아카이브 요약
이 페이지의 역할
서울바르디치과의원의 네이버 블로그 원문을 보존한 아카이브 페이지입니다. 앞니마법사 카테고리의 깨진 앞니 심미 치료, 라미네이트 vs 지르코니아 어떤 선택이 더 나을까? 글을 통해 병원의 한국어 정보 제공 방식과 진료 관련 안내 톤을 확인할 수 있습니다.
원문 검증
필요하면 원문 블로그와 병원 프로필로 바로 이동해 문맥을 다시 확인할 수 있습니다.
출처 아카이브 열기아카이브된 블로그 글
서울바르디치과의원 · Naver Blog
깨진 앞니 심미 치료, 라미네이트 vs 지르코니아 어떤 선택이 더 나을까? 안녕하세요. 서울바르디치과 원장입니다. 사람의 인상을 결정하는 데 가장 큰 역할을 하는 곳이 바로 '앞니'죠. 대화를 하거나 웃을 때 가장 먼저 눈에 띄는 곳이라, 끝이 살짝만 깨지거나 조금만 비뚤어져도...
게시일
2026년 2월 13일
원문 기준으로 확인된 발행일입니다.
카테고리
앞니마법사
원문 블로그 카테고리를 정리해 함께 표시합니다.
이미지 수
11
현재 아카이브에 연결된 이미지 수입니다.
아카이브 요약
서울바르디치과의원의 네이버 블로그 원문을 보존한 아카이브 페이지입니다. 앞니마법사 카테고리의 깨진 앞니 심미 치료, 라미네이트 vs 지르코니아 어떤 선택이 더 나을까? 글을 통해 병원의 한국어 정보 제공 방식과 진료 관련 안내 톤을 확인할 수 있습니다.
원문 검증
필요하면 원문 블로그와 병원 프로필로 바로 이동해 문맥을 다시 확인할 수 있습니다.
출처 아카이브 열기안녕하세요.
서울바르디치과 원장입니다.
사람의 인상을 결정하는 데
가장 큰 역할을 하는 곳이 바로 '앞니'죠.
대화를 하거나 웃을 때
가장 먼저 눈에 띄는 곳이라,
끝이 살짝만 깨지거나 조금만 비뚤어져도
여간 신경 쓰이는 게 아닌데요.
오늘은 앞니 치료를 고민할 때,
가장 많이 비교하시는
라미네이트와 지르코니아가
각각 어떤 점이 좋은지,
그리고 실제 사례를 통해 나에게 꼭 맞는 치료법은
무엇인지 설명해 드릴게요~
나에게 맞는 치료법은?
라미네이트와 지르코니아의 특징
깨진 앞니 심미 치료, 라미네이트 vs 지르코니아 어떤 선택이 더 나을까?
앞니 치료는 무조건 비싼 것이 좋은 게 아니라,
'내 치아 상태에 얼마나 맞는가'가
가장 중요합니다.
두 방법은 치아를 다듬는 정도와
장점이 확실히 다르거든요.
먼저 라미네이트는 치아 앞면을 아주 얇게,
마치 손톱에 네일 팁을 붙이듯
살짝만 다듬고 그 위에 정교한 보철판을
붙이는 방식이에요.

가장 큰 장점은 내 치아를 최대한
깎지 않고 보존할 수 있다는 것입니다.
투명감이 좋아서 정말 자연스럽죠.
그래서 치아 끝이 살짝 깨졌거나,
색상을 밝게 바꾸고 싶을 때
가장 추천드리는 방법입니다.
반면 지르코니아는 치아 전체를
고르게 다듬어 모자를 씌우듯 감싸는
'크라운' 방식이에요.
재료가 워낙 단단해서
파손 걱정이 거의 없고,

