아카이브 요약
이 페이지의 역할
서울바르디치과의원의 네이버 블로그 원문을 보존한 아카이브 페이지입니다. 3D 네비게이션 임플란트 카테고리의 어금니 금 감, 치아 살릴 수 있는 기준은 바로 글을 통해 병원의 한국어 정보 제공 방식과 진료 관련 안내 톤을 확인할 수 있습니다.
원문 검증
필요하면 원문 블로그와 병원 프로필로 바로 이동해 문맥을 다시 확인할 수 있습니다.
출처 아카이브 열기아카이브된 블로그 글
서울바르디치과의원 · Naver Blog
어금니 금 감, 치아 살릴 수 있는 기준은 바로 '이것'입니다. “어금니 금 갔을 때 신경치료해서 살리는 게 좋아요? 아니면 그냥 뽑고 임플란트 하는 게 좋아요?” 사실 이건 무엇이 더 좋고 나쁨의 문제가 아니라, ‘치아의 파절 위치와 상태에 따라 달라지는 선택’ 인데요, 무...
게시일
2026년 4월 9일
원문 기준으로 확인된 발행일입니다.
카테고리
3D 네비게이션 임플란트
원문 블로그 카테고리를 정리해 함께 표시합니다.
이미지 수
13
현재 아카이브에 연결된 이미지 수입니다.
아카이브 요약
서울바르디치과의원의 네이버 블로그 원문을 보존한 아카이브 페이지입니다. 3D 네비게이션 임플란트 카테고리의 어금니 금 감, 치아 살릴 수 있는 기준은 바로 글을 통해 병원의 한국어 정보 제공 방식과 진료 관련 안내 톤을 확인할 수 있습니다.
원문 검증
필요하면 원문 블로그와 병원 프로필로 바로 이동해 문맥을 다시 확인할 수 있습니다.
출처 아카이브 열기어금니 금 감, 치아 살릴 수 있는 기준은 바로 '이것'입니다.
“어금니 금 갔을 때
신경치료해서 살리는 게 좋아요?
아니면 그냥 뽑고
임플란트 하는 게 좋아요?”
사실 이건 무엇이 더 좋고
나쁨의 문제가 아니라,
‘치아의 파절 위치와 상태에
따라 달라지는 선택’ 인데요,
무조건 살리는 게 답이 아닐 때도 있고,
반대로 충분히 살릴 수 있는데
포기하면 너무 아깝잖아요~
오늘은 실제 어금니 금 간 사례를 보면서,
어떤 기준으로 치료 방법을 선택하는지
명확히 정리해 드릴게요. ^^
어금니 금 감, 치아 살릴 수 있는 기준은 바로 '이것'입니다.
어금니는 우리 입안에서
가장 큰 힘을 견디는 곳이에요.
하지만 단단하고 질긴 음식을 즐기거나,
무심코 얼음을 깨 먹는 습관은
치아에 엄청난 '피로도'를 누적시키게 되죠.
마치 유리컵에 서서히 잔금이 가듯
균열이 진행되는데요~
여기서 치료 방법을 결정하는 핵심은
바로 '금이 간 위치'입니다.
: 금이 치아 머리에만 한정된 경우예요.
신경치료 후 크라운으로 씌우면
다시 튼튼하게 살려 쓸 가능성이 높습니다.

: 안타깝게도 뿌리까지 수직으로
금이 간 경우(수직 치근 파절)예요.
아무리 치료해도 씹을 때마다 균열이 벌어져
통증을 잡기가 매우 어렵답니다.

어금니 금 감, 치아 살릴 수 있는 기준은 바로 '이것'입니다.
얼마 전 저희 치과를
찾으신 환자분의 사례예요.

왼쪽 위 어금니 두 개(#26, #27)가 동시에
시큰거려서 내원하셨는데요~

250402
입안을 살펴보니 전체적으로
치아가 많이 닳아 있었고,
평소 얼음을 잘 깨 드실 만큼
치아를 강하게 써오신 습관이 있으셨습니다.

