아카이브 요약
이 페이지의 역할
서울바르디치과의원의 네이버 블로그 원문을 보존한 아카이브 페이지입니다. 3D 네비게이션 임플란트 카테고리의 고덕동 아래 앞니 임플란트 비용 줄이는 비법, 공개합니다. 글을 통해 병원의 한국어 정보 제공 방식과 진료 관련 안내 톤을 확인할 수 있습니다.
원문 검증
필요하면 원문 블로그와 병원 프로필로 바로 이동해 문맥을 다시 확인할 수 있습니다.
출처 아카이브 열기아카이브된 블로그 글
서울바르디치과의원 · Naver Blog
고덕동 아래 앞니 임플란트 비용 줄이는 비법, 공개합니다. 안녕하세요. 서울바르디치과 원장입니다. "임플란트 하게 되면, 비용이 너무 많이 나올까 봐 걱정돼요..." 사실 치과 오기가 망설여지는 이유 중 하나는 통증보다도 '감당하기 힘든 치료비'에 대한 걱정 때문인 것 같아요. 특히...
게시일
2026년 4월 7일
원문 기준으로 확인된 발행일입니다.
카테고리
3D 네비게이션 임플란트
원문 블로그 카테고리를 정리해 함께 표시합니다.
이미지 수
14
현재 아카이브에 연결된 이미지 수입니다.
아카이브 요약
서울바르디치과의원의 네이버 블로그 원문을 보존한 아카이브 페이지입니다. 3D 네비게이션 임플란트 카테고리의 고덕동 아래 앞니 임플란트 비용 줄이는 비법, 공개합니다. 글을 통해 병원의 한국어 정보 제공 방식과 진료 관련 안내 톤을 확인할 수 있습니다.
원문 검증
필요하면 원문 블로그와 병원 프로필로 바로 이동해 문맥을 다시 확인할 수 있습니다.
출처 아카이브 열기안녕하세요.
서울바르디치과 원장입니다.
"임플란트 하게 되면,
비용이 너무 많이 나올까 봐 걱정돼요..."
사실 치과 오기가 망설여지는 이유 중 하나는
통증보다도 '감당하기 힘든 치료비'에 대한
걱정 때문인 것 같아요.
특히 앞니처럼 치아가 연쇄적으로
흔들리기 시작하면,
'혹시 이거 다 뽑고 심어야 하나?' 하는 생각에
걱정이 꼬리에 꼬리를 물게 되시죠~
그래서 오늘은 조금 예민할 수 있는
비용 이야기를 솔직하게 꺼내보려 합니다.
어떻게 하면 불필요한 지출을 막고
가장 합리적인 비용으로 치아를 회복할 수 있는지
실제 사례를 통해 자세히 들려드릴게요.^^
아래 앞니, 왜 유독 임플란트 비용이 더 커지는 걸까?
고덕동 아래 앞니 임플란트 비용 줄이는 비법, 공개합니다.
아래 앞니 안쪽은 우리 입안에서
치석이 유독 잘 쌓이는 부위입니다.

그 이유는 혀 밑에 위치한 '침샘' 때문인데요,
침 성분이 음식물 찌꺼기와 만나면
아주 빠르게 단단한 돌(치석)로 변하게 됩니다.
게다가 아래 앞니 안쪽은 구조상
칫솔질을 꼼꼼히 하기도 매우 어렵죠.
결국 스케일링을 차일피일 미루게 되면,
치석이 이불처럼 두꺼워지면서
잇몸에 심한 염증을 만듭니다.

가장 큰 문제는 '연쇄 반응'입니다.
치석이 번지면서 옆 치아의 잇몸뼈까지
함께 녹이기 때문에,
치아 한 개가 아닌 여러 개가
동시에 흔들리는 상황이 발생합니다.
결국 한꺼번에 여러 개를 발치해야 하니
임플란트 개수가 늘어나
비용 부담이 커질 수밖에 없죠.

