아카이브 요약
이 페이지의 역할
서울바르디치과의원의 네이버 블로그 원문을 보존한 아카이브 페이지입니다. 앞니마법사 카테고리의 앞니 흔들림, 임플란트 치아보험 감액 기간 넘기려다 더 큰 손해 봅니다. 글을 통해 병원의 한국어 정보 제공 방식과 진료 관련 안내 톤을 확인할 수 있습니다.
원문 검증
필요하면 원문 블로그와 병원 프로필로 바로 이동해 문맥을 다시 확인할 수 있습니다.
출처 아카이브 열기아카이브된 블로그 글
서울바르디치과의원 · Naver Blog
앞니 흔들림, 임플란트 치아보험 감액 기간 넘기려다 더 큰 손해 봅니다. 안녕하세요. 서울바르디치과 원장입니다. 치과치료비, 솔직히 부담되시죠? 그래서 "혹시 도움이 될까?"해서 임플란트 치아보험을 미리 들어두신 분들도 많습니다. 그런데 막상 치료가 필요한 시점에, "아직 감...
게시일
2025년 12월 22일
원문 기준으로 확인된 발행일입니다.
카테고리
앞니마법사
원문 블로그 카테고리를 정리해 함께 표시합니다.
이미지 수
13
현재 아카이브에 연결된 이미지 수입니다.
아카이브 요약
서울바르디치과의원의 네이버 블로그 원문을 보존한 아카이브 페이지입니다. 앞니마법사 카테고리의 앞니 흔들림, 임플란트 치아보험 감액 기간 넘기려다 더 큰 손해 봅니다. 글을 통해 병원의 한국어 정보 제공 방식과 진료 관련 안내 톤을 확인할 수 있습니다.
원문 검증
필요하면 원문 블로그와 병원 프로필로 바로 이동해 문맥을 다시 확인할 수 있습니다.
출처 아카이브 열기안녕하세요.
서울바르디치과 원장입니다.
치과치료비, 솔직히 부담되시죠?
그래서 "혹시 도움이 될까?"해서
임플란트 치아보험을
미리 들어두신 분들도 많습니다.
그런데 막상 치료가 필요한 시점에,
"아직 감액기간이라
100% 보장되지 않습니다."
라는 말을 들으면 당황할 수밖에 없죠.
"2년 지나면 100% 보장받는데..
그때까지 기다렸다가
치료하면 안될까요ㅠㅠ?"
감액 기간에 해당되시는
환자분 대부분이
많이들 하시는 말씀이십니다.
그 마음 이해 못 하는 것은 아니지만..
치아 흔들림이 심하신 분들은
이 '기다림'이 오히려
손해가 될 수 있다는 점을
간과해서는 안 됩니다.
보험만 보고 기다리다가
상태가 더 나빠지면,
"소 잃고 외양간 고치는"
상황이 될 수 있기 때문이죠.
그래서 오늘은
감액기간(보장 50% 수준) 중이었지만,
치아 상태 때문에 우선 치료가 필요했던
환자 사례를 통해
기존 임플란트를 활용하여
비용 부담을 줄인 방법에 대해
소개하겠습니다. ^^
임플란트 치아보험 100%까지 기다리면 손해가 되는 이유
앞니 흔들림, 임플란트 치아보험 감액 기간 넘기려다 더 큰 손해 봅니다.
임플란트 치아보험은 보통
가입 직후엔 감액기간이 있고,
시간이 지나면
보장이 좋아지는 구조가 많습니다.
(대부분 가입 후 2년이 지나면 100%
보장받는 상품들이 많습니다.)
그러다 보니 "2년만 버티자"라는
생각이 들 수밖에 없는데요,
하지만 흔들림이 심한 분들은,
대부분 잇몸병 때문에
치아를 잡아주는 뼈가
약해진 상태인 경우가 많습니다.

