아카이브 요약
이 페이지의 역할
서울바르디치과의원의 네이버 블로그 원문을 보존한 아카이브 페이지입니다. 치아 교정 카테고리의 명일역 앞니 부분 교정, 치아 하나만 삐뚤어져 보인다면? 굳이 전체 교정할 필요 없습니다. 글을 통해 병원의 한국어 정보 제공 방식과 진료 관련 안내 톤을 확인할 수 있습니다.
원문 검증
필요하면 원문 블로그와 병원 프로필로 바로 이동해 문맥을 다시 확인할 수 있습니다.
출처 아카이브 열기아카이브된 블로그 글
서울바르디치과의원 · Naver Blog
명일역 앞니 부분 교정, 치아 하나만 삐뚤어져 보인다면? 굳이 전체 교정할 필요 없습니다. 안녕하세요, 서울바르디치과 원장입니다. "앞니 딱 하나가 삐뚤어져서 신경은 쓰이는데, 그렇다고 오랜 시간 교정 장치 붙이고 있을 생각하니... 엄두가 안 나요." 치과를 찾는 많은 분이 하시는 고민입...
게시일
2026년 1월 12일
원문 기준으로 확인된 발행일입니다.
카테고리
치아 교정
원문 블로그 카테고리를 정리해 함께 표시합니다.
이미지 수
13
현재 아카이브에 연결된 이미지 수입니다.
아카이브 요약
서울바르디치과의원의 네이버 블로그 원문을 보존한 아카이브 페이지입니다. 치아 교정 카테고리의 명일역 앞니 부분 교정, 치아 하나만 삐뚤어져 보인다면? 굳이 전체 교정할 필요 없습니다. 글을 통해 병원의 한국어 정보 제공 방식과 진료 관련 안내 톤을 확인할 수 있습니다.
원문 검증
필요하면 원문 블로그와 병원 프로필로 바로 이동해 문맥을 다시 확인할 수 있습니다.
출처 아카이브 열기안녕하세요,
서울바르디치과 원장입니다.
"앞니 딱 하나가 삐뚤어져서
신경은 쓰이는데,
그렇다고 오랜 시간
교정 장치 붙이고
있을 생각하니...
엄두가 안 나요."
치과를 찾는 많은 분이 하시는 고민입니다
치아 전체의 맞물림에
큰 문제가 없다면,
굳이 고생스러운 전체 교정을
고집할 필요는 없습니다.
문제가 되는 그 치아만
제자리로 찾아주는 '부분교정'이라는
아주 합리적인 대안이 있으니까요.
오늘은 단 8개월 만에,
안으로 숨어있던 앞니를
제자리로 찾아준 사례를 소개해 드릴게요.^^
명일역 앞니 부분 교정
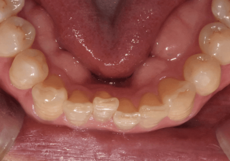
이번 사례의 환자분은
아래 중앙 앞니(#41) 하나가
혼자만 안으로 쑥 들어가 있어
배열이 어긋나 보이는 게
가장 큰 고민이셨습니다.

230613
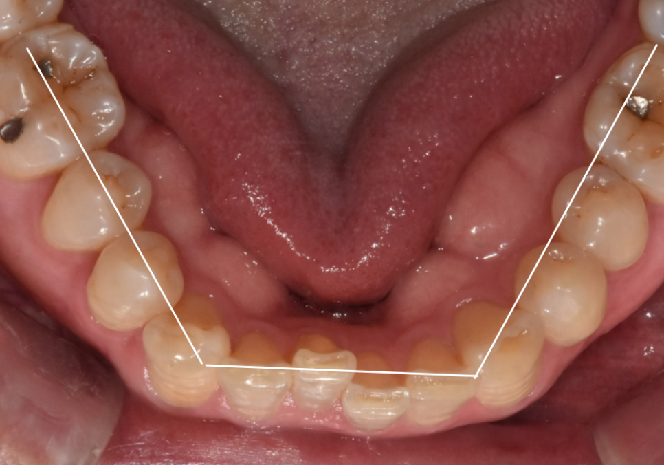
치아 라인을 위에서 내려다보니
매끄러운 U자 아치형이
앞니로 인해
'ㄷ' 자로 꺾인 모습이었습니다.

