아카이브 요약
이 페이지의 역할
서울바르디치과의원의 네이버 블로그 원문을 보존한 아카이브 페이지입니다. 3D 네비게이션 임플란트 카테고리의 뼈가 없어서 안 된다구요? 70대 당뇨 무치악 환자분의 전체 임플란트 사례 글을 통해 병원의 한국어 정보 제공 방식과 진료 관련 안내 톤을 확인할 수 있습니다.
원문 검증
필요하면 원문 블로그와 병원 프로필로 바로 이동해 문맥을 다시 확인할 수 있습니다.
출처 아카이브 열기아카이브된 블로그 글
서울바르디치과의원 · Naver Blog
뼈가 없어서 안 된다구요? 70대 당뇨 무치악 환자분의 전체 임플란트 사례 안녕하세요. 서울바르디치과 원장입니다. 진료실에서 뵙는 환자분들 중에는 참 안타까운 '치과 유랑민' 분들이 많습니다. 특히 위턱 치아를 다 잃으시고 틀니를 오래 쓰신 어르신들일수록 더욱 그런데요. 여러 치과를 다...
게시일
2026년 1월 1일
원문 기준으로 확인된 발행일입니다.
카테고리
3D 네비게이션 임플란트
원문 블로그 카테고리를 정리해 함께 표시합니다.
이미지 수
20
현재 아카이브에 연결된 이미지 수입니다.
아카이브 요약
서울바르디치과의원의 네이버 블로그 원문을 보존한 아카이브 페이지입니다. 3D 네비게이션 임플란트 카테고리의 뼈가 없어서 안 된다구요? 70대 당뇨 무치악 환자분의 전체 임플란트 사례 글을 통해 병원의 한국어 정보 제공 방식과 진료 관련 안내 톤을 확인할 수 있습니다.
원문 검증
필요하면 원문 블로그와 병원 프로필로 바로 이동해 문맥을 다시 확인할 수 있습니다.
출처 아카이브 열기안녕하세요.
서울바르디치과 원장입니다.
진료실에서 뵙는 환자분들 중에는
참 안타까운 '치과 유랑민' 분들이 많습니다.
특히 위턱 치아를 다 잃으시고
틀니를 오래 쓰신
어르신들일수록 더욱 그런데요.
여러 치과를 다녀봐도 돌아오는
대답은 늘 비슷했기 때문일 겁니다.
"뼈가 종이처럼 얇아서
임플란트 심을 자리가 없네요."
"위턱은 상악동 공간 때문에
수술이 너무 까다롭습니다."
이런 이야기를 반복해서 듣다 보면,
결국 '내 입안은 임플란트가
정말 안 되는구나' 하고
포기 하는 마음으로
다시 불편한 틀니를 끼우시곤 합니다.
하지만 오늘 소개해 드릴
70대 환자분은 그 막막했던 상황을 뒤로하고,
현재 단 6개의 임플란트만으로
편안하게 식사를 하고 계십니다.
다들 어렵고 힘들다고만 말하는
'무치악 임플란트 치료'
어떻게 그 난관을 극복했는지
치료 과정을 통해 설명 드릴게요.^^
치아가 없으면 뼈도 함께 사라집니다
뼈가 없어서 안 된다구요? 70대 당뇨 무치악 환자분의 전체 임플란트 사례
이 환자분은
오랫동안 전체 틀니를 사용해 오셨고,


250308
당뇨 합병증까지 겹쳐
잇몸 상태가 많이 약해진 상태였습니다.
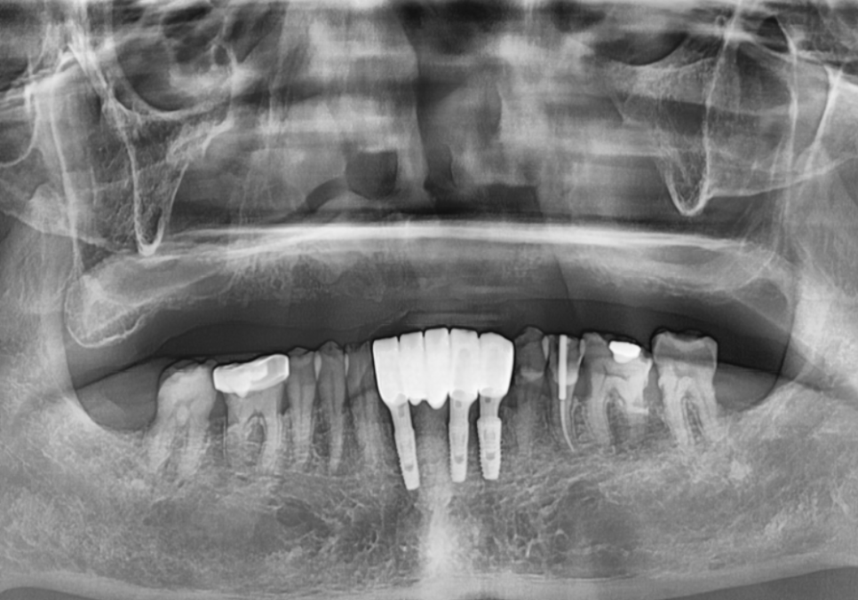
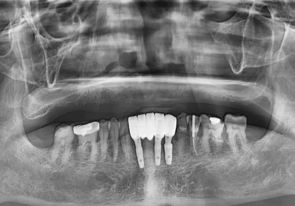
방사선 사진을 보니
잇몸뼈가 전체적으로 아주 얇아져 있었죠.

