아카이브 요약
이 페이지의 역할
서울바르디치과의원의 네이버 블로그 원문을 보존한 아카이브 페이지입니다. 3D 네비게이션 임플란트 카테고리의 아스피린 복용 중인데 임플란트 수술, 가능할까요? 아스피린 얼마나 끊어야 하나요? 글을 통해 병원의 한국어 정보 제공 방식과 진료 관련 안내 톤을 확인할 수 있습니다.
원문 검증
필요하면 원문 블로그와 병원 프로필로 바로 이동해 문맥을 다시 확인할 수 있습니다.
출처 아카이브 열기아카이브된 블로그 글
서울바르디치과의원 · Naver Blog
아스피린 복용 중인데 임플란트 수술, 가능할까요? 아스피린 얼마나 끊어야 하나요? 안녕하세요. 서울바르디치과 원장입니다. 고혈압이나 협심증, 심근경색 혹은 뇌혈관 질환 예방을 위해 아스피린을 장기 복용하시는 분들이 참 많으시죠. 이런 분들이 임플란트 수술을 앞두게 되면 가장 먼저...
게시일
2026년 3월 8일
원문 기준으로 확인된 발행일입니다.
카테고리
3D 네비게이션 임플란트
원문 블로그 카테고리를 정리해 함께 표시합니다.
이미지 수
10
현재 아카이브에 연결된 이미지 수입니다.
아카이브 요약
서울바르디치과의원의 네이버 블로그 원문을 보존한 아카이브 페이지입니다. 3D 네비게이션 임플란트 카테고리의 아스피린 복용 중인데 임플란트 수술, 가능할까요? 아스피린 얼마나 끊어야 하나요? 글을 통해 병원의 한국어 정보 제공 방식과 진료 관련 안내 톤을 확인할 수 있습니다.
원문 검증
필요하면 원문 블로그와 병원 프로필로 바로 이동해 문맥을 다시 확인할 수 있습니다.
출처 아카이브 열기안녕하세요.
서울바르디치과 원장입니다.
고혈압이나 협심증, 심근경색
혹은 뇌혈관 질환 예방을 위해
아스피린을 장기 복용하시는 분들이
참 많으시죠.
이런 분들이 임플란트 수술을
앞두게 되면 가장 먼저 하시는 걱정이 있습니다.
약을 먹고 있는데 수술을 할 수 있을지,
혹은 출혈이 멈추지 않으면 어떡할지,
고민하시곤 하는데요.
오늘은 아스피린 복용 중
안전하게 임플란트를 진행하는 방법과
중단 기간에 대해 자세히 설명해 드릴게요.
아스피린 복용,
치과 수술에서 왜 중요할까요?
아스피린 복용 중인데 임플란트 수술, 가능할까요? 아스피린 얼마나 끊어야 하나요?
아스피린은 혈소판의 기능을 억제해서
혈전이 생기는 것을 막아주는 항혈전제예요.
혈관이 막히는 것을 예방해 주는
고마운 약이지만,,
반대로 상처가 났을 때
피가 굳는 속도를 늦추기도 합니다.

잇몸을 절개하거나
치아를 뽑아야 하는 치과 수술에서
지혈이 늦어지면 수술 후 회복에
지장을 줄 수 있기 때문에 더욱 신중해야 하죠.
그렇다고 해서 환자분이 스스로 판단해
약을 끊는 것은 매우 위험해요.
약을 임의로 중단하면
원래 관리하던 심혈관 질환이
악화될 수 있기 때문입니다.
안전하게 수술하기 위해서는
그래서 저희는 담당 내과 전문의에게
수술이 가능한 상태인지 확인하는 과정을 거칩니다.
사실 환자분 입장에서는
조금은 번거롭고 귀찮게 느껴지실 수도 있어요.
하지만 그 짧은 수고가 수술 중
발생할 수 있는 혹시 모를 위험을
막아주는 가장 확실한 안전장치가 됩니다.
조금 돌아가는 것처럼 느껴지실 수 있지만,,
환자분의 안전보다 우선하는 가치는 없기에
번거로우시더라도
너그러운 마음으로 함께해 주시길 부탁드려요.^^
아스피린 중단 기간은?
일반적으로는 수술 전
최소 5일에서 7일 정도 중단을 권장하지만,,
개인의 수술 범위나 건강 상태에 따라
이 기간은 유동적으로 조절될 수 있어요.
아스피린 복용 중인 환자분, 임플란트 사례
아스피린 복용 중인데 임플란트 수술, 가능할까요? 아스피린 얼마나 끊어야 하나요?
최근 저희 치과를 찾으신 환자분께서도
고혈압으로 아스피린을 오래 복용하고 계셨어요.