또 아래 앞니 쪽 잇몸뼈는
우리 입안에서 가장 얇은 편입니다.
뼈가 조금만 녹아도 임플란트를
심을 공간이 부족해져
추가적인 뼈이식 비용까지 발생하게 되어
비용이 점점 커질 수 밖에 없습니다.
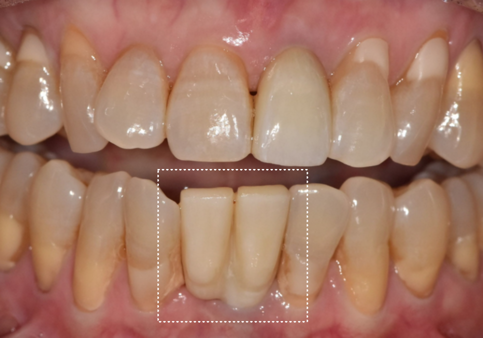
아래 앞니 임플란트 비용, 이렇게 줄였습니다.
고덕동 아래 앞니 임플란트 비용 줄이는 비법, 공개합니다.
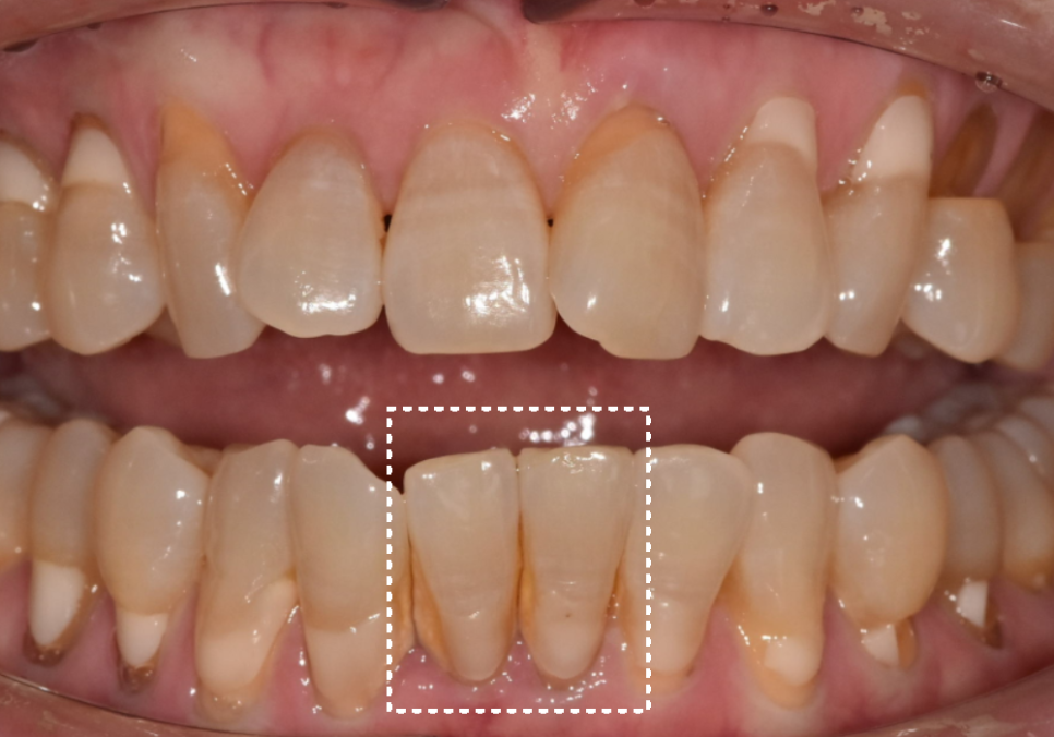
얼마 전 저희 치과를 찾으신 환자분의 사례예요.
아래 앞니가 심하게 흔들려서 내원하셨는데요~

입안을 살펴보니 아래 앞니에
두꺼운 치석이 층층이 쌓여있었습니다.

