아카이브 요약
이 페이지의 역할
서울바르디치과의원의 네이버 블로그 원문을 보존한 아카이브 페이지입니다. 앞니마법사 카테고리의 앞니 라미네이트, 치아 시림 고민 덜 수 있는 해결 방법 공개합니다. 글을 통해 병원의 한국어 정보 제공 방식과 진료 관련 안내 톤을 확인할 수 있습니다.
원문 검증
필요하면 원문 블로그와 병원 프로필로 바로 이동해 문맥을 다시 확인할 수 있습니다.
출처 아카이브 열기아카이브된 블로그 글
서울바르디치과의원 · Naver Blog
앞니 라미네이트, 치아 시림 고민 덜 수 있는 해결 방법 공개합니다. 안녕하세요. 서울바르디치과 원장입니다. "진짜 치아 손상 없이 가능한가요? 라미네이트 하고 나서 시려서 찬물 못 마신다는 글도 봐서요.." 라미네이트를 고민하시는 분들이 가장 많이 하시는 질문입니다. 앞니 라미네이트, 치...
게시일
2025년 12월 20일
원문 기준으로 확인된 발행일입니다.
카테고리
앞니마법사
원문 블로그 카테고리를 정리해 함께 표시합니다.
이미지 수
14
현재 아카이브에 연결된 이미지 수입니다.
아카이브 요약
서울바르디치과의원의 네이버 블로그 원문을 보존한 아카이브 페이지입니다. 앞니마법사 카테고리의 앞니 라미네이트, 치아 시림 고민 덜 수 있는 해결 방법 공개합니다. 글을 통해 병원의 한국어 정보 제공 방식과 진료 관련 안내 톤을 확인할 수 있습니다.
원문 검증
필요하면 원문 블로그와 병원 프로필로 바로 이동해 문맥을 다시 확인할 수 있습니다.
출처 아카이브 열기안녕하세요.
서울바르디치과 원장입니다.
"진짜 치아 손상 없이 가능한가요?
라미네이트 하고 나서 시려서
찬물 못 마신다는 글도 봐서요.."
라미네이트를 고민하시는 분들이
가장 많이 하시는 질문입니다.

앞니 라미네이트, 치아 시림 고민 덜 수 있는 해결 방법 공개합니다.
실제로 라미네이트를 검색해 보면
치아 시림 증상에 대한 고민 글을
인터넷에서 자주 접하게 되는데요.
치아가 고르지 않아 치료를 알아보다가
"생니를 많이 깎았다"
"시려서 찬 물도 못 마신다"는 글을 접하면
괜히 더 겁이 나게 됩니다.

앞니 라미네이트, 치아 시림 고민 덜 수 있는 해결 방법 공개합니다.
앞니 모양은 바꾸고 싶은데,
치아가 더 예민해질까 봐
선뜻 결정하기가 쉽지 않으시죠.
오늘은 최소 삭제
라미네이트로 진행한 환자분 사례를 바탕으로
이 불안이 왜 생기는지,
그리고 어떤 조건에서 달라지는지
말씀드리겠습니다.
라미네이트 후 치아 시림,
왜 이런 걱정이 생길까요?
앞니 라미네이트, 치아 시림 고민 덜 수 있는 해결 방법 공개합니다.
치아 시림은
치아를 어디까지,
얼마나 삭제했는지에 따라
다르게 나타납니다.
치아는 겉을 덮고 있는 법랑질과
그 안쪽의 상아질로 이루어져 있는데요.

법랑질은 비교적 자극에 강한 층이지만,
상아질은 신경과 가까워
외부 자극에 민감하게 반응합니다.
치아를 다듬는 과정에서
삭제가 깊어질수록
시림을 느낄 가능성도
함께 올라갈 수밖에 없습니다.
그래서 '찬물을 못 마셨다'는 후기들도
대부분은 삭제 범위가 컸던 경우에
해당하는 경우가 많습니다.
그래서 ‘최소 삭제’가 중요합니다.
앞니 라미네이트, 치아 시림 고민 덜 수 있는 해결 방법 공개합니다.
최소 삭제 라미네이트는 필요한 경우에 한해
0.3~0.5mm 정도,
즉 법랑질 범위 내에서만 표면을 다듬어
보철이 들어갈 공간을 만드는 방식입니다.

