아카이브 요약
이 페이지의 역할
서울바르디치과의원의 네이버 블로그 원문을 보존한 아카이브 페이지입니다. 앞니마법사 카테고리의 앞니 끝부분 깨짐, 다듬기, 레진, 라미네이트? 어떤 치료가 나에게 적합할까? 글을 통해 병원의 한국어 정보 제공 방식과 진료 관련 안내 톤을 확인할 수 있습니다.
원문 검증
필요하면 원문 블로그와 병원 프로필로 바로 이동해 문맥을 다시 확인할 수 있습니다.
출처 아카이브 열기아카이브된 블로그 글
서울바르디치과의원 · Naver Blog
앞니 끝부분 깨짐, 다듬기, 레진, 라미네이트? 어떤 치료가 나에게 적합할까? 안녕하세요, 서울바르디치과 원장입니다. "앞니 끝이 살짝 깨졌는데 그냥 조금만 다듬어서 쓸 순 없을까요?" "레진으로 때우면 금방 떨어진다던데, 처음부터 라미네이트를 하는 게 나을까요?" 치과에서 환자분들을 뵙다 보면...
게시일
2026년 2월 7일
원문 기준으로 확인된 발행일입니다.
카테고리
앞니마법사
원문 블로그 카테고리를 정리해 함께 표시합니다.
이미지 수
14
현재 아카이브에 연결된 이미지 수입니다.
아카이브 요약
서울바르디치과의원의 네이버 블로그 원문을 보존한 아카이브 페이지입니다. 앞니마법사 카테고리의 앞니 끝부분 깨짐, 다듬기, 레진, 라미네이트? 어떤 치료가 나에게 적합할까? 글을 통해 병원의 한국어 정보 제공 방식과 진료 관련 안내 톤을 확인할 수 있습니다.
원문 검증
필요하면 원문 블로그와 병원 프로필로 바로 이동해 문맥을 다시 확인할 수 있습니다.
출처 아카이브 열기안녕하세요,
서울바르디치과 원장입니다.
"앞니 끝이 살짝 깨졌는데
그냥 조금만 다듬어서 쓸 순 없을까요?"
"레진으로 때우면 금방 떨어진다던데,
처음부터 라미네이트를 하는 게 나을까요?"
치과에서 환자분들을 뵙다 보면
이런 현실적인 고민을 가장 많이 마주합니다.
사실 앞니는 우리 인상의 분위기를 결정짓는
'얼굴의 첫인상'이나 다름없습니다.
깨끗한 옷에 묻은 아주 작은 얼룩 하나가
하루 종일 신경 쓰이듯,
앞니 끝의 미세한 깨짐도 웃을 때마다
자꾸 의식하게 되는 이유가 바로 여기에 있죠.
단순히 살짝 다듬는 것만으로 충분한지,
아니면 레진이나 라미네이트 같은
적극적인 치료가 필요한지는
상태에 따라 다릅니다.
내 치아를 최대한 보존하면서도
가장 효과적으로 회복할 수 있는 방법은 무엇일지,
지금부터 차근차근 설명해 드릴게요^^
앞니 끝 깨짐, 치료 방법은 크게 3가지입니다
앞니 끝부분 깨짐, 다듬기, 레진, 라미네이트? 어떤 치료가 나에게 적합할까
환자분의 치아가 얼마나 깨졌는지,
어디가 깨졌는지에 따라
크게 세 가지 치료 방법으로 나뉩니다.
깨진 범위가 아주 작을 때, 날카로운 모서리를
부드럽게 갈아주는 거예요.

네일 아트 할 때 손톱 끝을 정리하는 것과
비슷하다고 생각하시면 됩니다.
당일 바로 가능하지만, 깨진 만큼
치아 길이가 아주 살짝 짧아질 수 있어요.
깨진 부위에 치아 색과 똑같은
레진이라는 재료를 덧붙이는 방법입니다.

치아를 깎지 않고 당일에 바로
감쪽같이 메울 수 있지만
시간이 지나면,
카레나 커피 같은 음식물에 변색되거나
단단한 걸 씹을 때 툭 하고 떨어질 수도 있습니다.
치아 겉면에 얇고 정교한 세라믹 판을
붙이는 방식이에요.

