아카이브 요약
이 페이지의 역할
서울바르디치과의원의 네이버 블로그 원문을 보존한 아카이브 페이지입니다. 앞니마법사 카테고리의 고덕동 심미 보철, 삐뚤어진 앞니, 교정 없이 바로잡은 비결 글을 통해 병원의 한국어 정보 제공 방식과 진료 관련 안내 톤을 확인할 수 있습니다.
원문 검증
필요하면 원문 블로그와 병원 프로필로 바로 이동해 문맥을 다시 확인할 수 있습니다.
출처 아카이브 열기아카이브된 블로그 글
서울바르디치과의원 · Naver Blog
고덕동 심미 보철, 삐뚤어진 앞니, 교정 없이 바로잡은 비결 안녕하세요. 서울바르디치과 원장입니다. 앞니가 삐뚤어져서 거울을 볼 때마다 신경은 쓰이는데, 막상 치과에 가자니 '교정'이라는 단어부터 막막하게 느껴지기 마련입니다. "이 나이에 1~2년씩이나 장치를 붙이고 있어야 한다...
게시일
2026년 1월 1일
원문 기준으로 확인된 발행일입니다.
카테고리
앞니마법사
원문 블로그 카테고리를 정리해 함께 표시합니다.
이미지 수
16
현재 아카이브에 연결된 이미지 수입니다.
아카이브 요약
서울바르디치과의원의 네이버 블로그 원문을 보존한 아카이브 페이지입니다. 앞니마법사 카테고리의 고덕동 심미 보철, 삐뚤어진 앞니, 교정 없이 바로잡은 비결 글을 통해 병원의 한국어 정보 제공 방식과 진료 관련 안내 톤을 확인할 수 있습니다.
원문 검증
필요하면 원문 블로그와 병원 프로필로 바로 이동해 문맥을 다시 확인할 수 있습니다.
출처 아카이브 열기안녕하세요.
서울바르디치과 원장입니다.
앞니가 삐뚤어져서
거울을 볼 때마다
신경은 쓰이는데,
막상 치과에 가자니
'교정'이라는 단어부터
막막하게 느껴지기 마련입니다.
"이 나이에 1~2년씩이나
장치를 붙이고 있어야 한다고?"
상상만 해도 답답하고,
중요한 모임이나 행사라도 있으면
난감할 것 같아
포기하시는 분들이 정말 많으시죠?
하지만 만약 2년이라는 시간을
'2개월'로 단축할 수 있다면 어떠신가요?
오늘은 교정 없이,
단 2개월 만에 삐뚤어진
앞니 라인을 개선한
60대 환자분의 실제 이야기를
들려드릴게요.
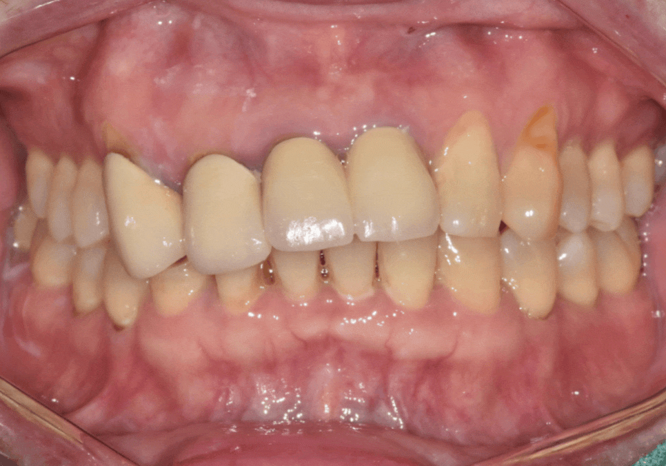
"앞니가 삐뚤고 까맣게 비치는데 고칠 수 있나요?"
고덕동 심미 보철, 삐뚤어진 앞니, 교정 없이 바로잡은 비결
이 환자분은
오래전 위 앞니 4개를
보철로 씌우셨는데,

230215
시간이 흐르면서
심미적으로나 기능적으로
문제가 생긴 상태였습니다.
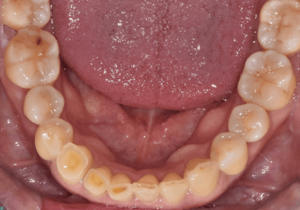
입안을 자세히 살펴보니
원인은 크게 세 가지였습니다.
유독 길게 제작된 위 앞니가
아랫니를 계속 건드리면서,
아랫니 속살(상아질)이 비칠 만큼
심하게 마모되어 있었습니다.