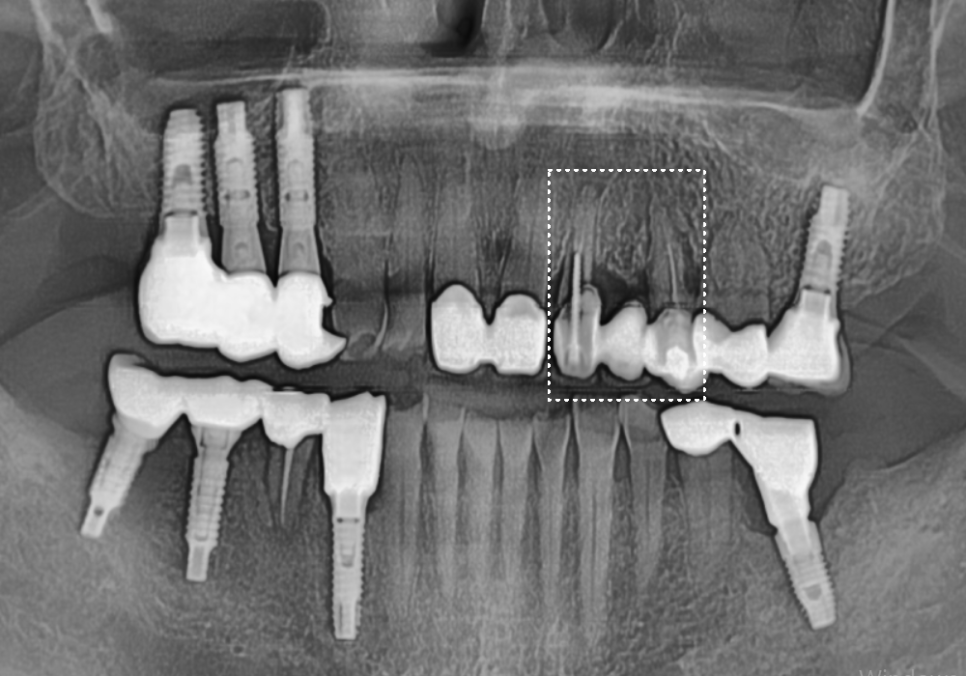
231005
위쪽 앞니 브릿지(#22~24) 부위가
심하게 흔들려서 내원하셨는데요...
검사를 해보니 동요도가 3도
이상인 상태였습니다.
동요도 3도라는 수치가
어느 정도인지 궁금하시죠?

231005
치아가 앞뒤나 좌우로만 움직이는 단계를 넘어,,
위아래로 꾹 눌렀을 때
잇몸 속으로 쑥 들어갔다 나올 정도로
심하게 흔들리는 상태를 말합니다.
거의 잇몸뼈가 치아 뿌리를 잡아주지 못하고
떠 있는 상태라고 이해하시면 쉬워요.

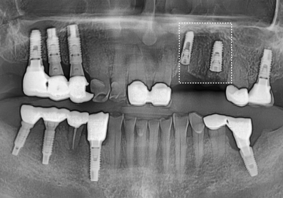
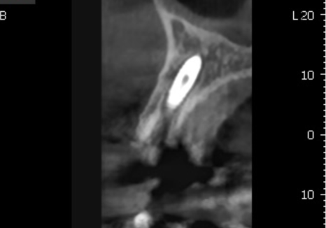
231011
방사선 사진을 확인하니
치아 뿌리 끝에 염증이 크게 번져
주변 잇몸뼈를 많이 녹인 상태였습니다.

231011
결국 발치 후 뼈이식을 동반한
임플란트 수술이 불가피했죠.
아스피린을 드시는 분들은
지혈이 무엇보다 중요하기 때문에
수술 횟수를 최소화하는 것이 좋습니다.
발치 따로,
임플란트 식립 따로 진행하게 되면
아스피린을 두 번이나 끊어야 하는
번거로움과 위험이 따르기 때문이죠.
그래서 저희는 담당의의 소견을 확인하여
5일간 약을 중단한 뒤,
발치 후 즉시 식립을 진행하기로 했습니다.

231124
수술 부위의 염증을
최대한 깔끔하게 긁어내고,
그 자리에 바로 뼈이식과 임플란트를 심어드려
외과적 수술을 단 한 번으로 끝내 드렸습니다.
내비게이션 임플란트가 더 안전한 이유
아스피린 복용 중인데 임플란트 수술, 가능할까요? 아스피린 얼마나 끊어야 하나요?
출혈에 예민한 분들일수록
저희는 내비게이션 임플란트를
적극적으로 활용합니다.
수술 전에 3D 데이터를 바탕으로
컴퓨터상에서 가상 수술을 먼저 진행해요.

