아카이브 요약
이 페이지의 역할
서울바르디치과의원의 네이버 블로그 원문을 보존한 아카이브 페이지입니다. 3D 네비게이션 임플란트 카테고리의 고덕동 스케일링 미루다 앞니 어금니 다 뽑고 임플란트 했습니다. 글을 통해 병원의 한국어 정보 제공 방식과 진료 관련 안내 톤을 확인할 수 있습니다.
원문 검증
필요하면 원문 블로그와 병원 프로필로 바로 이동해 문맥을 다시 확인할 수 있습니다.
출처 아카이브 열기아카이브된 블로그 글
서울바르디치과의원 · Naver Blog
고덕동 스케일링 미루다 앞니 어금니 다 뽑고 임플란트 했습니다. 안녕하세요. 서울바르디치과 원장입니다. 치과 치료 중에서 가장 기본적이면서도 많은 분이 가장 피하고 싶어 하는 치료가 바로 '스케일링'이죠. 스케일링을 받고 나면 이가 시리거나 치아가 깎여 나가는 기분이 든다는 오해 때문에...
게시일
2026년 3월 15일
원문 기준으로 확인된 발행일입니다.
카테고리
3D 네비게이션 임플란트
원문 블로그 카테고리를 정리해 함께 표시합니다.
이미지 수
19
현재 아카이브에 연결된 이미지 수입니다.
아카이브 요약
서울바르디치과의원의 네이버 블로그 원문을 보존한 아카이브 페이지입니다. 3D 네비게이션 임플란트 카테고리의 고덕동 스케일링 미루다 앞니 어금니 다 뽑고 임플란트 했습니다. 글을 통해 병원의 한국어 정보 제공 방식과 진료 관련 안내 톤을 확인할 수 있습니다.
원문 검증
필요하면 원문 블로그와 병원 프로필로 바로 이동해 문맥을 다시 확인할 수 있습니다.
출처 아카이브 열기안녕하세요.
서울바르디치과 원장입니다.
치과 치료 중에서 가장 기본적이면서도
많은 분이 가장 피하고 싶어 하는 치료가
바로 '스케일링'이죠.
스케일링을 받고 나면 이가 시리거나
치아가 깎여 나가는 기분이 든다는 오해 때문에
차일피일 미루시는 분들이 참 많습니다.
하지만 스케일링을 제때 하지 않고 방치하면,
나중에는 단순히 이가 시린 수준이 아니라
치아 전체를 잃게 되는
큰 손실로 이어질 수 있어요.
오늘은 스케일링을 미루었을 때
우리 치아와 잇몸에 어떤 일이 벌어지는지,
실제 사례와 함께 자세히 들려드릴게요.
스케일링을 미루면 생기는 문제들
고덕동 스케일링 미루다 앞니 어금니 다 뽑고 임플란트 했습니다.
스케일링은 단순히 치아 표면을
깨끗하게 닦아내는 청소가 아니에요.
잇몸 질환의 근본적인 원인인
치석을 제거하는 예방 치료입니다.
치석은 치태(플라그)가
침 속의 무기질과 결합해
돌처럼 딱딱하게 굳은 것인데,,

고덕동 스케일링 미루다 앞니 어금니 다 뽑고 임플란트 했습니다.
이건 칫솔질만으로는
절대로!! 떨어지지 않아요.
치석을 제때 제거하지 않으면
그 위로 계속해서 세균이 번식하고,
잇몸에 염증을 일으킵니다.

처음에는 잇몸이 붓고 피가 나는 정도로
시작하지만,,
시간이 흐르면 치아를 지탱해 주는
잇몸뼈(치조골)까지 서서히 녹여버리게 되죠.


뼈가 한 번 녹아내리면 다시 원래대로
되돌리는 것은 매우 어렵기 때문에,,
스케일링은 1년에 한 번씩
주기적으로 꼭 받는 것이 좋습니다.
참고로 매년 나라에서 지원하는
'건강보험 스케일링 혜택'은
그해에 쓰지 않으면 그대로 사라지니
꼭 쓰시는게 좋겠죠?
치은연하치석의 위험성
고덕동 스케일링 미루다 앞니 어금니 다 뽑고 임플란트 했습니다.
눈에 보이는 치석보다 더 무서운 것이
바로 잇몸 라인 아래쪽에 숨어있는
'치은연하치석'이에요.