230215
아랫니가 닳아 키가 작아지다 보니,
상대적으로 윗니는 더 들쑥날쑥하고
삐뚤어 보일 수밖에 없었죠.

230215
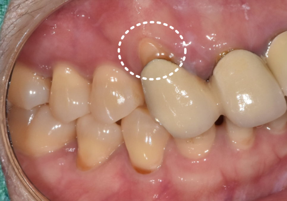
잇몸이 내려가면서
뿌리가 드러나보이고,
보철 안쪽의 금속 테두리가
까맣게 보였습니다.

230215
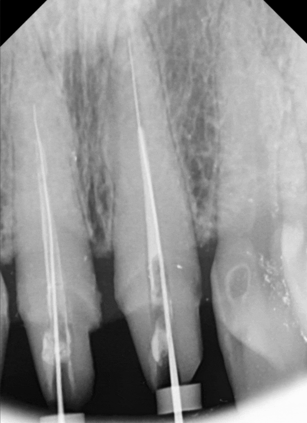
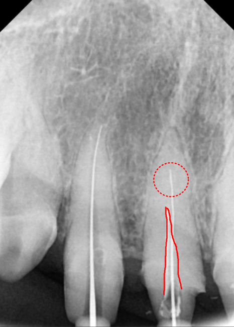
무엇보다 "씹을 때 욱신거린다"는
통증을 호소하셨는데,
정밀 검사 결과 ,
과거 신경치료가 제대로 마무리되지 않아
내부에 염증이 생겨 있었습니다.

230215
결국 기존 재료를 모두 제거하고
다시 치료하는 '재신경치료'가
시급한 상황이었습니다.
재신경치료, 왜 더 까다로울까요?
고덕동 심미 보철, 삐뚤어진 앞니, 교정 없이 바로잡은 비결
"그냥 처음부터 하는 게
더 쉬운 거 아닌가요?"
라고 물으시곤 하지만,
사실 재신경치료는
처음보다 훨씬 어렵고 세밀한 과정입니다.
신경관 안에 딱딱하게 굳은
예전 재료를
치아 내벽 손상 없이
조심스럽게 걷어내야 합니다.
마치 좁은 터널 안에서
벽을 긁지 않고 작업하는 것과 같죠.
기존 치료가 불충분했다면
신경관이 막혀 있거나
방향이 뒤틀려 있을 수 있어,
원래의 길을 다시 찾아내는 게
정말 쉽지 않습니다.
이미 한 번 치료를 받은 치아는
구조적으로 약해져 있어,
자칫하면 치아가 쪼개질 수 있기에
아주 세심하게 접근해야 합니다.


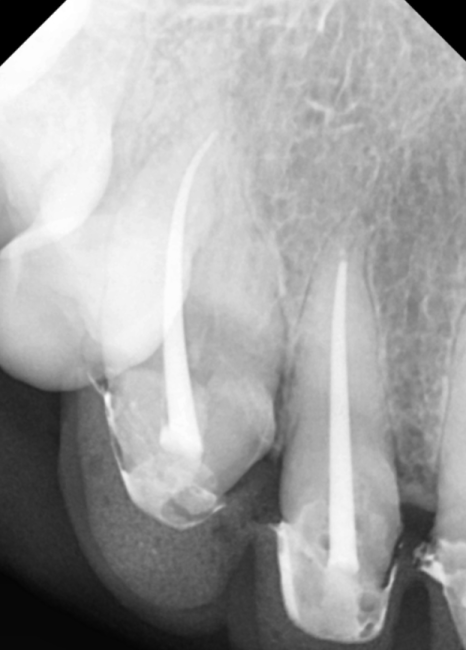
230424
이번 환자분 역시 신경이
뿌리 끝까지 제거되지 않은 상태였지만,
다행히 숨은 길을 잘 찾아내어
3번의 꼼꼼한 소독 끝에
안전하게 치료를 마무리할 수 있었습니다.