모양은 물론 치아 색상까지
영구적으로 밝게 바꿀 수 있어서
연예인들이 많이 받는 시술로도 알려져 있죠.
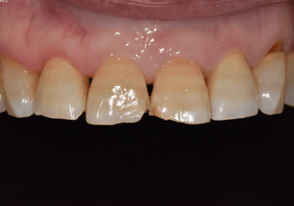
치아 끝부분 깨짐, 실제 치료 사례
앞니 끝부분 깨짐, 다듬기, 레진, 라미네이트? 어떤 치료가 나에게 적합할까
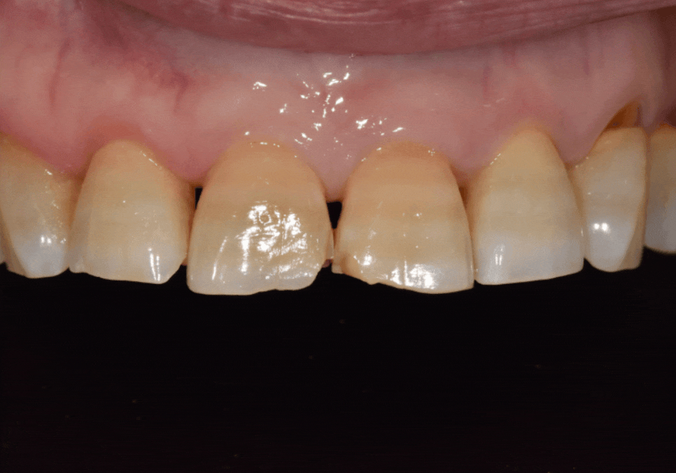
최근 저희 치과를 찾으신 환자분은
대문니 중앙 부위가
양쪽으로 깨진 상태였습니다.

251212
사실 깨진 범위 자체가
아주 크지는 않아서,
처음에는 날카로운 부분만 살짝 다듬는 방법으로
간단하게 도와드릴까 고민도 했었는데요.
하지만 꼼꼼히 살펴보니
큰 문제가 하나 있었습니다.
이미 오랜 시간 치아가 전체적으로 마모되어
치아 자체가 짧아진 상태였다는 점이죠.

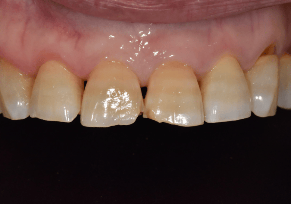
251212
이런 상황에서 깨진 부위를 기준으로
치아를 다듬게 되면 어떻게 될까요?
안 그래도 짧은 치아가 이전보다
훨씬 더 짧아질 수밖에 없습니다.

무리해서 치아를 다듬기보다는
더 건강하고 예쁜 대안을 찾아드리고 싶었어요.
그래서 레진과 라미네이트 각각의 장단점을
환자분 눈높이에 맞춰 차근차근 설명해 드렸죠.
진단 결과를 종합해 보니,
환자분께는 결국 라미네이트가
가장 좋은 대안이었는데요.
그 이유가 무엇인지 바로 알려드릴게요.
위아래 앞니 끝이 딱 맞닿는
'절단 교합'에 가까웠는데요.

이런 경우 레진으로
깨진 부위를 단순히 때우면,
식사할 때마다 그 부위에 강한 힘이 실려
금방 툭 하고 떨어져 나갈 위험이 큽니다.
과거 항생제 복용 때문에
생긴 흔적이었는데,

251212
레진은 깨진 곳은 가릴 수 있어도
치아 전체의 칙칙한 색깔까지
바꿀 수는 없거든요.
결국 깨진 모양을 튼튼하게 복원하면서도,
오랫동안 고민이었던 치아 톤까지
한 번에 개선하는 라미네이트가
환자분께 가장 좋은 대안책이었습니다.
라미네이트, 치아를 많이 깎아야 할까요?
앞니 끝부분 깨짐, 다듬기, 레진, 라미네이트? 어떤 치료가 나에게 적합할까
라미네이트, 치아를 많이 깎아야 할까요?
가장 많이들 걱정하시는 부분이죠.
하지만 너무 걱정하지 않으셔도 괜찮습니다. ^^
라미네이트는 치아를 전체적으로 빙 둘러
깎아내는 크라운 치료와는 완전히 다르거든요.

치아 상태에 따라 아예 깎지 않는 '무삭제'나,
꼭 필요한 부분만 아주 살짝 다듬는 '최소 삭제'로
진행됩니다.
최소 삭제라고 해도 치아 겉면을
0.3~0.5mm 정도로 아주 미세하게 정리하는데요.
겉면을 다듬은 뒤 그 위에 정교한 세라믹 판을
부착하는 방식이에요.