250106
보장 기간 때문에
치료시기가 늦춰지면
잇몸 염증은 계속해서 퍼지게 되고
그로 인해 뼈는 점점 녹습니다.
광범위하게 뼈가 녹게 되면
임플란트를 할 때에는
어쩔 수 없이 더 많은 양의 뼈이식이
필요하게 됩니다.
(당연히 비용도 그만큼 올라가겠죠?)
뿐만 아니라, 녹은 뼈만큼
잇몸도 내려가기 때문에

250106
보철이 상대적으로
길게 제작되어 심미적으로
보기 싫게 됩니다.
그러다 보니,
낮아진 잇몸을 회복하기 위해
잇몸 이식도
병행할 가능성이 높아집니다.
(이 역시 비용이 추가되는 부분입니다.)
결과적으로는
보험 보장은 되겠지만,
치료가 커져서
전체 비용이 더 늘어나는
손해가 생길 수 있습니다.
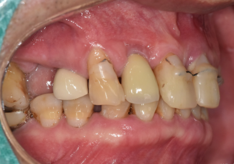
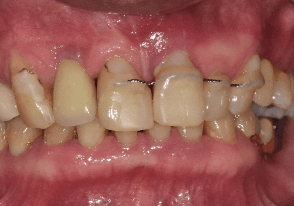
앞니 흔들림, 철사로 묶고 버티고 계신 60대 환자분 사례
앞니 흔들림, 임플란트 치아보험 감액 기간 넘기려다 더 큰 손해 봅니다.
이번 환자분은 앞니가 많이 흔들렸습니다.
잇몸도 계속 부었다 가라앉았다를
반복하셨다고 합니다.


250106
앞니가 너무 흔들리다 보니,
흔들리는 앞니 3개를
왼쪽 송곳니에 철사로
연결(스플린트) 해서 생활하고 계셨어요.
스플린트는 쉽게 말하자면,
흔들리는 치아들을
튼튼한 옆 치아랑 한 덩어리로 묶어서
힘을 나눠 받게 하는 방법입니다.

250106 스플린트로 묶인 치아
잠깐은 버틸 수 있지만,
근본 문제가 해결된 건 아니죠.
즉, 이 환자분은
"조금 흔들리는 수준"이 아니라
더 이상 미루기 어려운 수준의
흔들림이 있었다는 뜻입니다.
검사 결과, 1년 더 기다리기 어려운 상태였습니다.
앞니 흔들림, 임플란트 치아보험 감액 기간 넘기려다 더 큰 손해 봅니다.
환자분은 임플란트 치아보험 가입 후
1년 정도 지난 상태셨는데요,
50%만 보장되는 감액기간이라
비용 부담이 있으셔서
최대한 미루고 싶어 하셨습니다.
하지만, 방사선 사진과 입안을 살펴보니,
오른쪽 작은 어금니(#15) : 발치로 인해 치아 상실된 상태, 뼈가 다량 녹은 상태
앞니 3개 (#11,21,22) : 복합 치주염으로 뼈가 녹아 잇몸 상태가 좋지 않고 흔들림이 심함

250106 기존 뼈보다 녹은 뼈 상태
만약, 보장을 위해 1년 더 기다리게 된다면
앞니 쪽은 더 흔들리고
잇몸이 더 내려갈 가능성이 컸습니다.
추후 뼈이식과 잇몸 이식까지
병행한다면 보장비용보다
환자분이 내야 할 비용이
더 클 수 있는 상황이었죠.
그래서 치료를 더 미루기 어려웠습니다.
치료는 "급한 곳부터", 비용은 "줄일 수 있게"
앞니 흔들림, 임플란트 치아보험 감액 기간 넘기려다 더 큰 손해 봅니다.
환자분의 보험 상황과
비용 부담도 현실적으로 고려해서,
"지금 꼭 필요한 치료" 중심으로
계획을 세웠습니다.
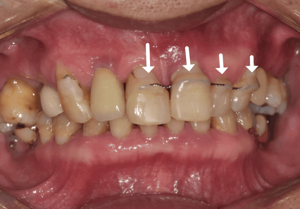
오른쪽 작은 어금니(#15)
:뼈이식을 동반한 임플란트 식립
흔들리는 앞니 (#11,21,22) : 발치 후
왼쪽 앞니 1개 (#22)
: 뼈이식을 동반한 임플란트 식립

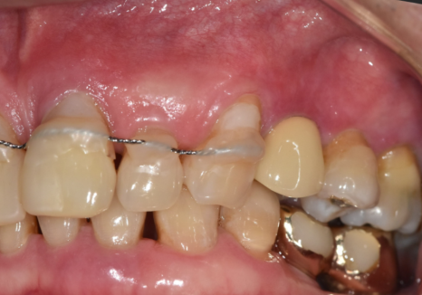
250106
여기서 부담을 줄일 수 있었던
핵심이 하나 더 있었어요.
환자분께는 오른쪽 앞니(#12) 부위에
기존 임플란트가 있었습니다.

