몇 년 전, 먹방 촬영 중 연예인 이지혜 님의 라미네이트가 빠지는 장면이 잠깐 화제가 된 적이 있었죠. 유투브 밉지않은 관종언니 캡쳐본 그 이후로인지 상담을 하다 보면 비슷한 질문을 정말 자주...
게시일
2025년 12월 20일
원문 기준으로 확인된 발행일입니다.
카테고리
앞니마법사
원문 블로그 카테고리를 정리해 함께 표시합니다.
이미지 수
15
현재 아카이브에 연결된 이미지 수입니다.
아카이브 요약
서울바르디치과의원의 네이버 블로그 원문을 보존한 아카이브 페이지입니다. 앞니마법사 카테고리의 천호 라미네이트 파절 탈락, 줄이려면 치과 선택이 중요합니다. 글을 통해 병원의 한국어 정보 제공 방식과 진료 관련 안내 톤을 확인할 수 있습니다.
원문 검증
필요하면 원문 블로그와 병원 프로필로 바로 이동해 문맥을 다시 확인할 수 있습니다.
출처 아카이브 열기안녕하세요.
서울바르디치과 원장입니다.
몇 년 전,
먹방 촬영 중 연예인 이지혜 님의 라미네이트가
빠지는 장면이 잠깐 화제가 된 적이 있었죠.



유투브 밉지않은 관종언니 캡쳐본
그 이후로인지
상담을 하다 보면
비슷한 질문을 정말 자주 듣게 됩니다.
“라미네이트 하면
먹다가 빠질 수도 있나요?”
“인터넷에 깨졌다는 얘기도 많던데..”
이런 질문이 나오는 건
사실 아주 자연스러운 일입니다.
내 치아에 붙이는 치료인데
혹시라도 문제 생기면 어쩌나
걱정이 될 수밖에 없으니까요.
다만 한 가지는 분명합니다.
라미네이트가
원래부터 잘 깨지고 잘 떨어지는
치료는 아니라는 점입니다.
실제로 깨짐이나 탈락은
운이 나빠서 생긴다기보다
몇 가지 조건이 겹쳐서
나타나는 경우가 훨씬 많기 때문이죠.
그래서 오늘은
라미네이트가 왜 깨지거나 떨어질 수 있는지,
어떤 상황에서 문제가 생기는지,
그리고 이런 일을 줄이려면
치과를 어떻게 고르면 좋은지에 대해
말씀드려볼까 합니다.
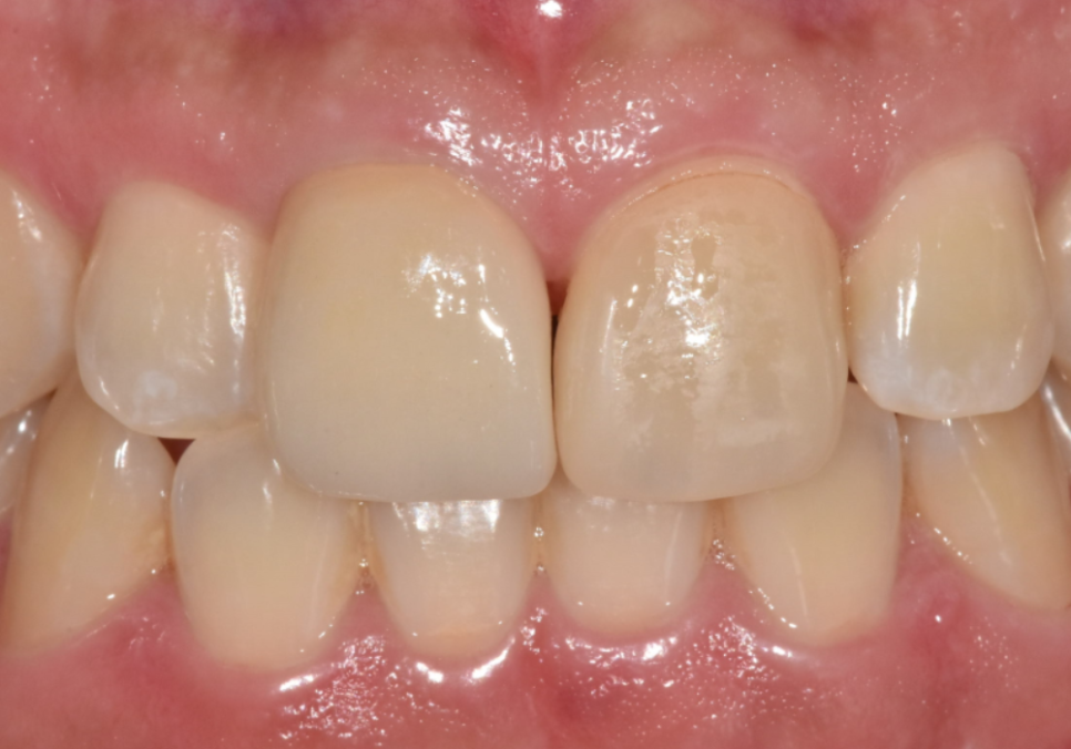
라미네이트는 왜 깨질까?
천호 라미네이트 파절 탈락, 줄이려면 치과 선택이 중요합니다.
라미네이트는
생각보다 아주 얇은 세라믹입니다.

