아카이브 요약
이 페이지의 역할
서울바르디치과의원의 네이버 블로그 원문을 보존한 아카이브 페이지입니다. 앞니마법사 카테고리의 앞니 깨짐 치료 비용, 더이상 치과에 돈 낭비하기 싫다면? 깨지는 원인부터 알아야 합니다. 글을 통해 병원의 한국어 정보 제공 방식과 진료 관련 안내 톤을 확인할 수 있습니다.
원문 검증
필요하면 원문 블로그와 병원 프로필로 바로 이동해 문맥을 다시 확인할 수 있습니다.
출처 아카이브 열기아카이브된 블로그 글
서울바르디치과의원 · Naver Blog
앞니 깨짐 치료 비용, 더이상 치과에 돈 낭비하기 싫다면? 깨지는 원인부터 알아야 합니다. 안녕하세요. 서울바르디치과 원장입니다. 치과 진료를 보다 보면, 참 난감한 순간이 찾아오곤 합니다. 치아가 깨져서 오신 환자분께서 "이거 살짝만 때우면 되겠죠?" 라고 물으시는데, 앞니 깨짐...
게시일
2026년 1월 15일
원문 기준으로 확인된 발행일입니다.
카테고리
앞니마법사
원문 블로그 카테고리를 정리해 함께 표시합니다.
이미지 수
15
현재 아카이브에 연결된 이미지 수입니다.
아카이브 요약
서울바르디치과의원의 네이버 블로그 원문을 보존한 아카이브 페이지입니다. 앞니마법사 카테고리의 앞니 깨짐 치료 비용, 더이상 치과에 돈 낭비하기 싫다면? 깨지는 원인부터 알아야 합니다. 글을 통해 병원의 한국어 정보 제공 방식과 진료 관련 안내 톤을 확인할 수 있습니다.
원문 검증
필요하면 원문 블로그와 병원 프로필로 바로 이동해 문맥을 다시 확인할 수 있습니다.
출처 아카이브 열기안녕하세요.
서울바르디치과 원장입니다.
치과 진료를 보다 보면,
참 난감한 순간이 찾아오곤 합니다.
치아가 깨져서 오신 환자분께서
"이거 살짝만 때우면 되겠죠?"
라고 물으시는데,

앞니 깨짐 치료 비용, 더이상 치과에 돈 낭비하기 싫다면?
제 눈에는 씌우는 크라운 치료가
정답일 때가 있거든요.
혹시 "과잉 진료 아니야?"라고
생각하실 수도 있겠지만,
그럼에도 불구하고 제가 크라운을
권해드리는 이유는 딱 하나입니다.
바로 '치료의 수명'이 걸려있기 때문인데요.
원인을 모른 채 때우기만 반복한다면
결국 계속되는 파절로
치료 비용만 눈덩이처럼 불어날 뿐입니다.
오늘은 앞니 파절로 내원하신
환자분 사례를 통해,
제가 왜 '교합'이라는 원인에 그토록 집착하는지,
그 진짜 이유를 지금부터 들려드릴게요.
앞니 치료를 고민 중이시라면
이 글을 꼭 끝까지 읽어보세요.
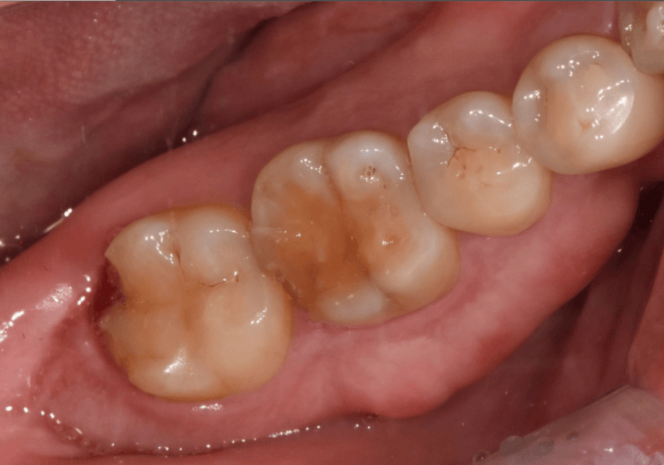
어금니 파절로 내원하신 50대 남성 환자분 사례
앞니 깨짐 치료 비용, 깨지는 원인부터 알아야 합니다.
2년 전,
저희 병원을 처음 찾으셨던 환자분입니다.
당시엔 앞니가 아니라
어금니가 깨져서 오셨죠.