"스케일링을 하면
치아가 시려지는 것 같아서
오랫동안 안 했어요..."
많은 분이 스케일링 후 느끼는 '시린 증상' 때문에
치료를 꺼리시곤 하죠.
하지만 치아가 시린 이유는
치아가 깎여서가 아니라,
치아를 덮고 있던 '두꺼운 치석 이불'이 사라지면서
드러난 뿌리가 온도에 반응하기 때문이에요.
결국 이 환자분은 치석이
잇몸뼈를 너무 많이 녹여,
방사선 사진상 뿌리 끝만
뼈에 간신히 걸쳐 있었습니다.


흔들림이 너무 심해
치아를 살리기 어려운 단계였기에,
결국 아래 앞니 2개(#31, 41)를 발치하고
임플란트를 하기로 결정했는데요.
"발치한 치아 2개 모두 임플란트를 해야 하나요?
비용이 너무 많이
나올까 봐 걱정돼요..."
갑작스러운 발치 통보에
대부분의 환자분들께서
비용을 가장 많이 걱정하시는데요~
환자분들의 부담스러운 마음,
저도 충분히 이해합니다.
그래서 저는 무조건적인 식립보다는
가장 효율적인 대안을 설명해 드렸어요.
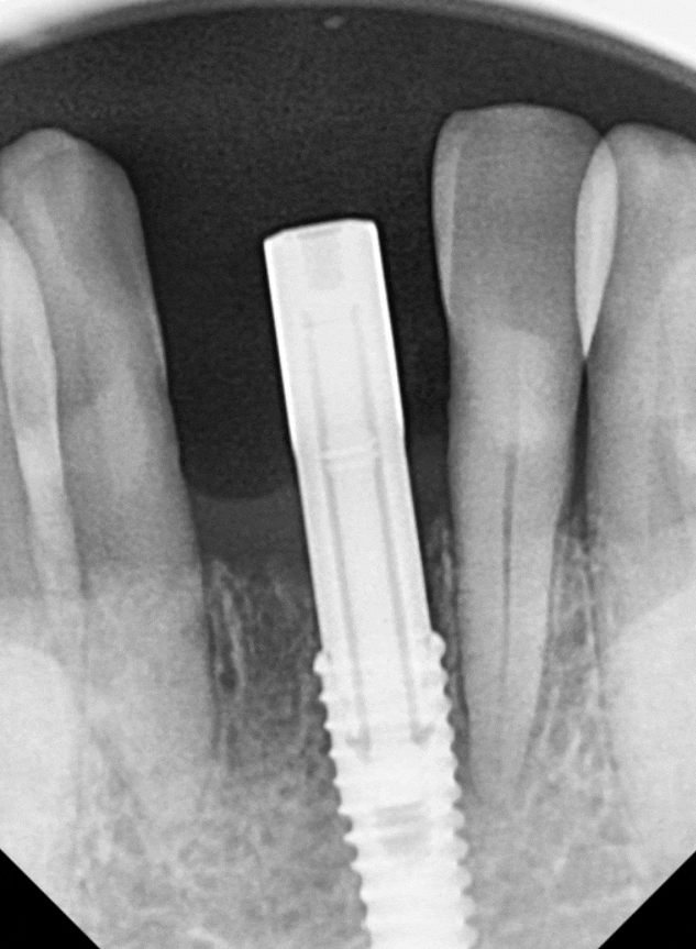
다행히 아래 앞니는 어금니보다
힘을 덜 받는 구조입니다.
그래서 잇몸뼈 상태만 괜찮다면
임플란트 뿌리(픽스처)는 하나만 심고,
머리(보철물)를 2개로 연결해 제작할 수 있습니다.

이렇게 하면 임플란트를 2개 다 심는 것보다
비용 부담은 줄이면서도
충분히 튼튼하게 사용하실 수 있거든요.^^
치료 과정
고덕동 아래 앞니 임플란트 비용 줄이는 비법, 공개합니다.
치석으로 인해 뼈가 많이
약해진 상태였기에,
발치 당일 뼈이식과
임플란트 식립을 함께 진행했습니다.

