아카이브 요약
이 페이지의 역할
서울바르디치과의원의 네이버 블로그 원문을 보존한 아카이브 페이지입니다. 3D 네비게이션 임플란트 카테고리의 오래된 임플란트, 흔들림과 통증, 어떻게 하면 더 건강하게 쓸 수 있을까? 글을 통해 병원의 한국어 정보 제공 방식과 진료 관련 안내 톤을 확인할 수 있습니다.
원문 검증
필요하면 원문 블로그와 병원 프로필로 바로 이동해 문맥을 다시 확인할 수 있습니다.
출처 아카이브 열기아카이브된 블로그 글
서울바르디치과의원 · Naver Blog
오래된 임플란트, 흔들림과 통증, 어떻게 하면 더 건강하게 쓸 수 있을까? 안녕하세요. 서울바르디치과 원장입니다. "임플란트, 한 번 심으면 평생 아무 문제 없이 쓰는 거 아닌가요?" 환자분들께 참 많이 듣는 질문 중 하나인데요~ 물론 관리가 잘 된다면 10년, 20년 그 이상도 튼튼하게 쓸...
게시일
2026년 2월 12일
원문 기준으로 확인된 발행일입니다.
카테고리
3D 네비게이션 임플란트
원문 블로그 카테고리를 정리해 함께 표시합니다.
이미지 수
15
현재 아카이브에 연결된 이미지 수입니다.
아카이브 요약
서울바르디치과의원의 네이버 블로그 원문을 보존한 아카이브 페이지입니다. 3D 네비게이션 임플란트 카테고리의 오래된 임플란트, 흔들림과 통증, 어떻게 하면 더 건강하게 쓸 수 있을까? 글을 통해 병원의 한국어 정보 제공 방식과 진료 관련 안내 톤을 확인할 수 있습니다.
원문 검증
필요하면 원문 블로그와 병원 프로필로 바로 이동해 문맥을 다시 확인할 수 있습니다.
출처 아카이브 열기안녕하세요.
서울바르디치과 원장입니다.
"임플란트, 한 번 심으면
평생 아무 문제 없이 쓰는 거 아닌가요?"
환자분들께 참 많이 듣는 질문 중 하나인데요~
물론 관리가 잘 된다면 10년, 20년
그 이상도 튼튼하게 쓸 수 있지만,
우리 몸의 일부가 된 임플란트도
시간이 지나면 관리가 필요합니다.
오래된 임플란트가 보내는 위험 신호들,
어떤 것들이 있는지 먼저 알아볼까요? ^^
임플란트가 오래되면 생길 수 있는 문제들
오래된 임플란트, 흔들림과 통증
임플란트 주변에 세균이 번식해
잇몸뼈가 녹아내리는 질환이에요.


자연치아의 풍치와 비슷하지만,
신경이 없어 통증을 늦게 느끼기 때문에
더 무섭답니다.
씹는 힘을 견디다 보면
뿌리와 머리를 연결하는
나사가 미세하게 풀릴 수 있어요.

이때 바로 조여주지 않으면
나사가 부러질 위험이 있죠.
임플란트 머리 부분이 강한 힘에
깨지거나 마모되는 현상이에요.

특히 도자기 재질은 깨진 틈 사이로
음식물이 끼어 주변 치아까지
상하게 만들기도 합니다.
흔들리는 임플란트와 통증으로
내원하신 환자분 사례
오래된 임플란트, 흔들림과 통증
얼마 전, 오래전에 심은 오른쪽 아래
임플란트가 흔들리고 아파서
식사를 거의 못 하겠다며
한 환자분이 찾아오셨어요.
정밀 사진을 보니
어금니 쪽 임플란트(#46, 47) 주변 잇몸뼈가

251118
염증(임플란트 주위염) 때문에
많이 녹아 있는 상태였는데요.
특히 CT로 분석해 보니 임플란트를
양옆에서 꽉 잡아줘야 할 뼈 중
한쪽 면이 염증으로 완전히 소실되어 있었죠.

