아카이브 요약
이 페이지의 역할
서울바르디치과의원의 네이버 블로그 원문을 보존한 아카이브 페이지입니다. 3D 네비게이션 임플란트 카테고리의 앞니 임플란트, 원내 기공소의 중요성을 아시나요? 글을 통해 병원의 한국어 정보 제공 방식과 진료 관련 안내 톤을 확인할 수 있습니다.
원문 검증
필요하면 원문 블로그와 병원 프로필로 바로 이동해 문맥을 다시 확인할 수 있습니다.
출처 아카이브 열기아카이브된 블로그 글
서울바르디치과의원 · Naver Blog
앞니 임플란트, 원내 기공소의 중요성을 아시나요? 안녕하세요. 서울바르디치과 원장입니다. 앞니는 타인에게 바로 보이는 부위인 만큼 심미적인 완성도가 무엇보다 중요합니다. 아주 미세한 1mm의 차이로도 인상이 어색해질 수 있는 부위니까요. 그러다 보니 환자분들께서 심미적으로 더 신경을 쓰...
게시일
2026년 3월 12일
원문 기준으로 확인된 발행일입니다.
카테고리
3D 네비게이션 임플란트
원문 블로그 카테고리를 정리해 함께 표시합니다.
이미지 수
20
현재 아카이브에 연결된 이미지 수입니다.
아카이브 요약
서울바르디치과의원의 네이버 블로그 원문을 보존한 아카이브 페이지입니다. 3D 네비게이션 임플란트 카테고리의 앞니 임플란트, 원내 기공소의 중요성을 아시나요? 글을 통해 병원의 한국어 정보 제공 방식과 진료 관련 안내 톤을 확인할 수 있습니다.
원문 검증
필요하면 원문 블로그와 병원 프로필로 바로 이동해 문맥을 다시 확인할 수 있습니다.
출처 아카이브 열기안녕하세요.
서울바르디치과 원장입니다.
앞니는 타인에게 바로 보이는 부위인 만큼
심미적인 완성도가 무엇보다 중요합니다.
아주 미세한 1mm의 차이로도
인상이 어색해질 수 있는 부위니까요.
그러다 보니 환자분들께서
심미적으로 더 신경을 쓰실 수밖에 없는 것 같아요.
그래서 오늘은 앞니 보철일수록
왜 원내 기공소가 필수적인지,
그 중요성에 대해 설명드릴까 합니다.
원내 기공소,
환자분에게 어떤 점이 좋을까요?
앞니 임플란트, 원내 기공소의 중요성을 아시나요?
치과 안에 기공소가 있다는 것은
단순히 장소가 가까운 것을 넘어
치료의 질을 결정짓는 아주 큰 요소가 됩니다.
외부 기공소에 보철물을 맡기면
보통 1~2주 정도 기다려야 하죠.

하지만 원내 기공소가 있다면 빠르면
당일이나 다음 날에도 보철물을 완성할 수 있어요.
바쁜 일상 중에 병원을 여러 번 오가는 게
사실 쉬운 일은 아니잖아요?
병원 방문 횟수를 줄여드리는 것만으로도
환자분들의 치료 부담을
크게 덜어드릴 수 있답니다.
환자분의 구강 상태나 아주 세세한 요구사항까지
제가 기공사님께 직접 전달할 수 있어요.
색상을 아주 조금 더 밝게 조절하거나
모양을 더 자연스럽게 만드는 과정이
실시간으로 이루어지죠.

특히 앞니 크라운이나 라미네이트처럼
미세한 차이가 중요한 심미 치료에서는
이런 소통이 결과의 한 끗 차이를 만들어낸답니다.
보철물을 끼워보았는데 모양이
마음에 들지 않는다면,,
어떻게 해야 할까요?
일반적인 치과라면 다시 외부로 보내서
며칠을 더 기다려야 하지만,,

