아카이브 요약
이 페이지의 역할
서울바르디치과의원의 네이버 블로그 원문을 보존한 아카이브 페이지입니다. 앞니마법사 카테고리의 상일동역 라미네이트, 왜 누군가는 부작용을 겪고, 누군가는 10년 넘게 멀쩡할까? 글을 통해 병원의 한국어 정보 제공 방식과 진료 관련 안내 톤을 확인할 수 있습니다.
원문 검증
필요하면 원문 블로그와 병원 프로필로 바로 이동해 문맥을 다시 확인할 수 있습니다.
출처 아카이브 열기아카이브된 블로그 글
서울바르디치과의원 · Naver Blog
상일동역 라미네이트, 왜 누군가는 부작용을 겪고, 누군가는 10년 넘게 멀쩡할까? 안녕하세요, 서울바르디치과 원장입니다. 앞니 고민으로 오시는 분들과 대화를 나누다 보면, 열 분 중 여덟 분은 '라미네이트 부작용'에 대한 공포심을 가지고 계십니다. "한 번 깎아내면 되돌릴 수 없다는데......
게시일
2026년 1월 3일
원문 기준으로 확인된 발행일입니다.
카테고리
앞니마법사
원문 블로그 카테고리를 정리해 함께 표시합니다.
이미지 수
13
현재 아카이브에 연결된 이미지 수입니다.
아카이브 요약
서울바르디치과의원의 네이버 블로그 원문을 보존한 아카이브 페이지입니다. 앞니마법사 카테고리의 상일동역 라미네이트, 왜 누군가는 부작용을 겪고, 누군가는 10년 넘게 멀쩡할까? 글을 통해 병원의 한국어 정보 제공 방식과 진료 관련 안내 톤을 확인할 수 있습니다.
원문 검증
필요하면 원문 블로그와 병원 프로필로 바로 이동해 문맥을 다시 확인할 수 있습니다.
출처 아카이브 열기안녕하세요,
서울바르디치과 원장입니다.
앞니 고민으로 오시는 분들과
대화를 나누다 보면,
열 분 중 여덟 분은
'라미네이트 부작용'에 대한 공포심을
가지고 계십니다.
"한 번 깎아내면 되돌릴 수 없다는데...",
"평생 시리게 살면 어떡하나"
하는 걱정들이죠.
치과의사인 제가 봐도
인터넷에는 무시무시한 후기들이 참 많습니다.

하지만 제가 꼭 드리고 싶은 말씀은,
라미네이트라는 치료 자체가 나쁜 것이 아니라
'무리하게 치아를 깎아내는 과정'이
부작용을 만든다는 점입니다.
오늘은 왜 많은 분이
'치아 시림'과 같은 부작용으로 고생하시는지,
그리고 저희 치과는 어떻게
그 문제를 해결하고 있는지
말씀드리겠습니다.
상일동역 라미네이트
라미네이트를 하고 나서
찬물도 못 마실 정도로
이가 시린 이유는 명확합니다.
우리 치아의 가장 겉면에는
신경을 보호하는 아주 단단한 방어막인
'법랑질'이 있습니다.

그런데 예쁜 모양을 만들겠다고
이 법랑질을 과하게 깎아내어
안쪽의 예민한 신경과 가까워지면,
결국 작은 자극에도
시리고 아픈 통증이 생기게 됩니다.
그래서 저는 '최소 삭제'를 원칙으로 합니다.

최소 삭제
여기서 중요한 건
'무조건 깎지 않는 것'이 아닙니다.
라미네이트가 치아에
단단하게 붙어 오래 유지되려면,
치아 겉면을 아주 미세하게
다듬어주는 과정이 필요할 때가 많거든요.
다만 그 범위가 반드시 단단한 방어막인
법랑질 내에 머물러야 한다는 것,
그것이 시린 증상을 예방하는 핵심입니다.
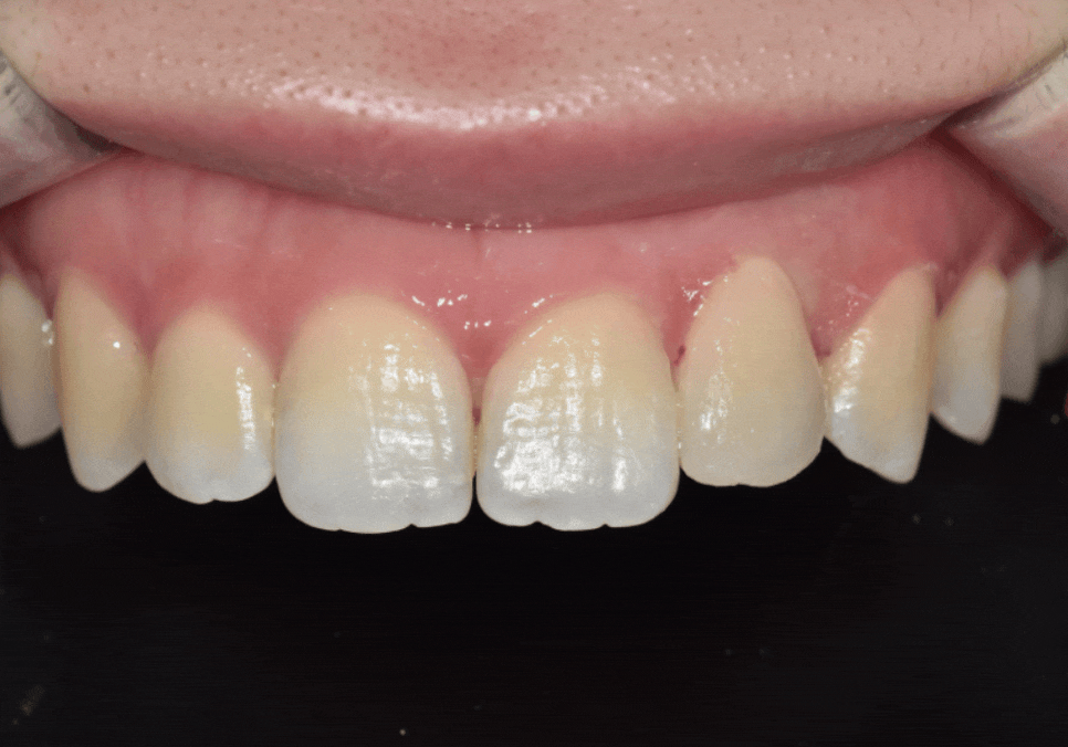
상일동역 라미네이트, 왜 누군가는 부작용을 겪고, 누군가는 10년 넘게 멀쩡할까?
얼마 전 저희 치과를 찾아주신
한 환자분의 사례를 들려드릴게요.

