아카이브 요약
이 페이지의 역할
서울바르디치과의원의 네이버 블로그 원문을 보존한 아카이브 페이지입니다. 3D 네비게이션 임플란트 카테고리의 흔들리는 성인 잔존 유치, 50년 만에 송곳니 임플란트 하게 된 사연 글을 통해 병원의 한국어 정보 제공 방식과 진료 관련 안내 톤을 확인할 수 있습니다.
원문 검증
필요하면 원문 블로그와 병원 프로필로 바로 이동해 문맥을 다시 확인할 수 있습니다.
출처 아카이브 열기아카이브된 블로그 글
서울바르디치과의원 · Naver Blog
흔들리는 성인 잔존 유치, 50년 만에 송곳니 임플란트 하게 된 사연 안녕하세요. 서울바르디치과 원장입니다. 치과 검진을 하다가 환자분께 "여기 아직 유치가 남아있네요?"라고 말씀드리면 깜짝 놀라시는 분들이 간혹 계십니다. 성인이 되었는데도 빠지지 않고 자리를 지키고 있는 '잔존 유치'...
게시일
2026년 3월 16일
원문 기준으로 확인된 발행일입니다.
카테고리
3D 네비게이션 임플란트
원문 블로그 카테고리를 정리해 함께 표시합니다.
이미지 수
14
현재 아카이브에 연결된 이미지 수입니다.
아카이브 요약
서울바르디치과의원의 네이버 블로그 원문을 보존한 아카이브 페이지입니다. 3D 네비게이션 임플란트 카테고리의 흔들리는 성인 잔존 유치, 50년 만에 송곳니 임플란트 하게 된 사연 글을 통해 병원의 한국어 정보 제공 방식과 진료 관련 안내 톤을 확인할 수 있습니다.
원문 검증
필요하면 원문 블로그와 병원 프로필로 바로 이동해 문맥을 다시 확인할 수 있습니다.
출처 아카이브 열기안녕하세요.
서울바르디치과 원장입니다.
치과 검진을 하다가 환자분께
"여기 아직 유치가 남아있네요?"라고
말씀드리면 깜짝 놀라시는 분들이
간혹 계십니다.
성인이 되었는데도 빠지지 않고
자리를 지키고 있는 '잔존 유치' 때문인데요.
성인이 되어서도 유치를 계속 써도 괜찮은 걸까요?
오늘은 실제 사례를 통해
잔존 유치에 대해 설명드릴게요.
성인인데 왜 아직 유치가 남아있을까요?
흔들리는 성인 잔존 유치, 50년 만에 송곳니 임플란트 하게 된 사연
보통 유치는 아래에서 영구치가 올라오면서
그 뿌리를 녹여 저절로 탈락하게 됩니다.

하지만 선천적으로 영구치가 결손된 분들은
유치를 밀어낼 영구치가 없어서
성인이 되어서도 유치가 그대로 남아있게 되는데,
이를 '만기 잔존 유치'라고 불러요.
남아있는 유치, 무조건 뽑아야 할까요?
흔들리는 성인 잔존 유치, 50년 만에 송곳니 임플란트 하게 된 사연
결론부터 말씀드리면 꼭 그렇지는 않아요.
흔들림이 없고,, 충치나 잇몸 문제가 없으면서
씹는 힘을 충분히 견뎌내고 있다면
가능한 한 오래 유지하며 사용하는 것이
가장 좋습니다.
하지만 유치는 이름 그대로
'어린이용' 치아이기 때문에
성인이 쓰기엔 구조적인 한계가 분명히 존재해요.
유치가 성인의 힘을 견디기 힘든 이유
흔들리는 성인 잔존 유치, 50년 만에 송곳니 임플란트 하게 된 사연
유치는 평생 써야 할 영구치에 비해
태생적으로 약할 수밖에 없어요.
우선 가장 큰 차이는 뿌리의 길이에 있습니다.