231019
입안을 보니 전반적으로
치아가 많이 마모된 상태였습니다.
씹는 힘(저작력)이 남들보다
훨씬 강하다는 증거입니다.


231019
"환자분, 평소에 딱딱한 음식 즐겨 드시죠~?"
여쭤보니 역시나 그렇다고 하시더군요.
깨진 어금니는 인레이로
꼼꼼하게 치료해 드렸지만,
정작 제 눈길을 더 끌었던 건
이미 조금씩 깨져나가고 있는 '앞니'였습니다.

231019
자세히 보니,
윗니와 아랫니 끝이 정면으로 툭!
맞물리는 '절단교합' 구조를 가지고 계셨거든요.
앞니끼리 정면으로 충돌하는 구조라
매우 위험해 보였습니다.

231019
지금처럼 딱딱한 음식을
즐기시는 습관이 이어진다면,
앞니가 이 압력을 버티지 못할 게
너무나 분명했죠.
그래서 당시 환자분께
각별히 주의를 드렸습니다.
치아가 더 망가지기 전에
딱딱한 음식은 꼭 피하시라고,
정말 간곡하게 당부의 말씀을
전했던 기억이 납니다.
우려가 현실이 되버린,
결국 앞니 파절로 내원하신 환자분
앞니 깨짐 치료 비용, 깨지는 원인부터 알아야 합니다.