이 치석들은 잇몸 깊숙한 곳에 자리 잡아
점점 잇몸뼈를 녹입니다.
이렇게 잇몸 안쪽까지 파고든 치석은
치아를 지탱하는 힘을 약화시켜
결국 멀쩡해 보이던 치아를 흔들리게 만듭니다.
더 큰 문제는 깊이 박힌 치석의 경우,,
일반적인 스케일링 기구만으로는
뿌리 끝까지 닿기가 어렵다는 점이에요.

증상이 심해지면 잇몸을 직접 열고
치석을 하나하나 제거하는
치주 수술까지 필요할 수 있으니,,
상태가 악화되기 전에
미리 관리하는 것이 무엇보다 중요합니다.
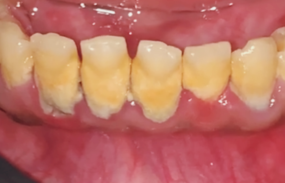
실제 사례 : 치과가 무서워 참으셨던 환자분
고덕동 스케일링 미루다 앞니 어금니 다 뽑고 임플란트 했습니다.
얼마 전 저희 치과를 찾으신
환자분의 사례를 소개해 드릴게요.
환자분은 오른쪽 아래
예전에 때웠던 보철물이 떨어졌는데,

251201
통증을 참다가 오늘 치아에
금이 쫙 간 것 같다며
극심한 고통과 함께 내원하셨습니다.
진단과 상태
오른쪽 아래는 수직 파절로 인해
치아 금이 쫙 가 있었는데요.

251201
이 치아도 문제였지만
사실 더 큰 문제는 따로 있었습니다.
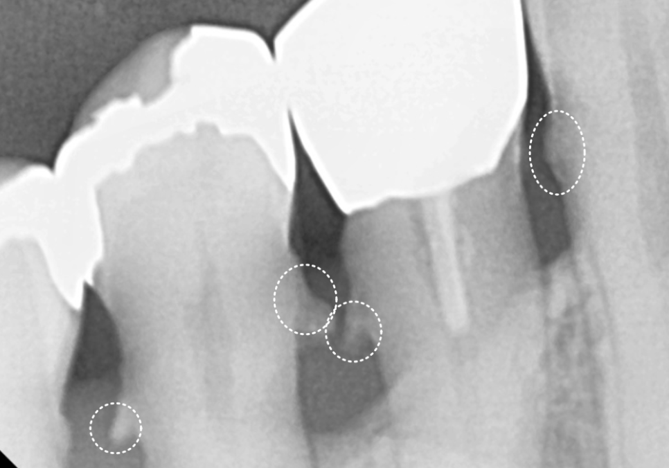
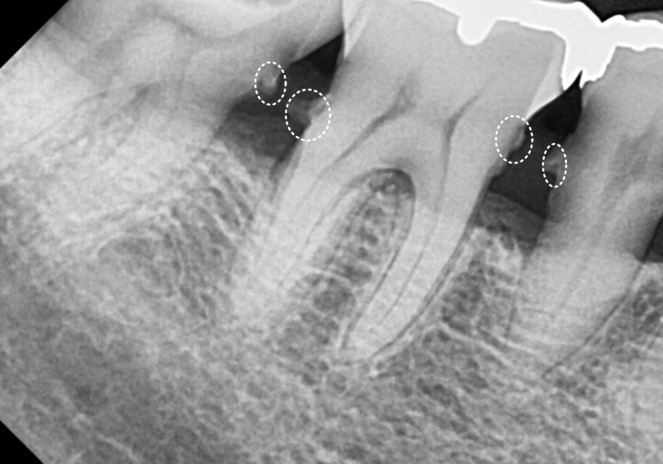
방사선 사진을 살펴볼게요~
매끈해보여야 할 치아 뿌리 쪽에
돌기처럼 무언가 붙어있는게 보이시나요?

251201
바로 치석인데요.
사실 치석은 밀도가 낮아
방사선 사진상에는
잘 나타나지 않는 경우가 많아요.