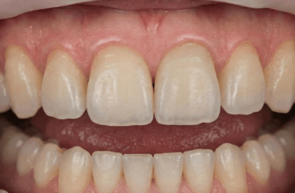
241102
예전에 앞니 사이 공간을
메우기 위해 받았던
레진 치료 부위가
시간이 흐르며 거뭇거뭇하게
변색된 상태였습니다.

다른 환자 케이스 예시 ) 오래된 레진, 변색된 상태
레진은 재료 특성상 시간이 지나면
색이 변하거나 경계 부위가 지저분해지기 쉬운데,
환자분께서는
심미적인 스트레스가 컸음에도
삭제에 대한 공포 때문에
수년간 치료를 미뤄오셨다고 해요.
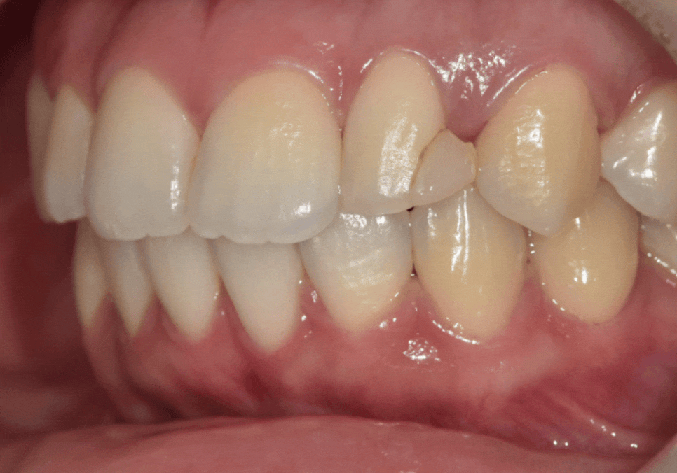
정밀 진단 결과,
다행히 이 환자분은
치아 배열이 고른 편이고
삭제량을 획기적으로
줄일 수 있는 상태였습니다.
저희는 기존의 변색된 레진을
말끔히 제거하고,

241102
라미네이트가 더 단단하고
오랫동안 유지될 수 있도록
치아 겉면만 아주 미세하게 다듬는
'최소 삭제' 방식으로 진행했습니다.

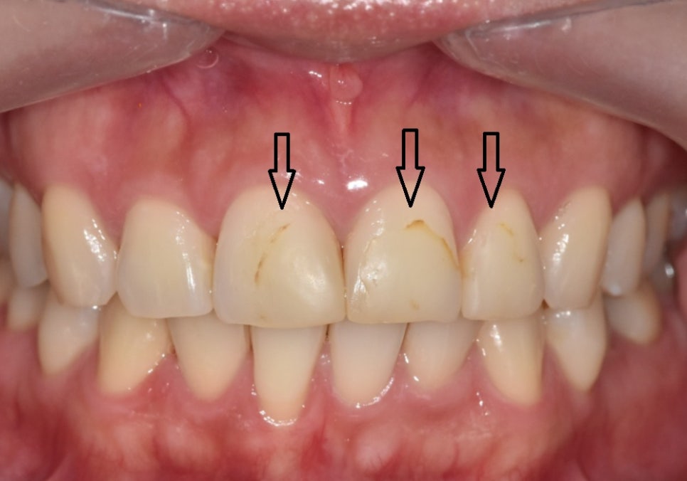
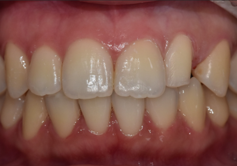
241102
신경을 전혀 건드리지 않는
건강한 범위 내에서 다듬었기에,
환자분은 치료 후
시린 증상에 대한 불편함 없이
마치 내 치아 같은 자연스러운
미소를 되찾으셨습니다.