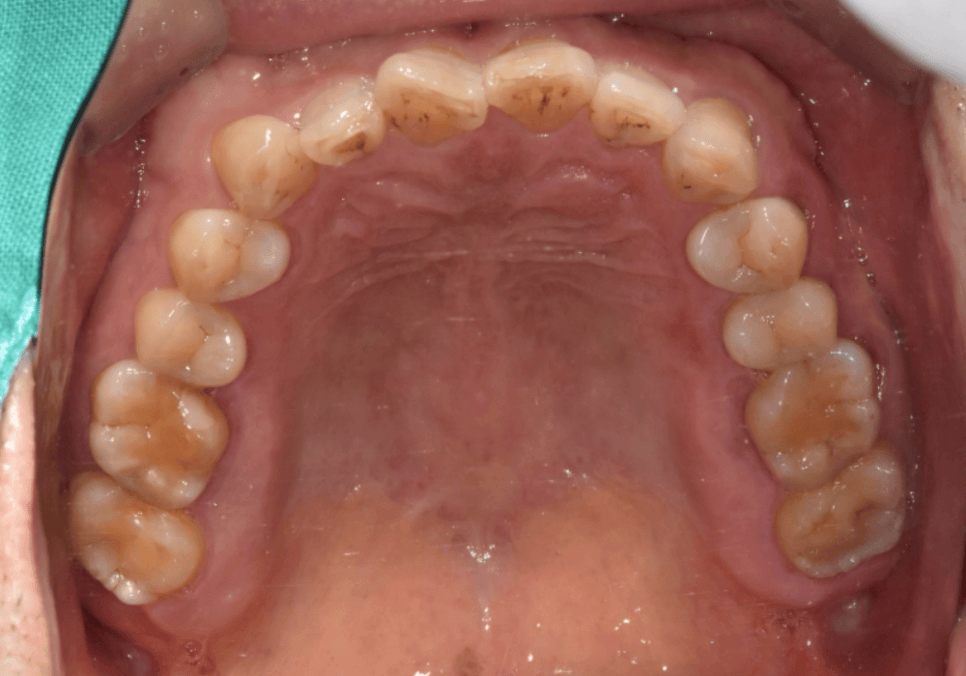
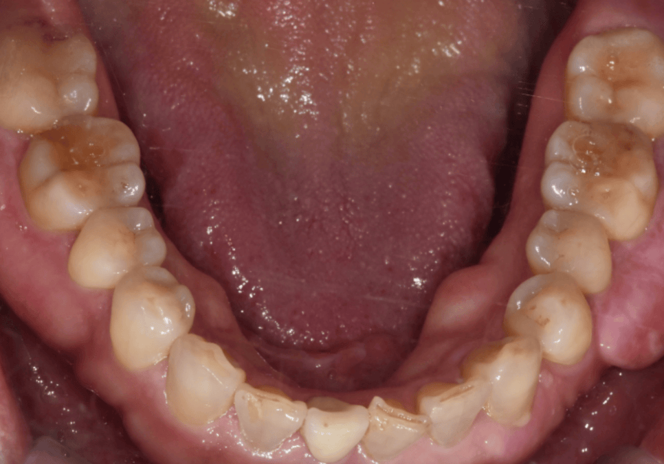
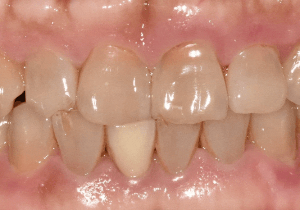
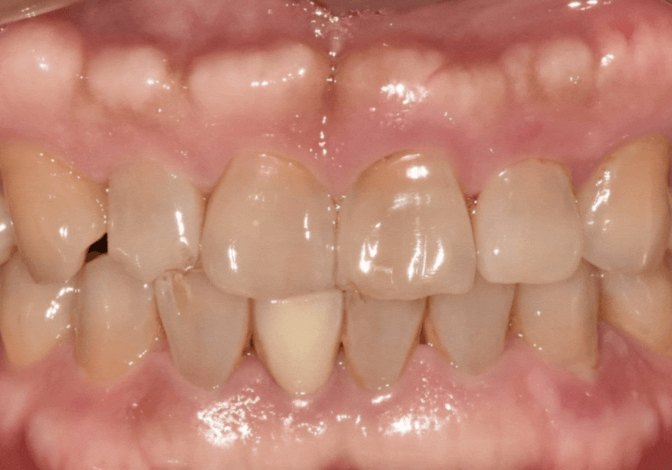
그로부터 2년 뒤, 환자분은 제 예상대로
3개의 앞니(#12,21,42)가 깨진 채 다시 오셨습니다.

251208
위아래 앞니들이 예전보다
훨씬 더 많이 깨져나갔더군요.

231019 (전) 251208 (후)
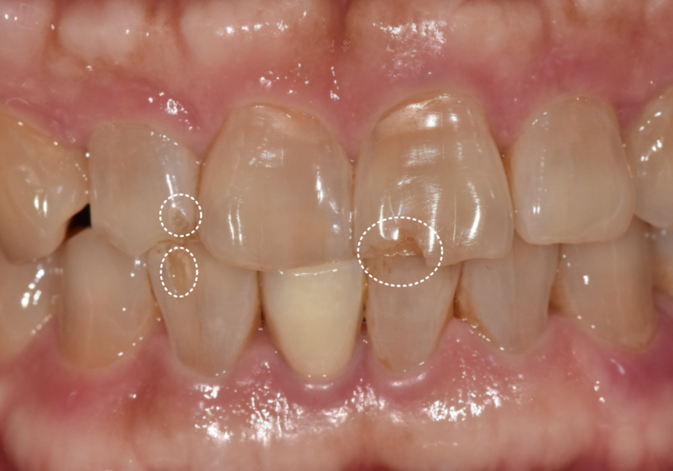
멀쩡하던 생니가 왜 자꾸 깨지는 걸까요?
원인은 제가 앞서 우려했던
'절단교합'의 구조적 한계 때문입니다.
정상적인 치아는 윗니가 아랫니를
덮는 구조라 충격을 흡수하지만,

윗니가 아랫니를 덮는 정상교합
절단교합은 날카로운 치아 끝부분끼리
매번 정면으로 "쾅!" 하고 부딪힙니다.

