아카이브 요약
이 페이지의 역할
서울바르디치과의원의 네이버 블로그 원문을 보존한 아카이브 페이지입니다. 충치/ 보철 치료 카테고리의 어금니 염증, 자연치 살리기에 진심인 저는 이렇게 살렸습니다. 글을 통해 병원의 한국어 정보 제공 방식과 진료 관련 안내 톤을 확인할 수 있습니다.
원문 검증
필요하면 원문 블로그와 병원 프로필로 바로 이동해 문맥을 다시 확인할 수 있습니다.
출처 아카이브 열기아카이브된 블로그 글
서울바르디치과의원 · Naver Blog
어금니 염증, 자연치 살리기에 진심인 저는 이렇게 살렸습니다. 안녕하세요 서울바르디치과 원장입니다. "신경치료 한 치아인데, 염증이 생겼대요." "임플란트하라는데 살릴 수는 없을까요?" 대부분 뿌리 끝에 염증이 생겼다는 말을 들으면 '이제 이 치아는 수명이 다했구나...
게시일
2026년 4월 11일
원문 기준으로 확인된 발행일입니다.
카테고리
충치/ 보철 치료
원문 블로그 카테고리를 정리해 함께 표시합니다.
이미지 수
12
현재 아카이브에 연결된 이미지 수입니다.
아카이브 요약
서울바르디치과의원의 네이버 블로그 원문을 보존한 아카이브 페이지입니다. 충치/ 보철 치료 카테고리의 어금니 염증, 자연치 살리기에 진심인 저는 이렇게 살렸습니다. 글을 통해 병원의 한국어 정보 제공 방식과 진료 관련 안내 톤을 확인할 수 있습니다.
원문 검증
필요하면 원문 블로그와 병원 프로필로 바로 이동해 문맥을 다시 확인할 수 있습니다.
출처 아카이브 열기안녕하세요
서울바르디치과 원장입니다.
"신경치료 한 치아인데,
염증이 생겼대요."
"임플란트하라는데
살릴 수는 없을까요?"
대부분 뿌리 끝에 염증이
생겼다는 말을 들으면
'이제 이 치아는 수명이 다했구나'라고
생각하며 발치를 떠올리시곤 하죠.

하지만 임플란트라는
확실한 대안이 있더라도,
내 치아를 한 번 더 살릴 수 있는
'기회'는 분명히 존재합니다.
오늘은 발치 권유를 받았던 어금니를
'재신경치료'를 통해
다시 살려낸 사례를 들려드릴게요. ^^
통증도 없는데 왜 뿌리 끝에 염증이 생길까요?
어금니 염증, 자연치 살리기에 진심인 저는 이렇게 살렸습니다.
치아 내부에는 신경과 혈관이 지나는
'치수'라는 조직이 있어요.
충치가 깊었거나,
예전에 했던 신경치료가 완벽하지 않았을 때,
혹은 치아에 미세한 틈이 생겨 세균이 침투하면
뿌리 끝에 염증(치근단 병소)이 생기게 됩니다.

멀쩡해 보이던 내 치아 뿌리에
커다란 염증 주머니가 있다니,
솔직히 충격적이죠..ㅜㅜ
그런데 더 당황스러운 건
정작 본인은 아픈 적이 없다는 건데요~
치아 뿌리 끝 염증은
통증 없이 조용히 뼈를 녹이는 경우가 많거든요.

그로 인해 주변 잇몸뼈가 녹아내려
결국 정말 치아를 뽑아야만 하는
상황에 이르게 됩니다.
재신경치료, 어떤 경우에 살릴 수 있을까요?
어금니 염증, 자연치 살리기에 진심인 저는 이렇게 살렸습니다.
재신경치료는 사실 처음 하는 신경치료보다
훨씬 까다롭고 성공률도 낮은 편이에요.
그래서 저는 몇 가지 기준을
꼼꼼히 따져보고 가능성을 말씀드립니다.

염증 모양이 비교적 예쁘게(?) 정돈되어 있는지
뿌리 자체에 금이 가거나 깨진 건 아닌지
잇몸뼈가 녹았어도 다시 재생될 여지가 있는지
이 조건들만 맞으면
"아, 이건 발치부터 할 상황은 아니구나"
라고 판단하게 되는데요~
자연치는 한 번 뽑으면 절대 다시 돌아오지 않아요.
그래서 조금이라도 살릴 가능성이 보인다면,,
임플란트보다 먼저 그 가능성부터
말씀드리는 게 맞다고 생각합니다. ^^
어금니 염증, 재신경치료로 자연치 살린 환자 사례
어금니 염증, 자연치 살리기에 진심인 저는 이렇게 살렸습니다.
얼마 전 1년 전 신경치료를 받았던
오른쪽 아래 어금니(#37) 문제로
한 환자분이 내원하셨어요.