230613
이런 경우 굳이 전체 교정이라는
큰 공사를 벌릴 필요가 없습니다.
안으로 들어간 치아만
밖으로 살짝 꺼내주면
치아 배열이 마법처럼
가지런해질 수 있기 때문이죠.
환자분께도 이런 점을
충분히 설명해 드린 뒤,
필요한 부분만 집중적으로 치료하는
효율적인 '부분교정'을 시작했습니다.
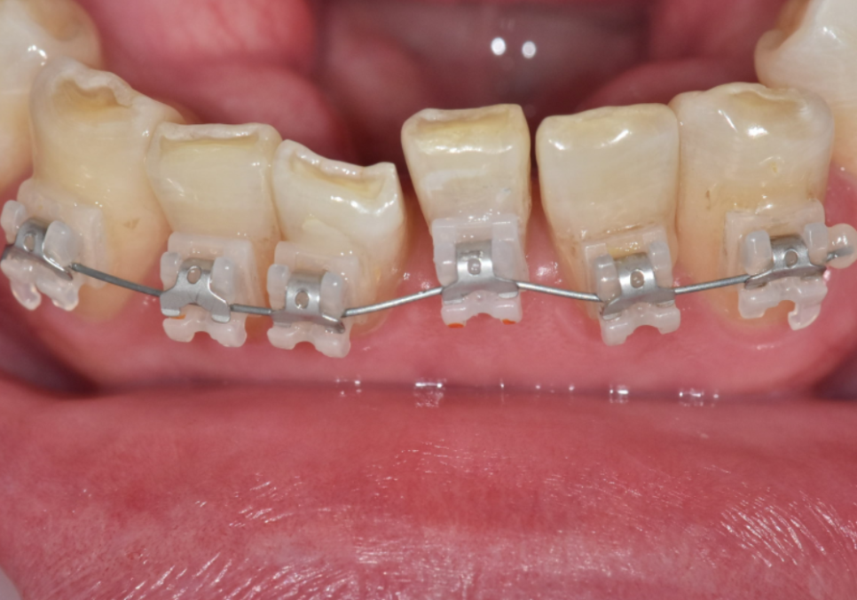
똑똑한 '똑딱이' 클리피씨
명일역 앞니 부분 교정
사회생활을 활발히 하시는 젊은 분들은
교정을 고민할 때 '심미성'과 '효율성'을
가장 중요하게 생각하시죠.
이번 환자분도 소위 '철길'이라 불리는
금속 브라켓은 큰 부담이라 하셔서,
저희는 '클리피씨(Clippy-C)'라는
자가 결찰 브라켓을 선택했습니다.

250328
'자가 결찰'이라는 말이
조금 어렵게 들릴 수 있는데,
원리는 생각보다 간단합니다.
예전 교정 방식은
와이어를 고정하기 위해
고무줄이나 얇은 철사로
일일이 묶어야 했습니다.

브라켓을 얇은 철사로 묶은 모습 (치아마다 묶어야 했기 때문에 시간이 오래 걸림)
하지만 클리피씨는 장치 자체에
슬라이딩 캡(뚜껑)이 달려 있습니다.
비유하자면 운동화 끈을
하나하나 묶어야 하는 신발과
다이얼을 돌려 고정하는 운동화의
차이라고 보시면 돼요.
일반 신발은 끈을 꽉 묶을 때
발등이 조이거나 시간이 지나면
끈이 풀리기도 하지만,
다이얼 운동화는
그냥 '찰칵' 돌리기만 하면
발 전체를 부드럽고 일정하게 잡아주죠?

