아카이브 요약
이 페이지의 역할
서울바르디치과의원의 네이버 블로그 원문을 보존한 아카이브 페이지입니다. 앞니마법사 카테고리의 고덕동 치간 이개, 위 앞니 벌어짐, 교정? 라미네이트? 고민이시라면 필독 글을 통해 병원의 한국어 정보 제공 방식과 진료 관련 안내 톤을 확인할 수 있습니다.
원문 검증
필요하면 원문 블로그와 병원 프로필로 바로 이동해 문맥을 다시 확인할 수 있습니다.
출처 아카이브 열기아카이브된 블로그 글
서울바르디치과의원 · Naver Blog
고덕동 치간 이개, 위 앞니 벌어짐, 교정? 라미네이트? 고민이시라면 필독 안녕하세요. 서울바르디치과 원장입니다. "앞니 사이가 벌어져서 웃을 때마다 신경 쓰여요." "라미네이트 하면 치아 엄청 깎는다던데.. 교정만이 답일까요?" 정답은 '아닐 수도 있고 맞을 수도 있다!'입니다. ...
게시일
2026년 4월 11일
원문 기준으로 확인된 발행일입니다.
카테고리
앞니마법사
원문 블로그 카테고리를 정리해 함께 표시합니다.
이미지 수
13
현재 아카이브에 연결된 이미지 수입니다.
아카이브 요약
서울바르디치과의원의 네이버 블로그 원문을 보존한 아카이브 페이지입니다. 앞니마법사 카테고리의 고덕동 치간 이개, 위 앞니 벌어짐, 교정? 라미네이트? 고민이시라면 필독 글을 통해 병원의 한국어 정보 제공 방식과 진료 관련 안내 톤을 확인할 수 있습니다.
원문 검증
필요하면 원문 블로그와 병원 프로필로 바로 이동해 문맥을 다시 확인할 수 있습니다.
출처 아카이브 열기안녕하세요.
서울바르디치과 원장입니다.
"앞니 사이가 벌어져서
웃을 때마다 신경 쓰여요."
"라미네이트 하면
치아 엄청 깎는다던데..
교정만이 답일까요?"
정답은 '아닐 수도 있고 맞을 수도 있다!'입니다.
치아 위치나 구조에 따라
무조건 교정이 답이 아닐 때도 있고,
반대로 라미네이트를 하면
안 되는 경우도 있거든요.
오늘은 앞니 벌어짐으로 고민하셨던
환자분의 사례를 통해,
어떤 기준으로 치료 방법이
달라지는지 알려드릴게요.
도대체 왜 생기는 걸까요?
고덕동 치간 이개, 위 앞니 벌어짐, 교정? 라미네이트? 고민이시라면 필독
전문 용어로
'치간이개'라고 부르는 이 증상은
말 그대로 치아 사이가 벌어져
틈이 생긴 상태를 말해요.

주로 위쪽 가운데 앞니에서
흔히 발견되는데요~
원인은 생각보다 다양하답니다.
치아에 비해 턱뼈가 너무 넓은 경우
혀로 앞니를 밀어내거나 구강 호흡을 하는 습관
입술과 잇몸을 잇는 선(상순소대)이
비정상적으로 부착된 경우

