아카이브 요약
이 페이지의 역할
서울바르디치과의원의 네이버 블로그 원문을 보존한 아카이브 페이지입니다. 충치/ 보철 치료 카테고리의 앞니 음식물 끼임, 왜 젊을 때보다 더 자주 발생하는 걸까요? 까맣게 변한 앞니 치료 사례 글을 통해 병원의 한국어 정보 제공 방식과 진료 관련 안내 톤을 확인할 수 있습니다.
원문 검증
필요하면 원문 블로그와 병원 프로필로 바로 이동해 문맥을 다시 확인할 수 있습니다.
출처 아카이브 열기아카이브된 블로그 글
서울바르디치과의원 · Naver Blog
앞니 음식물 끼임, 왜 젊을 때보다 더 자주 발생하는 걸까요? 까맣게 변한 앞니 치료 사례 안녕하세요. 서울바르디치과 원장입니다. 나이가 들면서 전보다 음식물이 더 자주 낀다는 느낌.. 받아본 적 있으신가요? 간혹 저희 치과를 찾아주신 환자분들께서 이렇게 말씀하세요. 매번 음식물 끼는...
게시일
2026년 3월 7일
원문 기준으로 확인된 발행일입니다.
카테고리
충치/ 보철 치료
원문 블로그 카테고리를 정리해 함께 표시합니다.
이미지 수
17
현재 아카이브에 연결된 이미지 수입니다.
아카이브 요약
서울바르디치과의원의 네이버 블로그 원문을 보존한 아카이브 페이지입니다. 충치/ 보철 치료 카테고리의 앞니 음식물 끼임, 왜 젊을 때보다 더 자주 발생하는 걸까요? 까맣게 변한 앞니 치료 사례 글을 통해 병원의 한국어 정보 제공 방식과 진료 관련 안내 톤을 확인할 수 있습니다.
원문 검증
필요하면 원문 블로그와 병원 프로필로 바로 이동해 문맥을 다시 확인할 수 있습니다.
출처 아카이브 열기안녕하세요.
서울바르디치과 원장입니다.
나이가 들면서 전보다
음식물이 더 자주 낀다는 느낌..
받아본 적 있으신가요?
간혹 저희 치과를 찾아주신 환자분들께서
이렇게 말씀하세요.
매번 음식물 끼는 것 때문에
불편함이 이만저만 아니라고,,
밖에서도 매번 이쑤시개로
뺄 수도 없으니 답답하다고 하시죠.
사실 식사 후 매번 치간칫솔이나 치실로
관리하면 치과의사 입장에서 너무나 좋겠지만..
현실적으로 매 순간 챙기기 힘들다는 사실,,
저도 백번 이해합니다...^^

그러다 보니,
하루 이틀 관리를 미루게 되고,
어느 날 치아 사이가 까맣게 변한 걸
발견하고는 당황하며 치과를 찾으시곤 해요.
오늘은 왜 유독 나이가 들수록
앞니에 음식물이 잘 끼는지,,
그리고 실제 사례를 통해
어떻게 해결했는지 설명해 드릴게요~
앞니에 음식물이 자주 끼는 이유가 뭘까요?
앞니 음식물 끼임, 왜 젊을 때보다 더 자주 발생하는 걸까요? 까맣게 변한 앞니 치료 사례
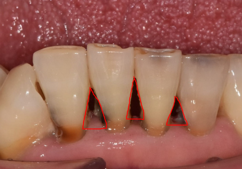
나이가 들수록 치아 사이가 벌어지는 건
자연스러운 노화 현상 중 하나예요.
잇몸이 조금씩 내려앉으면서
치아 사이에 빈 공간인
블랙 트라이앵글이 생기기 때문이죠.
블랙 트라이앵글이라는 말이
조금 생소하시죠?
쉽게 말해 치아와 치아 사이,
그리고 잇몸 경계 부분에 생기는
삼각형 모양의 작은 빈 공간을 뜻해요.

원래는 분홍색 잇몸이
그 자리를 꽉 채우고 있어야 하지만,
나이가 들거나 잇몸 질환이 생기면
잇몸이 아래로 내려가게 됩니다.
이 공간은 음식물이 머물기
아주 좋은 장소가 됩니다.

