아카이브 요약
이 페이지의 역할
서울바르디치과의원의 네이버 블로그 원문을 보존한 아카이브 페이지입니다. 3D 네비게이션 임플란트 카테고리의 강동구 임플란트 기간, 사람마다 왜 다를까? 즉시식립과 지연식립의 결정적 차이 글을 통해 병원의 한국어 정보 제공 방식과 진료 관련 안내 톤을 확인할 수 있습니다.
원문 검증
필요하면 원문 블로그와 병원 프로필로 바로 이동해 문맥을 다시 확인할 수 있습니다.
출처 아카이브 열기아카이브된 블로그 글
서울바르디치과의원 · Naver Blog
강동구 임플란트 기간, 사람마다 왜 다를까? 즉시식립과 지연식립의 결정적 차이 안녕하세요. 서울바르디치과 원장입니다. 임플란트 수술하면 얼마나 걸려요~? 치과에 내원하시는 환자분들이 가장 많이 물어보시는 것 중 하나가 바로 임플란트 기간이에요. 치아를 뽑고 나서 바로 심을 수 있는지, 아니면 한참...
게시일
2026년 3월 15일
원문 기준으로 확인된 발행일입니다.
카테고리
3D 네비게이션 임플란트
원문 블로그 카테고리를 정리해 함께 표시합니다.
이미지 수
18
현재 아카이브에 연결된 이미지 수입니다.
아카이브 요약
서울바르디치과의원의 네이버 블로그 원문을 보존한 아카이브 페이지입니다. 3D 네비게이션 임플란트 카테고리의 강동구 임플란트 기간, 사람마다 왜 다를까? 즉시식립과 지연식립의 결정적 차이 글을 통해 병원의 한국어 정보 제공 방식과 진료 관련 안내 톤을 확인할 수 있습니다.
원문 검증
필요하면 원문 블로그와 병원 프로필로 바로 이동해 문맥을 다시 확인할 수 있습니다.
출처 아카이브 열기안녕하세요.
서울바르디치과 원장입니다.
임플란트 수술하면
얼마나 걸려요~?
치과에 내원하시는 환자분들이
가장 많이 물어보시는 것 중 하나가
바로 임플란트 기간이에요.
치아를 뽑고 나서 바로 심을 수 있는지,
아니면 한참을 기다려야 하는지 궁금해하시죠.
오늘은 치아를 뽑은 당일
바로 심는 즉시식립과
잇몸뼈가 아물기를
기다렸다가 심는 지연식립의 차이를
실제 환자분들의 사례를 통해
자세히 설명해 드릴게요.
지연식립과 즉시식립, 무엇이 다른가요?
강동구 임플란트 기간, 사람마다 왜 다를까? 즉시식립과 지연식립의 결정적 차이
쉽게 설명하자면 건물을 지을 때
땅의 상태를 보는 것과 비슷해요.

치아를 뽑은 자리에 염증이 없고
주변 뼈가 튼튼할 때,
발치와 동시에 임플란트를 심는 방법이에요.
전체적인 치료 기간을
획기적으로 줄일 수 있다는 장점이 있죠.