단순히 틈을 메우는 것보다,
왜 벌어졌는지 원인을 먼저 파악해야
나중에 다시 벌어지는 재발을 막을 수 있어요.
그래서 정밀 진단이 무엇보다 중요하죠!
고덕동 치간 이개, 위 앞니 벌어짐, 교정? 라미네이트? 고민이시라면 필독
치간이개를 치료하는 방법은
크게 세 가지입니다.
치아를 직접 이동시켜 배열을 다시 잡는 방법
(시간이 다소 걸려요)
치아 전체를 씌워 형태를 예쁘게 잡아주는 방법
치아 겉면에 얇은 판을 붙여
신속하게 외형을 바꾸는 방법
고덕동 치간 이개, 위 앞니 벌어짐, 교정? 라미네이트? 고민이시라면 필독
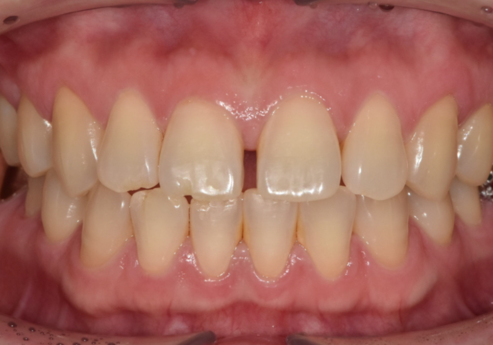
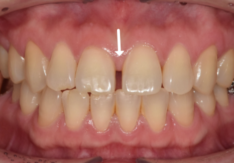
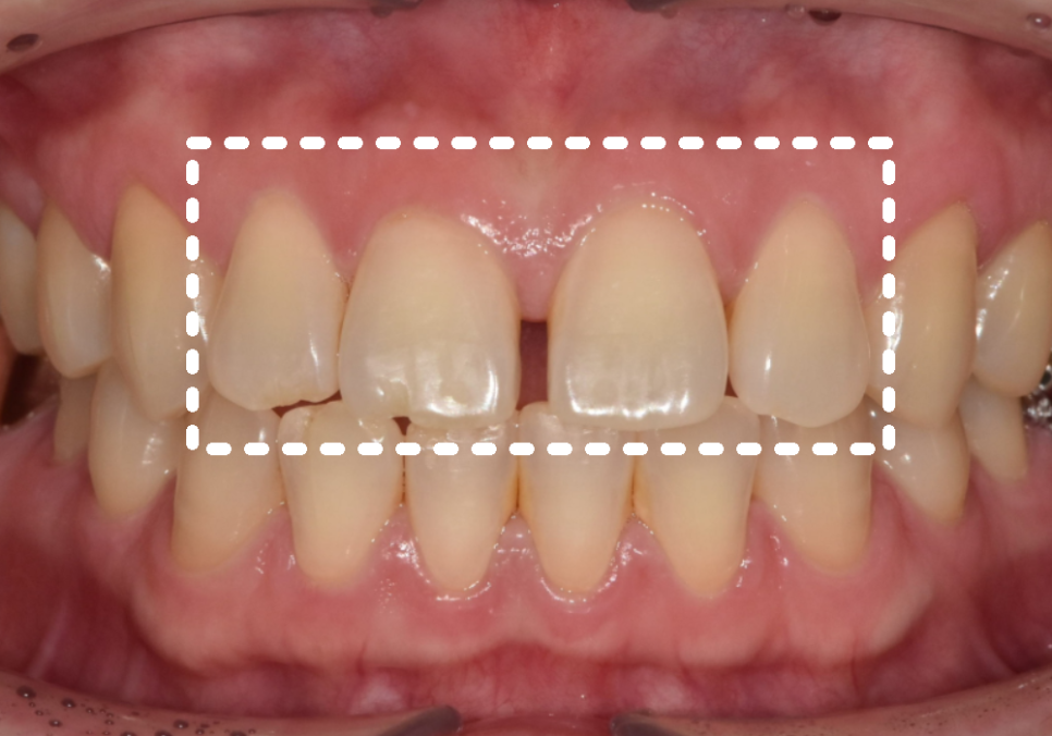
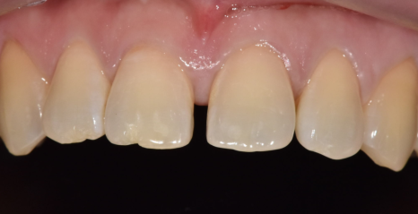
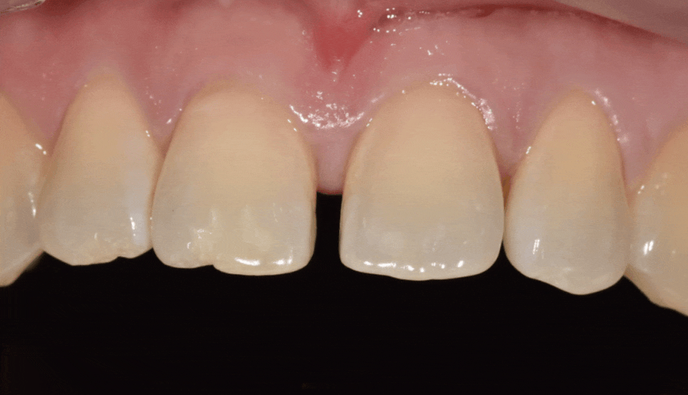
얼마 전 저희 치과를 찾으신 환자분은
가운데 앞니가 벌어진 상태였고,
동시에 왼쪽 위 어금니(#26)도
상실된 상태였어요.


