아카이브 요약
이 페이지의 역할
서울바르디치과의원의 네이버 블로그 원문을 보존한 아카이브 페이지입니다. 앞니마법사 카테고리의 상일동 임플란트 심한 충치로 인한 치아 부러짐 해결한 사례 글을 통해 병원의 한국어 정보 제공 방식과 진료 관련 안내 톤을 확인할 수 있습니다.
원문 검증
필요하면 원문 블로그와 병원 프로필로 바로 이동해 문맥을 다시 확인할 수 있습니다.
출처 아카이브 열기아카이브된 블로그 글
서울바르디치과의원 · Naver Blog
상일동 임플란트 심한 충치로 인한 치아 부러짐 해결한 사례 안녕하세요. 서울바르디치과 원장입니다. 외상으로 부러진 경우를 제외하면, 충치로 인한 파절은 대부분 오랜 시간에 걸쳐 진행됩니다. 특히 어르신들은 감각이 둔해져 충치가 깊어도 통증이 적어 모르는 사이 진행되다가 어느 날 툭 부러...
게시일
2025년 12월 24일
원문 기준으로 확인된 발행일입니다.
카테고리
앞니마법사
원문 블로그 카테고리를 정리해 함께 표시합니다.
이미지 수
13
현재 아카이브에 연결된 이미지 수입니다.
아카이브 요약
서울바르디치과의원의 네이버 블로그 원문을 보존한 아카이브 페이지입니다. 앞니마법사 카테고리의 상일동 임플란트 심한 충치로 인한 치아 부러짐 해결한 사례 글을 통해 병원의 한국어 정보 제공 방식과 진료 관련 안내 톤을 확인할 수 있습니다.
원문 검증
필요하면 원문 블로그와 병원 프로필로 바로 이동해 문맥을 다시 확인할 수 있습니다.
출처 아카이브 열기안녕하세요.
서울바르디치과 원장입니다.
외상으로 부러진 경우를 제외하면,
충치로 인한 파절은 대부분
오랜 시간에 걸쳐 진행됩니다.
특히 어르신들은 감각이 둔해져
충치가 깊어도 통증이 적어
모르는 사이 진행되다가
어느 날 툭 부러져
발견되는 경우가 많습니다.
이번 환자분도 비슷했습니다.
오늘은 이 환자분 사례를 통해
충치로 치아가 부러지는 과정과
어떤 경우에 임플란트까지
이어질 수 있는지를
차근차근 말씀드리겠습니다. ^^
보철물이 떨어져서 오셨던 첫 내원
상일동 임플란트 심한 충치로 인한 치아 부러짐 해결한 사례
"왼쪽 위 어금니 임플란트
보철이 떨어졌어요."
이 환자분이 처음 저희 병원에 찾아주신
이유였습니다.

231109
우선 떨어진 임플란트 보철은
상태를 확인한 뒤
다시 잘 붙여드렸지만,
문제는 이곳저곳 충치가
다발적으로 있었다는 점이었습니다.
입안을 살펴보니,
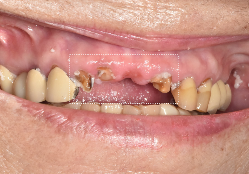
#12(오른쪽 앞니) 부위에
치아 사이로 충치가 진행돼 있었습니다.

231109
위 앞니(#11~22)는 브릿지 주변 잇몸에
염증이 꽤 심했고,
고름(배농)이 동반되는 상태였습니다.

231109
이 상태로는 치아를 오래
쓰지 못할 것으로 보였죠.
환자분은
"오늘은 떨어진 임플란트만
해결하고 싶다”고 하셨지만,
저는 이런 경우
당장 치료를 진행하지 않더라도
안 좋은 부위는 꼭 말씀드리는 편입니다.
모른 채 지나가는 것과
미리 알고 관리 방향을
잡는 건 정말 다르니까요.
적어도,
"아, 이 부분이 안 좋다고 했었지" 하고
인지하고 계시면
양치나 관리에 조금 더 신경을 쓰게 되고,
그 작은 차이가 결과적으로
치아 수명을 늘리는 데
도움이 되기도 하기 때문이죠.
1년 뒤, 앞니와 브릿지가 부러져서 온 환자분
상일동 임플란트 심한 충치로 인한 치아 부러짐 해결한 사례
그로부터 1년 정도 지난 뒤,
환자분은 이번에는
앞니 쪽이 부러졌다고
다시 내원하셨습니다.
확인해 보니
이전에 말씀드린 앞니 쪽이 문제였죠.

240404
1년 전보다 상태가 더
진행돼 있었는데요.
충치가 오래 누적되면서
치아는 사실상 뿌리만 남은 상태였고,
치아 뿌리도 흡수가 진행돼
짧아져 있었습니다.
이런 경우는 기둥을 넣어
보철을 새로 만들더라도
오래 쓰지 못할 가능성이 높습니다.
그래서
앞니 3개를 발치한 뒤
임플란트로 회복하기로 했습니다.

