아카이브 요약
이 페이지의 역할
서울바르디치과의원의 네이버 블로그 원문을 보존한 아카이브 페이지입니다. 3D 네비게이션 임플란트 카테고리의 앞니 고름, 잇몸약을 먹어도 왜 염증이 가라앉지 않을까요? 글을 통해 병원의 한국어 정보 제공 방식과 진료 관련 안내 톤을 확인할 수 있습니다.
원문 검증
필요하면 원문 블로그와 병원 프로필로 바로 이동해 문맥을 다시 확인할 수 있습니다.
출처 아카이브 열기아카이브된 블로그 글
서울바르디치과의원 · Naver Blog
앞니 고름, 잇몸약을 먹어도 왜 염증이 가라앉지 않을까요? 안녕하세요. 서울바르디치과 원장입니다. 치과에 오시는 환자분들께서 종종 이런 말씀을 하세요. 잇몸약을 꾸준히 먹으면 치과에 조금 덜 와도 괜찮겠죠? 원장인 저도 치과라는 공간이 누구에게나 그리 달가운 곳은 아니라는 점......
게시일
2026년 3월 11일
원문 기준으로 확인된 발행일입니다.
카테고리
3D 네비게이션 임플란트
원문 블로그 카테고리를 정리해 함께 표시합니다.
이미지 수
15
현재 아카이브에 연결된 이미지 수입니다.
아카이브 요약
서울바르디치과의원의 네이버 블로그 원문을 보존한 아카이브 페이지입니다. 3D 네비게이션 임플란트 카테고리의 앞니 고름, 잇몸약을 먹어도 왜 염증이 가라앉지 않을까요? 글을 통해 병원의 한국어 정보 제공 방식과 진료 관련 안내 톤을 확인할 수 있습니다.
원문 검증
필요하면 원문 블로그와 병원 프로필로 바로 이동해 문맥을 다시 확인할 수 있습니다.
출처 아카이브 열기안녕하세요.
서울바르디치과 원장입니다.
치과에 오시는 환자분들께서
종종 이런 말씀을 하세요.
잇몸약을 꾸준히 먹으면
치과에 조금 덜 와도 괜찮겠죠?
원장인 저도 치과라는 공간이
누구에게나 그리 달가운 곳은 아니라는 점...
충분히 공감합니다.
무섭고 두려운 마음이 앞서다 보니
치과에 오기보다는
잇몸약으로 우선 해결해보고 싶은 마음이
먼저 드시는 건 당연한 일일지도 모릅니다.
하지만 원인을 정확히 모른 채
약만 드시는 것은 오히려 치료 시기를
늦추는 결과를 낳을 수 있어요.
오늘은 잇몸약이 실제로 어떤 역할을 하는지,
그리고 왜 약만으로는
치주염을 해결하기 어려운지
실제 사례와 함께 설명해 드릴게요.
잇몸약, 어떨 때 효과가 있나요?
앞니 고름, 잇몸약을 먹어도 왜 염증이 가라앉지 않을까요?
잇몸약은 엄밀히 말하면
증상을 완전히 없애주는 치료제라기보다

회복을 돕는 보조제와 같다고
생각하시면 됩니다.
잇몸약이 제 성능을 발휘하는 순간은
보통 이럴 때예요.
몸이 피곤해서 일시적으로 잇몸이
살짝 붓거나 들뜰 때
혈액 순환을 도와 붓기를 가라앉히는 데
도움을 줍니다.
스케일링이나 전문적인 잇몸 치료를 받은 뒤
보조적으로 복용하면,
손상된 잇몸 조직이 회복되는 속도를
높여주는 시너지 효과가 있어요.

결국 잇몸약은 치료의 핵심이라기보다,
적절한 치과 치료가 이루어진 뒤
회복을 돕는 보조적인 역할을 한다고
이해하시는 게 좋습니다.
근본적인 원인을 제거한 뒤에야
비로소 그 효과를 제대로 발휘할 수 있는 셈이죠.
잇몸약을 먹어도 큰 효과가 없는 이유
앞니 고름, 잇몸약을 먹어도 왜 염증이 가라앉지 않을까요?
치주염을 일으키는 주범은
치아 뿌리에 단단하게 달라붙은 치석이에요.
치석은 세균들이 뭉쳐서 돌처럼
딱딱해진 덩어리인데,