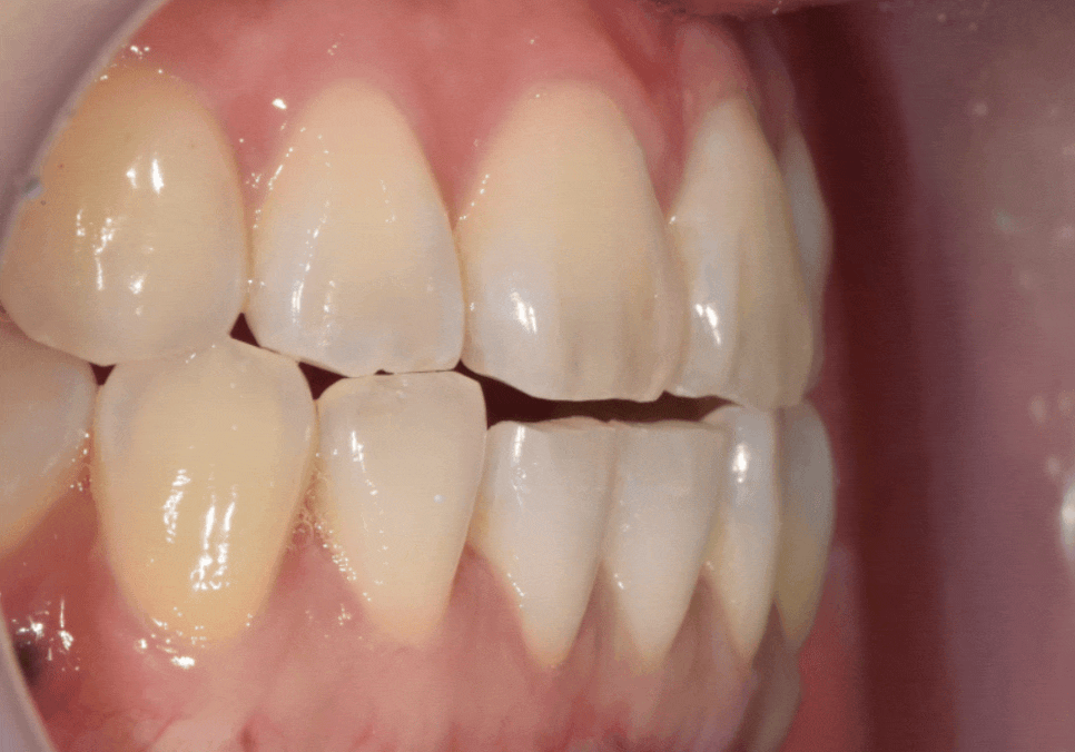
법랑질 내 최소 삭제를 한 모습
집을 고칠 때를 떠올려 보면 이해가 쉬운데요.
겉 마감만 손보는 것과 기둥을 건드리는 것,
느끼는 부담감의 차이가 아예 다르죠.
치아도 마찬가지입니다.
법랑질이라는 겉 껍질 안에서만
계획적으로 삭제하면
신경 자극을 줄이면서
심미적인 개선을 기대할 수 있습니다.
물론 모든 경우에
최소 삭제가 가능한 것은 아니고,
치아 배열이나 벌어짐 정도에 따라
접근 방식은 달라질 수 있습니다.
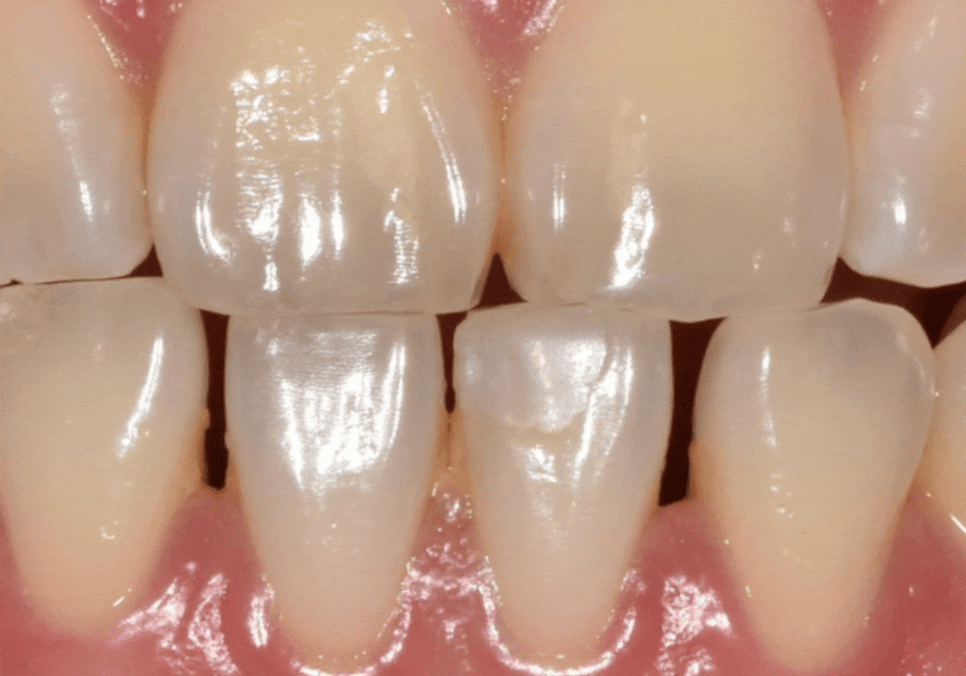
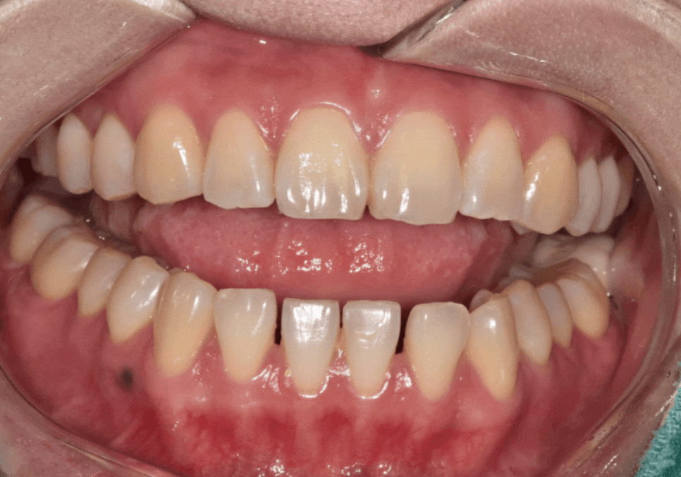
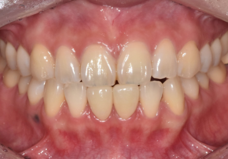
아래 앞니가 벌어져 고민하셨던 환자분 사례
앞니 라미네이트, 치아 시림 고민 덜 수 있는 해결 방법 공개합니다.

