아카이브 요약
이 페이지의 역할
서울바르디치과의원의 네이버 블로그 원문을 보존한 아카이브 페이지입니다. 앞니마법사 카테고리의 명일동 라미네이트 vs 크라운, 수명을 좌우하는 선택 기준 3가지 글을 통해 병원의 한국어 정보 제공 방식과 진료 관련 안내 톤을 확인할 수 있습니다.
원문 검증
필요하면 원문 블로그와 병원 프로필로 바로 이동해 문맥을 다시 확인할 수 있습니다.
출처 아카이브 열기아카이브된 블로그 글
서울바르디치과의원 · Naver Blog
명일동 라미네이트 vs 크라운, 수명을 좌우하는 선택 기준 3가지 안녕하세요. 서울바르디치과 원장입니다. 진료를 하다 보면 비슷한 고민으로 내원하신 환자분들께 전혀 다른 치료를 권해드리는 경우가 있습니다. “앞니 색이 어둡고 모양이 안 예뻐서 개선하고 싶어요.” 원하시는 목표...
게시일
2025년 12월 23일
원문 기준으로 확인된 발행일입니다.
카테고리
앞니마법사
원문 블로그 카테고리를 정리해 함께 표시합니다.
이미지 수
14
현재 아카이브에 연결된 이미지 수입니다.
아카이브 요약
서울바르디치과의원의 네이버 블로그 원문을 보존한 아카이브 페이지입니다. 앞니마법사 카테고리의 명일동 라미네이트 vs 크라운, 수명을 좌우하는 선택 기준 3가지 글을 통해 병원의 한국어 정보 제공 방식과 진료 관련 안내 톤을 확인할 수 있습니다.
원문 검증
필요하면 원문 블로그와 병원 프로필로 바로 이동해 문맥을 다시 확인할 수 있습니다.
출처 아카이브 열기안녕하세요.
서울바르디치과 원장입니다.
진료를 하다 보면 비슷한 고민으로
내원하신 환자분들께
전혀 다른 치료를
권해드리는 경우가 있습니다.
“앞니 색이 어둡고
모양이 안 예뻐서
개선하고 싶어요.”
원하시는 목표는 같아도
누구는 라미네이트,
누구는 지르코니아 크라운을 권하게 됩니다.
왜 그럴까요?
오늘은 실제 두 분의 사례를 통해,
같은 앞니 심미 개선이라도
왜 다른 치료를 선택했는지
차근차근 이야기해 보겠습니다. ^^
라미네이트 vs 크라운,
뭐가 다를까요?
명일동 라미네이트 vs 크라운, 수명을 좌우하는 선택 기준 3가지
라미네이트는
치아의 겉면을 얇게 덧붙여
색과 모양을 정리하는 치료입니다.
인조손톱처럼
"겉을 다듬고 붙여서 예쁘게 만드는" 느낌에
가깝다고 보시면 됩니다.

명일동 라미네이트 vs 크라운, 수명을 좌우하는 선택 기준 3가지
라미네이트는
붙이는 치료이기 때문에,
잘 붙고 오래가려면
치아의 겉껍질인
법랑질(enamel)이 건강해야
접착 유지력에 유리합니다.
반면 크라운은
치아를 전체적으로 덮어서
보호하는 치료입니다.
모자를 씌우듯 감싸는 방식이라
치아가 약해져 있거나,
깨짐이 반복되는 경우에는
더 안정적인 선택이 될 수 있습니다.
유지력과 수명을 좌우하는 선택 기준 3가지
명일동 라미네이트 vs 크라운, 수명을 좌우하는 선택 기준 3가지
라미네이트냐 크라운이냐는 선택의 차이는
대부분 아래 3가지에서 갈립니다.
씹는 힘이 강하거나
절단 교합처럼
앞니에 몰리는 힘이 강한 경우,

라미네이트는
구조상 깨지거나 떨어질 가능성이
높습니다.
반대로 정상교합에 가깝고
앞니에 힘이 과하게 몰리지 않는다면
라미네이트도 안정적으로
오래 쓰는 경우가 많습니다.
치아가 이미 많이 닳아 있거나
앞니가 깨져 있는 상태라면,

치아가 닳고 깨져있는 상태
"왜 닳고 깨지는지" 원인부터
확인해야 합니다.
그래야 라미네이트처럼
붙이는 치료가 버틸 수 있는 조건인지,
아니면 크라운처럼
덮어서 보호하는 치료가 필요한 지가
명확해집니다.
라미네이트는 치아의 겉껍질인
법랑질(enamel)이 건강해야
접착 유지력에 유리합니다.
치아 표면이 건강하고
큰 수복이 적으면
붙여도 오래갈 가능성이 높습니다.