아무리 좋은 약을 먹어도
이 돌덩이가 녹아서 사라지지는 않습니다.
약을 먹으면 일시적으로 통증이 줄어들고
부기가 빠지는 느낌을 받을 수 있어요.
하지만 이는 원인이 사라진 것이 아니라
증상만 잠시 숨겨진 상태일 뿐입니다.
그사이 잇몸 안쪽에서는
세균들이 계속 잇몸뼈를 녹여나가고 있죠.
약에만 의존하며 시간을 보낼수록
자연치아를 살릴 수 있는
소중한 기회를 놓치게 될 확률이 높습니다.
앞니에 고름이 나와서 내원하신 환자분 사례
앞니 고름, 잇몸약을 먹어도 왜 염증이 가라앉지 않을까요?
최근 내원하신 환자분은
오래전 치료했던 앞니 브릿지 주변에서
조금씩 고름이 나오길래

240306
잇몸병에 효과가 있다는 광고를 보고
잇몸약을 한 달 넘게 복용하셨다고 해요.
처음에만 일시적으로 통증이 살짝 가라앉다가
계속 고름이 나고 앞니가 흔들려
결국 치과에 내원하신건데요~

240306
입안을 살펴보니 앞니 6개가 (#13~23)
브릿지로 연결된 상태였는데,
보철물과 잇몸 경계 사이로
고름이 계속 배어 나오고 있었어요.

240306
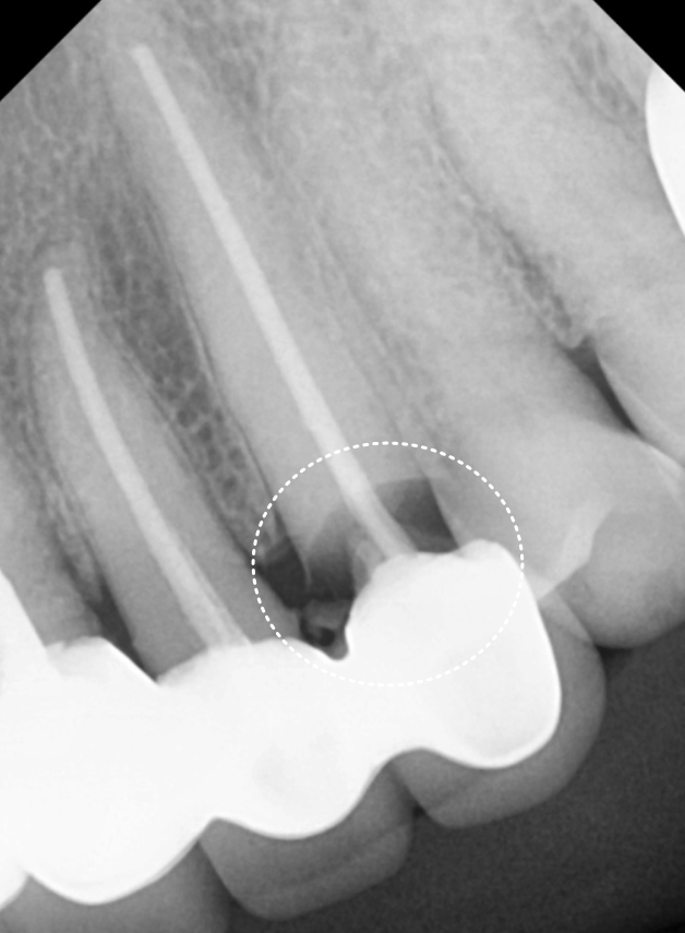
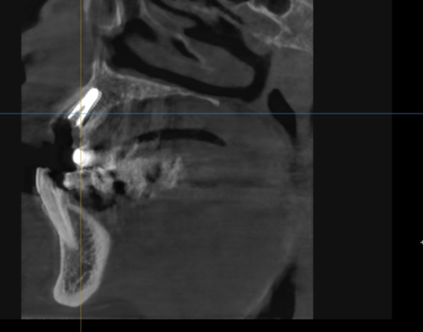
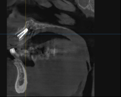
방사선 사진과 CT를 확인해보니
오래된 보철물 안쪽으로
2차 충치가 심하게 진행되어 있었고,

240315
특히 왼쪽 송곳니(#23)는 이미 치아 머리 부분이
부러져 뿌리와 분리된 상태였습니다.
뿌리 끝까지 염증이 퍼져
잇몸뼈가 많이 녹아있었기에,
안타깝게도 발치를 진행하기로 했습니다.