251201
그런데 만약 엑스레이 사진에서
이처럼 치아 옆면이 매끄럽지 않고
돌기처럼 튀어나온 것이 보인다면,

정상적인 잇몸 상태 , 치아 뿌리 면이 매끄러움

치은연하치석이 뿌리면에 돌기처럼 붙어있는 모습
그건 치석이 이미 엄청나게
두껍고 단단하게 쌓였다는 뜻이에요..ㅜㅜ

환자분께 여쭤보니,
예전에 스케일링을 받았을 때
치아가 깎이는 느낌이 들고 시리기만 해서
그 뒤로 치과 근처에도 오지 않으셨다고 해요.
그 결과 상태는 생각보다 훨씬 심각했습니다.
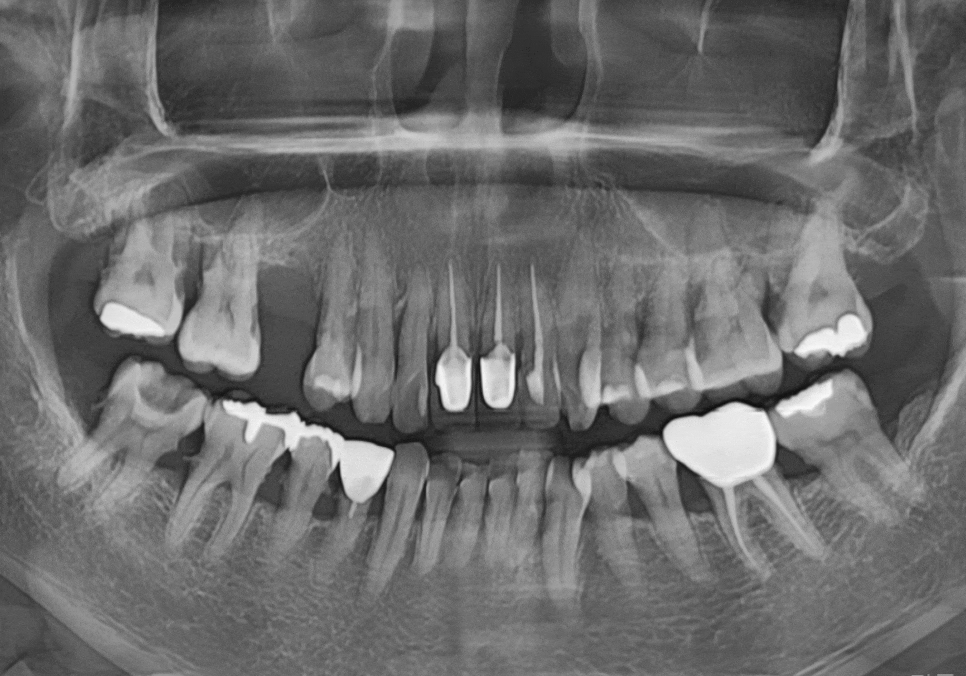
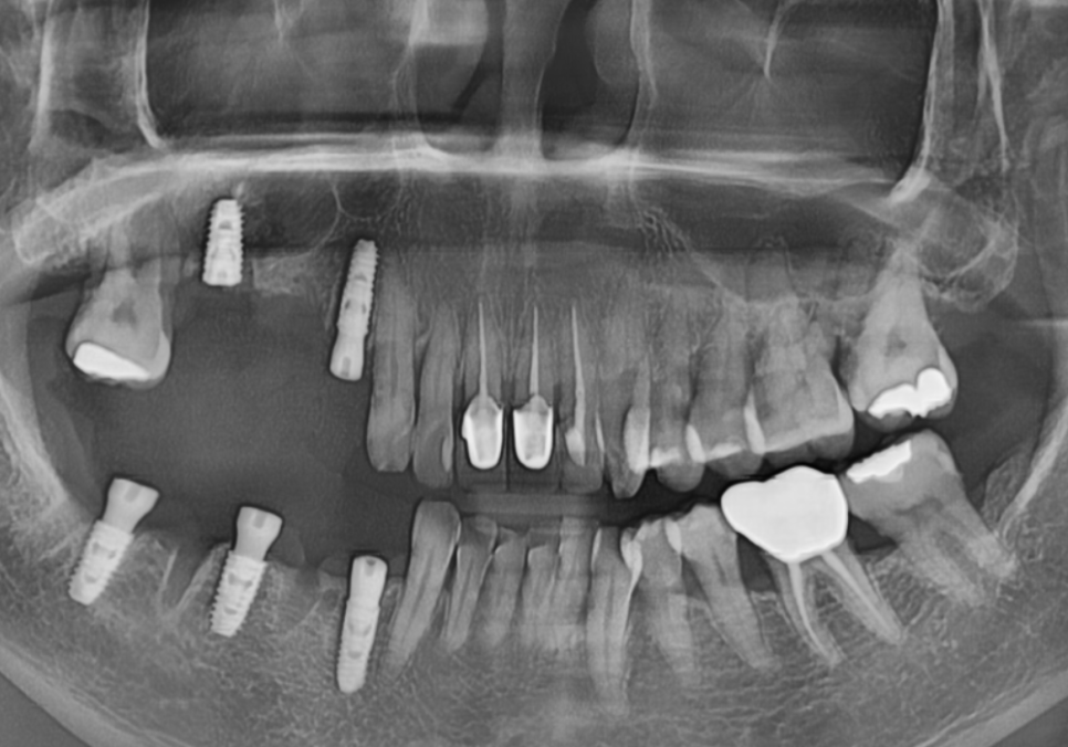
#47 치아: 수직 파절(완전히 쪼개짐)
#47,46,45, #31,32,33, #16,14 : 치아흔들림
전체적인 상태: 잇몸뼈가 녹아
치조골 수평이 매우 낮아진 상태