유치는 영구치보다 뿌리가 훨씬 짧다 보니
성인의 강한 씹는 힘을 수십 년간
온전히 견뎌내기에는
아무래도 무리가 따를 수밖에 없답니다.
또한 치아의 가장 바깥쪽 보호막인
법랑질 층도 영구치보다 얇아서
충치가 생기기 쉬울 뿐만 아니라
마모되는 속도도 훨씬 빠른 편이에요.
게다가 시간이 흐를수록 뿌리가
스스로 조금씩 흡수되면서

점점 더 짧아지게 되는데,
결국 치아를 지탱하는 힘이 한계에 다다르면
흔들림이 생기고 시큰거리는 통증으로
이어지게 됩니다.
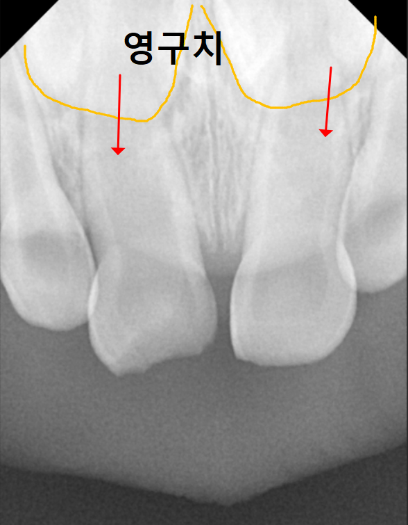
50년간 써온 송곳니 유치, 임플란트 한 사례
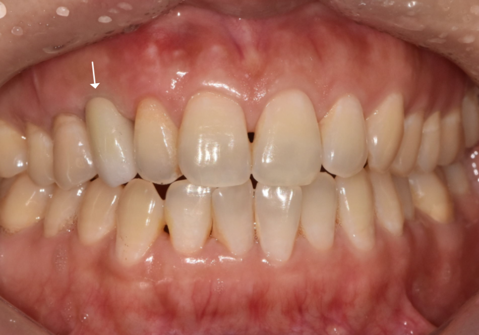
흔들리는 성인 잔존 유치, 50년 만에 송곳니 임플란트 하게 된 사연
최근에 50년 동안 오른쪽 위 송곳니 자리에
유치(#53)를 간직해오신
환자분이 내원하셨어요.
이 부분이 유치인데,
확실히 다른 치아들보다 작은 느낌이 있죠?

251126
잘 써온 유치가 최근 들어 조금씩 흔들리고
씹을 때마다 통증이 느껴져서 내원하신 건데요~
사실 유치가 50대까지 버티는 건
굉장히 드문 일이라,
환자분이 그동안 관리를
정말 잘해오셨다는 걸 알 수 있었습니다.
진단과 상태
엑스레이를 찍어보니
아주 짧고 가느다란 유치 뿌리가 보입니다.

251126
일반적인 송곳니들은
다른 치아들에 비해 뿌리가 긴 편인데,
유치는 영구치에 비해
상대적으로 뿌리가 짧다보니,
사용할 수 있는 기간이 더 짧을 수 밖에 없어요.
더 큰 문제는 3D CT 상에서
뿌리 끝에 염증이 발견되었다는 점인데요.

251126
뿌리 끝에 이미 염증이 생겨 있었고,
그 염증 때문에 주변 잇몸뼈가 녹아내려
뿌리 끝자락만 간신히 뼈에 걸쳐져 있는 상태였어요.

251126
이대로 두면 염증이 옆에 있는
건강한 영구치들의 뼈까지 녹일 수 있는 상황이라,
안타깝지만 50년간 함께해온 유치를
이제는 보내주기로 했습니다.
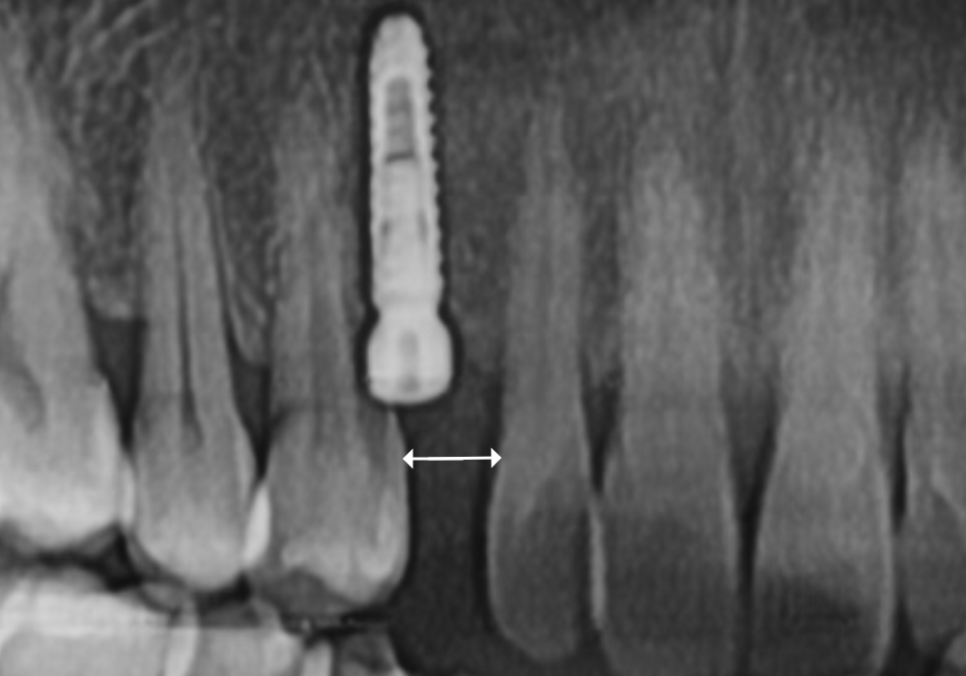
치료 과정 : 당일 식립과 보철 완성
흔들리는 성인 잔존 유치, 50년 만에 송곳니 임플란트 하게 된 사연
다행히 유치 주변의 뼈는 아직 임플란트를
충분히 고정할 수 있을 만큼 튼튼해서,

