아카이브 요약
이 페이지의 역할
서울바르디치과의원의 네이버 블로그 원문을 보존한 아카이브 페이지입니다. 3D 네비게이션 임플란트 카테고리의 대문니 빠짐, 앞니 빠졌을 때 브릿지와 임플란트 중 나에게 맞는 선택은? 글을 통해 병원의 한국어 정보 제공 방식과 진료 관련 안내 톤을 확인할 수 있습니다.
원문 검증
필요하면 원문 블로그와 병원 프로필로 바로 이동해 문맥을 다시 확인할 수 있습니다.
출처 아카이브 열기아카이브된 블로그 글
서울바르디치과의원 · Naver Blog
대문니 빠짐, 앞니 빠졌을 때 브릿지와 임플란트 중 나에게 맞는 선택은? 안녕하세요, 서울바르디치과 원장입니다. 앞니가 빠지거나 부러지면 굉장히 당황스러울 수밖에 없습니다. 특히, 앞니는 첫인상을 결정하는 아주 중요한 부위라 치료 방법 결정에 신중해야 하는데요. 오늘은 앞니 상실 시 고민하...
게시일
2026년 3월 11일
원문 기준으로 확인된 발행일입니다.
카테고리
3D 네비게이션 임플란트
원문 블로그 카테고리를 정리해 함께 표시합니다.
이미지 수
18
현재 아카이브에 연결된 이미지 수입니다.
아카이브 요약
서울바르디치과의원의 네이버 블로그 원문을 보존한 아카이브 페이지입니다. 3D 네비게이션 임플란트 카테고리의 대문니 빠짐, 앞니 빠졌을 때 브릿지와 임플란트 중 나에게 맞는 선택은? 글을 통해 병원의 한국어 정보 제공 방식과 진료 관련 안내 톤을 확인할 수 있습니다.
원문 검증
필요하면 원문 블로그와 병원 프로필로 바로 이동해 문맥을 다시 확인할 수 있습니다.
출처 아카이브 열기안녕하세요,
서울바르디치과 원장입니다.
앞니가 빠지거나 부러지면
굉장히 당황스러울 수밖에 없습니다.
특히, 앞니는 첫인상을 결정하는
아주 중요한 부위라
치료 방법 결정에 신중해야 하는데요.
오늘은 앞니 상실 시
고민하게 되는 브릿지와 임플란트의 차이,
그리고 디지털 기술을 활용한
임플란트 사례를 들려드릴게요.
앞니 빠졌을 때, 브릿지와 임플란트,
뭐가 더 좋을까요?
대문니 빠짐, 앞니 빠졌을 때 브릿지와 임플란트 중 나에게 맞는 선택은?
보통 앞니를 잃게 되면
양옆의 치아를 깎아서
다리처럼 연결하는 브릿지와,
비어있는 공간에만 기둥을 심는
임플란트 사이에서 고민을 많이 하세요.
이때 가장 중요하게 보아야 할 것이
바로 주변 치아의 건강 상태입니다.

브릿지는 멀쩡한 인접 치아를
깎아야 한다는 부담이 있고,
만약 지지대 역할을 해줄 옆 치아들이
이미 약해진 상태라면
그 치아들까지 함께 망가지는
도미노 현상이 생길 수 있습니다.
대신 치료 기간이 임플란트보다
짧기 때문에 빠르게 앞니를 재건할 수 있고
삐뚤빼뚤해 보이는 앞니를 브릿지를 통해
가지런히 재배열할 수 있죠.
반면에 임플란트는 빠진 자리에만 식립하기 때문에
주변 치아에 부담을 주지 않는다는 게 장점입니다.

다만, 임플란트는 뼈와 뿌리가 굳기까지
아래턱은 34개월, 위턱은 46개월 정도가
소요되기 때문에
브릿지보다 치료 기간이 길다는 점이 환자분께
부담이 될 수 있어요.
앞니가 빠져서 내원하신 환자분 사례
대문니 빠짐, 앞니 빠졌을 때 브릿지와 임플란트 중 나에게 맞는 선택은?
최근 앞니가 빠져
내원하신 환자분 사례입니다.

240523
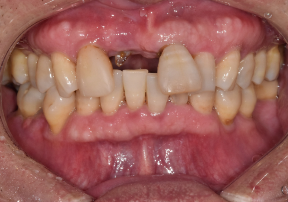
입안을 살펴보니, 오른쪽 앞니(#11)는
이미 부러져서 뿌리만 남은 상태였고,
왼쪽 앞니(#21)는 동요도 3도로
확인될 만큼 심하게 흔들리고 있었습니다.

240523
치과에서 말하는 동요도 3 도는
치아가 앞뒤와 좌우뿐만 아니라,
위아래(수직)로도 쑥쑥 들어갔다
나올 정도로 심하게 흔들리는 상태를 말해요.
뿐만 아니라 충치도 꽤 깊게 진행 중이였어요.

230524
잇몸뼈가 치아를 거의
잡아주지 못하는 단계라
뿌리만 남은 치아와 흔들리는 치아 모두
발치가 불가피했습니다.

