아카이브 요약
이 페이지의 역할
서울바르디치과의원의 네이버 블로그 원문을 보존한 아카이브 페이지입니다. 앞니마법사 카테고리의 고덕역 치과 반점치 얼룩덜룩한 치아, 치료 실패 줄이는 5가지 기준 글을 통해 병원의 한국어 정보 제공 방식과 진료 관련 안내 톤을 확인할 수 있습니다.
원문 검증
필요하면 원문 블로그와 병원 프로필로 바로 이동해 문맥을 다시 확인할 수 있습니다.
출처 아카이브 열기아카이브된 블로그 글
서울바르디치과의원 · Naver Blog
고덕역 치과 반점치 얼룩덜룩한 치아, 치료 실패 줄이는 5가지 기준 안녕하세요. 서울바르디치과 원장입니다. 반점치가 있으면 치아가 얼룩덜룩해 보여 웃을 때 신경 쓰이는 경우가 많습니다. 그래서 미백만으로 될지 먼저 확인해보고, 필요하면 레진이나 보철 치료까지 함께 고민하게 됩니다. ...
게시일
2025년 12월 20일
원문 기준으로 확인된 발행일입니다.
카테고리
앞니마법사
원문 블로그 카테고리를 정리해 함께 표시합니다.
이미지 수
10
현재 아카이브에 연결된 이미지 수입니다.
아카이브 요약
서울바르디치과의원의 네이버 블로그 원문을 보존한 아카이브 페이지입니다. 앞니마법사 카테고리의 고덕역 치과 반점치 얼룩덜룩한 치아, 치료 실패 줄이는 5가지 기준 글을 통해 병원의 한국어 정보 제공 방식과 진료 관련 안내 톤을 확인할 수 있습니다.
원문 검증
필요하면 원문 블로그와 병원 프로필로 바로 이동해 문맥을 다시 확인할 수 있습니다.
출처 아카이브 열기안녕하세요.
서울바르디치과 원장입니다.
반점치가 있으면 치아가 얼룩덜룩해 보여
웃을 때 신경 쓰이는 경우가 많습니다.
그래서 미백만으로 될지 먼저 확인해보고,
필요하면 레진이나 보철 치료까지
함께 고민하게 됩니다.
다만, 반점치 치료는
"이 치료가 제일 좋다"라고 단정하기 어렵습니다.
반점의 범위,
색 차이,
씹는 힘 등
환자 개개인의 상태에 따라
결과가 꽤 달라질 수 있기 때문입니다.
오늘은 치료 선택에서 후회를 줄이기 위해
5가지 기준을 먼저 정리하고,
실제 사례에서 어떻게 적용했는지도
함께 설명드리겠습니다.
반점치 치료, 실패를 줄이는 5가지 기준
고덕역 치과
고덕역 치과 반점치 얼룩덜룩한 치아, 치료 실패 줄이는 5가지 기준
반점치 치료에서
가장 먼저 확인해야 할 부분은
얼마나 넓게 퍼져 있는지,
그리고 표면적인지 깊이가 있는지입니다.
앞니 한두 개에만 있는지,
앞니 전반에 퍼져 있는지에 따라
치료 선택이 달라질 수 있습니다.

고덕역 치과 반점치 얼룩덜룩한 치아, 치료 실패 줄이는 5가지 기준
반점 범위가 넓거나
주변 치아와 색 차이가 큰 경우에는
미백 후 오히려 반점만 더 강조되어
얼룩덜룩한 인상이 강해질 수 있습니다.
그래서 미백은 상태를 충분히 살핀 뒤
신중하게 판단해야 합니다.
고덕역 치과 반점치 얼룩덜룩한 치아, 치료 실패 줄이는 5가지 기준
레진 치료는
치아 삭제량이 적다는 장점이 있지만,
넓은 범위에 적용할 경우
시간이 지나면서
변색이나 경계가 보일 가능성도
함께 고려해야 합니다.