원내 기공소가 있다면 환자분이
진료실에 계시는 동안
즉석에서 수정을 마쳐드릴 수 있어요.
기다림 없이 그날 바로 결과를
확인할 수 있다는 게 가장 큰 장점이에요.
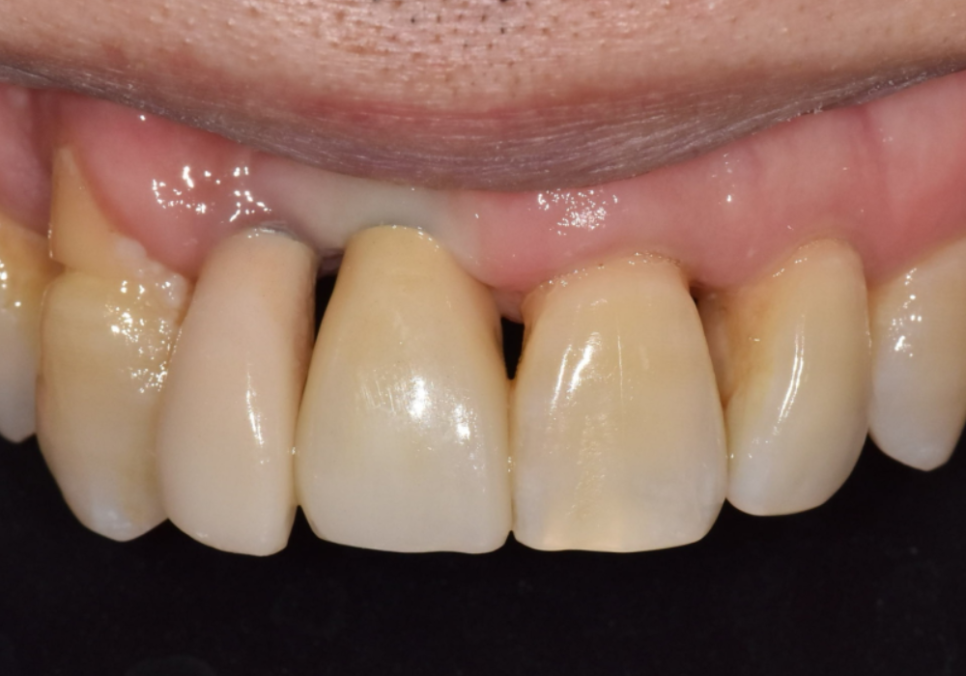
앞니 흔들림으로 내원한 환자 사례
앞니 임플란트, 원내 기공소의 중요성을 아시나요?
얼마 전 앞니 흔들림으로 찾아주신
환자분의 사례를 통해
조금 더 쉽게 설명해 드릴게요.

240615
내원 당시 오른쪽 앞니(#12)가
심하게 흔들리고 있었고,
바로 옆 중앙 앞니(#11)도
잇몸뼈가 많이 내려가 영향을 받고 있었습니다.


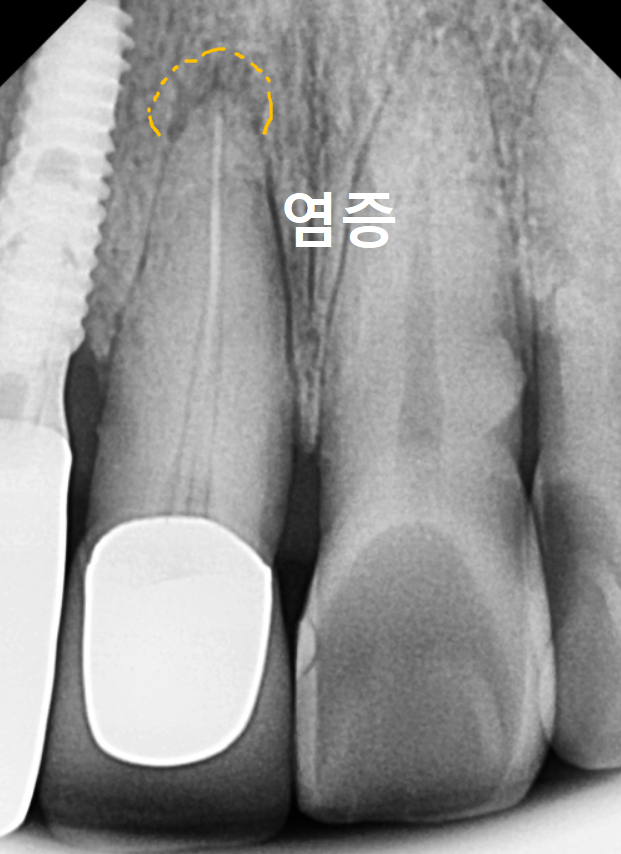
240612
CT 분석 결과 중앙 앞니(#11) 치아 뿌리 끝에
염증이 발견되었지만,
환자분께서 최대한 자기 치아를
더 써보고 싶어 하셔서
일단 흔들림이 심한 오른쪽 앞니(#12)만
발치하고 임플란트를 진행했습니다.