천호 라미네이트 파절 탈락, 줄이려면 치과 선택이 중요합니다.
자연치아처럼 보이는 장점이 있지만
그만큼 힘에는 예민한 편이죠.
크게 부딪힌 기억이 없어도
아래의 원인때문에
문제가 생길 수 있습니다.
앞니로 음식을 뜯거나
딱딱한 걸 앞니로 씹는 습관,
이를 꽉 무는 버릇이나 이갈이 등은
라미네이트에 부담을 줍니다.

앞니가 마모된 모습
처음에는 괜찮아 보여도
이런 힘이 반복되면
문제가 생길 수 있습니다.
씹을 때
라미네이트가 먼저 닿는 위치라면
자연스럽게 힘을 더 받게 됩니다.
특정 치아만 계속 힘을 받는 구조라면
깨질 가능성도 높아질 수밖에 없습니다.
무조건 얇게 만드는 게
항상 좋은 선택은 아닙니다.
유지력이나 강도를 충분히 고려하지 않으면
겉보기에는 자연스러워도
오히려 파절이나 탈락으로
이어질 수 있습니다.
라미네이트는
접착으로 유지되는 치료입니다.

방습을 위해 사용되는 재료인 러버댐
접착 과정에서 방습이 가장 중요한데,
침과 습기가 완전히 차단되지 않으면
처음엔 멀쩡해 보여도
시간이 지나면서
문제가 생길 수 있습니다.
이처럼
사용 습관, 교합, 디자인, 접착 과정까지
여러 조건이 겹치면
눈에 보이지 않는 작은 금이 생기고
어느 순간
"어? 깨졌네"
"갑자기 떨어졌네"
하는 상황으로 이어질 수 있습니다.
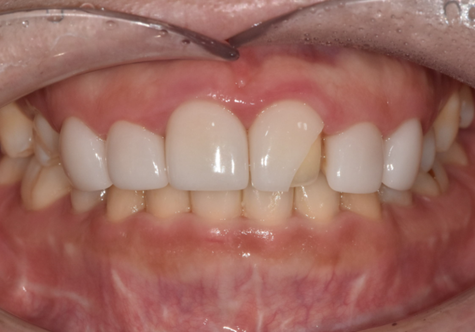
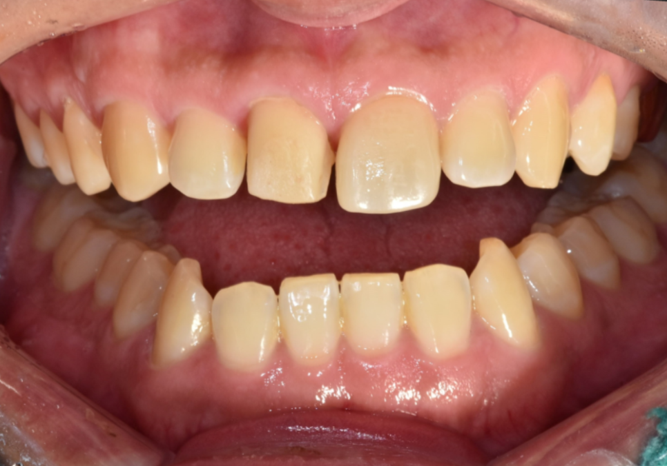
반복적인 힘으로 라미네이트가 파절된 사례
천호 라미네이트 파절 탈락, 줄이려면 치과 선택이 중요합니다.
왼쪽 앞니 라미네이트가
깨져서 내원하신 분이 있었습니다.

250827
이미 일부가 파절된 상태였고
간단한 조정으로 해결할 단계는
지나 있었습니다.