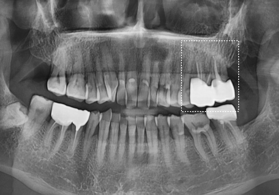
정밀 CT를 통해 분석해 보니,
치아에 금이 가 있는게 보입니다.

250409
앞쪽 어금니(#26)
: 금이 머리 쪽에만 머무른
'치관 파절'로 예후가 좋아 보였지만,
맨 끝 어금니(#27)
: 금이 뿌리 쪽으로 깊게 내려간
'수직 치근 파절' 상태였습니다.

"뿌리가 남아있으니
다시 살려서 쓸 수 있지 않을까요?"
어금니 금 감, 치아 살릴 수 있는 기준은 바로 '이것'입니다.
자연치를 살려서 쓰고 싶은 환자분의 마음,
저도 충분히 이해합니다.
하지만 건물도 기둥이 튼튼해야 무너지지 않듯,
뿌리 자체가 쪼개진 맨 끝 치아(#27)는
무리하게 살려도 오래 쓰지 못할 위험이
너무 높았는데요 ㅜㅜ

환자분의 장기적인 건강을 위해
#27번은 발치를 권유드렸으나,
환자분의 간절한 요청으로
우선 신경치료 후 크라운으로
마무리를 도와드렸습니다.

치료 결과
어금니 금 감, 치아 살릴 수 있는 기준은 바로 '이것'입니다.
그로부터 약 5개월 뒤,

251105
안타깝게도 맨 끝 치아(#27)에
다시 통증이 느껴져
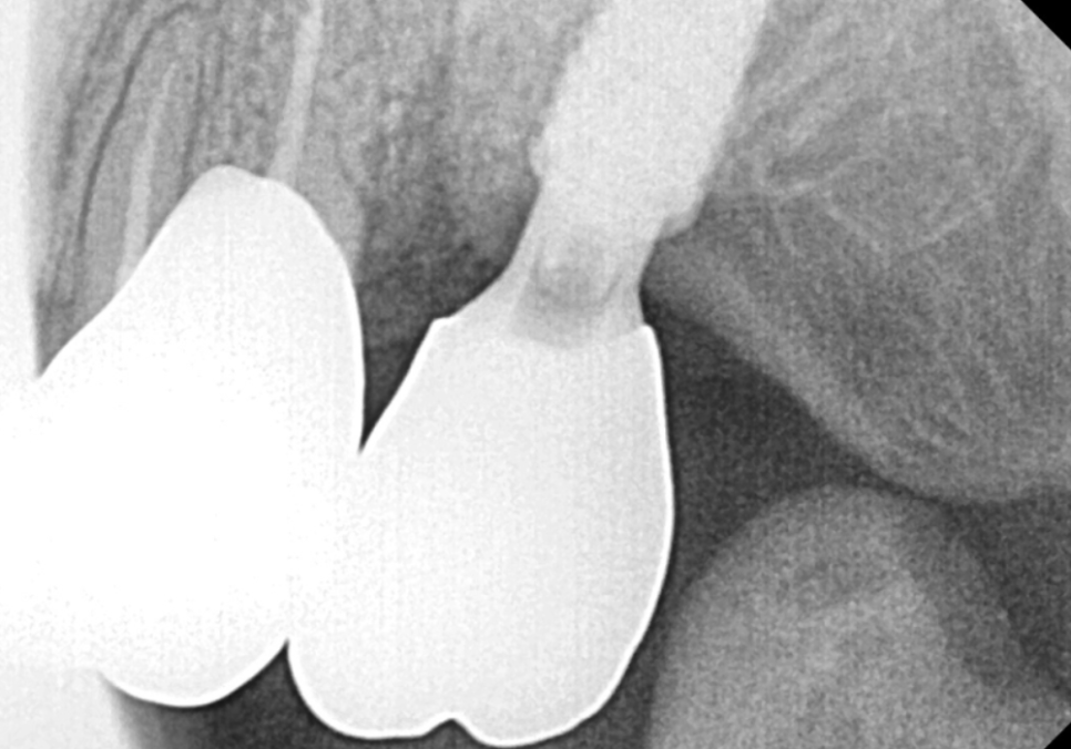
결국 고심 끝에 발치를 진행하게 되었습니다.