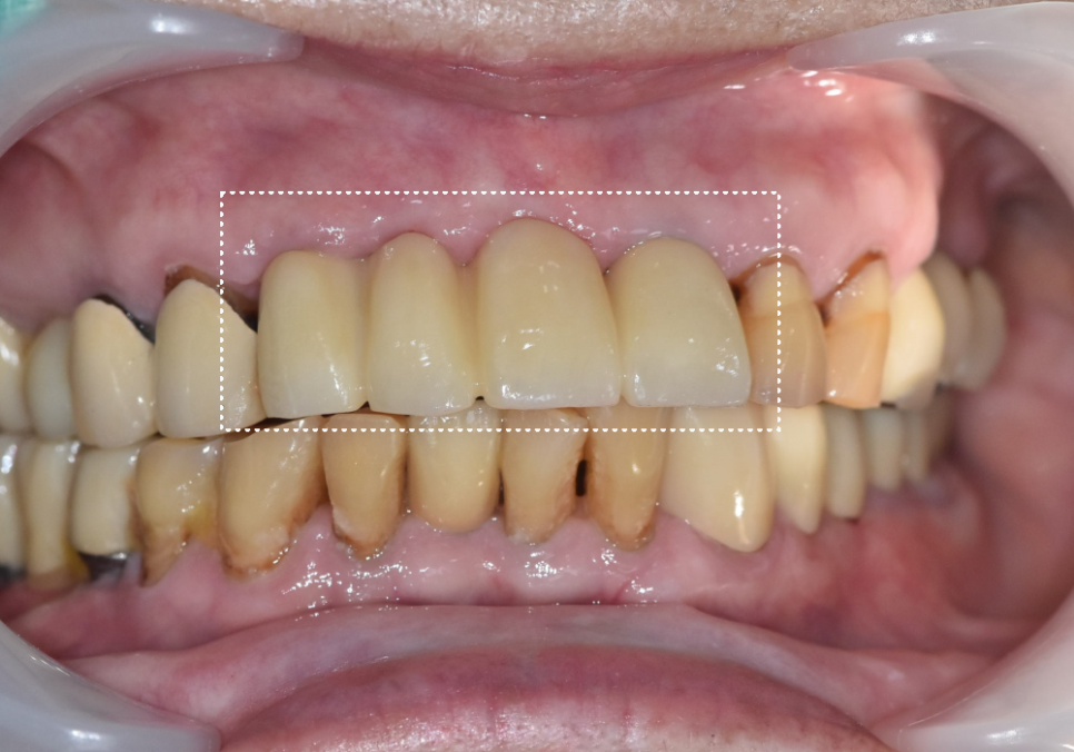
240408
다행히 CT에서 확인했을 때
뼈의 높이와 두께가 비교적 괜찮아
뼈이식 없이 임플란트를
식립할 수 있었습니다.
치유 기간을 거쳐
약 3개월 뒤
최종 보철까지 완성했습니다.

240709
그 후 1년이 지나고...
심한 충치로 인한 치아 부러짐, 상일동 임플란트로 해결한 사례
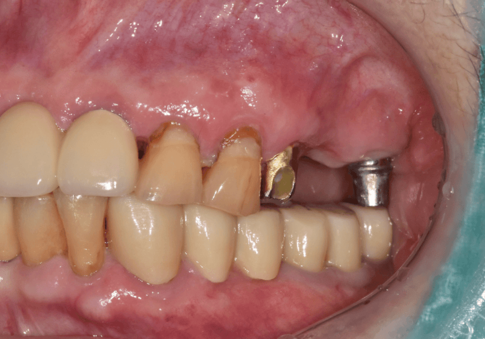
해놓은 임플란트는 잘 쓰고 계셨는데,
이번에는 임플란트 옆 치아인,
오른쪽 위 치아(#13, #14)가
부러져 내원하셨습니다.

250503
확인해 보니 이번에도
충치 범위가 넓고
뿌리가 짧아진 상태라
보존적으로 살리기
어렵다고 판단했습니다.

250510
그래서 동일하게
발치 후 임플란트로 진행했고,
이 역시 약 3개월 뒤 보철을 완성했습니다.

250728
“왜 계속 여기저기 부러질까요?”
상일동 임플란트 심한 충치로 인한 치아 부러짐 해결한 사례
이 환자분의 경우,
이미 다발성 충치가 진행 중이고


251108
브릿지 주변 잇몸 염증도
동반된 상태였기 때문에
시간이 지나며 약한 부위부터
순서대로 문제가 드러난 겁니다.