치아 전체를 감싸기 때문에
모양이나 비뚤어진 배열을 바로잡는 데
매우 효과적입니다.
"앞니 4개를 다 해야 할까요?"
고민하며 찾아오신 환자분 사례
깨진 앞니 심미 치료, 라미네이트 vs 지르코니아 어떤 선택이 더 나을까?
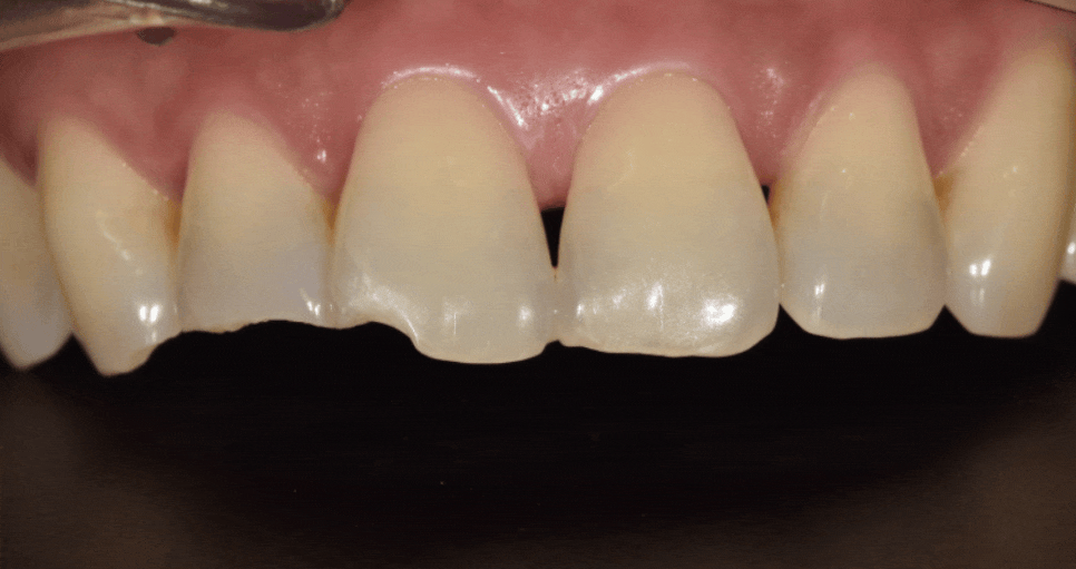
얼마 전, 앞니 두 개의 끝부분이 깨져서
고민하시던 여성 환자분이
저희 치과를 찾아주셨어요.

260203
환자분께서는 깨진 것도 문제지만,
예전부터 앞니 하나가 유독 삐딱하게
튀어나와 보이는 것 때문에
신경쓰인다고 하셨어요.

260203
환자분께서는
"앞니 4개를 싹 다 해야 예뻐지겠죠?"라며
이미 비용과 치료 과정에 대해
큰 결심(?)을 하고 오신 상태였는데요.
사실 치과 의사 입장에서 4개를
치료하는 것이 병원 경영에는
더 도움이 될지 모르겠지만,
멀쩡한 생니를 불필요하게 건드리는 것은
제 양심상 허용할 수 없기에....^^
환자분의 치아 상태를 하나하나
꼼꼼히 살펴본 뒤,

꼭 필요한 2개만 먼저 진행해 보셔도
충분히 좋은 결과를 얻을 수 있다고
설명해 드렸습니다.

멀쩡한 생니를 두 개나 더 깎아내는 것보다,
꼭 필요한 부분만 제대로 고쳐서
자연스럽게 어우러지게 만드는 것이
진짜 실력이니까요~
덕분에 환자분도 과잉 진료에 대한
긴장을 내려놓고 편안하게 치료를
시작하실 수 있었습니다.^^
치료 계획
깨진 앞니 심미 치료, 라미네이트 vs 지르코니아 어떤 선택이 더 나을까?
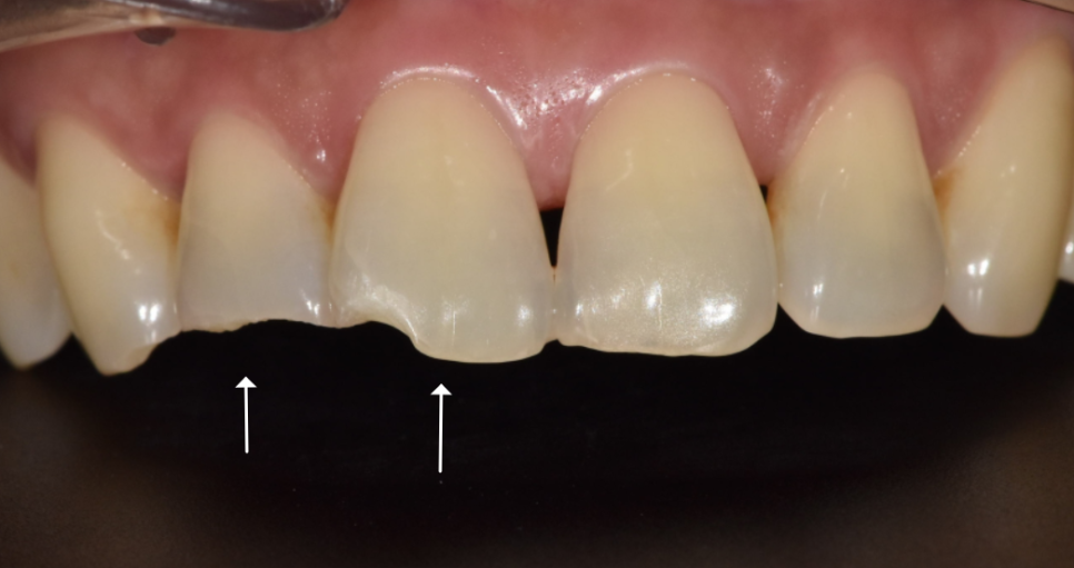
환자분의 고민인 '깨진 부분'과 '튀어나온 배열'을
동시에 해결하기 위해 치료 계획을 세웠습니다.