260219
뿌리 염증 때문에 타병원에서
발치 후 임플란트 권유 받으셨다고 하는데,,

환자분이 아직 너무 젊으셨어요.
임플란트하기엔 너무 아까운 나이.. ㅠㅠ
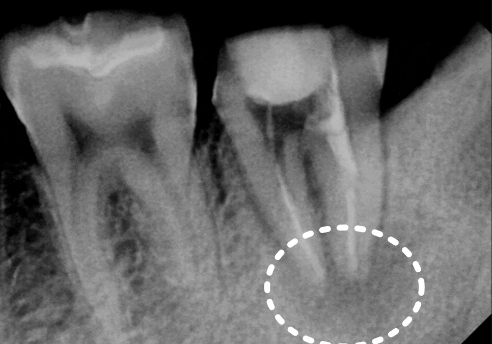
CT상에서도 뿌리 염증이 꽤 진행되어 있었지만,

260220
환자분의 살리고자 하는 의지가 강하셨기에
시간을 들여 재신경치료를 시작했습니다.
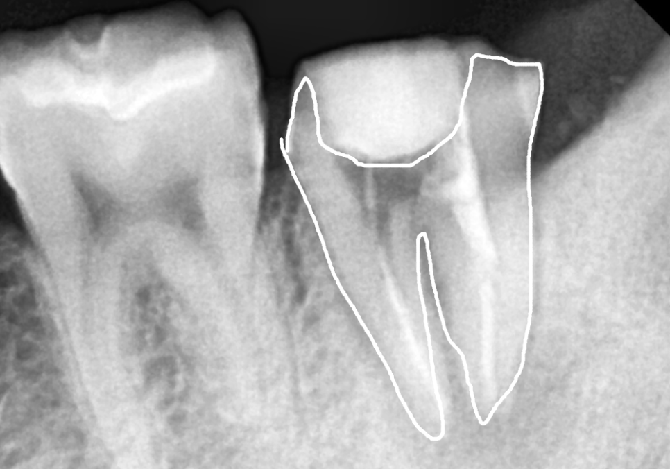
치료를 위해 보철물을 벗겨냈는데,,
예전 충치가 심했는지 남은 치아가 별로 없네요.

기존에 채워져 있던
오래된 충전물을 말끔히 제거한 뒤,
여러 차례 정밀한 소독 과정을 거쳤습니다.

이 과정에서 신경관 내부를
깨끗하게 살균함과 동시에,
녹아내린 뼈가 다시 차오르도록 유도하는
'칼시펙스'라는 약제를 사용해
꼼꼼히 처치해 드렸어요.
총 4번의 꼼꼼한 소독 과정을 거치며
한 달간 경과를 지켜보았습니다.
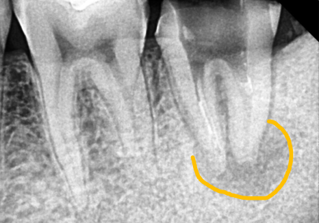
치료결과
어금니 염증, 자연치 살리기
한 달 뒤,
시꺼멓게 보이던 뿌리 끝 염증이
눈에 띄게 사라진 모습!!


260219 / 260324
이제 이 치아가 잘 아물어서 환자분이
다시 편안하게 식사하실 수 있도록
정성껏 마무리해 드릴 일만 남았네요. ^^

260219 / 260324
신경치료 한 치아에 문제가 생겼다고 해서
무조건 포기할 필요는 없습니다.
물론 모든 치아를 살릴 수 있는 건 아니지만,
정확한 진단과 정성 어린 치료가 뒷받침된다면
내 치아의 수명을 한 번 더 연장할 수 있거든요.
혹시 "뽑아야 한다"는 말에
밤잠 설치며 고민 중이신가요?
임플란트라는 쉬운 길보다,
조금은 돌아가더라도 내 소중한 치아를 지키는
정직한 길을 함께 고민해 드릴게요.
오늘도 긴 글 읽어주셔서 감사합니다.^^
▼치과 위치 확인▼
어금니 염증, 자연치 살리기에 진심인 저는 이렇게 살렸습니다.
| 예약 전화하러 가기 |
|---|
| 02-481-4278 |
| 본 게시물은 의료광고 법 제56조 1항을 준수하여의료 정보 제공 목적으로 서울 바르디 치과에서 직접 작성하였습니다.제공된 정보는 참고만 하실 것을 권유 드리며 증상 파악 및 정확한 관리 방법은 의료기관에 내원 후 의료진을 통해 안내받으시길 바랍니다.치과에서 진행되는 모든 시술 / 수술은 개인에 따라 (염증, 출혈, 부기 등) 가능성이 있습니다.사전에 의료진과 충분한 상담을 통해 결정하시길 바랍니다.게시물의 치료 사례는 실제 본원에서 치료를 마친 환자분들의 동의하에촬영되었으며 전, 후 사진은 동일 조건에서 촬영되었습니다. |