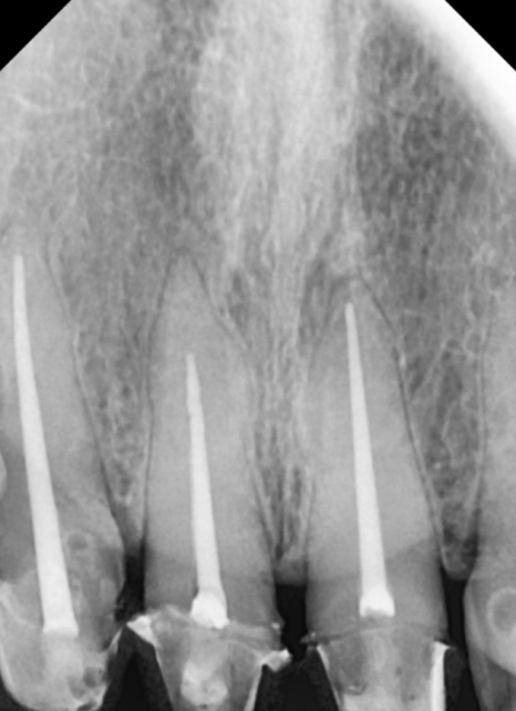
230426
신경치료 후 보철 제작을 위한
디자인 과정
고덕동 심미 보철, 삐뚤어진 앞니, 교정 없이 바로잡은 비결
신경 치료를 마친 뒤,
가장 중요하게 생각한 것은
'웃을 때의 앞니 라인'이었습니다.
다만, 고민스러운 지점이 있었습니다.


230711
아랫니가 이미 많이 닳아
낮아진 상태라,
위 앞니 배열을 반듯하게 맞추면
특정 부위가 아랫니와 맞물리지 않고
살짝 뜨게 되는 구조였거든요.

230711
저는 이 부분을 환자분께
솔직하게 설명드렸습니다.
다행히 환자분께서도
"어금니로 잘 씹히면 되니,
이번엔 꼭 예쁜 앞니를 갖고 싶다"고
동의해주셔서
미관에 초점을 맞춘 디자인을 진행했습니다.
또한, 환자분의 씹는 힘(교합력)이 매우 강해
일반 도자기는 깨질 위험이 컸습니다.

230215
그래서 강도가 월등히 높은
'지르코니아'를 선택해
튼튼함까지 놓치지 않았습니다.
심미성의 완성, 디지털 정밀 시스템
고덕동 심미 보철, 삐뚤어진 앞니, 교정 없이 바로잡은 비결
저희 병원은 구강스캐너와
원내 기공소를 갖추어,
환자분들이 치료 과정에서
느끼는 편안함과
최종 보철물의 완성도를 높이는 데
집중하고 있습니다.
특히 앞니처럼
심미성이 중요한 부위에서
이 조합의 장점이 확실히 드러납니다.
앞니 치료의 핵심은
주변 치아와 얼마나 잘
어우러지느냐에 있어요.
과거의 방식은 고무 재료로
본을 뜬 뒤 석고 모델을 만들어
보철을 제작했습니다.

고덕동 심미 보철, 삐뚤어진 앞니
하지만 석고 모델만으로는
실제 치아가 가진
고유의 투명도나
미세한 색상 차이를
다 담아내기 어려웠습니다.
그러다 보니 보철물을 끼웠을 때
주변 치아와 색감이 달라
겉도는 느낌이 들기도 했죠.
반면, 3D 구강 스캐너는
단순히 치아 모양만 본뜨는 것이 아니라
미세한 결이나 투명도까지
디지털 데이터로 정밀하게 기록합니다.

