아카이브 요약
이 페이지의 역할
서울바르디치과의원의 네이버 블로그 원문을 보존한 아카이브 페이지입니다. 3D 네비게이션 임플란트 카테고리의 천호 디지털 가이드 임플란트, 일반 임플란트와 무슨 차이가 있나요? 글을 통해 병원의 한국어 정보 제공 방식과 진료 관련 안내 톤을 확인할 수 있습니다.
원문 검증
필요하면 원문 블로그와 병원 프로필로 바로 이동해 문맥을 다시 확인할 수 있습니다.
출처 아카이브 열기아카이브된 블로그 글
서울바르디치과의원 · Naver Blog
천호 디지털 가이드 임플란트, 일반 임플란트와 무슨 차이가 있나요? 안녕하세요. 서울바르디치과 원장입니다. 보통 임플란트 상담을 오시면 어떤 브랜드를 쓰는지, 얼마나 좋은 재료인지를 먼저 물어보시곤 합니다. 물론 브랜드나 재료도 중요하지만, 치과의사의 관점에서 임플란트의 성공을...
게시일
2026년 3월 10일
원문 기준으로 확인된 발행일입니다.
카테고리
3D 네비게이션 임플란트
원문 블로그 카테고리를 정리해 함께 표시합니다.
이미지 수
15
현재 아카이브에 연결된 이미지 수입니다.
아카이브 요약
서울바르디치과의원의 네이버 블로그 원문을 보존한 아카이브 페이지입니다. 3D 네비게이션 임플란트 카테고리의 천호 디지털 가이드 임플란트, 일반 임플란트와 무슨 차이가 있나요? 글을 통해 병원의 한국어 정보 제공 방식과 진료 관련 안내 톤을 확인할 수 있습니다.
원문 검증
필요하면 원문 블로그와 병원 프로필로 바로 이동해 문맥을 다시 확인할 수 있습니다.
출처 아카이브 열기안녕하세요.
서울바르디치과 원장입니다.
보통 임플란트 상담을 오시면
어떤 브랜드를 쓰는지,
얼마나 좋은 재료인지를
먼저 물어보시곤 합니다.
물론 브랜드나 재료도 중요하지만,
치과의사의 관점에서 임플란트의 성공을
결정짓는 진짜 핵심은 따로 있습니다.
오늘은 디지털 기술을 통해
어떻게 가장 안전한 길을 찾아내는지
실제 환자분의 사례를 통해 자세히 들려드릴게요.
임플란트, 브랜드보다 더 중요한 것은?
천호 디지털 가이드 임플란트, 일반 임플란트와 무슨 차이가 있나요?
많은 분이 비싸고 좋은 재료를 쓰면
결과도 무조건 좋을 거라 믿으시지만,
사실 임플란트에서 가장 중요한 것은
어느 위치에, 어떤 각도로 심는가
하는 점이에요.

아무리 훌륭한 브랜드 제품이라도
잘못된 위치에 심어지면
결국 문제가 생길 수밖에 없거든요.
임플란트가 한 번 잘못된 위치에 자리를 잡으면,
이후에 씹는 힘이 골고루 분산되지 않아
교합이 어긋나거나
보철물이 자꾸 깨지는 일이 발생합니다.
심한 경우,
임플란트 주변 잇몸에 염증이 반복되어
어렵게 심은 임플란트를
다시 뽑아야 하는 상황이 오기도 하죠.

결국 임플란트의 수명은 재질보다
진단과 계획이 좌우한다고 해도 과언이 아닙니다.
디지털 가이드 임플란트와
일반 임플란트의 차이
천호 디지털 가이드 임플란트, 일반 임플란트와 무슨 차이가 있나요?
과거의 일반적인 임플란트 방식은
의료진의 경험과 2차원적인 엑스레이에
의존해 식립 위치를 결정하는 경우가 많았어요.

숙련된 의사라면 충분히
좋은 결과를 낼 수 있겠지만,
사람이 하는 일이다보니...
복잡한 골 구조나 신경의 위치를
완벽하게 파악하기에는
오차 가능성이 존재할 수 밖에 없는데요~
반면 디지털 가이드(네비게이션) 방식은
3D CT와 구강 스캐너 데이터를 결합해
컴퓨터상에서 미리 모의 수술을 해보는 방식이에요.

이를 통해 임플란트가 들어갈
최적의 경로를 찾고,
그 길을 그대로 안내해주는
서지컬 가이드라는 맞춤형 틀을 제작하게 됩니다.