기존 레진이 광범위하게 붙어있는 경우
반대로 기존 레진이 넓거나
균열, 손상이 많은 경우에는
라미네이트가 유지력 면에서
떨어질 수 있습니다.
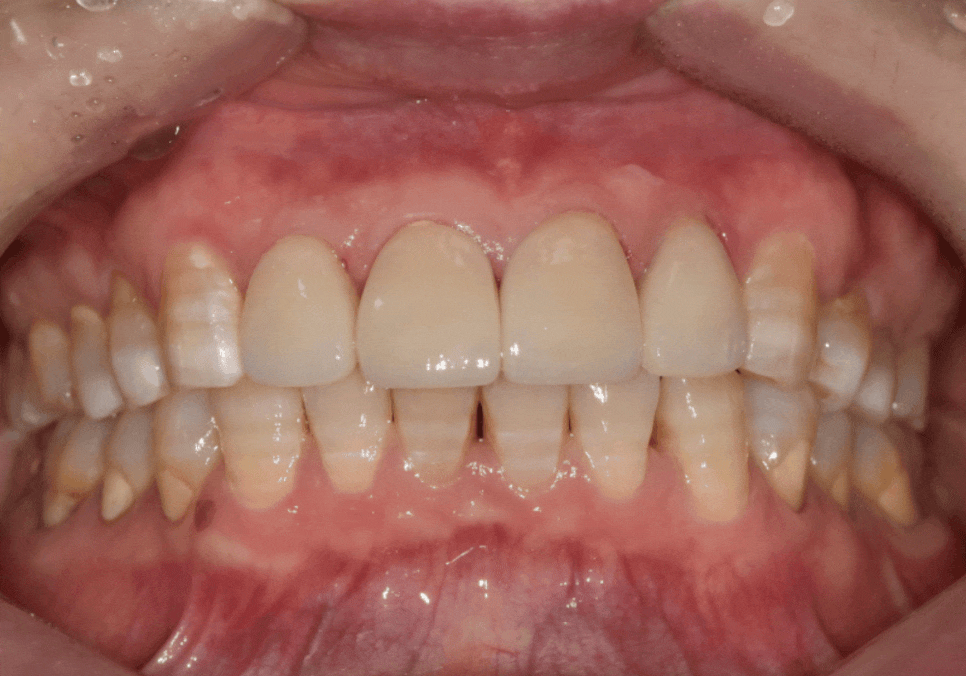
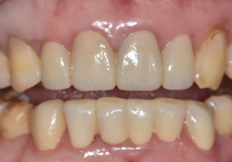
사례 1) 라미네이트로 진행한 환자분
명일동 라미네이트 vs 크라운, 수명을 좌우하는 선택 기준 3가지
앞니 색과 모양을 자연스럽게 정리하고 싶어
내원하신 환자분 사례를 살펴볼게요.
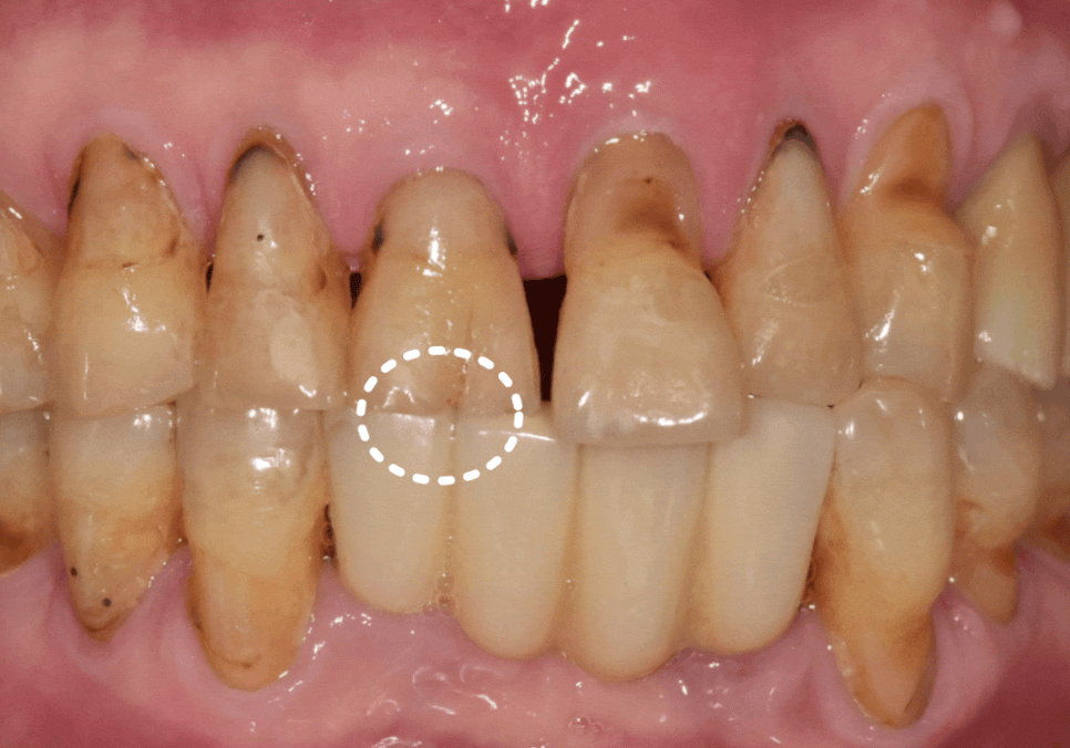
이 환자분은 앞니가 벌어져 있고
치아 색도 어두워서 고민이 많으셨는데요,