절단교합으로 파절된 모습
씹을 때마다 가해지는
이 강력한 충격이 무려 50년 넘게
치아 끝에만 고스란히 쌓여온 것이죠.
결국 그 하중을 더 이상 버티지 못한 앞니가
조금씩 조각나기 시작한 것입니다.
왜 '레진'은 정답이 아니었을까요?
앞니 깨짐 치료 비용, 깨지는 원인부터 알아야 합니다.
환자분은 이번에도
"살짝만 때우면 안 되냐"고 물으셨어요.
하지만 이번만큼은 안 된다고
단호하게 말씀드렸습니다.
지금 레진을 하는 건
밑 빠진 독에 물 붓기나 다름없거든요.
이유는 아주 쉽습니다.
'지렛대 원리' 때문인데요.
레진은 치아 겉면에 붙여놓는 방식입니다.
그런데 앞니 끝으로
음식을 씹으면 어떻게 될까요?

앞니 깨짐 치료 비용, 더이상 치과에 돈 낭비하기 싫다면?
음식을 씹는 순간,
아랫니가 레진을 밖으로 강하게 밀어냅니다.
아무리 튼튼하게 붙여놔도,
반복되는 충격을 레진이 견디지 못하고
결국 또 깨지게 됩니다.
환자분 입장에서는 한 번에 끝낼 치료를
두 번, 세 번 반복하게 되는 셈이죠.
결국 시간은 시간대로 쓰고,
비용은 이중으로 들어가는
안타까운 상황이 발생하곤 합니다.
제가 당장의 떼우는 치료보다
확실한 '크라운'을 권해드리는 건,
이런 불필요한 고생과
비용 낭비를 막아드리고 싶기 때문입니다.
단순히 씌우는 게 아니라, 구조를 바꿉니다.
앞니 깨짐 치료 비용, 깨지는 원인부터 알아야 합니다.
이번 치료의 핵심은
파절 가능성을 줄인 구조적 설계였습니다.
위아래 끝이 맞물리는 구조는
어떤 보철도 버틸 수 없거든요.

그래서 아랫니와 부딪히지 않는
최적의 각도를 찾는 데 집중했습니다.
윗니가 아랫니를 살짝 덮어줘야
씹는 힘이 분산되기 때문이죠.