또한 잇몸을 크게 절개하지 않고
작은 구멍만 내어 수술할 수 있기 때문에
출혈이나 부기,통증이 적어
회복이 빠르다는 점이 가장 큰 차이점입니다.
디지털 가이드 임플란트로 재건한 환자 사례
천호 디지털 가이드 임플란트, 일반 임플란트와 무슨 차이가 있나요?
최근 저희 치과를 찾으신
환자분의 사례를 통해
디지털 가이드의 강점을
더 심도 있게 설명해 드릴게요.
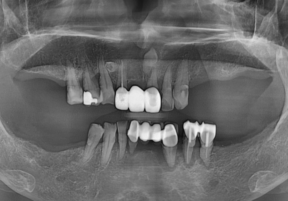
이분은 위아래 부분 틀니를
오랫동안 사용해오셨는데,
어느 순간부터 아래 틀니가 자꾸 들썩거리며
씹는 게 불편하다며 내원하셨어요.
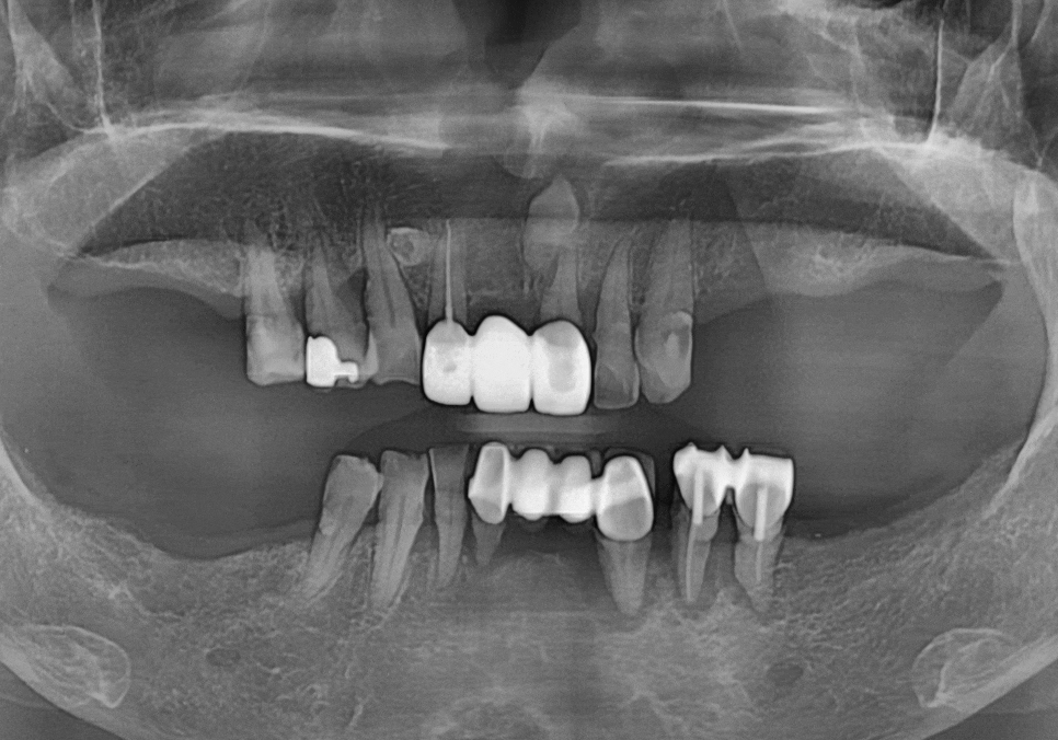
검사 결과, 틀니를 지탱해주던
남은 치아 9개 중 무려 6개가
잇몸 질환으로 인해 심하게 흔들리고 있었습니다.

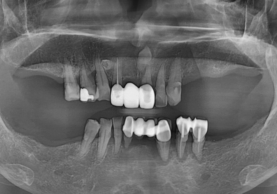
231023
지지대가 무너졌으니
틀니가 제 역할을 못 하는 것은 당연하겠죠~
환자분과 상의 끝에 안 좋은 치아들을 정리하고
디지털 가이드를 활용해
총 7대의 임플란트를 심어
아래 전체 치아를 재건하기로 했습니다.
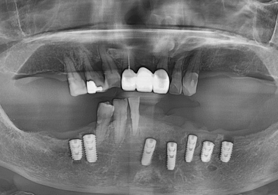
이 환자분 케이스에서 가장 중요했던 점은
아래턱을 지나는 하치조 신경을
완벽히 피하는 것인데요.

만약 임플란트가 이 신경을 조금이라도 건드리면
안면 마비나 감각 이상 같은
심각한 부작용이 생길 수 있기 때문에
주의해야 하는 구조물 중 하나입니다.
일반적인 방식이었다면
의사의 감각에 의존해 신경관과의 거리를
가늠하며 조심스럽게 심었겠지만...

231103
저희는 디지털 시스템을 활용하여
3D 데이터를 통해 신경의 위치를 미리 파악하고,
잇몸뼈가 가장 튼튼한 곳을 골라
최적의 각도로 설계를 마쳤습니다.
수술 과정
미리 만든 가이드를
입안에 고정하고 수술을 진행하니,
계획했던 위치와 깊이에 맞춰 임플란트 7개가
안정적으로 자리를 잡았습니다.

