아카이브 요약
이 페이지의 역할
서울바르디치과의원의 네이버 블로그 원문을 보존한 아카이브 페이지입니다. 앞니마법사 카테고리의 솟구치는 앞니, 흔들리는 치아가 보내는 글을 통해 병원의 한국어 정보 제공 방식과 진료 관련 안내 톤을 확인할 수 있습니다.
원문 검증
필요하면 원문 블로그와 병원 프로필로 바로 이동해 문맥을 다시 확인할 수 있습니다.
출처 아카이브 열기아카이브된 블로그 글
서울바르디치과의원 · Naver Blog
솟구치는 앞니, 흔들리는 치아가 보내는 '이 신호' 무시하면 안 되는 이유 안녕하세요. 서울바르디치과 원장입니다. "제 치아가 예전보다 길어진 것 같아요. 혀만 대도 흔들려요..." 다 자란 성인의 치아가 갑자기 키가 클 리는 없으니, 환자분 입장에서는 참 당황스러운 일이죠. ...
게시일
2026년 1월 3일
원문 기준으로 확인된 발행일입니다.
카테고리
앞니마법사
원문 블로그 카테고리를 정리해 함께 표시합니다.
이미지 수
16
현재 아카이브에 연결된 이미지 수입니다.
아카이브 요약
서울바르디치과의원의 네이버 블로그 원문을 보존한 아카이브 페이지입니다. 앞니마법사 카테고리의 솟구치는 앞니, 흔들리는 치아가 보내는 글을 통해 병원의 한국어 정보 제공 방식과 진료 관련 안내 톤을 확인할 수 있습니다.
원문 검증
필요하면 원문 블로그와 병원 프로필로 바로 이동해 문맥을 다시 확인할 수 있습니다.
출처 아카이브 열기솟구치는 앞니, 흔들리는 치아가 보내는 '이 신호' 무시하면 안 되는 이유
안녕하세요.
서울바르디치과 원장입니다.
"제 치아가 예전보다
길어진 것 같아요.
혀만 대도 흔들려요..."
다 자란 성인의 치아가
갑자기 키가 클 리는 없으니,
환자분 입장에서는
참 당황스러운 일이죠.
보통은
"나이가 들어서 잇몸이 좀 내려갔나 보다" 하고
대수롭지 않게 넘기시는 경우가 많습니다.
하지만 사실 이건 잇몸이 보내는
생각보다 솔직한 SOS 신호입니다.
치아를 단단하게 붙잡아줘야 할
잇몸뼈가 녹으면서,
치아가 지지력을 잃고
위로 밀려 올라오고 있다는 뜻이거든요.
이 신호를 무시하면
나중에는 정말 손을 쓰기 어려운 상황이
올 수도 있습니다.
오늘은 70대 환자분의 솟구치고
흔들리는 치아 해결 과정을
케이스를 통해 설명해 드릴게요.^^
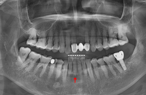
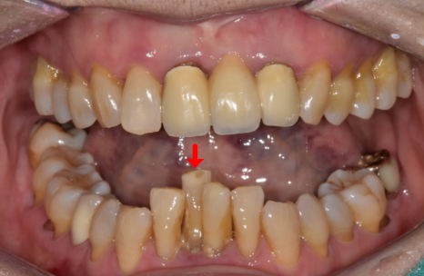
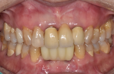
2년 사이 치아가 위로 솟고
흔들리게 된 이유
솟구치는 앞니, 흔들리는 치아가 보내는 '이 신호' 무시하면 안 되는 이유


200727(왼) 221022 (오)
2년 전만 해도 뼈 상태가 양호하고
흔들림도 없으셨던 분인데,
2년 후 다시 뵙게 된 환자분은
아래 앞니 2개가 눈에 띄게 솟구치고
심하게 흔들리는 상태였습니다.

원인은 뿌리 염증으로
잇몸뼈가 녹아
지지력이 사라진 탓이었는데요.
마치 흙이 쓸려 내려간 나무가 들썩이듯,
뼈가 없으니 치아가 위로 밀려 올라온 것이죠.
이를 방치하면 결국
치아는 저절로 빠지게 됩니다.


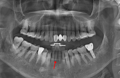
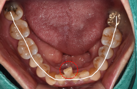
221022
발치보다는
살릴 방법부터 고민합니다.
솟구치는 앞니, 흔들리는 치아가 보내는 '이 신호' 무시하면 안 되는 이유
'자연치아 지키기'에 진심인 저는
이번 환자분의 진단 결과 앞에서
고민이 참 많았습니다.
가운데 2개는 발치가 불가피했지만,
양옆 치아들은 제법 든든하게
제자리를 지키고 있었기 때문입니다.