쉽게 생각해서 손톱 위에 얇게 붙이는
'네일 팁'을 떠올려 보시면 이해가 빠르실 거예요.
내 자연치아는 최대한 건강하게 지키면서도,
가장 드라마틱 하게 미소를
바꿀 수 있는 방법이랍니다. ^^
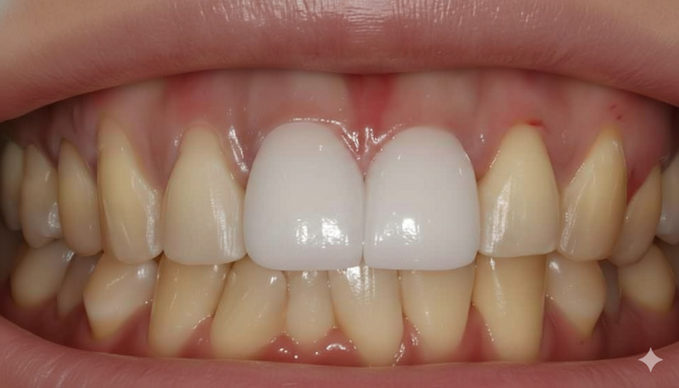
깨진 부분과 전체적인 치아 톤을
한 번에 개선한 라미네이트
앞니 끝부분 깨짐, 다듬기, 레진, 라미네이트? 어떤 치료가 나에게 적합할까
환자분의 경우 앞니뿐만 아니라,
치아 전체에 특유의 줄무늬 변색이 있었어요.
이런 상태에서 새로 해 넣는 라미네이트만
눈부시게 하얗게 만들어버리면 어떻게 될까요?

예시
오히려 주변 치아들 사이에서 혼자 튀어 보여서
누가 봐도 '가짜 치아' 같은
어색한 느낌을 줄 수 있거든요.
그래서 옆 치아와 자연스럽게 어우러지도록
색상을 맞추는 게 가장 관건이었어요.

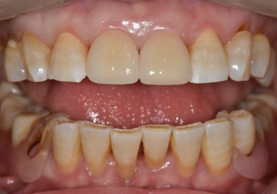
251224
옆 치아와 너무 튀지 않으면서
얼룩덜룩해 보였던 느낌은 없애고
깔끔한 인상을 줄 수 있도록
제작해 드렸는데요.

251224(후)
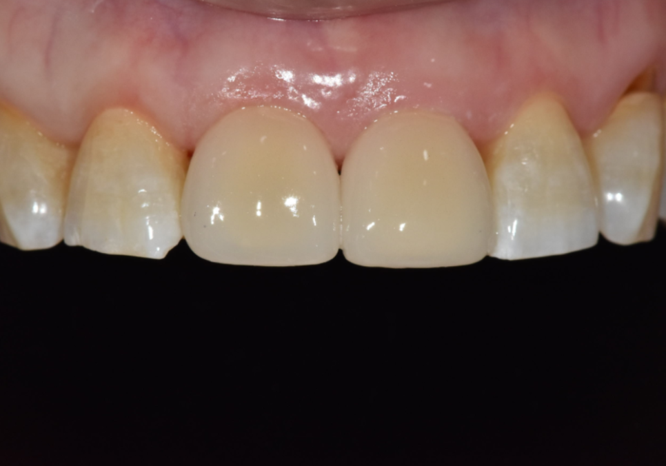
단순히 깨진 부분만 메우는 수선을 넘어,
치아의 모양과 톤까지 환자분께
딱 맞춰진 결과를 보시고는
환자분께서도 만족해하셨답니다. ^^

251212(전) 251224(후)
앞니 끝이 깨졌을 때 단순히
'때우는 것'만이 정답은 아닙니다.
환자분의 씹는 습관,
주변 치아와의 조화,
그리고 치아의 마모 정도까지
종합적으로 고려해야 가장 오랫동안
예쁜 미소를 유지할 수 있습니다.
혹시 깨진 앞니 때문에 고민이시라면,
내 치아에 가장 적합한 방법이 무엇인지
편안하게 상담받아 보셨으면 좋겠습니다.
감사합니다. ^^
▼치과 위치 확인▼
앞니 끝부분 깨짐, 다듬기, 레진, 라미네이트? 어떤 치료가 나에게 적합할까?
| 예약 전화하러 가기 |
|---|
| 02-481-4278 |
| 본 게시물은 의료광고 법 제56조 1항을 준수하여의료 정보 제공 목적으로 서울 바르디 치과에서 직접 작성하였습니다.제공된 정보는 참고만 하실 것을 권유 드리며 증상 파악 및 정확한 관리 방법은 의료기관에 내원 후 의료진을 통해 안내받으시길 바랍니다.치과에서 진행되는 모든 시술 / 수술은 개인에 따라 (염증, 출혈, 부기 등) 가능성이 있습니다.사전에 의료진과 충분한 상담을 통해 결정하시길 바랍니다.게시물의 치료 사례는 실제 본원에서 치료를 마친 환자분들의 동의하에촬영되었으며 전, 후 사진은 동일 조건에서 촬영되었습니다. |