251201
치료 계획
단순히 치아 하나를 치료해서
될 상황이 아니었기에,
전체적인 재건 계획을 세워드렸습니다.
1 ) 발치 (#16,14, #37,36,35,34, #41~32)
흔들림이 심해 살릴 수 없는 앞니와
어금니들을 발치했습니다.

위쪽 어금니 부위는 뼈가 너무 부족해서
잇몸뼈 위쪽의 빈 공간인

251201
상악동을 들어 올리고 뼈를 채워 넣는
상악동 거상술을 병행하며
임플란트를 식립했어요.

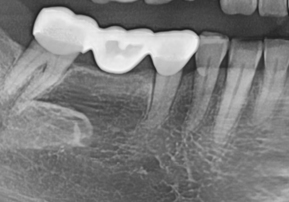
260112
아래쪽 어금니와 앞니 부위도
광범위한 뼈이식과 함께 임플란트를
식립했습니다.


260112
남은 치아들을 살리기 위해
잇몸 깊숙한 곳까지 청소하는
잇몸 치료를 병행했습니다.
고령의 환자분이신 점을 고려해
무리가 가지 않도록
오른쪽부터 단계별로 진행하여
임플란트 치료를 마무리했습니다.
스케일링, 별 거 아닌 것 같아도...
이번 사례를 통해
이 작은 치료가
얼마나 큰 날개짓을 일으킬 지 알 수 있었는데요~
지금 혹시 스케일링을 받은 지
1년이 넘으셨다면 더이상 미루시지 마시고
내 소중한 치아를 지켰으면 합니다.
단 15분의 스케일링을 미루는 것이
나중에는 수개월의 치료 기간과
큰 비용으로 돌아올 수 있습니다.
환자분의 소중한 자연치아를
오랫동안 쓰실 수 있도록 정성껏 관리해 드릴게요.
오늘도 긴 글 읽어주셔서 감사합니다.^^
▼치과 위치 확인▼
고덕동 스케일링 미루다 앞니 어금니 다 뽑고 임플란트 했습니다.
| 예약 전화하러 가기 |
|---|
| 02-481-4278 |
| 본 게시물은 의료광고 법 제56조 1항을 준수하여의료 정보 제공 목적으로 서울 바르디 치과에서 직접 작성하였습니다.제공된 정보는 참고만 하실 것을 권유 드리며 증상 파악 및 정확한 관리 방법은 의료기관에 내원 후 의료진을 통해 안내받으시길 바랍니다.치과에서 진행되는 모든 시술 / 수술은 개인에 따라 (염증, 출혈, 부기 등) 가능성이 있습니다.사전에 의료진과 충분한 상담을 통해 결정하시길 바랍니다.게시물의 치료 사례는 실제 본원에서 치료를 마친 환자분들의 동의하에촬영되었으며 전, 후 사진은 동일 조건에서 촬영되었습니다. |