250310
우리 뼈도 근육과 비슷합니다.
운동(씹는 자극)을 안 하면 금방 빠져버리듯이
치아가 사라지면 뼈도 자기 할 일을
다 했다고 생각하고 서서히 줄어듭니다.
보통 1년에 아주 조금씩
줄어든다고 하지만,
오랜 시간 틀니의 압박만
견뎌온 잇몸뼈는
그 속도가 훨씬 빠를 수밖에 없습니다.
위턱은 더 까다롭습니다. '상악동' 때문이죠
뼈가 없어서 안 된다구요? 70대 당뇨 무치악 환자분의 전체 임플란트 사례
위턱 임플란트가 어려운 이유는 두 가지입니다.
아래턱이 단단한 나무 같다면,
위턱은 상대적으로 무르고 밀도가 낮습니다.
그만큼 임플란트를 단단하게 고정하기가 어렵죠.
위턱 뒤쪽에는 코와 연결된
뻥 뚫린 공간인
'상악동'이 있습니다.

250310
치아가 오래 없었던 분들은
뼈가 점점 얇아져
정작 임플란트를 심을 뼈는
2~3mm조차 남지 않은 경우가 많습니다.
이때 필요한 것이
바로 '상악동 거상술'입니다.

250310
상악동 거상술이란?
뼈가 없어서 안 된다구요? 70대 당뇨 무치악 환자분의 전체 임플란트 사례
상악동 거상술은
상악동 막을 위로 들어 올려
임플란트가 들어갈 공간을 확보하는 수술입니다.
이 막은 휴지보다 얇을 정도로
매우 예민합니다.
이걸 찢지 않고 조심스럽게
들어 올린 뒤 뼈를 채워 넣어야 하죠.

집도의의 섬세한 손길이
수술의 성패를 가르는 핵심입니다.
이 환자분도 양쪽 어금니 부위
모두 상악동 거상술이 필요했습니다.
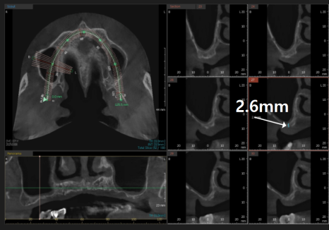
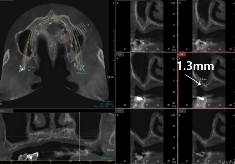
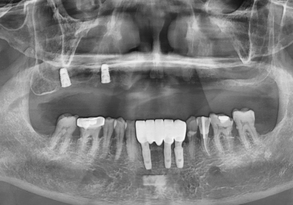
CT로 찾아낸 최적의 위치
뼈가 없어서 안 된다구요? 70대 당뇨 무치악 환자분의 전체 임플란트 사례
전체적으로 뼈가 얇았기에,
CT 정밀 분석을 통해
그나마 뼈 상태가 양호한 부위를
전략적으로 선택했습니다.


250310
총 6개의 임플란트를 심고
보철로 연결해 12개의 치아를
만드는 계획을 세웠죠.
또한 당뇨 수치와 연령을 고려해
오른쪽, 왼쪽, 앞니 세 번으로
나누어 진행했습니다.

250310, 250402, 250416
환자분의 컨디션에 무리가 가지 않도록
속도를 조절하는 것이
무엇보다 중요했기 때문입니다.


250402
7개월의 기다림,
그리고 기존 틀니의 활용
뼈가 없어서 안 된다구요? 70대 당뇨 무치악 환자분의 전체 임플란트 사례
임플란트를 심었다고 해서
바로 치아가 올라가는 것은 아닙니다.
특히 뼈이식 양이 많았던
이 환자분은 약 7개월의
치유 기간이 필요했습니다.

