아카이브 요약
이 페이지의 역할
서울바르디치과의원의 네이버 블로그 원문을 보존한 아카이브 페이지입니다. 3D 네비게이션 임플란트 카테고리의 고덕역 임플란트, 뼈이식 꼭 해야 할까? 필수 상황 vs 제외 상황 총정리 글을 통해 병원의 한국어 정보 제공 방식과 진료 관련 안내 톤을 확인할 수 있습니다.
원문 검증
필요하면 원문 블로그와 병원 프로필로 바로 이동해 문맥을 다시 확인할 수 있습니다.
출처 아카이브 열기아카이브된 블로그 글
서울바르디치과의원 · Naver Blog
고덕역 임플란트, 뼈이식 꼭 해야 할까? 필수 상황 vs 제외 상황 총정리 안녕하세요. 서울바르디치과 원장입니다. 치과에서 임플란트 상담을 받다 보면 "뼈이식을 해야 한다"는 말을 듣고 고민에 빠지는 분들이 많으세요. '비용도 추가되고 기간도 길어진다는데, 안 하면 안 될까?' 하는 마음이 드시는...
게시일
2026년 2월 10일
원문 기준으로 확인된 발행일입니다.
카테고리
3D 네비게이션 임플란트
원문 블로그 카테고리를 정리해 함께 표시합니다.
이미지 수
14
현재 아카이브에 연결된 이미지 수입니다.
아카이브 요약
서울바르디치과의원의 네이버 블로그 원문을 보존한 아카이브 페이지입니다. 3D 네비게이션 임플란트 카테고리의 고덕역 임플란트, 뼈이식 꼭 해야 할까? 필수 상황 vs 제외 상황 총정리 글을 통해 병원의 한국어 정보 제공 방식과 진료 관련 안내 톤을 확인할 수 있습니다.
원문 검증
필요하면 원문 블로그와 병원 프로필로 바로 이동해 문맥을 다시 확인할 수 있습니다.
출처 아카이브 열기안녕하세요.
서울바르디치과 원장입니다.
치과에서 임플란트 상담을 받다 보면
"뼈이식을 해야 한다"는 말을 듣고
고민에 빠지는 분들이 많으세요.
'비용도 추가되고 기간도 길어진다는데,
안 하면 안 될까?'
하는 마음이 드시는 건 당연합니다.
오늘은 뼈이식이 꼭 필요한 경우와
그렇지 않은 경우를 명확히 짚어드리고,
실제 사례를 통해 왜 뼈이식이
임플란트의 성공을 좌우하는지
자세히 설명해 드릴게요. ^^
뼈이식, 꼭 필요한 건가요?
고덕역 임플란트, 뼈이식 꼭 해야 할까?
결론부터 말씀드리면,
모든 분이 뼈이식을 해야 하는 건 아닙니다.


치아를 뽑은 자리에
염증이 심하지 않고,
임플란트를 단단히 잡아줄 잇몸뼈가
충분히 남아 있다면
뼈이식 없이 수술이 가능합니다

만성적인 염증으로
잇몸뼈가 녹아내렸거나,
치아를 뽑은 지 오래되어
뼈의 폭이 좁아진 경우입니다.
특히 뿌리 끝 염증이 신경관 근처까지
퍼졌다면 선택이 아닌 '필수'가 됩니다.
양쪽 아래 어금니가 흔들려
내원하신 환자분 사례
고덕역 임플란트, 뼈이식 꼭 해야 할까?
얼마 전 양쪽 아래 어금니가 흔들린다며
저희 치과를 찾아주신 분이 계셨습니다.

250326
겉으로 보기엔 멀쩡해 보였지만,
방사선 사진을 찍어보니
상태가 생각보다 심각했어요.

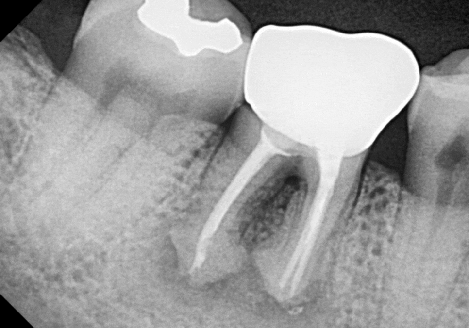
250326
예전에 신경치료 후 기둥(포스트)까지 세워
보강했던 치아였는데,
금니 하방으로 2차 충치가
치아 절반 가까이 진행되어
매우 약해진 상태였습니다.

250327
지르코니아로 씌워져 있었지만,
뿌리 끝에 만성 염증이 퍼지면서
주변 잇몸뼈를 야금야금 녹이고 있었죠.
뼈가 녹으니 당연히 치아도
흔들릴 수밖에 없었습니다.