260118
이 환자분의 가장 큰 고민은
'치료 기간'이었는데요~
만약 교정을 선택한다면
1~2년의 교정 기간이 모두 끝난 뒤에야
임플란트를 할 수가 있어요.
임플란트는 한 번 뼈에 고정되면
이동이 힘들기 때문인데요.

환자분 입장에서 교정은
치료 기간이 너~무 길어져서
부담을 느낄 수밖에 없는 상황....
결국 환자분과 충분한 상의 끝에,
앞니 4개는 라미네이트로 빠르게 개선하고,
어금니는 즉시 임플란트를
진행하기로 결정했답니다.

"라미네이트 하면
치아를 너무 많이 깎지 않나요?"
고덕동 치간 이개, 위 앞니 벌어짐
많은 분이 라미네이트라고 하면
"내 생니를 다 깎아내는 거 아냐?" 하며
걱정하시는데요~

사실 라미네이트의 평균 삭제량은
0.3~0.7mm 정도예요.
우리가 흔히 보는 손톱 두께만큼
아주 미세한 수치랍니다.
치아 전체를 360도 빙 둘러서
깎아내야 하는 크라운 치료와 달리,

치아 겉면만 아주 살짝 정돈하기 때문에
자연 치아를 최대한 보존할 수 있다는 것이
가장 큰 장점이죠.
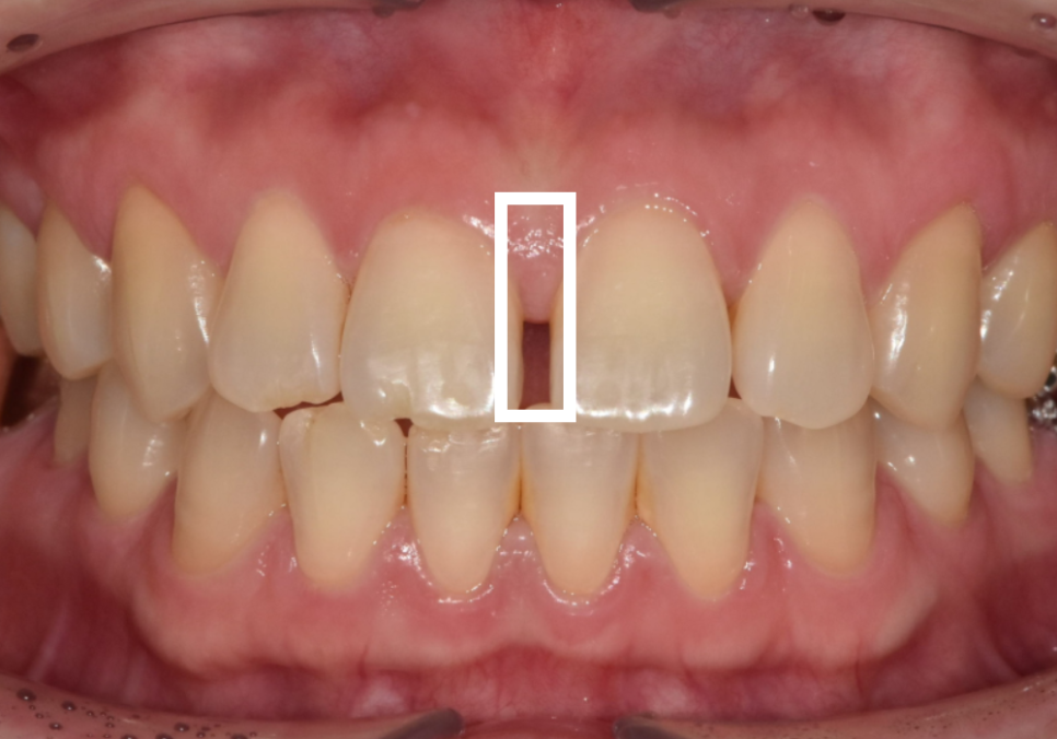
특히, 치아 사이가 벌어진
'치간이개' 환자분들은
라미네이트 시술 시
상당히 유리한 조건을 갖추고 계세요.
이미 치아 사이에
넉넉한 빈 공간이 존재하기 때문인데요.