240315
치료 과정
앞니 고름, 잇몸약을 먹어도
왜 염증이 가라앉지 않을까요?
먼저 기존에 사용하시던
오래된 브릿지를 제거한 뒤,
염증이 심해 더 이상 살리기 어려운
치아 4개(#13, 21, 22, 23)를 발치했습니다.
염증으로 인해 주변 잇몸뼈가
많이 손실된 상태였기에,

240315
임플란트가 단단하게 자리 잡을 수 있도록
충분한 뼈이식을 동반하여
3개의 임플란트(#13, 21, 23)를
안전하게 식립해 드렸어요.
그 후 약 4개월 동안 임플란트 뿌리와 잇몸뼈가
하나로 잘 붙기를 기다렸습니다.


단순히 어느 정도 시간이 지났으니
잘 굳었겠지~하고
육안으로만 확인하는 것이 아니라,
디지털 장비를 활용해
고정 수치를 꼼꼼히 체크하며
보철물을 올려도 되는 최적의 상태인지
정밀하게 확인하는 과정을 거칩니다.
치료 결과
앞니 고름, 잇몸약을 먹어도
왜 염증이 가라앉지 않을까요?
수치가 70이상이면
임플란트가 뼈와 단단히 잘 굳은 건데요~
임플란트 3개 모두 꽤 높은 수치로
잘 굳었네요^^

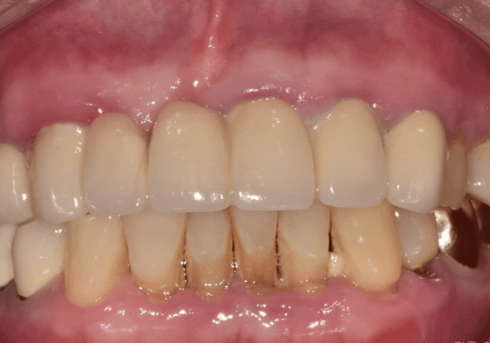
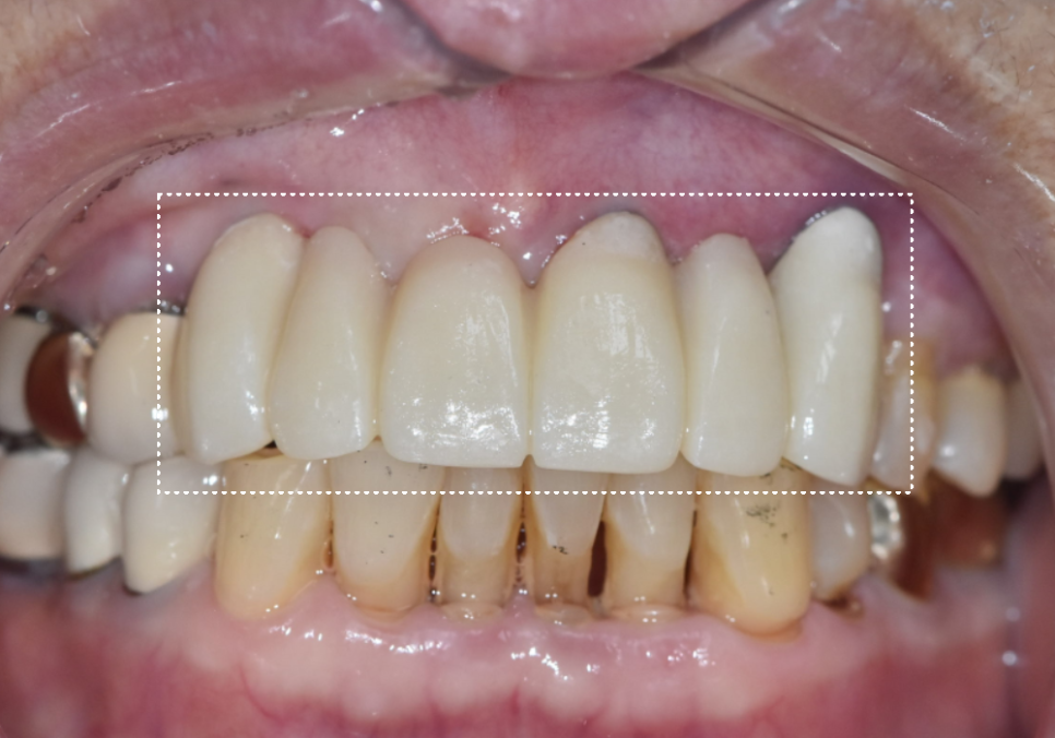
이제 임플란트 보철을 만들기 위해
본을 뜹니다.
앞니는 인상을 결정하는
가장 중요한 부위인 만큼
심미적인 완성도가 무엇보다 중요한데요.
저희는 치과 내부에서
기공소를 직접 운영하고 있어,

보철 담당 기공사가 환자분의 주변 치아
색상과 투명도,형태를 실시간으로 직접 확인하며
제작합니다.
앞니 보철물은 미세한 차이로도
전체적인 인상이 달라질 수 있는데요.
혹시라도 수정이 필요한 부분이 생긴다면
여러 번 내원하며 기다릴 필요 없이
그 자리에서 바로 피드백을 반영해
완성할 수 있다는 것이
저희 원내 기공소의 가장 큰 장점입니다.