뿌리 끝에 염증이 심해 주변
뼈가 많이 녹아있는 경우에 선택해요.
먼저 염증을 제거하고
뼈가 차오르기를 기다리거나,
뼈이식을 통해 토대를 튼튼하게 만든 뒤에
임플란트를 심는 방식입니다.
[사례 1] 뼈가 녹아 기다림이 필요했던
지연식립 케이스
강동구 임플란트 기간, 사람마다 왜 다를까? 즉시식립과 지연식립의 결정적 차이
먼저 지연식립을 진행했던
환자분의 사진을 함께 살펴볼까요?
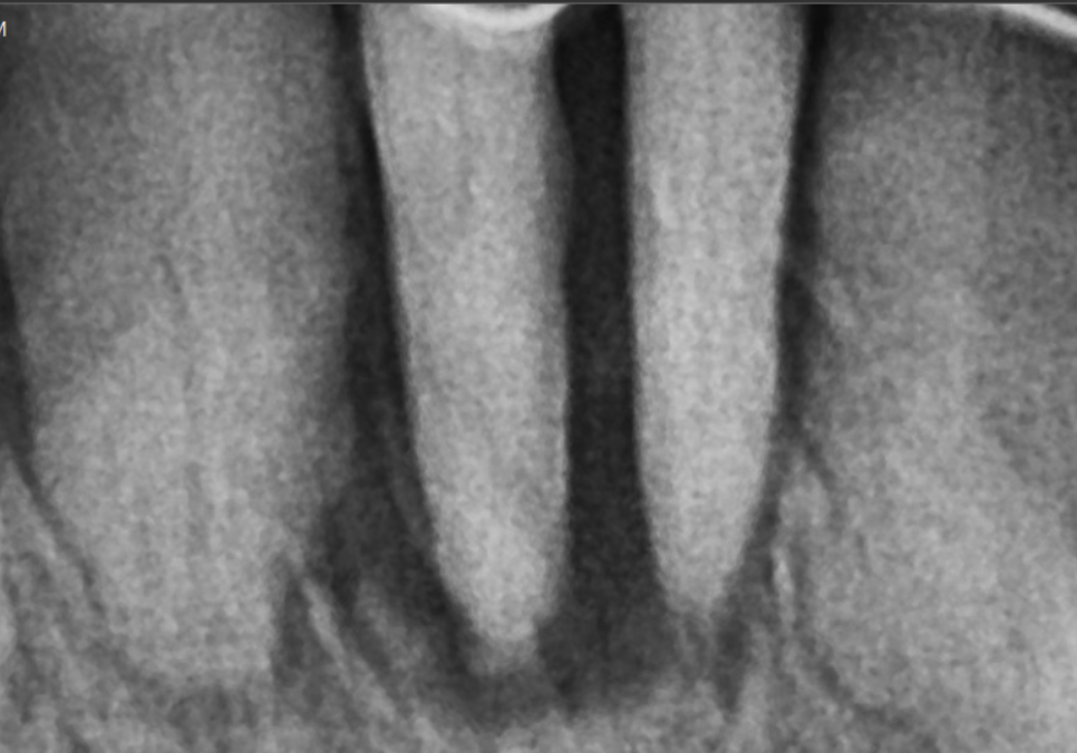
오른쪽 아래 맨 끝 어금니(#47) 부위를 보시면
뿌리 끝부분이 까맣게 보이죠.

뿌리끝에 염증이 생겨서 이 염증으로 인해
뼈가 녹아 까맣게 보이는데요~
잇몸뼈는 밀도가 높을수록
하얗게 나타나고,

염증으로 인해 뼈가 녹아
밀도가 낮아지면 이렇게 까맣게 보이게 됩니다.

3D CT를 볼까요?
빨갛게 표시한 부분은
아래턱의 감각을 담당하는 주요 신경인
하치조 신경이고,
노란색 부위가 염증으로 인해
뼈가 녹아버린 공간이에요.

임플란트를 심을 때 가장 중요한 것은
이 신경을 피해 안정적으로 식립하는 것인데요.
이 상태에서 바로 심게 되면
뼈가 녹아 텅 빈 공간에 임플란트 뿌리가
제대로 고정될 수 없겠죠~
또한 임플란트가 지지력을 얻으려면
최소 7~8mm의 뼈 길이가 확보되어야 하는데,,

사진을 보면 뼈가 녹은 지점부터
신경까지의 거리가 거의 닿을 듯 가깝습니다.
이런 경우 무리하게 바로 심다가는
자칫 신경을 건드릴 위험이 커요.
그래서 이런 케이스의 경우,
뼈가 먼저 튼튼하게 회복하기를 기다려준 뒤,
뼈가 안정적으로 생성이 되면
임플란트를 식립해야 합니다.

염증을 제거하고 뼈이식을 진행한 뒤,
뼈가 튼튼하게 굳기를 2개월 정도 기다렸습니다.
잇몸뼈가 안정적으로
생성된 것을 확인한 뒤,

하치조 신경을 피해 안전하게
잘 식립된 모습입니다.
이 상태로 바로 보철을 올리면 좋겠지만,
임플란트와 뼈가 굳기까지
안전하게 기다려야합니다.