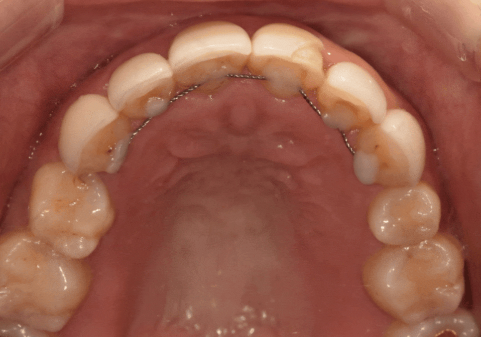
250827
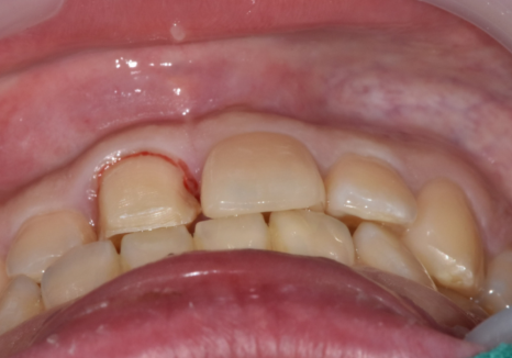
확인해보니 교합이 긴밀할 뿐더러,
교정 치료 후 리테이너를 고정한 레진이
조금 높게 남아 있었습니다.

250827 리테이너를 고정한 레진이 크게 남아있음
그 영향으로 씹을 때 힘이
해당 라미네이트에 집중되고 있었고,
결국 파절로 이어진 상황이었습니다.
이 경우에는 부분 수리보다는
기존 라미네이트를 제거하고
재제작하는 치료를 진행했습니다.


250827 / 250903
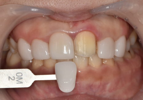
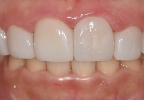
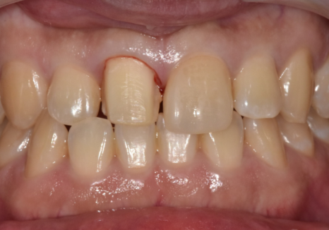
유지력이 부족해 라미네이트가 탈락한 사례
천호 라미네이트 파절 탈락, 줄이려면 치과 선택이 중요합니다.
이번에는
오른쪽 앞니 라미네이트가
'툭' 하고 떨어져서 오신 분입니다.

240508
라미네이트 자체에는
큰 손상은 없었지만,
치아 삭제량이 적어
접착 유지력이 충분하지 않은 구조였습니다.
다시 붙이는 방법도 있었지만
같은 조건이라면


240508
재탈락 가능성이 높다고 판단해
형태를 보완한 뒤
새 라미네이트를 제작했습니다.

240516
라미네이트 파절, 탈락을 줄일 수 있는 치과 선택의 기준은?
천호 라미네이트 파절 탈락, 줄이려면 치과 선택이 중요합니다.
라미네이트를 고민하고 있다면
상담 시 이런 부분을
한 번쯤 확인해보셔도 좋겠습니다.
씹는 힘과 교합을 함께 보는지
최소 삭제만 강조하지는 않는지
유지력에 대해 솔직히 설명하는지
문제 발생 시의 방향을 미리 안내하는지
이런 설명이 자연스럽게 이어진다면
결과를 오래 쓰는 쪽으로
치료를 고민하고 있을 가능성이 큽니다.
라미네이트의 깨짐이나 탈락은
갑자기 생기는 문제가 아니라,
치아가 받는 힘과 구조,
그리고 치료 과정의 선택이
조금씩 쌓여 나타나는
결과인 경우가 많습니다.
그래서 라미네이트 치료에서는
얼마나 얇고 예쁘게 보이느냐보다,
내 치아가 어떤 환경에서 사용되는지까지
함께 고려하는 과정이 중요합니다.
현재 치아 상태와 사용 환경을
세밀하게 살펴본 후,
환자분께 무리가 없고
현실적으로 오래 유지할 수 있는 방향을
함께 고민해
결정해드리겠습니다.
감사합니다.
▼치과 위치 확인▼
천호 라미네이트 파절 탈락, 줄이려면 치과 선택이 중요합니다.
| 예약 전화하러 가기 |
|---|
| 02-481-4278 |
| 본 게시물은 의료광고 법 제56조 1항을 준수하여의료 정보 제공 목적으로 서울 바르디 치과에서 직접 작성하였습니다.제공된 정보는 참고만 하실 것을 권유 드리며 증상 파악 및 정확한 관리 방법은 의료기관에 내원 후 의료진을 통해 안내받으시길 바랍니다.치과에서 진행되는 모든 시술 / 수술은 개인에 따라 (염증, 출혈, 부기 등) 가능성이 있습니다.사전에 의료진과 충분한 상담을 통해 결정하시길 바랍니다.게시물의 치료 사례는 실제 본원에서 치료를 마친 환자분들의 동의하에촬영되었으며 전, 후 사진은 동일 조건에서 촬영되었습니다. |