250106 임플란트 보철 깨짐
도자기 계열로 씌운 임플란트 크라운이
깨져있는 모습이 보였습니다.
그래서 그 옆 치아 공간에 (#11)
새 임플란트를 하나 더 심기보다는,

250531 기존 임플란트 크라운 제거 후 힐링(단추)으로 바꾼 모습
오른쪽 앞니(#12)인 기존 임플란트와
왼쪽 앞니(#22 )에 임플란트 식립하여
브릿지로 연결하는 방향으로
설계를 조정했습니다.

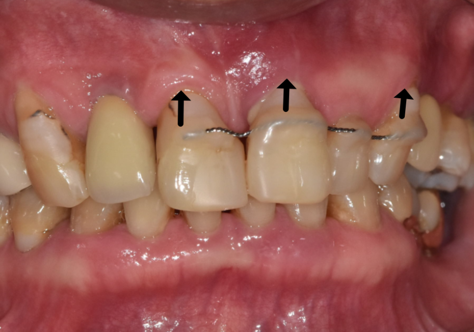
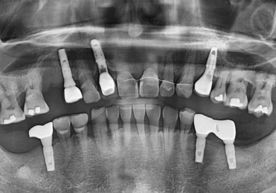
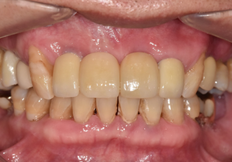
250509
완성된 임플란트
앞니 흔들림, 임플란트 치아보험
감액 기간 넘기려다 더 큰 손해 봅니다.


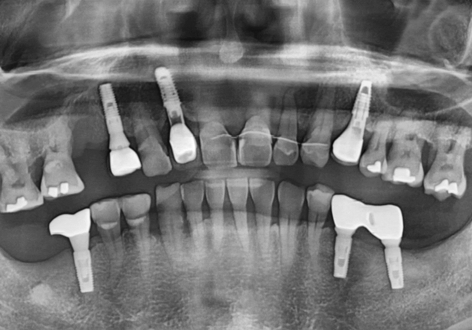
250626
감액기간이지만 임플란트는
보장 50% 범위에서 진행을 도와드릴 수 있었고
뼈이식 내용도 보장되어,
필요 서류를 준비해 드린 덕분에
뼈이식 부분 또한 같이 보장받으셨습니다.
무엇보다 임플란트 1개를 추가로
식립하는 비용 부담을 줄이는 데
도움이 됐습니다.

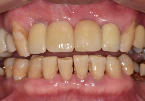
250106 (전) 250626 (후)
감액기간이라고 해서
무조건 기다리는 게 정답은 아닙니다.
치아보험에 맞춰 무조건 버티기보다는,
급한 부위부터 치료를 시작하는 게
장기적으로 비용을 줄이는 방법일 수 있습니다.
보험 때문에 계속 버텨야 할지
고민하고 계시다면
지금 내 치아가 기다려도 되는 상태인지,
아니면 지금 치료가 필요한 상태인지
먼저 진단부터 받아보시길 권해드립니다.
오늘도 긴 글 읽어주셔서 감사합니다.^^
▼치과 위치 확인▼
앞니 흔들림, 임플란트 치아보험 감액 기간 넘기려다 더 큰 손해 봅니다.
| 예약 전화하러 가기 |
|---|
| 02-481-4278 |
| 본 게시물은 의료광고 법 제56조 1항을 준수하여의료 정보 제공 목적으로 서울 바르디 치과에서 직접 작성하였습니다.제공된 정보는 참고만 하실 것을 권유 드리며 증상 파악 및 정확한 관리 방법은 의료기관에 내원 후 의료진을 통해 안내받으시길 바랍니다.치과에서 진행되는 모든 시술 / 수술은 개인에 따라 (염증, 출혈, 부기 등) 가능성이 있습니다.사전에 의료진과 충분한 상담을 통해 결정하시길 바랍니다.게시물의 치료 사례는 실제 본원에서 치료를 마친 환자분들의 동의하에촬영되었으며 전, 후 사진은 동일 조건에서 촬영되었습니다. |