240731
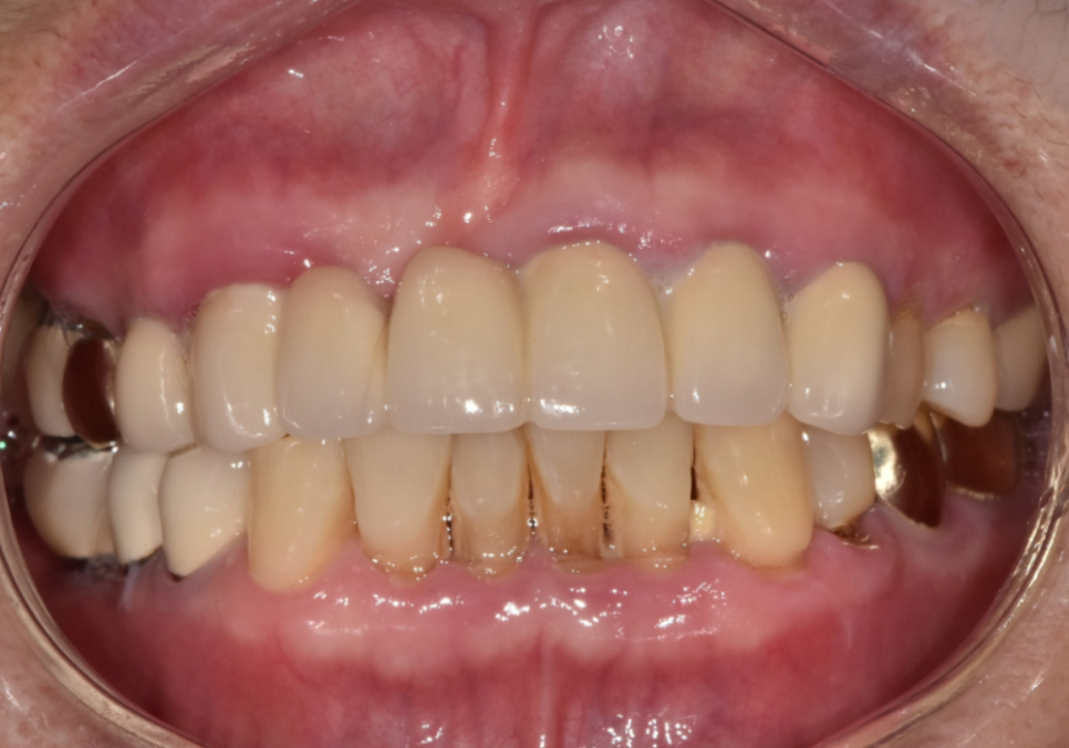
완성된 지르코니아 보철물을 보니
주변 치아와 아주 자연스럽게 어우러지는
만족스러운 결과가 나온 것 같습니다.^^
아직도 잇몸약으로 하루하루 버티고 계신가요?
잇몸이 보내는 마지막 구조 신호를
약으로만 참지 마시고,,
우선은 정밀한 진단을 통해
근본적인 해결책을 찾아보시면 좋겠어요.
잇몸이 아픈 진짜 이유가 무엇인지
아주 작은 부분까지 꼼꼼하게 살펴서
가장 안전하고 정직한 해결 방법을
함께 고민해 드릴게요.
감사합니다.^^
▼치과 위치 확인▼
앞니 고름, 잇몸약을 먹어도 왜 염증이 가라앉지 않을까요?
| 예약 전화하러 가기 |
|---|
| 02-481-4278 |
| 본 게시물은 의료광고 법 제56조 1항을 준수하여의료 정보 제공 목적으로 서울 바르디 치과에서 직접 작성하였습니다.제공된 정보는 참고만 하실 것을 권유 드리며 증상 파악 및 정확한 관리 방법은 의료기관에 내원 후 의료진을 통해 안내받으시길 바랍니다.치과에서 진행되는 모든 시술 / 수술은 개인에 따라 (염증, 출혈, 부기 등) 가능성이 있습니다.사전에 의료진과 충분한 상담을 통해 결정하시길 바랍니다.게시물의 치료 사례는 실제 본원에서 치료를 마친 환자분들의 동의하에촬영되었으며 전, 후 사진은 동일 조건에서 촬영되었습니다. |