231103
심어야 할 개수가 많고 잇몸뼈 상태도
좋지 않은 어려운 조건이었지만,
가이드 덕분에 이미 정해진 위치에
오차 없이 신속하게 마무리할 수 있었습니다.

231103
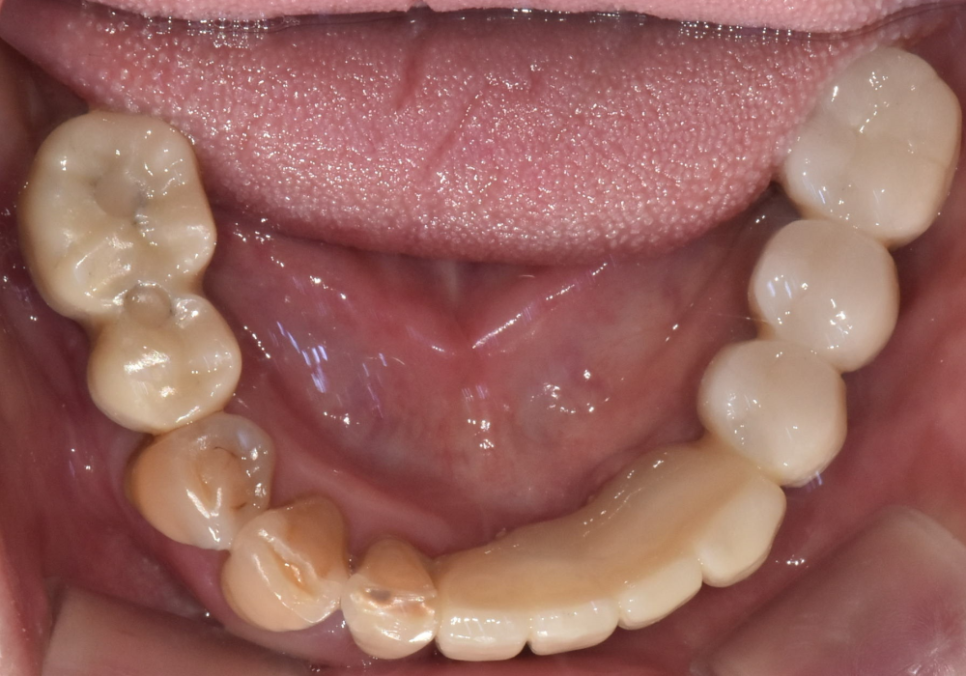
구강 스캐너로 더 편안해진 보철 과정
천호 디지털 가이드 임플란트, 일반 임플란트와 무슨 차이가 있나요?
임플란트가 뼈와 단단히 붙은 것을
확인한 뒤에는 마지막 치아 모양을
만드는 과정을 진행했어요.
이때도 입안 가득 고무 같은 재료를 넣고
굳을 때까지 참아야 하는
번거로운 본뜨기 대신
구강 스캐너를 사용했습니다.

240229
카메라로 가볍게 훑기만 해도
정밀한 데이터가 얻어지니
환자분께서도 이물감 없이 무척 편안해하셨어요.


240229
구강스캐너로 본 뜬 스캔 데이터를 통해
컴퓨터로 정밀한 보철물을 설계합니다.

240514
덕분에 재제작없이
보철이 완성되었네요^^

231023(전) 240514(후)
틀니가 불편해서 고민이시거나
수술의 두려움 때문에 미루고 계셨나요?
디지털 임플란트는 이처럼
단순히 기계를 사용하는 시술이 아니라,
보이지 않는 위험 요소를 미리 피하고
환자 맞춤형 치료를 실현하는
가장 안전한 시스템입니다.
틀니가 불편해서 고민이시거나
수술의 두려움 때문에 미루고 계셨나요?
정밀한 진단을 통해 나에게 가장 안전하고
적합한 치료 계획을 함께 찾아봐드릴게요.
오늘도 긴 글 읽어주셔서 감사합니다.^^
▼치과 위치 확인▼
천호 디지털 가이드 임플란트, 일반 임플란트와 무슨 차이가 있나요?
| 예약 전화하러 가기 |
|---|
| 02-481-4278 |
| 본 게시물은 의료광고 법 제56조 1항을 준수하여의료 정보 제공 목적으로 서울 바르디 치과에서 직접 작성하였습니다.제공된 정보는 참고만 하실 것을 권유 드리며 증상 파악 및 정확한 관리 방법은 의료기관에 내원 후 의료진을 통해 안내받으시길 바랍니다.치과에서 진행되는 모든 시술 / 수술은 개인에 따라 (염증, 출혈, 부기 등) 가능성이 있습니다.사전에 의료진과 충분한 상담을 통해 결정하시길 바랍니다.게시물의 치료 사례는 실제 본원에서 치료를 마친 환자분들의 동의하에촬영되었으며 전, 후 사진은 동일 조건에서 촬영되었습니다. |