아카이브 요약
이 페이지의 역할
서울바르디치과의원의 네이버 블로그 원문을 보존한 아카이브 페이지입니다. 3D 네비게이션 임플란트 카테고리의 잇몸 고름 눌러보니 푹... 임플란트 주위염 방치했다가 재수술한 사례 글을 통해 병원의 한국어 정보 제공 방식과 진료 관련 안내 톤을 확인할 수 있습니다.
원문 검증
필요하면 원문 블로그와 병원 프로필로 바로 이동해 문맥을 다시 확인할 수 있습니다.
출처 아카이브 열기아카이브된 블로그 글
서울바르디치과의원 · Naver Blog
잇몸 고름 눌러보니 푹... 임플란트 주위염 방치했다가 재수술한 사례 안녕하세요. 서울바르디치과 원장입니다. 임플란트를 드디어 마친 날, 홀가분한 표정의 환자분들이 가장 많이 하시는 질문 1위가 뭘까요~? "임플란트 죽을 때까지 쓰는 거 맞죠?" 그럴 때마다 제가 웃으며 말씀드려요. ...
게시일
2026년 1월 6일
원문 기준으로 확인된 발행일입니다.
카테고리
3D 네비게이션 임플란트
원문 블로그 카테고리를 정리해 함께 표시합니다.
이미지 수
18
현재 아카이브에 연결된 이미지 수입니다.
아카이브 요약
서울바르디치과의원의 네이버 블로그 원문을 보존한 아카이브 페이지입니다. 3D 네비게이션 임플란트 카테고리의 잇몸 고름 눌러보니 푹... 임플란트 주위염 방치했다가 재수술한 사례 글을 통해 병원의 한국어 정보 제공 방식과 진료 관련 안내 톤을 확인할 수 있습니다.
원문 검증
필요하면 원문 블로그와 병원 프로필로 바로 이동해 문맥을 다시 확인할 수 있습니다.
출처 아카이브 열기안녕하세요.
서울바르디치과 원장입니다.
임플란트를 드디어 마친 날,
홀가분한 표정의 환자분들이
가장 많이 하시는 질문 1위가
뭘까요~?
"임플란트 죽을 때까지
쓰는 거 맞죠?"
그럴 때마다
제가 웃으며 말씀드려요.
"자동차도 관리 안 하면 고장 나는데
하물며 매일 쓰는 치아는 오죽할까요~"
아무리 튼튼하게 심은 임플란트라도
관리가 소홀하면 탈이 나기 마련이죠.
오늘은 임플란트 주위염으로
재수술이 불가피했던 상황에서,
어떻게 하면 환자분의 부담을
줄이며 치료했는지 보여드릴게요.
임플란트 주위염으로 재수술한 환자 사례
오래전 타치과에서 오른쪽 위
어금니 두 곳(#16, #17)에
임플란트를 심으셨던
환자분이 찾아오셨습니다.


230216
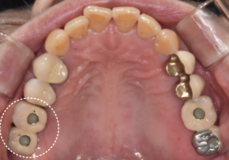
"맨 끝 어금니 앞쪽(#16)이 욱신거리고,
누르면 뭐가 나와요."
불편함을 호소하시는 환자분의 입안을 보니,
상황은 생각보다 좋지 않았는데요..
잇몸은 붉게 부어올라 있었고,
살짝만 눌러도 노란 고름이 배어 나오는 상태...


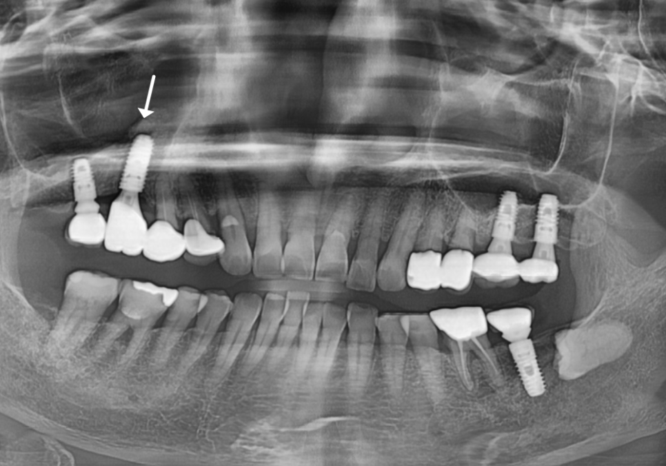
230216
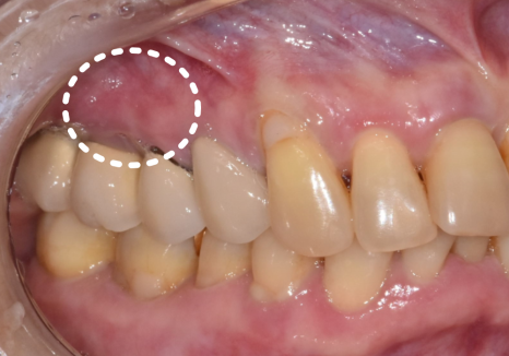
엑스레이를 찍어보니
임플란트 나사를 단단히 잡고 있어야 할
잇몸 뼈가 염증 때문에
까맣게 녹아내려 있었습니다.