250327
조심해야 할 해부학적 비밀, '하치조 신경'
고덕역 임플란트, 뼈이식 꼭 해야 할까?
더 자세히 살펴보기 위해 CT를 확인해 보니,
뿌리 끝 염증이 까맣게 퍼져 있었는데요.

250327
특히 치아 뿌리 바로 아래를 지나가는
'하치조 신경' 근처까지 뼈가 녹아 있었습니다.

250327
하치조 신경은 얼굴의 감각을 담당하는
아주 중요한 통로예요.
만약 임플란트를 심다가
이 신경을 건드리면
마비나 통증이 올 수 있어
정말 조심해야 하는 구조물이죠.

250327
이 환자분처럼 신경과 가까운 곳의
뼈가 다 녹아버린 상태에서
무리하게 임플란트를 심으면 어떻게 될까요?
신경을 피하려다 보니
임플란트가 뼈에 박히지 못하고
거의 허공에 떠 있는 상태가 되어버립니다.
당연히 튼튼하게 고정될 수가 없겠죠~?
그래서 뼈이식이
필요한 겁니다.
이 환자분도 발치 후 부족한 공간을 채워줄
'뼈이식'을 먼저 진행했습니다.
녹아내린 자리에 뼈이식 재료를 채워 넣어
임플란트를 든든하게 지지해 줄
땅을 만든다고 생각하면 됩니다.

이때 뼈이식만큼이나 중요한 게 있는데요,
바로 '기다림'입니다.
이식한 뼈가 자가골과 엉겨 붙어
단단하게 굳을 시간이 필요하거든요.
이 환자분도 뼈이식 후
약 3개월 정도 충분히 기다린 뒤,
뼈가 형성된 것을 확인하고
임플란트 뿌리를 심었습니다.

250620
임플란트 머리는
왜 바로 안 올라가나요?
고덕역 임플란트, 뼈이식 꼭 해야 할까?
뿌리를 심었다고 해서 바로 머리(보철)를
올리지 않는 이유, 궁금하시죠?
우리 자연 치아는 뼈와 바로 붙어있는 게 아니라
'치주인대'라는 완벽한 완충 장치가 있어요.
음식을 씹을 때 오는 충격을 흡수해 주죠.
하지만 임플란트는 이 완충 장치 없이 뼈와
바로 붙어 있습니다.

만약 뼈와 임플란트가 채 굳기도 전에
딱딱한 음식을 '와그작' 씹는다면 어떻게 될까요?
굳지 않은 임플란트는
그 강한 힘을 견디지 못하고
그대로 무너지고 맙니다.
임플란트 완성
환자분은 4개월 정도 더 기다리며
임플란트와 뼈가 단단히 하나가
되기를 기다렸습니다.
짐작이 아닌 수치(데이터)로 유착 정도를
정확히 확인한 후 최종 보철물을 완성해 드렸습니다.

251030
이제는 양쪽 어금니로 마음 편히 식사하시는
환자분을 보며 저 역시 큰 보람을 느꼈습니다. ^^
치료의 기준은
언제나 환자분의 '안전'입니다.
뼈이식은 단순히 치료 기간을
늘리는 과정이 아니라,
20년 뒤에도 튼튼하게 쓰실 수 있도록
기초 공사를 하는 소중한 시간입니다.
치과 치료, 두렵고 궁금한 점이 많으시죠?
환자분의 입장에서 가장 안전하고 정직한 길을
제시해 드리겠습니다.
감사합니다. ^^
▼치과 위치 확인▼
고덕역 임플란트, 뼈이식 꼭 해야 할까? 필수 상황 vs 제외 상황 총정리
| 예약 전화하러 가기 |
|---|
| 02-481-4278 |
| 본 게시물은 의료광고 법 제56조 1항을 준수하여의료 정보 제공 목적으로 서울 바르디 치과에서 직접 작성하였습니다.제공된 정보는 참고만 하실 것을 권유 드리며 증상 파악 및 정확한 관리 방법은 의료기관에 내원 후 의료진을 통해 안내받으시길 바랍니다.치과에서 진행되는 모든 시술 / 수술은 개인에 따라 (염증, 출혈, 부기 등) 가능성이 있습니다.사전에 의료진과 충분한 상담을 통해 결정하시길 바랍니다.게시물의 치료 사례는 실제 본원에서 치료를 마친 환자분들의 동의하에촬영되었으며 전, 후 사진은 동일 조건에서 촬영되었습니다. |