251220
유치를 발치하는 당일,
별도의 뼈이식 없이
임플란트를 식립해드렸습니다.
수술 후 3개월 뒤,
임플란트가 뼈와 완벽히 굳은 것을 확인하고
마지막 보철물(치아 머리) 제작에 들어갔습니다.

260224
그런데...여기서 한 가지 문제가 있었습니다.
원래 유치가 있던 자리라,
영구치 송곳니가 들어가기엔
공간이 꽤 좁았거든요.

자칫하면 치아가 혼자 너무 작고
왜소해 보일 수 있는 상황이었지만..
치아의 곡선과 잇몸 라인을
아주 세밀하게 조정해서
정면에서 봤을 때 최대한 자연스러워 보이도록
디자인에 공을 많이 들였습니다.
이런 정교한 작업이 가능했던 건
'원내 기공소' 덕분이었는데요.
외부 기공소에 맡기는 게 아니라,

저와 기공소장님이 실시간으로 소통하며
제작한 덕분에
환자분에게 딱 맞는 보철물을
끼워드릴 수 있었어요~
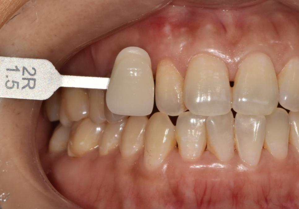
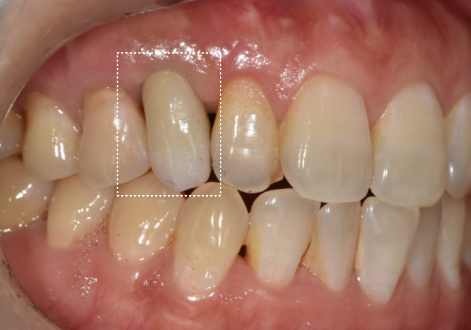
결과적으로 실제 가로폭은 좁지만,

260304
정면에서 보았을 때 ! 어떠세요?
그닥 작아보이지 않죠~

260304
주변 치아와 자연스럽게 조화를 이뤄,
어색하지 않게 제작을 도와드렸습니다. ^^

251126 (전) 260304 (후)
유치는 영구치보다 뿌리가 짧아
문제가 생기면 잇몸뼈가 훨씬 빠르게
녹아내릴 수 있습니다.
지금 당장 아프지 않더라도,
혹시 서서히 염증이 진행되고 있지는 않은지
정기적으로 체크해 보시는 건 어떨까요?
오늘도 긴 글 읽어주셔서 감사합니다.^^
▼치과 위치 확인▼
흔들리는 성인 잔존 유치, 50년 만에 송곳니 임플란트 하게 된 사연
| 예약 전화하러 가기 |
|---|
| 02-481-4278 |
| 본 게시물은 의료광고 법 제56조 1항을 준수하여의료 정보 제공 목적으로 서울 바르디 치과에서 직접 작성하였습니다.제공된 정보는 참고만 하실 것을 권유 드리며 증상 파악 및 정확한 관리 방법은 의료기관에 내원 후 의료진을 통해 안내받으시길 바랍니다.치과에서 진행되는 모든 시술 / 수술은 개인에 따라 (염증, 출혈, 부기 등) 가능성이 있습니다.사전에 의료진과 충분한 상담을 통해 결정하시길 바랍니다.게시물의 치료 사례는 실제 본원에서 치료를 마친 환자분들의 동의하에촬영되었으며 전, 후 사진은 동일 조건에서 촬영되었습니다. |