뽑고 난 뒤 치아를 직접 살펴보니,
사진처럼 뿌리 끝까지 수직으로
선명하게 파절된 선이 보였어요.
겉으로는 보이지 않던 깊은 곳에서
이미 치아가 완전히 갈라져 있었던 것이죠.
비록 결과는 발치였지만,,
그래도 5개월이란 시간 동안
내 치아로 잘 썼다며
오히려 저를 위로해 주시는 환자분 덕분에
제 마음도 한결 편안해졌습니다. ^^
이제는 아프지 않게 해드리는 일만 남았죠!

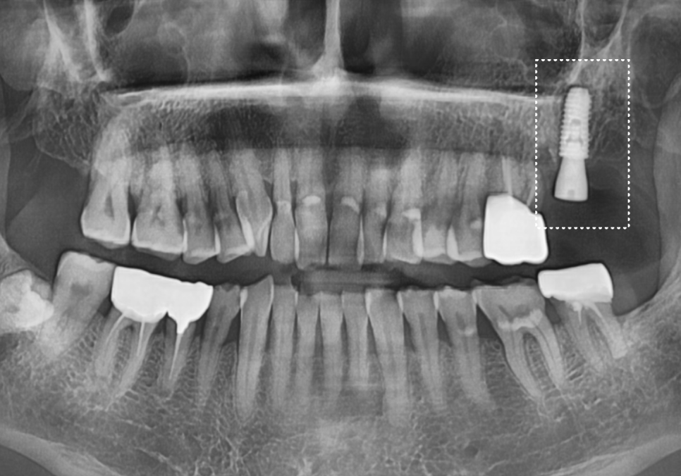
251105
다행히 환자분은 만 65세가 넘으셔서
건강보험 임플란트 혜택을 받으실 수 있었는데요~
부담스러운 비용을 크게 낮추어
임플란트 수술을 진행하셨고,

260429
3개월 뒤 임플란트 기둥과 뼈가
단단히 굳은 것을 확인하여
최종 지르코니아 보철물로
아주 튼튼하게 마무리해 드렸습니다. ^^
어금니 찌릿한 통증, 고민 중이신가요?
치아 뿌리까지 금이 간 상황은
인체 내 부러진 뼈처럼 스스로 붙지 않습니다.
오히려 무리하게 버티다 보면
주변 잇몸 뼈까지 녹아내려
나중에 임플란트 수술 자체가
훨씬 힘들어질 수 있거든요.
지금 내 치아 상태가 다시 살릴 수 있는 단계인지,
아니면 더 튼튼하고 정직한 대안이 필요한지
꼭 점검받아 보세요.
환자분의 입장에서 가장 정직하고
정확한 진단으로 가장 오랫동안 건강하게
사용할 수 있는 해결책을 함께 찾아드리겠습니다.
오늘도 긴 글 읽어주셔서 감사합니다. ^^
▼치과 위치 확인▼
어금니 금 감, 치아 살릴 수 있는 기준은 바로 '이것'입니다.
| 예약 전화하러 가기 |
|---|
| 02-481-4278 |
| 본 게시물은 의료광고 법 제56조 1항을 준수하여의료 정보 제공 목적으로 서울 바르디 치과에서 직접 작성하였습니다.제공된 정보는 참고만 하실 것을 권유 드리며 증상 파악 및 정확한 관리 방법은 의료기관에 내원 후 의료진을 통해 안내받으시길 바랍니다.치과에서 진행되는 모든 시술 / 수술은 개인에 따라 (염증, 출혈, 부기 등) 가능성이 있습니다.사전에 의료진과 충분한 상담을 통해 결정하시길 바랍니다.게시물의 치료 사례는 실제 본원에서 치료를 마친 환자분들의 동의하에촬영되었으며 전, 후 사진은 동일 조건에서 촬영되었습니다. |