230602
다만 전체적으로 낮아진 잇몸뼈가
마음에 걸려,
환자분께 두 가지 선택지를
상세히 설명해 드렸습니다.

230602
자연치아를 최대한 살릴 수 있지만
남은 치아에 무리가 갈 수 있는 '브릿지'와,
아쉽지만 옆 치아까지 정리해
염증의 원인을 근본적으로 해결하는
'임플란트'였습니다.
환자분께서는 잠시 고민하시더니
"나중에 다시 고생하는 것보다
이번에 한 번에 확실히 해결하고 싶다"며
명쾌하게 임플란트를 선택하셨습니다.
저희는 그 결정을 존중해,
장기적으로
가장 안정적인 치료 방향을 잡고
본격적인 진료를 시작했습니다.
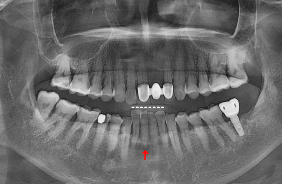
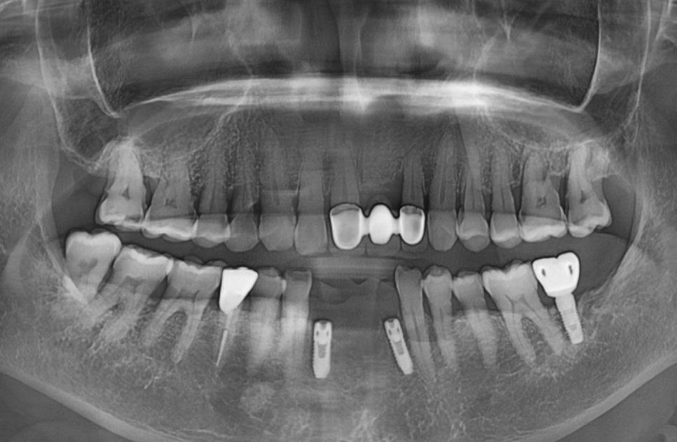
뼈이식은 필수가 아닙니다.
꼭 필요한 경우에만 진행합니다.
솟구치는 앞니, 흔들리는 치아가 보내는 '이 신호' 무시하면 안 되는 이유
뼈이식은
모든 임플란트에 필수가 아닙니다.
뼈이식을 하게 되면 비용 부담은 물론이고,
수술 기간도 3~6개월 이상 길어집니다.
회복 과정에서 불편함도 있고요.
그래서 저희는 CT로 뼈의 폭과 높이를
정밀하게 분석한 뒤,

뼈이식이 필요하지 않은 경우
불필요한 시술을 권하지 않습니다.
이번 환자분의 경우,
CT 분석 결과 남아 있는
뼈의 양과 밀도가
임플란트를 식립하기에 충분했습니다.
그래서 뼈이식 없이
발치 당일 즉시 임플란트를 식립하는
방식으로 진행했습니다.
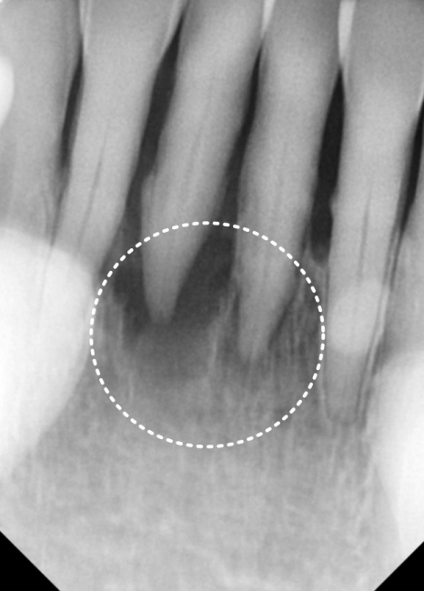
조금 유난스럽다 싶을 정도로
확인하고 또 확인합니다.
솟구치는 앞니, 흔들리는 치아가 보내는 '이 신호' 무시하면 안 되는 이유
임플란트는
한 번 자리를 잡으면
수정이 어렵기 때문에,
식립 전 정확한 위치와 방향을
체크하는 과정은
아무리 강조해도 지나치지 않습니다.
그래서 저희는 ‘패러럴 핀’이라는
도구를 활용합니다.