231103
흔히 말하는 '임플란트 주위염'이
심각하게 진행된 상태였죠.
임플란트 주위염이란?
쉽게 말해 '임플란트에 생긴 풍치'라고
생각하시면 됩니다.
임플란트 주변 잇몸에 염증이 생기고,
심해지면 임플란트를 잡고 있는
잇몸 뼈까지 녹아내리는 무서운 질환이죠.
쇠로 만든 임플란트가 썩을 리도 없는데,
왜 염증이 생기냐고요?
비밀은 바로 '치주인대'의
유무에 있습니다.
우리 자연 치아에는 뿌리를 감싸는
'치주인대'라는 얇은 막이 있습니다.
이 친구는 씹는 힘을 분산시키는
'미세한 쿠션' 역할을 할 뿐만 아니라,
세균이 침투하지 못하게 막아주는
든든한 '방어막' 역할도 하죠.

하지만... 임플란트에는
이 쿠션(치주인대)이 없습니다.
잇몸 뼈와 나사가 '탁!' 하고 직접 붙어있죠.
세균을 막아줄 방어막이 없다 보니
세균 공격에 훨씬 취약할 수밖에 없습니다.
그래서 한 번 염증이 시작되면
뼈가 녹는 속도가 자연 치아보다
훨씬 빠르고 치명적입니다.
2개가 같이 묶여 있는 크라운의 해결 방법
잇몸 고름, 임플란트 주위염 재수술
이미 잇몸 뼈가 심각하게 녹아내린 상태라,
더 이상 유지는 불가능하다고 판단했습니다.
결국 문제가 된 임플란트를 제거 후
재수술하기로 결정했죠.
그런데 한 가지 난관이 있었습니다.
염증이 생긴 치아(#16)와
뒤쪽의 멀쩡한 치아(#17)가
하나로 단단히 묶여있었기 때문입니다.

231103
멀쩡한 보철물까지 뜯어내면
환자분의 비용 부담이 커지는 상황...
저는 쓸 수 있는 건 최대한 살리기 위해
'보철 컷팅'을 시도하기로 했습니다.

231103
안쪽 금속 때문에 자르기도 힘들고,
자칫하면 도자기가 깨질 수 있는
아주 까다로운 작업이었죠.
혹시 모를 파절 위험성을 미리 설명드리고
숨죽여 조심스럽게 절단했습니다.
결과는? 다행히 파절 없이 깔끔하게 분리 성공!
문제 된 임플란트만 쏙 골라 안전하게 제거했습니다
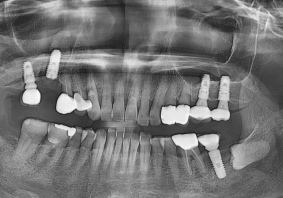
얇아진 뼈, 어떻게 심었을까요?
잇몸 고름, 임플란트 주위염 재수술
염증 덩어리와 임플란트를 제거하고 나니,
남아있는 뼈 상태가 좋지 않았습니다.
만성 염증이 위턱 뼈를 녹여버려
임플란트를 심을 뼈 두께가
종잇장처럼 얇아져 있었거든요.

231103
그래서 '상악동 거상술'을 동반해
부족한 뼈를 채워 넣기로 했습니다.
(상악동 거상술에 대한 자세한 내용은 제 이전 포스팅을 참고해 주세요!)
CT를 이리저리 돌려보며 뼈를 분석해 보니,
바깥쪽(볼 쪽) 뼈는 많이 녹았지만
안쪽(입천장 쪽) 뼈는 비교적 두껍고 튼튼하게 남아있었어요.

231103
그래서 뼈가 튼튼한 입천장 쪽으로
각도를 살짝 기울여
전략적으로 임플란트를 심었습니다.

231124
수술 후 CT를 확인해 보니,
원하는 위치에 정확하게,
식립된 것을 확인할 수 있었습니다.
5개월 후, 보철 완성 단계
잇몸 고름, 임플란트 주위염 재수술
뼈이식 재료가 내 뼈로 바뀌고,
임플란트와 단단히 굳기 까지


231103(전) 231124(후)
수술 후 약 5개월이라는
기다림의 시간을 가졌습니다.

240126
5개월 뒤, 기계로 수치를 재어보니
무려 82점 이상!
아주 성공적으로 뼈와 한 몸이 되었습니다.
(보통 70점 이상이면 안정적이라고 봅니다.)