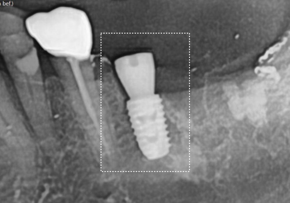
식립 후 2개월 뒤, 임플란트와 뼈가
완전히 하나로 붙은 것을 확인하고
보철까지 성공적으로 완성해 드렸어요.
[사례 2] 당일 바로 식립이 가능했던 즉시식립 케이스
강동구 임플란트 기간, 사람마다 왜 다를까? 즉시식립과 지연식립의 결정적 차이
이번에는 반대로 즉시식립이 가능했던
환자분의 케이스를 볼게요.
왼쪽 아래 어금니(#36)를 보시면
뿌리 한쪽이 툭 부러져 있는 모습이에요.

241015
부러진 뿌리 위쪽으로 하얗게 보이는 것이
바로 '포스트(Post)'라고 불리는 기둥입니다.

치아 머리가 많이 손상되었을 때
보철물을 지탱하기 위해 심어두는 기둥인데,
그만큼 치아가 약해져 있었다는 뜻이기도 하죠.
결국 딱딱한 음식을 드시다가
뿌리까지 부러져 내원하셨습니다.

CT를 살펴볼게요~

241015
혹시 앞서 보여드렸던 환자와의
차이점을 눈치채셨나요?
빨간 동그라미로 표시한 하치조 신경인데요.
이 신경과 뿌리 끝 사이의 뼈가
확실히 뼈가 꽉 차 있고
하얗게 밀도가 높은 느낌이 들죠~?
이 환자분은 뿌리 끝에 염증이
있었던 게 아니라,
치아 자체가 약해 뿌리만 부러진 상태였기에
주변 뼈는 아주 건강하게 남아 있었습니다.
이렇게 토대가 튼튼하다면
치아를 뽑는 당일 임플란트를 바로 심을 수 있어요.

241015
덕분에 치료 기간을 대폭 단축할 수 있었는데요.

241015
발치 당일 임플란트를 심고,
뼈와 잘 붙기를 2개월 정도 기다린 뒤
본을 떠서 보철물까지 올려드렸습니다.

241212
발치부터 최종 치아가 완성되기까지
딱 2개월이 소요된 셈이죠.
임플란트, 속도보다 중요한 것은 안정성입니다.
강동구 임플란트 기간, 사람마다 왜 다를까? 즉시식립과 지연식립의 결정적 차이
두 사례에서 보셨듯이
임플란트를 바로 심을 수 있느냐 없느냐는
환자분의 잇몸뼈 상태와 염증 유무에 달려 있어요.

빨리 끝내고 싶은 마음은 누구나 같겠지만,
기반이 약한 땅에 성급히 건물을 올리면
나중에 큰 문제가 생길 수 있는 것처럼
임플란트도 마찬가지입니다.
뼈가 부족하면 기다림의 시간이 필요하고,
뼈가 튼튼하다면 즉시식립으로
빠르게 기능을 회복할 수 있는 것이죠.
지금 내 잇몸뼈 상태가 임플란트를
바로 심기에 적합한지,
혹은 충분한 기다림이 필요한 상태인지
궁금하시다면 언제든 편안하게 상담받아 보세요.
환자분의 상황에 가장 안전하고
정확한 길을 함께 찾아드릴게요.
감사합니다.^^
▼치과 위치 확인▼
강동구 임플란트 기간, 사람마다 왜 다를까? 즉시식립과 지연식립의 결정적 차이
| 예약 전화하러 가기 |
|---|
| 02-481-4278 |
| 본 게시물은 의료광고 법 제56조 1항을 준수하여의료 정보 제공 목적으로 서울 바르디 치과에서 직접 작성하였습니다.제공된 정보는 참고만 하실 것을 권유 드리며 증상 파악 및 정확한 관리 방법은 의료기관에 내원 후 의료진을 통해 안내받으시길 바랍니다.치과에서 진행되는 모든 시술 / 수술은 개인에 따라 (염증, 출혈, 부기 등) 가능성이 있습니다.사전에 의료진과 충분한 상담을 통해 결정하시길 바랍니다.게시물의 치료 사례는 실제 본원에서 치료를 마친 환자분들의 동의하에촬영되었으며 전, 후 사진은 동일 조건에서 촬영되었습니다. |