230609
본격적으로 심기 전,
임플란트가 나아갈 최적의 경로를
미리 그려보는 일종의 ‘나침반’ 같은 역할인데요.
덕분에 길을 잃지 않고
정확한 위치와 각도에 식립을
마칠 수 있었습니다.

230609
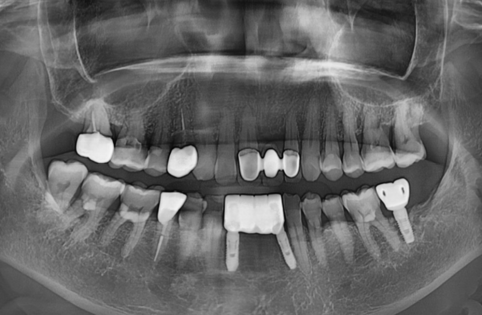
그로부터 5개월 뒤,
임플란트와 뼈가 잘 붙었는지
수치로 확인하고 나서야
기분 좋게 본을 뜰 준비를 시작했습니다.
구강 스캐너 덕분에 본뜨기가
빠르고 정확합니다.
솟구치는 앞니, 흔들리는 치아가 보내는 '이 신호' 무시하면 안 되는 이유
"본뜨기"라고 하면,
예전에는 고무 재료를
입안 가득 넣고 굳을 때까지
몇 분간 꾹 참아야 했습니다.

입을 벌리고 있는 것도 힘들고,
구역질이 올라오기도 하고,
침도 삼키지 못하고...
많은 분들이 "이게 제일 힘들었다"고 하셨죠 ㅎㅎ
하지만 요즘은 구강 스캐너 덕분에
그런 불편함이 거의 사라졌습니다.
구강 스캐너가 뭔가요?
쉽게 말하면,
입안을 3D 카메라로 촬영하는 장비입니다.
손가락 한두 개 정도 굵기의
작은 카메라를 입안에 대고 천천히 훑으면,
치아와 잇몸의 형태가
컴퓨터 화면에
실시간으로 3D 이미지로 나타납니다.

"아, 내 치아가 이렇게 생겼구나" 하고
신기해하시는 분들도 많으세요 ^^
특히 보철물 색상이나 모양을 상의할 때도,
화면으로 함께 보면서
이야기할 수 있어서 소통이 훨씬 수월합니다.
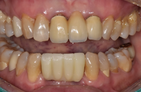
이번 환자분도 구강 스캐너 덕분에
보철이 딱 맞았습니다.
솟구치는 앞니, 흔들리는 치아가 보내는 '이 신호' 무시하면 안 되는 이유
이번 환자분도 구강 스캐너로 본을 떴는데,
정밀하게 스캔이 잘 돼서
보철이 당일에 바로 잘 맞았습니다.

230901
보통 임플란트 보철을 장착할 때는
높이, 맞물림, 간섭 등을 확인하면서
조금씩 조정하는 과정이 필요한데,
이번 케이스는 크게 조정할 게 거의 없었어요.
색상도 자연스럽고,
모양도 만족스러운 결과가 나왔습니다.^^


230901
치아가 흔들리고 솟아 보인다고 해서
무조건 뽑아야 하는 건 아닙니다.
상태에 따라 살릴 수 있는 방법부터 고민하고,
그게 어렵다면 임플란트로
안정적으로 해결할 수 있습니다.
혼자 고민하지 마시고,
정확한 진단을 먼저 받아보시길 권해드립니다.
오늘도 긴 글 읽어주셔서 감사합니다. ^^
▼치과 위치 확인▼
솟구치는 앞니, 흔들리는 치아가 보내는 '이 신호' 무시하면 안 되는 이유
| 예약 전화하러 가기 |
|---|
| 02-481-4278 |
| 본 게시물은 의료광고 법 제56조 1항을 준수하여의료 정보 제공 목적으로 서울 바르디 치과에서 직접 작성하였습니다.제공된 정보는 참고만 하실 것을 권유 드리며 증상 파악 및 정확한 관리 방법은 의료기관에 내원 후 의료진을 통해 안내받으시길 바랍니다.치과에서 진행되는 모든 시술 / 수술은 개인에 따라 (염증, 출혈, 부기 등) 가능성이 있습니다.사전에 의료진과 충분한 상담을 통해 결정하시길 바랍니다.게시물의 치료 사례는 실제 본원에서 치료를 마친 환자분들의 동의하에촬영되었으며 전, 후 사진은 동일 조건에서 촬영되었습니다. |