잇몸 고름, 임플란트 주위염 재수술
이제 마무리 단계,
본을 뜰 차례입니다.
간혹 "치료보다 본뜨는 게 더 고역이다"라며
겁부터 내시는 환자분들이 계십니다.
입안 가득 고무를 물고
구역질을 참아야 했던 힘든 기억 때문일 텐데요.
서울바르디치과에서는
걱정 내려놓으세요.
저희는 편안한 '구강 스캐너'를 사용합니다.

작은 카메라 펜으로
입안을 3D로 정밀하게 촬영하죠.
미세한 굴곡까지
3차원 데이터로 잡아내기 때문에,
오차 없이 내 치아처럼
딱 맞는 보철물을 만들 수 있답니다.

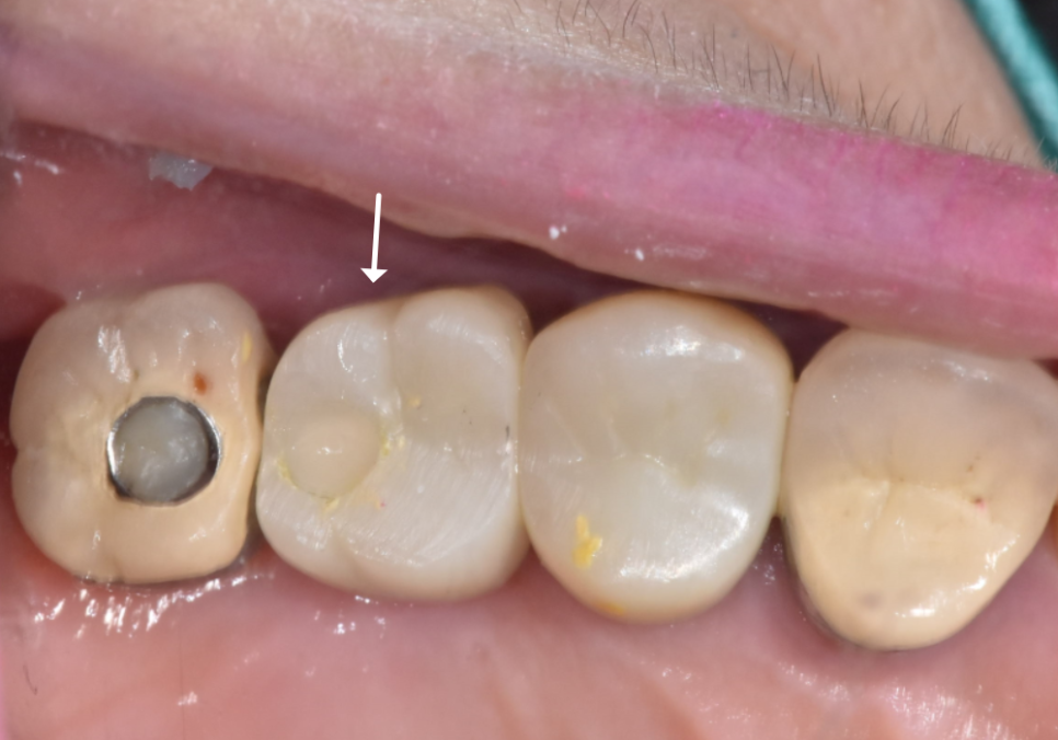
240429
최종적으로 강도가 우수한
'지르코니아' 보철물을 올려드리며
모든 치료를 마무리했습니다.

240429
한 번 심은 임플란트를 제거하고
다시 수술한다는 것...
환자분 입장에서는 정말 속상하고
힘든 결정이셨을 겁니다.
하지만,
이미 염증으로 주변 뼈까지 녹이고 있다면,
과감하게 해결하는 것이
남은 치아와 잇몸을 지키는 길입니다.
살릴 수 있는 건 확실히 살리고,
꼭 필요한 치료만 정확하게 짚어드리겠습니다.
편안한 마음으로 들러주세요.
감사합니다.^^
▼치과 위치 확인▼
잇몸 고름 눌러보니 푹... 임플란트 주위염 방치했다가 재수술한 사례
| 예약 전화하러 가기 |
|---|
| 02-481-4278 |
| 본 게시물은 의료광고 법 제56조 1항을 준수하여의료 정보 제공 목적으로 서울 바르디 치과에서 직접 작성하였습니다.제공된 정보는 참고만 하실 것을 권유 드리며 증상 파악 및 정확한 관리 방법은 의료기관에 내원 후 의료진을 통해 안내받으시길 바랍니다.치과에서 진행되는 모든 시술 / 수술은 개인에 따라 (염증, 출혈, 부기 등) 가능성이 있습니다.사전에 의료진과 충분한 상담을 통해 결정하시길 바랍니다.게시물의 치료 사례는 실제 본원에서 치료를 마친 환자분들의 동의하에촬영되었으며 전, 후 사진은 동일 조건에서 촬영되었습니다. |