환자분의 경우 빠진 치아 옆 치아마저(#12)
약간 흔들리고 있어서,
브릿지로 하기엔 무리가 있었어요.
만약 브릿지로 연결했다면
약한 치아들이 씹는 힘을 견디지 못해
금방 문제가 생겼을 거예요.
그래서 주변 치아를 건드리지 않는
임플란트를 진행하기로 했습니다.
치료 과정


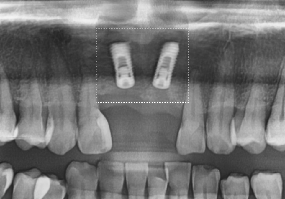
다행히 CT 분석 결과,
잇몸뼈의 폭과 길이가 충분하셔서
발치 당일 즉시 임플란트를
식립할 수 있었습니다.

240119
수술 당일, 일상생활에 문제가 없도록
앞니 전용 임시 틀니를 미리 제작해 드렸는데요~
이 장치는 사회생활을 위한
심미적인 용도이므로,
식사하실 때는 꼭 빼고 드셔야 합니다.

임시틀니를 끼고 식사를 하시게 되면
애써 심어놓은 임플란트 뿌리가
제대로 굳지 못하고 흔들릴 수 있기 때문에
조심하셔야 해요~
치료 결과
수술 후 4개월이 지나 임플란트와 뼈가
단단히 결합된 것을 확인했습니다.


이제 마지막으로 임플란트
보철물을 만드는 단계를 거치는데요.
저희는 과거에 많이 사용하던
끈적이는 고무 재료로 본을 뜨지 않고
구강 스캐너를 이용하여 컴퓨터로 빠르게 싹~
본을 뜨기 때문에 환자분들이 매우 편안해하세요!

디지털로 스캔한 자료는 원내 기공소로 넘어가
이 데이터를 가지고 최적의 보철물을
제작합니다.
CAD를 활용한 맞춤형 보철 디자인
대문니 빠짐, 앞니 빠졌을 때 브릿지와 임플란트 중 나에게 맞는 선택은?
3D 구강 스캐너로 얻은 정밀한 데이터는
컴퓨터상에서 입체적인 모델로 구현됩니다.

사진 속에 보이는
파란색 기둥들은 스캔 바디라고 부르는데요,

잇몸 속에 심어진 임플란트가
어느 깊이와 각도로 자리 잡고 있는지
컴퓨터가 정확하게 인식할 수 있도록
도와주는 이정표 역할을 하죠.
이렇게 확보된 디지털 데이터를 바탕으로
환자분의 얼굴형과 주변 치아에
가장 잘 어울리는 모양을 정교하게 설계합니다.

사진 속 노란색 치아들이
바로 환자분의 새로운 앞니가 될 디자인이에요.
컴퓨터상에서 대칭과 비율을 0.1mm 단위까지
세밀하게 조정하기 때문에,
인위적인 느낌 없이 본래 내 치아처럼
자연스러운 결과물을 기대할 수 있습니다.
혹시라도 환자분께서 모양 수정을 원하시더라도
번거롭게 다시 본을 뜰 필요가 없어요.
이미 저장된 디지털 데이터를 활용해
즉석에서 수정이 가능하기 때문에
환자분들의 심리적 부담도 훨씬 적은 편이죠.

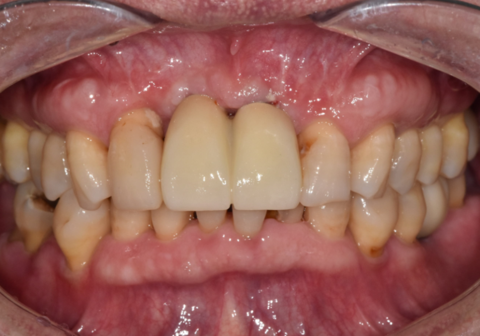
240319
꼼꼼하고 정교한 디지털 과정을 거친 덕분에
만족스러운 보철물이 완성되었네요.^^

230524 (전) 240319 (후)
앞니가 빠진 자리를 방치하면
주변 치아까지 도미노처럼 약해질 수 있어
더 늦기 전에 나에게 꼭 맞는 방법을
찾는 게 중요합니다.
무엇보다 정밀한 진단이 우선인 만큼
불편함을 참고 계셨다면
언제든 편하게 내원해 주세요.
감사합니다.^^
▼치과 위치 확인▼
대문니 빠짐, 앞니 빠졌을 때 브릿지와 임플란트 중 나에게 맞는 선택은?
| 예약 전화하러 가기 |
|---|
| 02-481-4278 |
| 본 게시물은 의료광고 법 제56조 1항을 준수하여의료 정보 제공 목적으로 서울 바르디 치과에서 직접 작성하였습니다.제공된 정보는 참고만 하실 것을 권유 드리며 증상 파악 및 정확한 관리 방법은 의료기관에 내원 후 의료진을 통해 안내받으시길 바랍니다.치과에서 진행되는 모든 시술 / 수술은 개인에 따라 (염증, 출혈, 부기 등) 가능성이 있습니다.사전에 의료진과 충분한 상담을 통해 결정하시길 바랍니다.게시물의 치료 사례는 실제 본원에서 치료를 마친 환자분들의 동의하에촬영되었으며 전, 후 사진은 동일 조건에서 촬영되었습니다. |