250220
교합을 살펴보니
정상교합에 가까웠고,
앞니에 힘이 과하게
몰리는 양상도 크지 않았습니다.
또 전체적으로
치아 마모나 깨진 부분이 없고
치아 표면인 법랑질의 양도
충분한 편이었습니다.


250220
이런 조건이라면 라미네이트로 진행해도
유지력에서 크게 불리하지 않고,
최소 삭제로 변색과 앞니 벌어짐을
자연스럽게 개선할 수 있습니다.
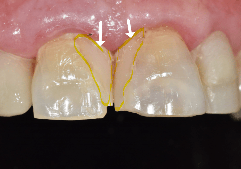
치료는 범위를 과하게 넓히기보다
시선이 가장 모이는
위 앞니 4개만 라미네이트로 진행했습니다.

250307
앞니 6개까지 건드리지 않아도,
앞니 4개만으로도
치아의 벌어짐과 색 고민을
자연스럽게 해결할 수 있는 케이스였습니다.
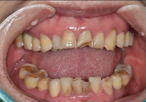
사례 2) 지르코니아 크라운으로 진행한 환자분
명일동 라미네이트 vs 크라운, 수명을 좌우하는 선택 기준 3가지
비슷하게 앞니 심미 개선을 원해
내원하신 환자분입니다.