250402
"그동안 식사는 어떻게 하나요?"라고
묻는 분들이 많으신데요.
기존 틀니를 조금 조정해서
계속 사용하실 수 있습니다.
잇몸 상처가 아물면서
모양이 변할 때마다
틀니 안쪽에 폭신한 재료를 깔아
보완해 드리며
적응 기간을 보냈습니다.
디지털 데이터가 빛을 발하는 순간
뼈가 없어서 안 된다구요? 70대 당뇨 무치악 환자분의 전체 임플란트 사례
저희는 구강스캐너로
입안을 디지털 데이터화하여 저장합니다.
실제로 이 환자분은
임시 치아 사용 중에 분실하시는 일이 있었는데요.
예전 같으면 다시 본을 떠야 했겠지만,
저희는 저장된 데이터 덕분에

환자분이 오시기도 전에
원내 기공소에서 새 치아를
미리 제작해둘 수 있었습니다.
덕분에 당일 바로 끼워드릴 수 있었어요.
디지털 시스템의 확실한 강점이죠.
외부 기공소에 보내면
며칠 기다려야 하지만,
'원내 기공소 + 구강스캐너' 조합이면
이런 응급 상황도 빠르게 해결됩니다.

임플란트 6개를 연결하는 보철은
0.1mm만 틀어져도 문제가 생기는데,
디지털 데이터는
이런 오차를 최소화하기 때문에
보철의 완성도가 높다는게 최장점입니다.
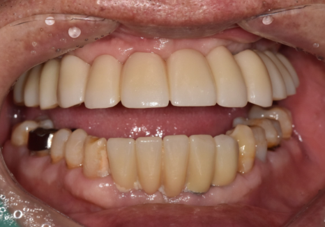
무치악 환자분의 보철은 오히려 더 까다롭습니다.
뼈가 없어서 안 된다구요? 70대 당뇨 무치악 환자분의 전체 임플란트 사례
"치아가 하나도 없으면
보철 만들기 더 쉬운 거 아닌가요?"
사실은 그 반대입니다.
치아가 있으면 높이 기준점이 있는데,
무치악은 기준점이 없기 때문에
적절한 얼굴의 높이(수직고경)를
새로 찾아야 하거든요.

너무 높으면 턱이 아프고,
낮으면 씹는 힘이 약해집니다.
그래서 이 환자분의 경우,
적절한 기준점에 맞게
임시 치아를 충분히 써보시게 했습니다.


251020
임시치아를 써보시며
불편한 부분은 없었는지 확인하고,
안모 변화를 확인한 뒤에야
최종 보철을 완성했습니다.


251020
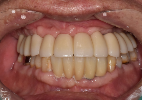
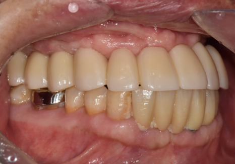
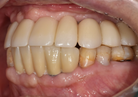
8개월의 여정, 다시 찾은 일상
뼈가 없어서 안 된다구요? 70대 당뇨 무치악 환자분의 전체 임플란트 사례
70대 당뇨 환자분의
상악 무치악 치료는 총 8개월이 걸렸습니다.
천천히,
하지만 확실하게
진행한 덕분에
현재 환자분은 6개의 임플란트로
편안하게 식사를 하고 계십니다.

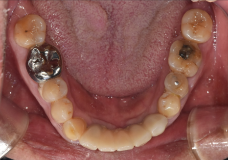
250308 (전) 251020 (후)
"뼈가 없어서 안 된다"는 말에
미리 포기하지 마세요.
정밀한 설계와 숙련된 기술이 있다면
충분히 해결책을 찾을 수 있습니다.
"나도 임플란트 할 수 있을까?"
고민하고 계신다면,
더 이상 망설이지 마시고
정확한 진단부터 받아보세요.
꼼꼼하게 봐드리겠습니다.
오늘도 긴 글 읽어주셔서 감사합니다. ^^
▼치과 위치 확인▼
뼈가 없어서 안 된다구요? 70대 당뇨 무치악 환자분의 전체 임플란트 사례
| 예약 전화하러 가기 |
|---|
| 02-481-4278 |
| 본 게시물은 의료광고 법 제56조 1항을 준수하여의료 정보 제공 목적으로 서울 바르디 치과에서 직접 작성하였습니다.제공된 정보는 참고만 하실 것을 권유 드리며 증상 파악 및 정확한 관리 방법은 의료기관에 내원 후 의료진을 통해 안내받으시길 바랍니다.치과에서 진행되는 모든 시술 / 수술은 개인에 따라 (염증, 출혈, 부기 등) 가능성이 있습니다.사전에 의료진과 충분한 상담을 통해 결정하시길 바랍니다.게시물의 치료 사례는 실제 본원에서 치료를 마친 환자분들의 동의하에촬영되었으며 전, 후 사진은 동일 조건에서 촬영되었습니다. |