230720
이번에 내원하신 환자분은
아래 앞니 2개 사이가 벌어져 있어
웃을 때 치아 사이 공간이
유독 비어 보이는 것이 고민이셨습니다.


230720
치아 자체는 전반적으로
건강한 편이었지만,
아래 앞니는 구조상
치아 면적과 두께가 크지 않은 부위입니다.
특히 아래 앞니는 겉을 덮고 있는
법랑질 두께가 상대적으로 얇은 편이라
같은 양을 삭제하더라도
자극을 더 크게 느낄 수 있습니다.

230720
그래서 같은 앞니라도
위 앞니보다 더 신중하게
접근해야 하는 경우가 많습니다.
그래서 이 환자분의 경우,
더 신중하게 계획했습니다
환자분께서 가장 걱정하셨던 부분 역시
“라미네이트 하면 시리지 않을까요?”
라는 점이었습니다.
그래서 초진 상담 단계에서부터
삭제를 얼마나 줄일 수 있는지,
그리고 이 치아 구조에서
라미네이트가 적절한 선택인지부터
차분히 확인했습니다.
아래 앞니 2개의 벌어짐 정도를
살펴봤을 때
치아의 기울어짐이나
배열 변화는 크지 않았고,
기존 치아 두께도
비교적 안정적인 상태였습니다.

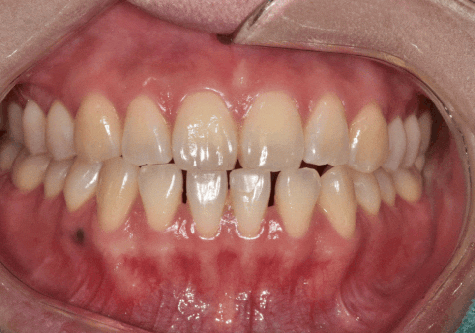
앞니 라미네이트, 치아 시림 고민 덜 수 있는 해결 방법 공개합니다.
이런 조건이라면
치아를 많이 줄이지 않고도
라미네이트로 공간을
보완할 수 있겠다고 판단했습니다.
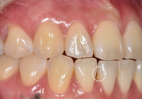
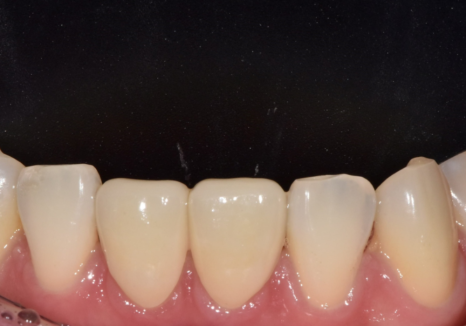
실제 삭제량과 진행 과정
아래 앞니는 조금만 과해져도
예민해질 수 있는 부위라
삭제 범위를 먼저 세밀하게 잡았습니다.
실제 삭제 과정에서도
한 번에 끝내기보다는
중간중간 치아 표면 상태를 확인하면서
불필요하게 더 다듬지 않도록 조절했습니다.