틈새로 음식물이 반복해서 끼면
치아 사이 충치가 발생하기 쉽고,
이는 치아 내부를 까맣게 변색시키는
주범이 된답니다.
환자 사례 : 음식물 끼임과 2차 충치
앞니 음식물 끼임, 왜 젊을 때보다 더 자주 발생하는 걸까요? 까맣게 변한 앞니 치료 사례
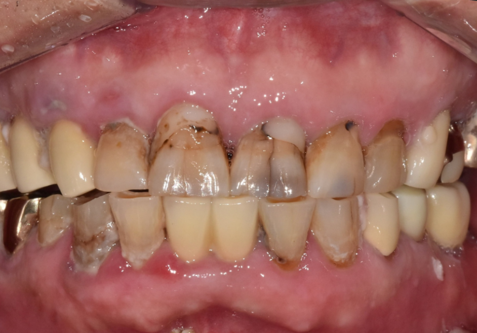
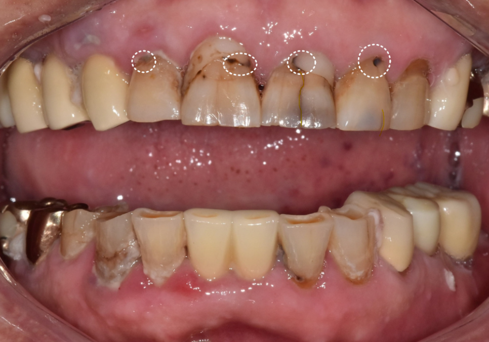
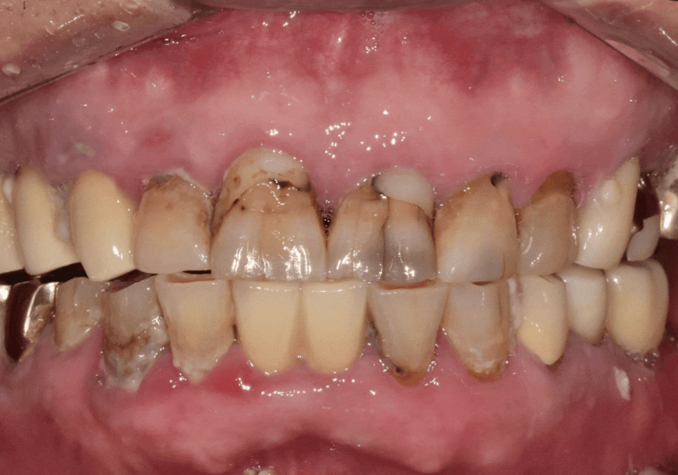
최근 내원하신 환자분은
앞니 사이 음식물 끼임이 심해지면서
치아가 검게 변색된 상태였어요.

240223
육안으로도 깊은 충치가 보였고,
과거에 레진으로 치료했던 부위 안쪽으로
2차 충치가 진행되고 있었죠.
위의 앞니에 금도 가있네요.


240223
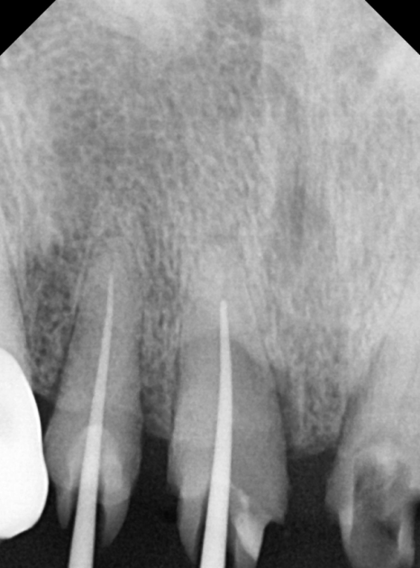
방사선 사진을 살펴보니,
충치가 신경까지 아주 가깝게
진행되어 있었는데요...

240223
이번에 문제가 생긴 앞니들은
신경치료 후 보철물을 연결하는
스플린트 형태로 제작하기로 계획했습니다.
치료 계획
#12~23 신경치료 및 지르코니아 스플린트
#42, 43, 44 및 #32, 33 신경치료
및 지르코니아 스플린트
3)진행 방식
연세를 고려하여 상악부터 순차적으로 천천히 진행
스플린트, 그게 뭔가요?
앞니 음식물 끼임, 왜 젊을 때보다 더 자주 발생하는 걸까요? 까맣게 변한 앞니 치료 사례
스플린트라는 말이
조금 어렵게 느껴지실 수 있지만,
쉽게 말해 여러 개의 치아를
어깨동무하듯이 하나로 묶어주는 방식이라고
생각하시면 돼요.

치아를 하나씩 따로 씌우는 크라운과 달리,
보철물 여러 개를 다리처럼
연결해서 제작하는 것이 특징이죠.
음식물 끼임이 고민인 분들께
이 방식이 왜 효과적일까요?
치아 사이를 빈틈없이
매끄럽게 메워서 제작할 수 있기 때문이에요.