241116
상일동역 라미네이트, 왜 누군가는 부작용을 겪고, 누군가는 10년 넘게 멀쩡할까?
삭제량을 줄이면서도
튼튼한 결과를 만드는 비결은
바로 '정교함'에 있습니다.
조금이라도 오차가 생기면
치아가 툭 튀어나와 보이거나
보철물이 쉽게 떨어질 수 있기 때문이죠.
저희 서울바르디치과는
끈적이는 재료를 입에 물고 본을 뜨는 대신
디지털 본을 뜨는
구강 스캐너를 사용합니다.
고무로 본을 뜨는 방식은
온도와 습도, 침 등에 민감하기 때문에
정확하게 본 뜨기가 어렵고

그만큼 보철을 만드는데 있어서
오차가 날 수 있어요.
하지만, 디지털 본 뜨기 방식인
구강 스캐너는
빛으로 치아의 굴곡을 0.1mm 단위까지
정밀하게 읽어내어
오차 낮은 설계를 가능하게 하죠.

뿐만 아니라, 환자분들께서
"본 뜨는 거 구역질 나서 힘들었는데,
입만 벌리고 가만히 있으면 돼서
너무 편하다"는
말씀을 들으면,
비싸게 구매했지만 환자분들을 위해
잘 샀다는 마음이 절로 들기도 합니다.^^
아뇨, 저희는 당일날 바로 끼워드립니다.
상일동역 라미네이트, 부작용
디지털로 본 뜬 정교한 데이터들은
병원 내부에 있는
우리 전용 기공소로 즉시 전달되어,
제가 직접 기공 소장님과
보철물에 관한 사안을
실시간으로 협의 후
그 자리에서 즉시 만들어집니다.

이런 정교한 과정 덕분에
오전에 오시면 당일 오후에
바로 새 치아를 끼워드리는
'1-Day 시스템'이 가능하며,

임시 치아로 지내며 겪을 수 있는
세균 오염이나 탈락 위험까지
줄일 수 있습니다.
상일동역 라미네이트, 왜 누군가는 부작용을 겪고, 누군가는 10년 넘게 멀쩡할까?
모든 분이 '최소 삭제'로
해결되는 것은 아닙니다.
만약 치아가 앞으로 툭 튀어나와 있거나
배열이 심하게 비뚤비뚤한데
삭제를 거의 하지 않고
덧붙이기만 하면 어떻게 될까요?
치아가 너무 두꺼워져서
오히려 인상이 부자연스럽고
잇몸 건강을 해칠 수 있습니다.
이런 상황에서는 치아의 위치를
바로잡기 위한
적절한 삭제가 동반되거나
교정 치료가 먼저 필요할 수도 있습니다.
환자분의 10년 후
치아 건강까지 생각한다면,
"안 되는 상황에서는 안 된다"고
솔직하게 말씀드리는 것이
전문가의 진짜 역할이라고
저는 믿습니다.
사실 치아 하나 바꾸는 게
마음처럼 쉬운 결정은 아니라는 것,
저도 잘 알고 있습니다.
치아에 무리가 가진 않을지,
비용은 너무 부담되지 않을지 고민하며
망설였던 시간이 길었을 거예요.
그 망설임의 문턱을
조금이라도 낮춰드리고 싶어서,
이번 새해에는 3월 31일까지
비용적인 부담을 잠시 내려놓기로 했습니다.

2026.01.01~2026.03.31
비용으로 고민만 하던 분들이
용기 내어 상담이라도
받아보실 수 있는 '기회'가 되었으면 좋겠습니다.
꼭 치료를 결정하지 않으셔도 좋습니다.
그저 혼자 고민하며 한숨 쉬는 대신,
가장 안전한 방법이
무엇인지 같이 짚어보고,
하나씩 답을 찾아갔으면 좋겠습니다.
여러분의 치아 건강을 최우선으로,
가장 정직한 길을 함께 찾아드릴게요.
감사합니다.
▼치과 위치 확인▼
상일동역 라미네이트, 왜 누군가는 부작용을 겪고, 누군가는 10년 넘게 멀쩡할까?
| 예약 전화하러 가기 |
|---|
| 02-481-4278 |
| 본 게시물은 의료광고 법 제56조 1항을 준수하여의료 정보 제공 목적으로 서울 바르디 치과에서 직접 작성하였습니다.제공된 정보는 참고만 하실 것을 권유 드리며 증상 파악 및 정확한 관리 방법은 의료기관에 내원 후 의료진을 통해 안내받으시길 바랍니다.치과에서 진행되는 모든 시술 / 수술은 개인에 따라 (염증, 출혈, 부기 등) 가능성이 있습니다.사전에 의료진과 충분한 상담을 통해 결정하시길 바랍니다.게시물의 치료 사례는 실제 본원에서 치료를 마친 환자분들의 동의하에촬영되었으며 전, 후 사진은 동일 조건에서 촬영되었습니다. |