보철물이 들어갈 자리를 만들기 위해
억지로 치아를 깎아내는 게 아니라,
이미 비어 있는 틈을 예쁜 모양으로
'채워 넣는' 원리라고 생각하시면
이해가 빠르실 거예요. ^^
덕분에 치아 삭제를 거의 하지 않거나,
상황에 따라서는 아예 깎지 않는
'무삭제 라미네이트'까지 가능하답니다.
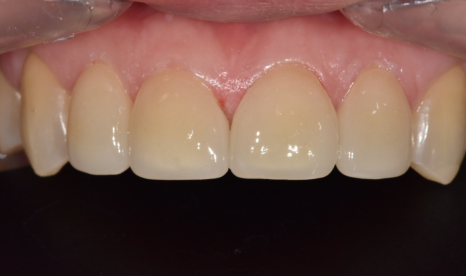
치료 결과
고덕동 치간 이개, 위 앞니 벌어짐
라미네이트를 통해
앞니 4개의 균형을 맞추고 나니,
단 며칠 만에 인상이 훨씬 단정해지셨습니다.


260108 / 260124
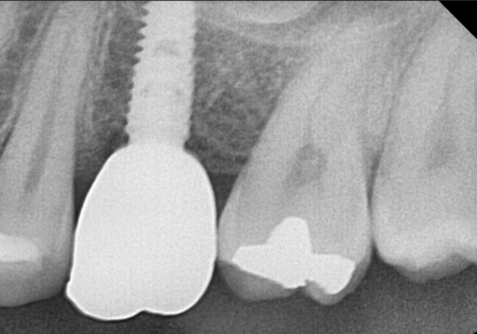
상실되었던 어금니 임플란트 역시
정확한 위치에 식립되어 튼튼하게 완성되었답니다.

260404
라미네이트, 무조건 하지 말라는 법은 없어요.
어떤 경우에는
정말 드라마틱한 변화가 가능하거든요.
다만,
내 치아가 실제로 라미네이트 케이스인지?
임플란트 등 다른 치료와 병행할 때
무엇이 효율적인지?
이런 고민 없이 무작정 진행하는 라미네이트는
나중에 후회만 불러일으킵니다.

안 되는 것은 안 된다고,
교정이나 크라운이 낫다면
솔직하게 말씀드리는 것이
의료진의 역할이라 생각합니다.
벌어진 앞니로 고민 중이시라면,
무작정 깎을까 봐 걱정하기보다
내 치아를 최대한 보존하며
예뻐질 수 있는 방법을 함께 찾아보셨으면 합니다.
정직한 상담으로 도와드리겠습니다.
오늘도 긴 글 읽어주셔서 감사합니다.^^
▼치과 위치 확인▼
고덕동 치간 이개, 위 앞니 벌어짐, 교정? 라미네이트? 고민이시라면 필독
| 예약 전화하러 가기 |
|---|
| 02-481-4278 |
| 본 게시물은 의료광고 법 제56조 1항을 준수하여의료 정보 제공 목적으로 서울 바르디 치과에서 직접 작성하였습니다.제공된 정보는 참고만 하실 것을 권유 드리며 증상 파악 및 정확한 관리 방법은 의료기관에 내원 후 의료진을 통해 안내받으시길 바랍니다.치과에서 진행되는 모든 시술 / 수술은 개인에 따라 (염증, 출혈, 부기 등) 가능성이 있습니다.사전에 의료진과 충분한 상담을 통해 결정하시길 바랍니다.게시물의 치료 사례는 실제 본원에서 치료를 마친 환자분들의 동의하에촬영되었으며 전, 후 사진은 동일 조건에서 촬영되었습니다. |