고덕역 치과 반점치 얼룩덜룩한 치아, 치료 실패 줄이는 5가지 기준
반점치 치료에서
심미만큼 중요한 요소가
치아가 맞물리는 방식입니다.
씹을 때 힘을 많이 받는 치아에
얇은 보철을 적용하면
시간이 지나면서
파절이나 탈락으로 이어질 수 있습니다.
그래서 반점치 치료 전에는
반드시 교합 상태를 함께 확인해야 합니다.
5)지금보다 ‘앞으로’를 기준으로 판단합니다
고덕역 치과 반점치 얼룩덜룩한 치아, 치료 실패 줄이는 5가지 기준
반점치 치료는
지금 당장 얼마나 예뻐 보이느냐보다
앞으로 얼마나 오래,
문제없이 사용할 수 있느냐를
기준으로 판단하는 것이 중요합니다.
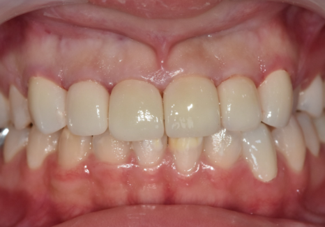
반점치로 얼룩덜룩해 보이던 앞니, 치료 과정
고덕역 치과 반점치 얼룩덜룩한 치아, 치료 실패 줄이는 5가지 기준
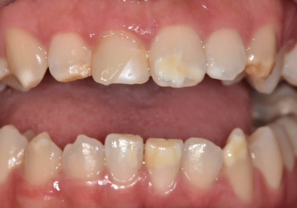
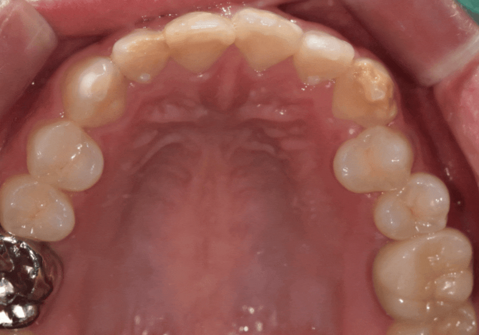
이번 환자분은 10대였고,
위 앞니 전반에 하얀 반점이
비교적 넓게 퍼져 있었습니다.

250503
일부 치아는 반점이
치아 면적의 절반 이상을 차지해
앞니 톤이 균일하지 않은 상태였습니다.
미백을 먼저 살펴봤습니다
고덕역 치과 반점치 얼룩덜룩한 치아, 치료 실패 줄이는 5가지 기준
이 경우에는 반점 범위가 넓고
색 차이가 뚜렷했기 때문에,
미백을 진행하면
전체 치아는 밝아질 수 있어도
반점 부위는 오히려
더 도드라져 보일 가능성이 높았습니다.
그래서 미백은
현실적인 해결 방법이 되기
어렵다고 판단했습니다.
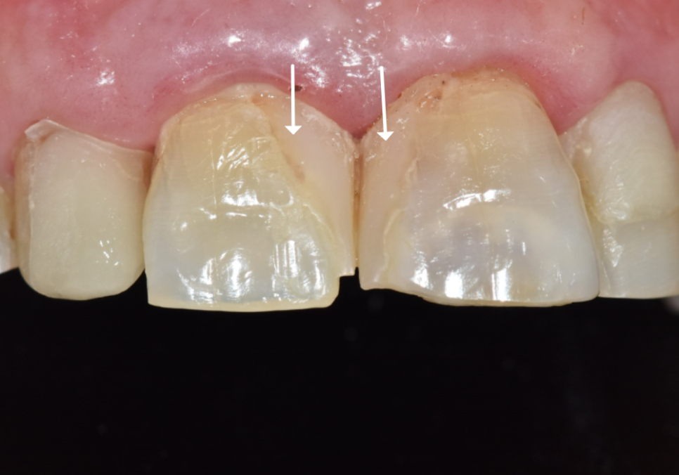
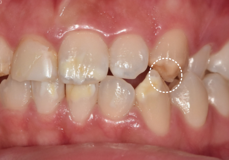
그렇다면 레진 치료는?
고덕역 치과 반점치 얼룩덜룩한 치아, 치료 실패 줄이는 5가지 기준
다만 앞니 전반에
반점이 분포된 경우에는
여러 면에 레진을 적용해야 하고,
시간이 지나면서
변색이 생길 가능성도
고려해야 합니다.

