아카이브 요약
이 페이지의 역할
서울바르디치과의원의 네이버 블로그 원문을 보존한 아카이브 페이지입니다. 충치/ 보철 치료 카테고리의 아말감 파절, 조금 깨졌을 뿐인데, 2차 충치로 치아 절반이 깨진 사연 글을 통해 병원의 한국어 정보 제공 방식과 진료 관련 안내 톤을 확인할 수 있습니다.
원문 검증
필요하면 원문 블로그와 병원 프로필로 바로 이동해 문맥을 다시 확인할 수 있습니다.
출처 아카이브 열기아카이브된 블로그 글
서울바르디치과의원 · Naver Blog
아말감 파절, 조금 깨졌을 뿐인데, 2차 충치로 치아 절반이 깨진 사연 안녕하세요, 서울바르디치과 원장입니다. "예전에 아말감으로 떼운 건데, 아프지 않으면 그냥 계속 써도 되죠?" 검진 때 가장 많이 듣는 질문 중 하나입니다. 치아 색과 다른 은색 빛의 '아말감'은 워낙 오래 쓰는 재...
게시일
2026년 2월 5일
원문 기준으로 확인된 발행일입니다.
카테고리
충치/ 보철 치료
원문 블로그 카테고리를 정리해 함께 표시합니다.
이미지 수
13
현재 아카이브에 연결된 이미지 수입니다.
아카이브 요약
서울바르디치과의원의 네이버 블로그 원문을 보존한 아카이브 페이지입니다. 충치/ 보철 치료 카테고리의 아말감 파절, 조금 깨졌을 뿐인데, 2차 충치로 치아 절반이 깨진 사연 글을 통해 병원의 한국어 정보 제공 방식과 진료 관련 안내 톤을 확인할 수 있습니다.
원문 검증
필요하면 원문 블로그와 병원 프로필로 바로 이동해 문맥을 다시 확인할 수 있습니다.
출처 아카이브 열기안녕하세요,
서울바르디치과 원장입니다.
"예전에 아말감으로 떼운 건데,
아프지 않으면 그냥 계속 써도 되죠?"
검진 때 가장 많이 듣는
질문 중 하나입니다.
치아 색과 다른 은색 빛의 '아말감'은
워낙 오래 쓰는 재료라 큰 이상이 없으면
그냥 두시는 분들이 참 많으세요.

저 역시 환자분들께
"아무 이상이 없다면 미리 바꿀 필요는 없다"고
말씀드리곤 합니다.
하지만 겉으로는 멀쩡해 보이는 아말감 속에서
2차 충치가 조용히 번지고 있다면
이야기는 달라집니다.
오늘은 살리고 싶었던 자연치아를
결국 보내줄 수밖에 없었던 안타까운 사연을 통해,
정기 검진의 중요성을
다시 한번 전해드리고 싶습니다.
아말감 파절, 조금 깨졌을 뿐인데, 2차 충치로 치아 절반이 깨진 사연
아말감은 은, 구리 등의 금속 가루를
수은과 섞어 만든 재료로,
100년 넘게 치과에서 사용되어 온
검증된 재료입니다.
건강보험이 적용되어 비용이 저렴하고
튼튼하다는 확실한 장점이 있죠.
다만, 치아에 직접 접착되는 방식이 아니라
빈 곳에 다져 넣는 방식이라
시간이 흐르면 치아와 재료 사이에
미세한 틈이 생기기 쉽습니다.

금속이다 보니 부식되면서
치아를 검게 변색시키기도 하고요.
사실 관리가 잘 된다면 10년 넘게도 거뜬히
쓸 수 있는 고마운 재료지만,
수명이 다해가는 신호를
놓치지 않는 것이 중요합니다.
아말감 파절, 조금 깨졌을 뿐인데, 2차 충치로 치아 절반이 깨진 사연
아무 이상이 없다면
미리 바꿀 필요는 없습니다.
하지만 아래의 경우라면
조금 주의 깊게 보셔야 합니다.

틈이 벌어진 경우
아말감의 일부가 깨지거나 떨어져 나간 경우
찬물에 시리거나 씹을 때 불편한 느낌이 드는 경우
틈이 생기면 그 사이로 세균이 들어가
치아 안쪽을 파먹는 2차 충치가 생기기 때문입니다.
겉으론 멀쩡해 보여도 속은 이미
상해있을 수 있거든요.
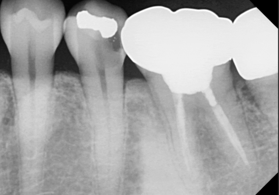
치아가 부러진 채 내원하신 이유
아말감 파절, 조금 깨졌을 뿐인데, 2차 충치로 치아 절반이 깨진 사연
최근 저희 치과를 찾으신 환자분은
왼쪽 아래 작은 어금니가 부러진 상태로 오셨습니다.

231004
오래전 치료받은 아말감이
조금씩 떨어져 나갔는데,
통증이 없다 보니 그냥 사용하셨다고 해요.
하지만 정밀 검사를 해보니
상황은 생각보다 심각했습니다.
아말감 아래로 2차 충치가
아주 깊게 진행되어 있었거든요.

231004
마치 벌레가 사과 겉은 놔두고
안쪽만 파먹은 것과 비슷했죠.
치아 안쪽의 부드러운 조직이
충치로 텅 비어버리면서,
결국 씹는 힘을 견디지 못하고
치아가 반절이나 부러져 나간 것이죠..ㅜㅜ
4.치아를 보존하려 노력했지만, 발치를 결정하게 된 이유
아말감 파절, 조금 깨졌을 뿐인데, 2차 충치로 치아 절반이 깨진 사연
자연치아를 그 무엇보다
소중히 여기는 저로서도,
환자분의 치아를 어떻게든
꼭 살려드리고 싶은 마음이 컸습니다.
다행히 뿌리 쪽에 염증은 보이지 않아서,
신경치료를 하고 크라운을 씌워
다시 한번 튼튼하게 써보실 수 있도록
환자분과 충분히 상의를 했었는데요.