250510
환자분의 나이대로 보아,
치아의 신경이 얇아져
충치가 깊게 진행돼도
통증을 느끼기 어렵습니다.
특히 치아 사이나 보철 안쪽은
더 늦게 발견되기 쉽습니다.
그래서 갑자기 부러진
것처럼 보이지만,
실제로는 오래 누적된
결과인 경우가 많습니다.
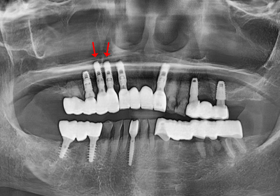
이 케이스에서 꼭 짚고 싶은 포인트 3가지
상일동 임플란트 심한 충치로 인한 치아 부러짐 해결한 사례
특히 어르신들은
감각이 둔해져
충치가 깊어도
통증이 적을 수 있습니다.
'안쪽 충치'를 더 조심해야 합니다
브릿지나 크라운 주변은
겉으로는 멀쩡해 보여도
안쪽에서 진행되는 경우가 많습니다.
"부러지기 전 발견"이 훨씬 유리합니다
부러진 뒤에는 선택지가 줄어들고,
발치, 임플란트로 이어질 가능성이
크기 때문에
그전에 미리 검진을 받아
예방하는 게 큰 문제를 만들지 않는
유일한 방법입니다.

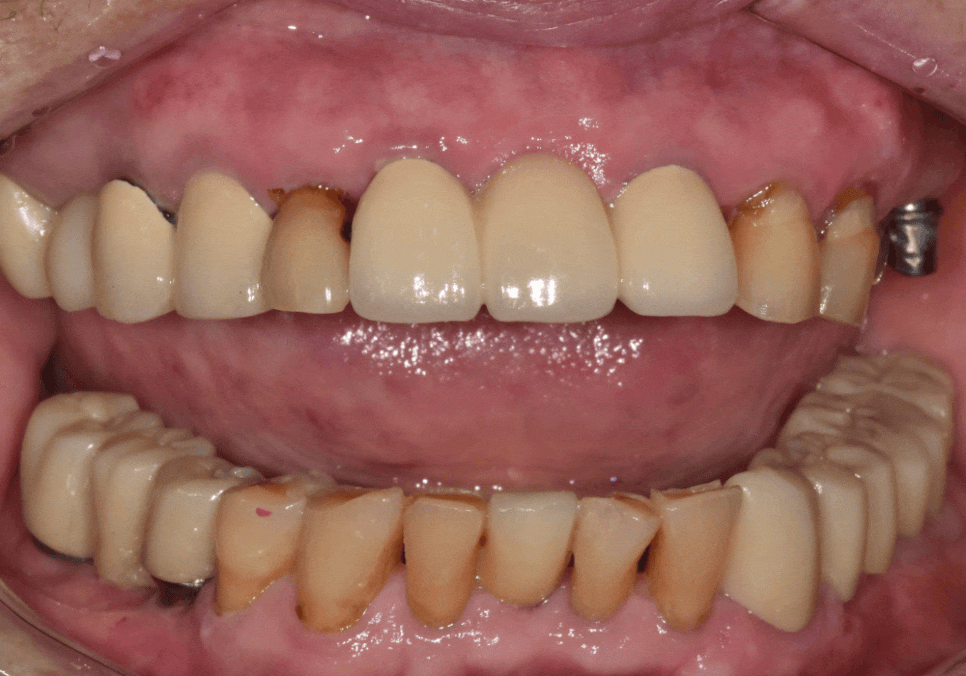
231109 (전) 251108 (후)
치료도 중요하지만,
이후 관리 방향을 잡는 게
더 중요할 때가 있습니다.
특히 치아 사이는
충치가 생겨도
겉으로 잘 보이지 않아
발견이 늦어질 수 있는데요.
그래서 미리 검진으로
문제가 있는지 한 번
확인해두시면 도움이 됩니다.
다가오는 연말,
한 해를 정리하면서
내 치아도 괜찮은지 꼭 점검해 보세요 ^^
▼치과 위치 확인▼
상일동 임플란트 심한 충치로 인한 치아 부러짐 해결한 사례
| 예약 전화하러 가기 |
|---|
| 02-481-4278 |
| 본 게시물은 의료광고 법 제56조 1항을 준수하여의료 정보 제공 목적으로 서울 바르디 치과에서 직접 작성하였습니다.제공된 정보는 참고만 하실 것을 권유 드리며 증상 파악 및 정확한 관리 방법은 의료기관에 내원 후 의료진을 통해 안내받으시길 바랍니다.치과에서 진행되는 모든 시술 / 수술은 개인에 따라 (염증, 출혈, 부기 등) 가능성이 있습니다.사전에 의료진과 충분한 상담을 통해 결정하시길 바랍니다.게시물의 치료 사례는 실제 본원에서 치료를 마친 환자분들의 동의하에촬영되었으며 전, 후 사진은 동일 조건에서 촬영되었습니다. |