변색된 레진 (예시)
특히 아직
10대인 환자분이었기 때문에,
앞으로 수십 년 동안
사용할 치아라는 점을 생각하면
장기적인 안정성도 중요한 요소였습니다.
이런 이유로 색 안정성이 좋고
넓은 반점 범위를 자연스럽게 가릴 수 있는
라미네이트를 우선적으로 고려했습니다.
하지만 여기서 또 하나
중요한 부분이 있었습니다.
바로 교합,
즉 치아 맞물림 상태였는데요,

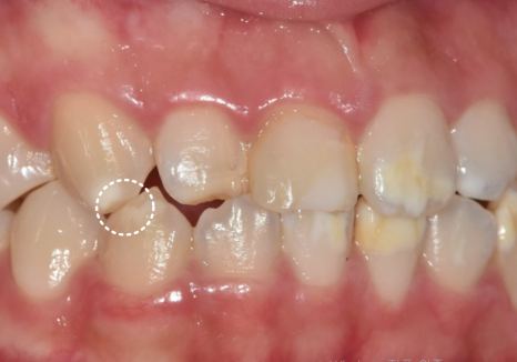
250503
확인 결과,
양쪽 송곳니 부위가
긴밀하게 맞물리고 있었고,
씹을 때 힘이 직접적으로
전달되는 구조였습니다.


250503
이러한 상태에서는
얇은 라미네이트가
장기적으로 부담을 받을 가능성이 있습니다.
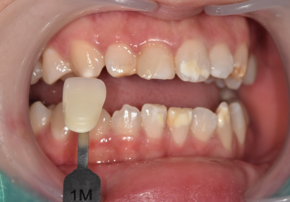
그래서
힘을 상대적으로 덜 받는
앞니는 라미네이트,
씹는 힘이 집중되는
송곳니 부위는
강도가 쎈 지르코니아 크라운으로
치료 방법을 나누어 선택했습니다.

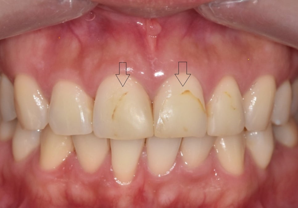
250503 고덕역 치과 반점치 얼룩덜룩한 치아, 치료 실패 줄이는 5가지 기준
서로 다른 치료를 적용했지만,
색상과 형태는
주변 치아와 자연스럽게 어울리도록
세밀하게 조율했습니다.
이 과정에서는
원내 기공소에서 기공사와 직접 소통하며
보철 제작을 진행했기 때문에,
미세한 색감이나 형태 조정도
즉각적으로 반영할 수 있었습니다.


250514
그 결과,
서로 다른 재료를 사용했음에도
앞니 전체가 하나의 치아처럼
자연스럽게 이어질 수 있었습니다.
반점치 치료는
겉으로 보이는 얼룩을 가리는 데서
끝나는 치료가 아닙니다.
특히 10대 환자분의 경우,
앞니는 앞으로도
수십 년 동안 계속 사용해야 할
치아이기 때문에
지금 당장의 심미적인 개선보다
탈 없이 오래 유지되는지가 더 중요합니다.
현재 치아 상태와 맞물림,
사용 환경을 충분히 살펴본 뒤,
환자분께 무리가 없고
현실적으로 오래 유지할 수 있는 방법을
함께 고민해 결정합니다.
반점치 치료가 고민되신다면,
현재 상태에서 어떤 방법이
가장 안정적인지 먼저 확인해보세요.
감사합니다.^^
▼치과 위치 확인▼
고덕역 치과 반점치 얼룩덜룩한 치아, 치료 실패 줄이는 5가지 기준
| 예약 전화하러 가기 |
|---|
| 02-481-4278 |
| 본 게시물은 의료광고 법 제56조 1항을 준수하여의료 정보 제공 목적으로 서울 바르디 치과에서 직접 작성하였습니다.제공된 정보는 참고만 하실 것을 권유 드리며 증상 파악 및 정확한 관리 방법은 의료기관에 내원 후 의료진을 통해 안내받으시길 바랍니다.치과에서 진행되는 모든 시술 / 수술은 개인에 따라 (염증, 출혈, 부기 등) 가능성이 있습니다.사전에 의료진과 충분한 상담을 통해 결정하시길 바랍니다.게시물의 치료 사례는 실제 본원에서 치료를 마친 환자분들의 동의하에촬영되었으며 전, 후 사진은 동일 조건에서 촬영되었습니다. |