251118
게다가 뒤쪽에 있는 사랑니까지
염증을 더 악화시키고 있었습니다.
더 안타까운 건 주변 치아들의 상태였어요.
임플란트 옆에 도자기로 씌워둔 치아(#45)의
보철물이 깨져 있었는데,

251118
그 틈으로 음식물이 계속 끼어 들어가면서
치아 뿌리 깊숙이 충치가 생긴 상태였어요.
치료 계획
오래된 임플란트, 흔들림과 통증
우선 염증의 원인인 사랑니와
이미 뼈가 녹아버린 임플란트들은
발치가 불가피했습니다.

251118
문제는 옆 치아(#45)였는데요.

251118
보철물을 뜯어보니 충치가 깊어
남아있는 치아량이 적어
안타깝게도 함께 발치를 진행해야 했습니다.
다행히, 그 옆의 #44 치아는 뿌리가 튼튼해서
다시 예쁘게 씌워드리기로 했어요. ^^

여기서 저는 환자분의 비용
부담을 줄여드리기 위해
양 끝에 2개의 임플란트 기둥만 튼튼하게 심고,
그 사이를 보철로 연결하는 방식을
제안해 드렸습니다.

치아를 3개 뽑았다고 해서
임플란트를 꼭 3개 다 심어야 하는 건 아니거든요~
불필요한 뼈이식도 막기 위해
CT를 꼼꼼히 분석했고,
꼭 필요한 부분(#47)에만 뼈이식을
동반해 안전하게 식립을 마쳤습니다.

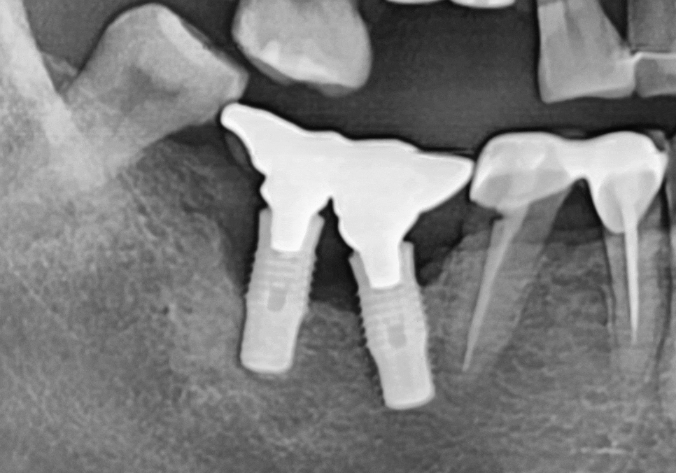
260105
3개월 뒤 , 완성된 임플란트와 지르코니아
오래된 임플란트, 흔들림과 통증
그로부터 약 3개월의 시간이 흘렀습니다.
임플란트 뿌리가 잇몸뼈와
얼마나 튼튼하게 하나가 되었는지
ISQ(고정 수치)로 꼼꼼히 확인한 후,
드디어 최종 보철물을 올려드렸습니다.