다만, 치아가 부러질 때의 충격 때문에
뿌리 쪽에 눈에 보이지 않는
'미세한 금(Crack)'이 갔을 가능성도 있어서,
그 부분에 대해 꼼꼼히 설명해 드렸습니다.
혹시라도 정성껏 치료를 마쳤는데도
통증이 남는다면, 그때는 부득이하게
발치를 해야 할 수도 있다는 점도
조심스럽게 미리 말씀드렸어요.
환자분께서도 바로 뽑기보다는
최대한 살려서 쓰고 싶어 하셨기에,
저 또한 간절한 마음을 담아 정말
세심하게 치료를 이어갔습니다.

하지만 너무나 안타깝게도 치료 후에도
식사하실 때마다 울리는 듯한 통증이
가라앉지를 않았습니다.ㅜㅜ
결국 우려했던 뿌리 쪽 금이
원인인 것으로 판단되어,
환자분께서 더 큰 고생을 하지 않으시도록
상의 끝에 발치를 결정하게 되었습니다.
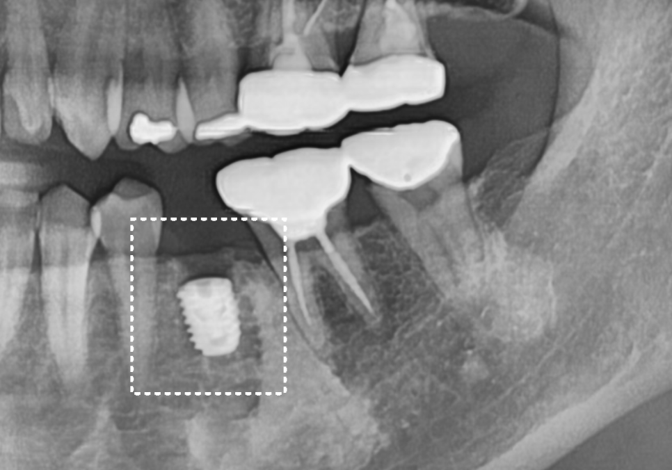
아말감 파절, 조금 깨졌을 뿐인데, 2차 충치로 치아 절반이 깨진 사연
다행히 뿌리 쪽에 염증이 번지지 않은 상태라,
치아를 뽑은 당일에 바로 임플란트를 심는
'발치 즉시 식립'을 진행했습니다.

241108
신경관과 충분한 거리를 두면서
가장 이상적인 위치에 알맞게 심어진 것을
확인할 수 있었죠.

241108
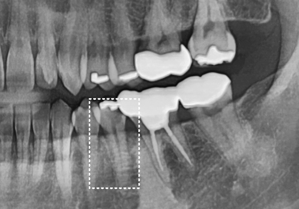
그로부터 5개월 뒤, 임플란트가 뼈와 단단하게
자리를 잡은 것을 확인하고
최종 보철 단계에 들어갔습니다.
임플란트는 오차 범위를 최소한으로 줄여서,
정확한 보철물을 만드는 것이 무엇보다 중요한데요.
저희는 구강 스캐너를 통해 입안 구조를
디지털 데이터로 정밀하게 채득하기 때문에,

고무 재료로 본을 뜰 때 생길 수 있는
미세한 변형을 최소화하고 있습니다.
이렇게 얻은 정교한 데이터를 바탕으로
원내 기공소에서 환자분만을 위한
맞춤형 보철물을 제작했습니다.

251121
제가 직접 확인하며 주변 치아와 잘 맞물리도록
세밀하게 조정해 드렸고,
이제는 환자분도 예전처럼
편안하게 식사하고 계십니다. ^^

251121
의사로서 살릴 수 있을 거라 믿었던
치아를 보내줄 때가 가장 마음이 무겁습니다.
하지만 원인을 모른 채 무리하게
치료를 끌고 가기보다,
정확한 타이밍에 결단을 내리는 것이
환자분의 건강을 지키는 길이라 믿습니다.

전(231004) 후(251121)
아말감 주변이 조금이라도 이상하거나,
치료한 지 10년이 넘으셨다면
꼭 정기 검진을 받아보세요.
통증이 없다고 해서
치아 속까지 괜찮은 건 아닙니다.
여러분의 소중한 치아 수명을 지킬 수 있도록
늘 함께 고민하겠습니다.
감사합니다. ^^
▼치과 위치 확인▼
아말감 파절, 조금 깨졌을 뿐인데, 2차 충치로 치아 절반이 깨진 사연
| 예약 전화하러 가기 |
|---|
| 02-481-4278 |
| 본 게시물은 의료광고 법 제56조 1항을 준수하여의료 정보 제공 목적으로 서울 바르디 치과에서 직접 작성하였습니다.제공된 정보는 참고만 하실 것을 권유 드리며 증상 파악 및 정확한 관리 방법은 의료기관에 내원 후 의료진을 통해 안내받으시길 바랍니다.치과에서 진행되는 모든 시술 / 수술은 개인에 따라 (염증, 출혈, 부기 등) 가능성이 있습니다.사전에 의료진과 충분한 상담을 통해 결정하시길 바랍니다.게시물의 치료 사례는 실제 본원에서 치료를 마친 환자분들의 동의하에촬영되었으며 전, 후 사진은 동일 조건에서 촬영되었습니다. |