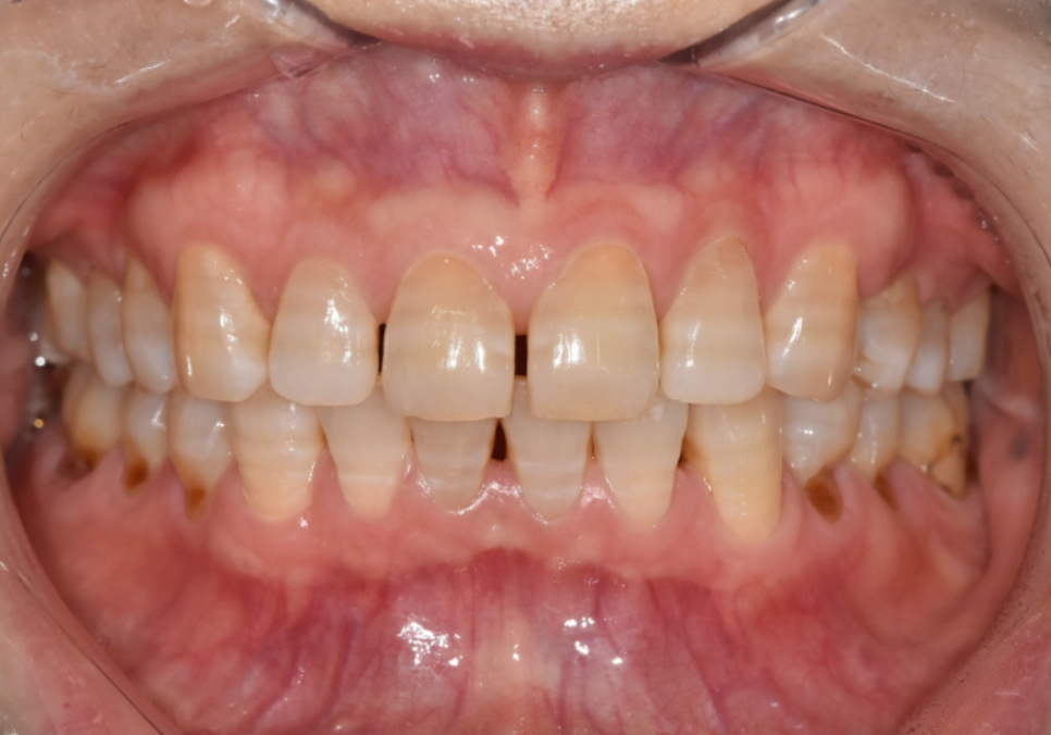
250311
겉으로는 비슷한 고민이었지만,
진단 과정에서 차이가 분명했습니다.
교합력이 강해, 전반적으로
치아 마모가 심한 편이었습니다.
앞니 끝부분도 많이
깨져있는 상태였습니다.


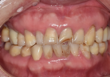
250311
이 경우,
라미네이트로 얇게
붙이는 치료를 선택하면
깨지거나 떨어질 가능성이
높아질 수 있습니다.
안 깨지게 보호하면서
심미적인 부분을 같이 잡는 방향을
목표로 했습니다.
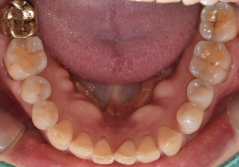
강도가 필요한 조건이었기 때문에
지르코니아를 선택했고,
앞니 라인과 기능을 함께 맞추기 위해
상악 4개 + 하악 5개 범위로
계획을 세웠습니다.
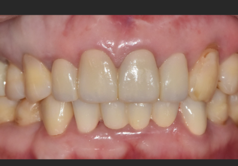
이 분은 교합력이 세신 편에
속하시기 때문에
교합 분산에 특히
신경을 썼습니다.
앞니가 지나치게 부딪히거나
힘이 몰리면
아무리 잘 만든 보철이어도
깨질 수 있기 때문이죠.


250826
그래서 최종 장착 후
접촉점을 꼼꼼히 확인해
힘이 분산되도록 마무리했습니다.
같은 앞니 심미 개선이라도
교합과 치아 상태에 따라
라미네이트가 치료가 적절할 수도 있고,
크라운이 더 안전할 수도 있습니다.
"라미네이트가 좋다던데
왜 저는 다른 치료를 권하나요?"
이런 질문을 종종 받는데요.
치료는 결국
가지고 있는 치아 조건에 맞게 선택해야 오래갑니다.
위와 같은 고민이 있다면
혼자 고민하지 마시고
정밀 검사와 상담을 통해
현재 상태에서 어떤 치료가
유지력과 수명에 유리한지
기준부터 정리해 보시길 권해드립니다.
감사합니다. ^^
▼치과 위치 확인▼
명일동 라미네이트 vs 크라운, 수명을 좌우하는 선택 기준 3가지
| 예약 전화하러 가기 |
|---|
| 02-481-4278 |
| 본 게시물은 의료광고 법 제56조 1항을 준수하여의료 정보 제공 목적으로 서울 바르디 치과에서 직접 작성하였습니다.제공된 정보는 참고만 하실 것을 권유 드리며 증상 파악 및 정확한 관리 방법은 의료기관에 내원 후 의료진을 통해 안내받으시길 바랍니다.치과에서 진행되는 모든 시술 / 수술은 개인에 따라 (염증, 출혈, 부기 등) 가능성이 있습니다.사전에 의료진과 충분한 상담을 통해 결정하시길 바랍니다.게시물의 치료 사례는 실제 본원에서 치료를 마친 환자분들의 동의하에촬영되었으며 전, 후 사진은 동일 조건에서 촬영되었습니다. |