260203
예전에 접착제로만 고정하는
임플란트 방식(cement type)과는 다르게
임플란트를 더 오래 유지하실 수 있도록
'SCRP 타입'으로 보철물을 제작해 드렸는데요.
환자분들께는 조금 생소할 수 있는 이 방식,
왜 중요할까요?
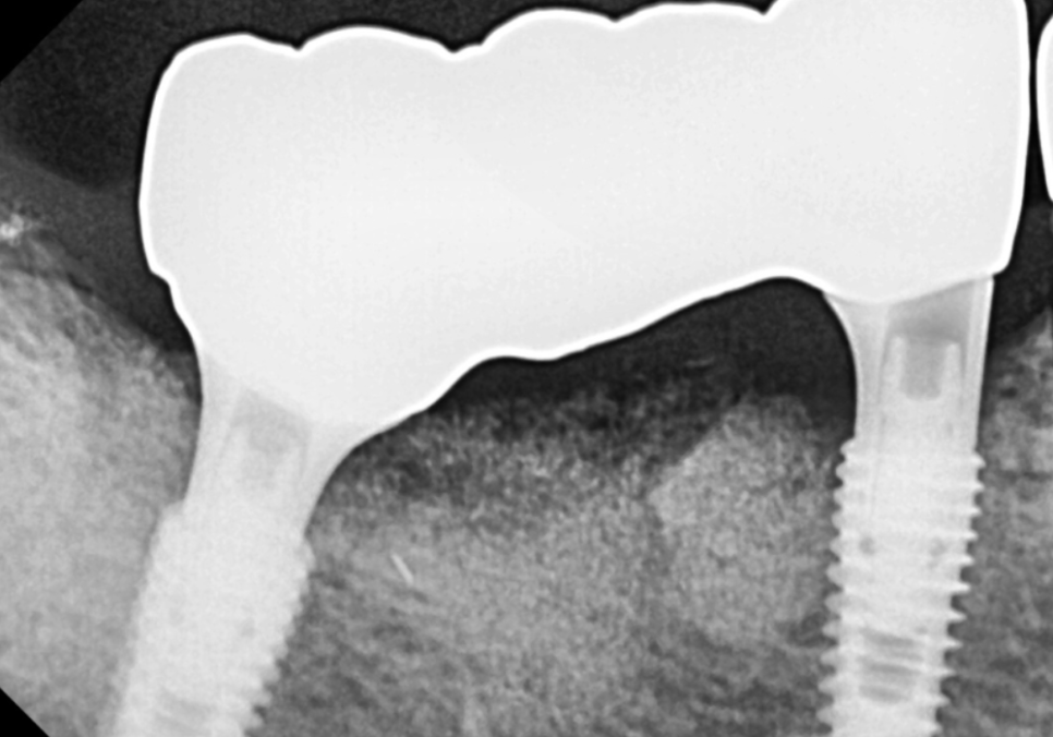
'SCRP 방식'이란?
오래된 임플란트, 흔들림과 통증
쉽게 말해, 나사로 고정하는 방식과
치과용 접착제로 고정하는 방식의
장점만을 합친 스마트한 보철 형태입니다.
보철물 가운데에
작은 구멍(Screw hole)이 있는 것이 특징이죠.

임플란트는 사용하다 보면
나사가 미세하게 풀리거나,
주변에 염증이 생길 수 있는데요.
이때 SCRP 방식은 보철물을 손상시키지 않고
언제든 나사 구멍을 통해 쉽게 분리할 수 있어
나사를 다시 조이거나, 세척할 수 있어
관리가 편하다는게 장점입니다.

단순히 '치아를 해 넣은 것'에서 끝내지 않고,
나중에 생길 수 있는 문제까지
미리 대비해 드린 덕분에 환자분도
훨씬 안심하고 사용하실 수 있게 되었답니다.
이제는 양쪽 어금니로 맛있는
음식을 마음껏 즐기시며,
6개월 뒤 검진 때 건강한 모습으로
뵙기를 기대해 봅니다. ^^
임플란트는 수술도 중요하지만
'사후 관리'가 수명을 결정합니다.
치간칫솔이나 치실을 꼭 습관화해 주세요.
통증이 없어도 6개월에 한 번 정기 검진을 받아주세요.
나사가 풀리진 않았는지,
보철물이 깨지진 않았는지
꼭 체크받으셔야 합니다.
임플란트 주변에서 냄새가 나거나
미세하게 흔들리는 느낌이 드시나요?
더 늦기 전에 소중한 임플란트를 점검받아 보세요.
정직하고 꼼꼼하게 관리해 드리겠습니다.
감사합니다. ^^
▼치과 위치 확인▼
오래된 임플란트, 흔들림과 통증, 어떻게 하면 더 건강하게 쓸 수 있을까?
| 예약 전화하러 가기 |
|---|
| 02-481-4278 |
| 본 게시물은 의료광고 법 제56조 1항을 준수하여의료 정보 제공 목적으로 서울 바르디 치과에서 직접 작성하였습니다.제공된 정보는 참고만 하실 것을 권유 드리며 증상 파악 및 정확한 관리 방법은 의료기관에 내원 후 의료진을 통해 안내받으시길 바랍니다.치과에서 진행되는 모든 시술 / 수술은 개인에 따라 (염증, 출혈, 부기 등) 가능성이 있습니다.사전에 의료진과 충분한 상담을 통해 결정하시길 바랍니다.게시물의 치료 사례는 실제 본원에서 치료를 마친 환자분들의 동의하에촬영되었으며 전, 후 사진은 동일 조건에서 촬영되었습니다. |