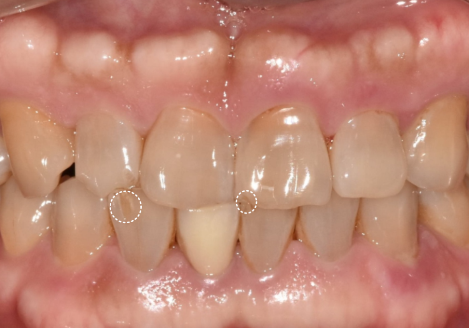
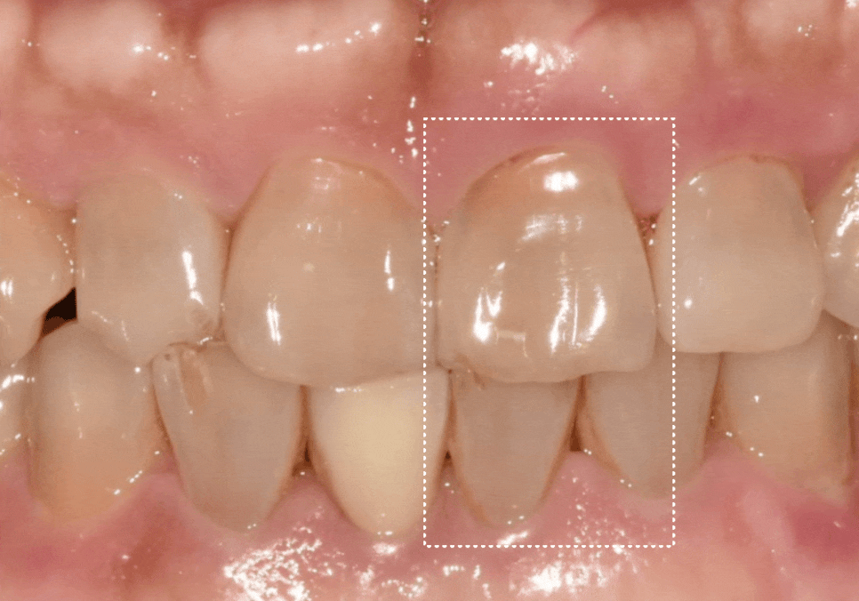
251224
옆쪽 치아들은 위아래를 같이 치료해서
각도 조절이 쉬웠지만,
가장 큰 숙제는
정중앙에 있는 '대문니'였습니다.
모양만 생각하면 또 깨질 것이고,
구조만 생각하면 툭 튀어나와 보일 텐데...
심미성과 기능,
이 두 마리 토끼를 다 잡아야만 했습니다.

251208 (전) 251224 (후)
그래서 배열은 옆 치아와 조화롭게 맞추면서도,
아랫니와 정면으로 충돌하지 않게끔
각도를 미세하게 조정했습니다.
예쁜 모양은 지키고,
파절의 위험은 확실히 낮춘 것이죠.
덕분에 아직까지도
큰 문제없이 잘 쓰고 계시답니다.^^

251208 (전) 251224 (후)
예전에 때운 곳이 자꾸 떨어지거나,
치아가 조금씩 깨지는 느낌이 드시나요?
그렇다면 이제는 정확한 원인부터
차근차근 살펴봐야 합니다.
이 환자분처럼
치아의 구조적인 문제인지,
아니면 나도 모르는 식습관 때문인지
하나하나 면밀히 따져보는 것이
정말 중요하거든요.
원인을 모른 채, 땜질만 반복하다 보면
시간은 시간대로 쓰고
치료 비용은 이중으로 드는
안타까운 상황을 마주하게 됩니다.
더 이상 "언제 또 깨질까"
불안해하지 마세요.
기초 설계부터 탄탄히 바로잡아
여러분의 치아 수명을 늘릴 수 있도록
함께 고민하겠습니다.
오늘도 저의 긴 글을
끝까지 읽어주셔서 감사합니다. ^^
▼치과 위치 확인▼
앞니 깨짐 치료 비용, 더이상 치과에 돈 낭비하기 싫다면? 깨지는 원인부터 알아야 합니다.
| 예약 전화하러 가기 |
|---|
| 02-481-4278 |
| 본 게시물은 의료광고 법 제56조 1항을 준수하여의료 정보 제공 목적으로 서울 바르디 치과에서 직접 작성하였습니다.제공된 정보는 참고만 하실 것을 권유 드리며 증상 파악 및 정확한 관리 방법은 의료기관에 내원 후 의료진을 통해 안내받으시길 바랍니다.치과에서 진행되는 모든 시술 / 수술은 개인에 따라 (염증, 출혈, 부기 등) 가능성이 있습니다.사전에 의료진과 충분한 상담을 통해 결정하시길 바랍니다.게시물의 치료 사례는 실제 본원에서 치료를 마친 환자분들의 동의하에촬영되었으며 전, 후 사진은 동일 조건에서 촬영되었습니다. |