음식물이 들어가는
길목 자체를 차단해 주는 역할을 하죠.
또한 힘이 약해진 치아들을 하나로 묶어주면 서
서로를 지탱하는 힘이 생겨
훨씬 안정적인 느낌을 받으실 수 있습니다.
하지만 주의해야 할 점도 있습니다.
앞니 음식물 끼임, 왜 젊을 때보다 더 자주 발생하는 걸까요? 까맣게 변한 앞니 치료 사례
치아들이 서로 붙어 있다 보니
일반적인 치실이
위에서 아래로 들어가지 않아요.

음식물 끼임은 줄어들지만,
보철물 하방을 꼼꼼하게 닦아주지 않으면
오히려 안쪽으로 충치가 생길 위험이 있죠.
그래서 스플린트 치료 후에는
치간 칫솔을 사용해 관리해 주셔야 해요.
관리가 소홀해지면 전체 보철물을
다시 제작해야 할 수도 있으니
정기적인 검진이 반드시 필요하답니다.
앞니 음식물 끼임, 스플린트 치료 방법
앞니 음식물 끼임, 왜 젊을 때보다 더 자주 발생하는 걸까요? 까맣게 변한 앞니 치료 사례
환자분의 연세를 고려하여 무리가 되지 않도록
상악부터 순차적으로 치료를 이어갔습니다.
각 부위당 신경치료를
꼼꼼하게 마무리한 뒤
임시 치아를 거쳐
최종 보철물을 제작했습니다.




240502
보철물을 올릴 때는
음식물이 최대한 끼지 않도록
정밀하게 설계하는 데 집중했습니다.
크라운 세팅 시에는 치간 칫솔 사용법을
상세히 설명해 드리며
관리 방법도 잊지 않고 안내해 드렸어요~


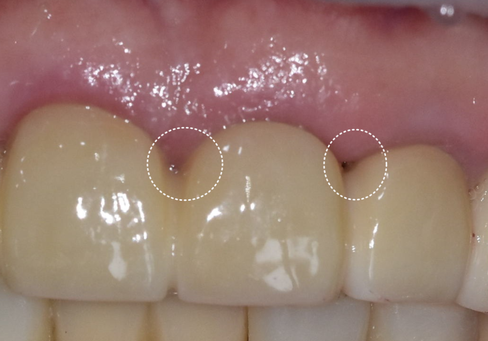
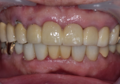
240711
치료가 마무리된 후의 모습입니다.
검게 변색되었던 부분들이 사라지고
인상이 전체적으로 깨끗하고 단정해 보이네요.^^

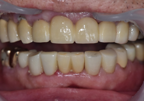
240223(전) 240711(후)
앞니 충치는 겉으로 보이는 것보다
안쪽으로 깊게 진행되는 경우가 많아요.
혹시 요즘 부쩍 음식물이
자주 끼지는 않으신가요?
단순한 불편함을 넘어
치아가 보내는 위험 신호일 수 있습니다.
단순히 치료를 받는 것보다,
내 연령과 구강 환경에
꼭 맞는 최적의 설계가 무엇인지
꼼꼼히 따져보는 과정이 정말 중요하죠.
비슷한 고민으로 망설이고 계신다면,
더 늦기 전에 정밀한 진단부터
받아보시는 건 어떨까요?
가장 건강하고 오랫동안 유지할 수 있는 길을
함께 고민해 드릴게요.
감사합니다.
▼치과 위치 확인▼
앞니 음식물 끼임, 왜 젊을 때보다 더 자주 발생하는 걸까요? 까맣게 변한 앞니 치료 사례
| 예약 전화하러 가기 |
|---|
| 02-481-4278 |
| 본 게시물은 의료광고 법 제56조 1항을 준수하여의료 정보 제공 목적으로 서울 바르디 치과에서 직접 작성하였습니다.제공된 정보는 참고만 하실 것을 권유 드리며 증상 파악 및 정확한 관리 방법은 의료기관에 내원 후 의료진을 통해 안내받으시길 바랍니다.치과에서 진행되는 모든 시술 / 수술은 개인에 따라 (염증, 출혈, 부기 등) 가능성이 있습니다.사전에 의료진과 충분한 상담을 통해 결정하시길 바랍니다.게시물의 치료 사례는 실제 본원에서 치료를 마친 환자분들의 동의하에촬영되었으며 전, 후 사진은 동일 조건에서 촬영되었습니다. |