오른쪽 앞니(#12) 임플란트를 완성하고 난
며칠 뒤...


251022
환자분께서 중앙 앞니(#11)가
잇몸이 부었다가 가라앉기를 반복한다며
다시 내원하셨어요.

251125
자세히 살펴보니 고름이 빠져나온 흔적이 보이네요.
흔들림도 이전보다 심해진 상태였습니다.
C뿌리 끝 염증도 더 심해진 상황...

251125
안타깝지만 이 치아도 발치 후
임플란트로 재건하기로 결정했습니다.


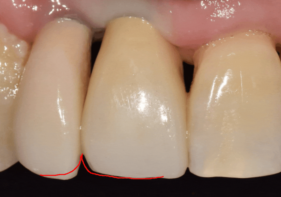
원내 기공소가 앞니 임플란트에
유리한 이유?
앞니 임플란트, 원내 기공소의 중요성을 아시나요?
앞니 임플란트에서 가장 중요한 것은
기존 치아들과 모양, 배열이
얼마나 자연스럽게 어우러지는가입니다.
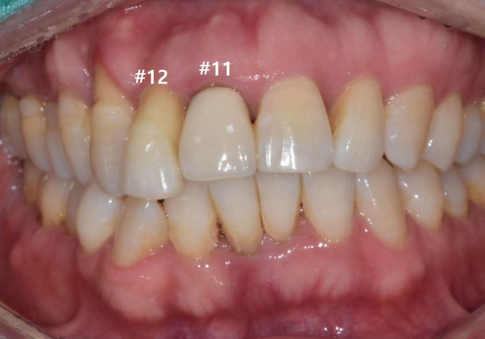
기존에 치료했던 오른쪽 앞니(#12)와
새로 임플란트를 심은 중앙 앞니(#11)가
자연스럽게 조화를 이루도록
보철을 제작해드렸는데요~
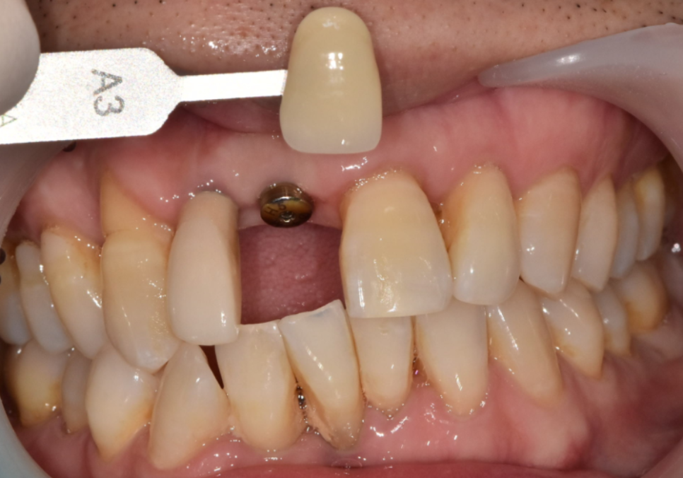
막상 보철물을 끼워보니 환자분께서
치아 길이가 약간 짧아 보이는 것 같다고
말씀하셨어요.

260312
사실 치아 길이는 0.5mm만 차이가 나도
사람의 인상을 좌우할 만큼 예민한 부분인 만큼,
치아의 모양이나 길이는
옆 치아의 영향을 많이 받는 상대적인 영역이에요.
이전에 임플란트를 했던
오른쪽 앞니가 살짝 길다 보니,
중앙 앞니가 상대적으로 짧아 보였던 것이죠.