클리피씨 방식 (뚜껑 열고 닫는 방식으로 간편해짐)
클리피씨도 와이어를 넣고 뚜껑만 닫으면
고정이 끝나는 방식이라 훨씬 간결합니다.
그러다 보니, 진료시간이 짧고
마찰이나 통증이 적어요.
게다가 치아 색과 비슷한 세라믹 재질이라
금속 장치보다 훨씬 자연스러워서,
크게 티가 나지 않는다는 게 큰 장점입니다.
명일역 앞니 부분 교정
안으로 쑥 들어간 앞니를
앞으로 나오게 하려면,
가장 먼저 해결해야 할 숙제가 있습니다.
바로 치아가 들어올 '빈자리'를
미리 만들어주는 것이죠.
빈틈없이 다닥다닥 붙어 있는 상태에서는
아무리 치아를 당겨도
나올 자리가 없기 때문입니다.
이때 필요한 장치가 바로
'오픈 코일 스프링'입니다.

오픈 코일 스프링
이름 그대로 치아 사이를
열어주는(Open) 역할을 하는
장치인데요,
원리는 의외로 간단합니다.

명일역 앞니 부분 교정
치아와 치아 사이에
압축된 스프링을 끼워 넣으면,
용수철 문을 밀었을 때
다시 튕겨 나오는 것처럼
스프링이 원래 길이로
펴지려는 힘이 발생합니다.
이 힘이 주변 치아를
옆으로 살짝 밀어내며
공간을 만들어주는 것이죠.

250328
이번 환자분은
약 한 달 정도 스프링을 사용하셨는데요.
보통 필요한 공간의 크기에 따라
짧게는 2주에서 길게는 2개월까지도
걸리곤 합니다.
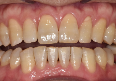
명일역 앞니 부분 교정
8개월의 시간 끝에
드디어 브라켓을 모두 제거했습니다.
매끄러워진 치아 표면을 확인하며
환자분도 저도 참 뿌듯한 순간이었는데요.


250721
이때 꼭 잊지 말아야 할
아주 중요한 단계가 하나 더 있습니다.
바로 유지 장치입니다.
우리 치아는 원래 살던 자리로
돌아가려는 고집스러운 습성이 있습니다.
특히 교정 직후에는 치아 주변 조직들이
아직 완전히 자리를 잡지 않은 상태라,
관리를 소홀히 하면 공들여 만든
예쁜 배열이 다시 틀어질 수 있습니다.

250721
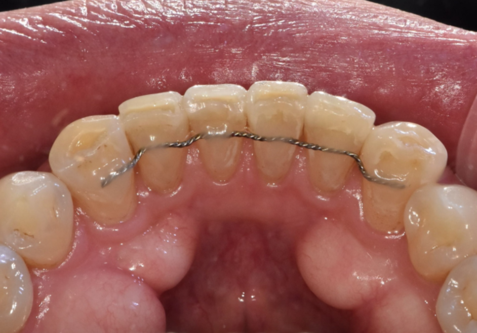
그래서 이번 환자분께도 앞니 안쪽에
아주 가느다란 철사를 붙여주는
'고정식 유지 장치'를 제작해 드렸습니다.
겉으로는 전혀 보이지 않고,
혀에 닿는 느낌도 금방 적응되기 때문에
일상생활이나 식사할 때
불편함 없이 치아 라인을 단단하게
지켜줄 수 있습니다.

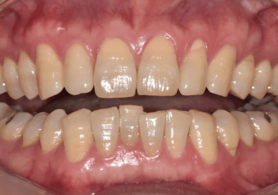
230613 (전) 250721 (후)
치료 전, 안으로 쑥 들어가 있어
전체적인 배열을
비뚤비뚤하게 만들었던 앞니가
제자리를 찾은 모습입니다.

230613 (전) 250721 (후)
전체 교정이 필요한지,
부분교정으로 충분한지는
정확한 진단이 필요합니다.
하지만 앞니 한두 개만 삐뚤어져 있고
어금니 교합이 괜찮다면,
부분교정만으로도
충분히 가지런한 치아를 만들 수 있습니다.
특히 자가 결찰 브라켓은
진료 시간이 짧고 통증이 덜해서
바쁜 직장인이나 학생분들께 적합합니다.
오늘도 긴 글 읽어주셔서 감사합니다 ^^
▼치과 위치 확인▼
명일역 앞니 부분 교정, 치아 하나만 삐뚤어져 보인다면? 굳이 전체 교정할 필요 없습니다.
| 예약 전화하러 가기 |
|---|
| 02-481-4278 |