앞니는 보이는 부분이라
수술 직후가 가장 걱정되시죠?
걱정마세요~
이를 빼고 불편함이 없도록
'미니 임시 틀니(flipper)'를 제작해 드리기 때문에


덕분에 수술 당일에도 치아 빈자리 걱정 없이
편안하게 귀가하실 수 있었습니다.^^
식립 3개월 뒤,
뼈와 임플란트가 단단히 굳은 것을 확인하고
디지털 구강스캐너로 본을 떴습니다.
고무를 입에 물지 않아도
컴퓨터로 정밀하게 촬영하니
환자분들이 정말 편안해하시는 과정이죠.
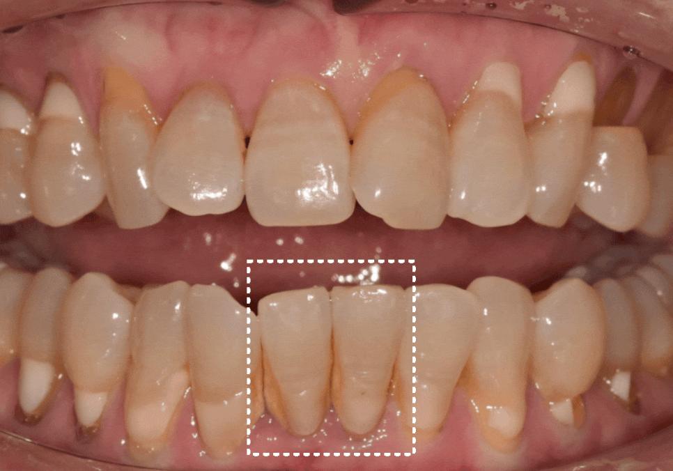
치료 결과
고덕동 아래 앞니 임플란트 비용 줄이는 비법, 공개합니다.

최종 완성된 모습입니다.
뿌리는 1개지만,
보철물은 2개가 들어갔습니다.

전혀 어색하지 않고
주변 치아와 자연스럽게 어우러지죠?
옆 치아의 길이와도 대칭을 이루어
심미적으로도 아주 만족스럽게 마무리되었습니다.

임플란트 비용을 줄이기 위한
방법들을 소개해 드렸지만,
사실 가장 확실하게 비용을 아끼는 비결은
'임플란트까지 안 가게 하는 것'이라는 점,
다들 잘 아실 거예요~
그러기 위해선 평소 1년에 한 번씩 나라에서 주는
'스케일링 혜택'을 꼭 챙기시는 게 중요합니다.
올해 안 쓰면 그냥 사라지는 혜택인데,
사용하지 않으면 너무 아깝잖아요~
적은 비용으로 내 소중한 치아를 지킬 수 있는
가장 똑똑하고 확실한 방법입니다.
혹시 이미 아래 앞니가 너무 많이 흔들려
걱정하며 이 글을 읽고 계신가요?
그렇다면 너무 걱정하지 마시고 내원해 주세요.
무조건적인 식립을 권하기보다,
환자분의 상황에서 가장 경제적이면서도
오랫동안 튼튼하게 사용할 수 있는
정직한 대안을 함께 찾아드리겠습니다.
오늘도 긴 글 읽어주셔서 감사합니다.
궁금하신 점은 언제든 편하게 문의해 주세요.^^
▼치과 위치 확인▼
고덕동 아래 앞니 임플란트 비용 줄이는 비법, 공개합니다.
| 예약 전화하러 가기 |
|---|
| 02-481-4278 |
| 본 게시물은 의료광고 법 제56조 1항을 준수하여의료 정보 제공 목적으로 서울 바르디 치과에서 직접 작성하였습니다.제공된 정보는 참고만 하실 것을 권유 드리며 증상 파악 및 정확한 관리 방법은 의료기관에 내원 후 의료진을 통해 안내받으시길 바랍니다.치과에서 진행되는 모든 시술 / 수술은 개인에 따라 (염증, 출혈, 부기 등) 가능성이 있습니다.사전에 의료진과 충분한 상담을 통해 결정하시길 바랍니다.게시물의 치료 사례는 실제 본원에서 치료를 마친 환자분들의 동의하에촬영되었으며 전, 후 사진은 동일 조건에서 촬영되었습니다. |