앞니 라미네이트, 치아 시림 고민 덜 수 있는 해결 방법 공개합니다.
삭제량은 약 0.3~0.4mm 내외인
최소한으로 삭제를 진행했습니다.
실제로 봤을 때도 삭제 전과 후의 차이가
크게 나지 않는 것을 확인하실 수 있습니다.


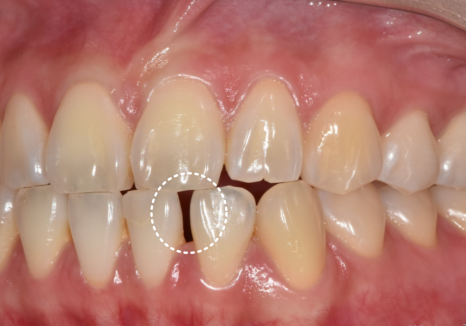
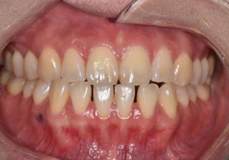
2330720 (전) 231017 (후)
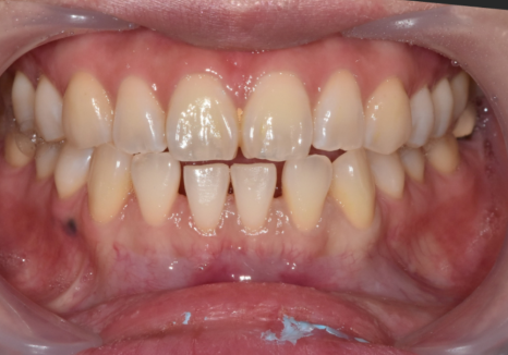
삭제가 끝난 뒤에는
정밀하게 본을 떠서
아래 앞니 공간과 형태에 맞춰
라미네이트를 제작했고,
부착 과정에서도
교합과 힘이 걸리는 방향을 다시 확인했습니다.


231018 완성
결과적으로
예상했던 범위 안에서
큰 자극 없이 안정적으로 마무리할 수 있었습니다.
앞니 라미네이트는
빨리 끝내는 게 중요한 치료가 아닙니다.
특히 아래 앞니처럼
구조적으로 예민해질 수 있는 부위는
얼마나 조심스럽게 접근하느냐가
결과에 더 큰 영향을 미칩니다.
치아 시림이 걱정돼
라미네이트를 망설이고 계셨다면,
혼자 검색 글만 보며 불안을 키우기보다는
한 번쯤 상담을 통해
지금 상태에서 가능한 선택지를
정리해 보셔도 좋겠습니다.
오늘도 긴 글 읽어주셔서 감사합니다.^^
▼치과 위치 확인▼
앞니 라미네이트, 치아 시림 고민 덜 수 있는 해결 방법 공개합니다.
| 예약 전화하러 가기 |
|---|
| 02-481-4278 |
| 본 게시물은 의료광고 법 제56조 1항을 준수하여의료 정보 제공 목적으로 서울 바르디 치과에서 직접 작성하였습니다.제공된 정보는 참고만 하실 것을 권유 드리며 증상 파악 및 정확한 관리 방법은 의료기관에 내원 후 의료진을 통해 안내받으시길 바랍니다.치과에서 진행되는 모든 시술 / 수술은 개인에 따라 (염증, 출혈, 부기 등) 가능성이 있습니다.사전에 의료진과 충분한 상담을 통해 결정하시길 바랍니다.게시물의 치료 사례는 실제 본원에서 치료를 마친 환자분들의 동의하에촬영되었으며 전, 후 사진은 동일 조건에서 촬영되었습니다. |