위험한 신경이나 혈관 위치를
미리 파악하고 피할 수 있어 훨씬 안전합니다.
정확한 길을 미리 알고 있기 때문에
잇몸을 넓게 열지 않습니다.
작은 구멍만 내어 심을 수 있어 출혈이 적고,
당연히 수술 후 붓기나 통증도
눈에 띄게 줄어들게 됩니다.
수술 후 경과와 보철 완성
아스피린 복용 중인데 임플란트 수술, 가능할까요? 아스피린 얼마나 끊어야 하나요?
수술 당일 지혈이 잘 되는지
꼼꼼하게 확인해 드린 후 귀가하셨고,
다음 날 소독을 받으러 오셨을 때도
다행히 지혈이 아주 깔끔하게 된 모습이었습니다.


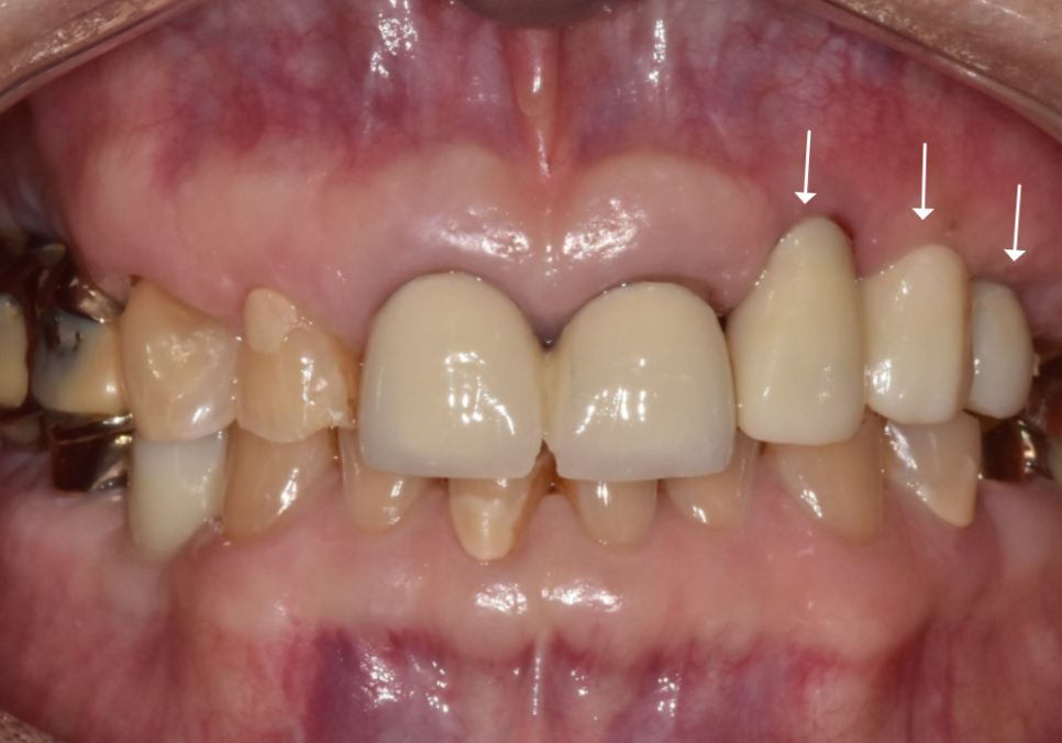
240202
그 후 4개월이 지나, 임플란트 뿌리와 뼈가
단단하게 굳은 것을 확인한 뒤,
지르코니아로 보철물을 올려드려
치료를 마무리했습니다.

240321
아스피린을 복용 중이라
수술이 망설여지시나요?
중요한 것은 약을 끊는 결단보다,
환자분의 전신 건강 상태를
면밀히 파악하고 출혈을 최소화할 수 있는
정교한 수술 계획을 세우는 것입니다.
비슷한 고민으로 치료를 미루고 계신다면
내 몸에 가장 안전하고 바른 방법이
무엇인지 함께 고민해 드릴게요.
감사합니다.^^
▼치과 위치 확인▼
아스피린 복용 중인데 임플란트 수술, 가능할까요? 아스피린 얼마나 끊어야 하나요?
| 예약 전화하러 가기 |
|---|
| 02-481-4278 |
| 본 게시물은 의료광고 법 제56조 1항을 준수하여의료 정보 제공 목적으로 서울 바르디 치과에서 직접 작성하였습니다.제공된 정보는 참고만 하실 것을 권유 드리며 증상 파악 및 정확한 관리 방법은 의료기관에 내원 후 의료진을 통해 안내받으시길 바랍니다.치과에서 진행되는 모든 시술 / 수술은 개인에 따라 (염증, 출혈, 부기 등) 가능성이 있습니다.사전에 의료진과 충분한 상담을 통해 결정하시길 바랍니다.게시물의 치료 사례는 실제 본원에서 치료를 마친 환자분들의 동의하에촬영되었으며 전, 후 사진은 동일 조건에서 촬영되었습니다. |