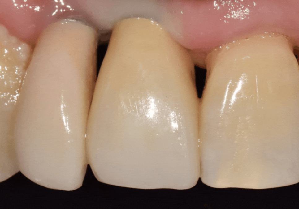
보통의 치과라면 이런 상황에서
다시 본을 뜨고 일주일 뒤에 오시라고 안내합니다.
환자분은 다시 불편한 임시 치아를 끼고
일주일을 더 걱정하며 보내야 하죠.
하지만 원내 기공소가 있는
저희 치과는 과정이 전혀 다릅니다.
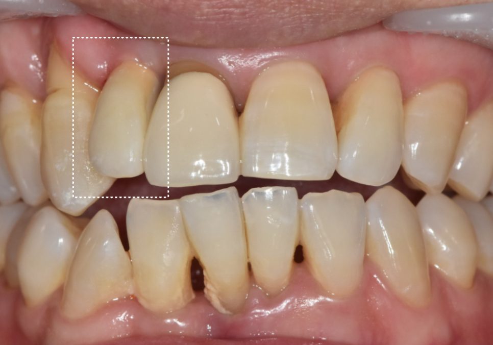
0.1mm의 미세한 차이를
잡아내는 과정
이럴 때 길이가 긴 치아를 무작정 깎아버리면
그 옆에 있는 송곳니가 도드라져 보일 수 있습니다.
그래서 저희는 중앙 앞니
끝부분의 길이를 미세하게 늘려보기로 했어요.

1mm 정도의 아주 작은 변화였지만,
이 미묘한 차이가 환자분이
느끼는 만족감에는 큰 영향을 준답니다.
중앙 앞니 길이를 인접한 치아와
조화롭게 맞춰준 다음,

오른쪽 앞니(#12)의 각진 부분도
조금 더 부드럽게 다듬어서
전체적인 배열을 완성했어요.

260312
1mm라고 하면 아주 작은 차이처럼
느껴지겠지만,,
눈에 바로 띄는 앞니에서는
인상을 좌우하는 결정적인 수치가 되기도 하거든요.
저희는 이런 세심한 부분
하나까지 놓치지 않고
환자분이 충분히 만족하실 수 있는 보철물을
만들기 위해 매 순간 정성을 다하고 있습니다.

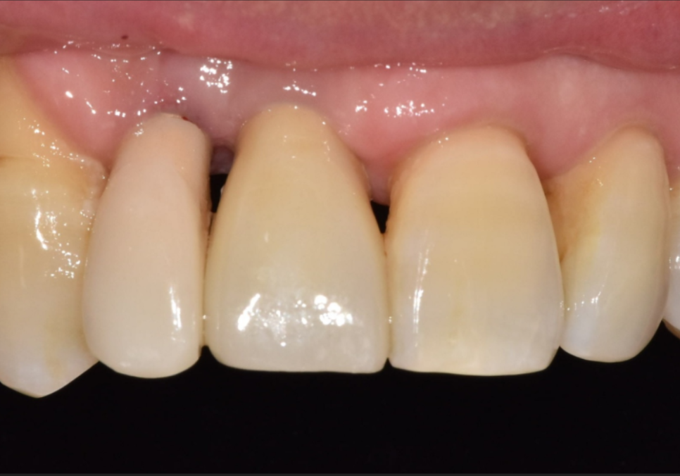
260312
고민하고 계신 앞니 문제..
0.1mm의 미세한 차이까지
함께 고민해 드릴 테니,
더 이상 망설이지 마시고
편안하게 상담받아 보세요.
감사합니다.^^
▼치과 위치 확인▼
| 예약 전화하러 가기 |
|---|
| 02-481-4278 |
| 본 게시물은 의료광고 법 제56조 1항을 준수하여의료 정보 제공 목적으로 서울 바르디 치과에서 직접 작성하였습니다.제공된 정보는 참고만 하실 것을 권유 드리며 증상 파악 및 정확한 관리 방법은 의료기관에 내원 후 의료진을 통해 안내받으시길 바랍니다.치과에서 진행되는 모든 시술 / 수술은 개인에 따라 (염증, 출혈, 부기 등) 가능성이 있습니다.사전에 의료진과 충분한 상담을 통해 결정하시길 바랍니다.게시물의 치료 사례는 실제 본원에서 치료를 마친 환자분들의 동의하에촬영되었으며 전, 후 사진은 동일 조건에서 촬영되었습니다. |