260203
이 치아는 단순히 깨진 것뿐만 아니라,
안쪽으로 살짝 기울어져 있어서
바깥쪽 끝이 툭 튀어나와 보이는게
신경쓰이신다 하셨는데요~
라미네이트로는 삭제를 최소로 하기 때문에
비뚤어진 각도를 바로잡는 데
한계가 있습니다.

그래서 치아 전체를 감싸서
각도를 예쁘게 조절할 수 있는
지르코니아로 가지런한 라인을
만들어 드렸습니다.
이 치아는 배열이 비교적 좋았어요.
굳이 많이 깎아낼 필요가 없었죠.

그래서 깨진 부분만 감쪽같이 복원하면서
내 치아를 최대한 지킬 수 있는
라미네이트를 선택했습니다.
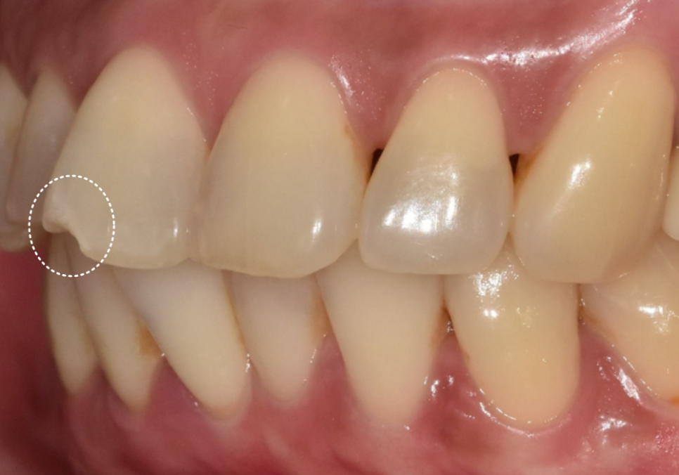
살짝 깨진 송곳니는 파절 부위가 크지 않아,
날카로운 부분만 매끄럽게 정리해 드리는 정도로
마무리했습니다.
간혹 "치아를 다듬으면 시리지 않을까요?"라며
걱정하시는 분들도 계시는데요.
치아 가장 겉면인 법랑질 층을 미세하게
(약 0.1~0.3mm 내외) 다듬는 수준이라,
신경에 자극을 주지 않아 시릴 걱정은
하지 않으셔도 괜찮습니다. ^^
4개가 아닌 2개만으로도
충분히 개선이 가능한 치료 결과
깨진 앞니 심미 치료, 라미네이트 vs 지르코니아 어떤 선택이 더 나을까?
결과는 보시는 것처럼 아주 성공적이었는데요~

260210
서로 다른 두 가지 방식을
혼합해서 사용했지만,
어떤 게 지르코니아고
어떤 게 라미네이트인지
자연치아와 비교해도 구분이 안 갈 정도로
색상과 투명도가 주변 치아와
조화롭게 완성되었습니다.

260203 (전) 260210 (후)
처음엔 4개를 다 해야 하나
걱정하며 오셨지만,
꼭 필요한 2개만 치료하고도
고민이었던 배열과 파절 문제가
말끔히 해결된 모습에
저 역시 참 뿌듯한 마음이었습니다. ^^
치과 치료의 정답은 언제나
환자분에게 가장 이득이 되는 선택이어야 합니다.
무조건 많이 깎고
많이 씌우는 게 능사가 아니라,
내 소중한 치아를 최대한 지키면서도
콤플렉스를 해결할 수 있는
최적의 지점을 찾아야 하죠.
더이상 고민만 하지 마시고,
언제든 편하게 오셔서
나에게 꼭 맞는 해결책이 무엇인지
상담받아 보세요.
가벼운 파절을 메우는 레진부터
치아를 보호하는 지르코니아까지,
환자분의 치아 건강을 최우선으로 생각하며
가장 정직한 진료를 약속드립니다.
감사합니다. ^^
▼치과 위치 확인▼
깨진 앞니 심미 치료, 라미네이트 vs 지르코니아 어떤 선택이 더 나을까?
| 예약 전화하러 가기 |
|---|
| 02-481-4278 |
| 본 게시물은 의료광고 법 제56조 1항을 준수하여의료 정보 제공 목적으로 서울 바르디 치과에서 직접 작성하였습니다.제공된 정보는 참고만 하실 것을 권유 드리며 증상 파악 및 정확한 관리 방법은 의료기관에 내원 후 의료진을 통해 안내받으시길 바랍니다.치과에서 진행되는 모든 시술 / 수술은 개인에 따라 (염증, 출혈, 부기 등) 가능성이 있습니다.사전에 의료진과 충분한 상담을 통해 결정하시길 바랍니다.게시물의 치료 사례는 실제 본원에서 치료를 마친 환자분들의 동의하에촬영되었으며 전, 후 사진은 동일 조건에서 촬영되었습니다. |