고덕동 심미 보철, 삐뚤어진 앞니
실제 치아의 정보를
수치화된 데이터로 확인하며
디자인하기 때문에,
원래 내 치아였던 것처럼
자연스럽고 조화로운 앞니를 완성할 수 있습니다.
이 정밀한 디지털 데이터는
병원 내 전담 기공소로 즉시 전달됩니다.
기공사가 데이터상의 수치뿐만 아니라,
환자분의 실제 미소와 입술 라인까지
직접 확인하며 제작하기 때문에
더 정교한 작업이 가능하죠.
"끝부분을 아주 살짝만 더 둥글게,
색상을 조금만 더 투명하게"
같은 섬세한 조정이
현장에서 바로 이루어지면서,
기성품이 아닌 오직 한 분만을 위한
맞춤형 보철물이 완성됩니다.
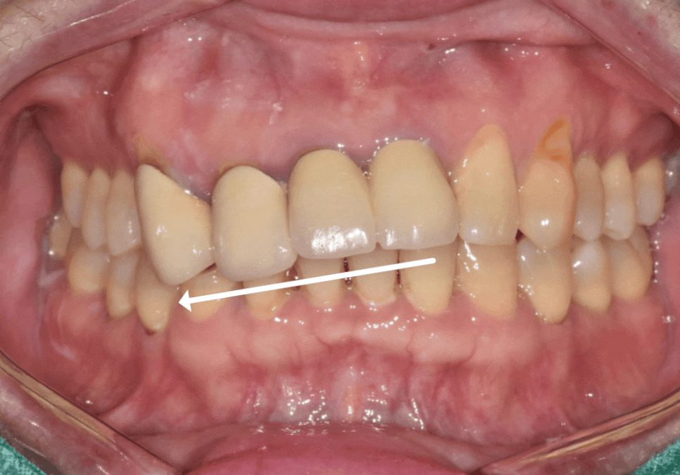
2개월 뒤 완성된 최종 보철
고덕동 심미 보철, 삐뚤어진 앞니
삐뚤어보였던 치아 라인이
보철 치료를 통해
눈에 띄게 개선되었습니다.
특히 구강스캐너와 원내기공소의
디지털 시스템 덕분에,
더욱 신속하면서도
정교한 보철물을 완성할 수 있었습니다.

230215(전) 230726 (후)
앞니가 삐뚤다고 해서
무조건 교정만이 답은 아닙니다.
치아 상태와 목적에 따라,
보철 치료가 시간과 비용을
아끼는 현명한 대안이 될 수 있습니다.
삐뚤어진 앞니 때문에
한숨 쉬고 계신다면,
혼자 고민하지 마시고
편하게 상담받아보세요.
환자분께 가장 잘 어울리는 미소를
함께 고민해 드리겠습니다.
오늘도 긴 글 읽어주셔서 감사합니다. ^^
▼치과 위치 확인▼
고덕동 심미 보철, 삐뚤어진 앞니, 교정 없이 바로잡은 비결
| 예약 전화하러 가기 |
|---|
| 02-481-4278 |
| 본 게시물은 의료광고 법 제56조 1항을 준수하여의료 정보 제공 목적으로 서울 바르디 치과에서 직접 작성하였습니다.제공된 정보는 참고만 하실 것을 권유 드리며 증상 파악 및 정확한 관리 방법은 의료기관에 내원 후 의료진을 통해 안내받으시길 바랍니다.치과에서 진행되는 모든 시술 / 수술은 개인에 따라 (염증, 출혈, 부기 등) 가능성이 있습니다.사전에 의료진과 충분한 상담을 통해 결정하시길 바랍니다.게시물의 치료 사례는 실제 본원에서 치료를 마친 환자분들의 동의하에촬영되었으며 전, 후 사진은 동일 조건에서 촬영되었습니다. |