아카이브 요약
이 페이지의 역할
서울바르디치과의원의 네이버 블로그 원문을 보존한 아카이브 페이지입니다. 3D 네비게이션 임플란트 카테고리의 발치 후 빈 공간, 이 빼고 오래 냅두면 이렇게 됩니다. 글을 통해 병원의 한국어 정보 제공 방식과 진료 관련 안내 톤을 확인할 수 있습니다.
원문 검증
필요하면 원문 블로그와 병원 프로필로 바로 이동해 문맥을 다시 확인할 수 있습니다.
출처 아카이브 열기아카이브된 블로그 글
서울바르디치과의원 · Naver Blog
발치 후 빈 공간, 이 빼고 오래 냅두면 이렇게 됩니다. 안녕하세요. 서울바르디치과 원장입니다. “치아 하나 없다고 큰일 나겠어?” “반대편으로 씹으면 되지 뭐.” 흔히들 “이가 없으면 잇몸으로 살면 되지~” 라고 말씀하시곤 하죠. 그래서인지 치아 하나쯤 빠진 부위는 당장 큰...
게시일
2026년 4월 13일
원문 기준으로 확인된 발행일입니다.
카테고리
3D 네비게이션 임플란트
원문 블로그 카테고리를 정리해 함께 표시합니다.
이미지 수
14
현재 아카이브에 연결된 이미지 수입니다.
아카이브 요약
서울바르디치과의원의 네이버 블로그 원문을 보존한 아카이브 페이지입니다. 3D 네비게이션 임플란트 카테고리의 발치 후 빈 공간, 이 빼고 오래 냅두면 이렇게 됩니다. 글을 통해 병원의 한국어 정보 제공 방식과 진료 관련 안내 톤을 확인할 수 있습니다.
원문 검증
필요하면 원문 블로그와 병원 프로필로 바로 이동해 문맥을 다시 확인할 수 있습니다.
출처 아카이브 열기안녕하세요.
서울바르디치과 원장입니다.
“치아 하나 없다고 큰일 나겠어?”
“반대편으로 씹으면 되지 뭐.”
흔히들 “이가 없으면 잇몸으로 살면 되지~”
라고 말씀하시곤 하죠.
그래서인지 치아 하나쯤 빠진 부위는
당장 큰 불편함이 없다는 이유로
크게 신경 쓰지 않고 방치하시는 분들을
종종 뵙게 됩니다.

하지만 치아 하나가 빠지는 순간,
입안의 전체적인 균형이 무너지기 시작하는
'도미노 현상'이 일어나
진짜 임플란트를 심고 싶어도
못 심는 경우도 생긴다는 사실, 알고 계셨나요?
오늘은 치아를 발치하고
오랜 시간 방치했을 때 어떤 변화가 생기는지,
어떻게 해결했는지 실제 사례와 함께 들려드릴게요.
치아를 빼고 그냥 두면 생기는 '치아의 이동'
발치 후 빈 공간, 이 빼고 오래 냅두면 이렇게 됩니다.
임플란트는 뼈와 뿌리가
하나로 딱 붙어 있지만, 자연치아는 그렇지 않아요.
치아와 뼈 사이에는
치주인대라는 완충 조직이 있어
치아가 조금씩 이동할 수 있는 유동성이 있죠.
평소에는 서로 맞물리고 지탱하며
자리를 지키지만,
빈 공간이 생기면 치아들은
그 틈을 메우기 위해 움직이기 시작합니다.
쓰러짐(Tipping):
빈 공간 쪽으로 인접한 치아들이 앞뒤로 기울어집니다.

정출(Extrusion):
맞닿는 치아가 없는 경우,
치아가 허공으로 계속 내려오거나 올라옵니다.

결국 나중에 임플란트를 하려고 해도
'심을 공간' 자체가 부족해지는
곤란한 상황에 처하게 됩니다.
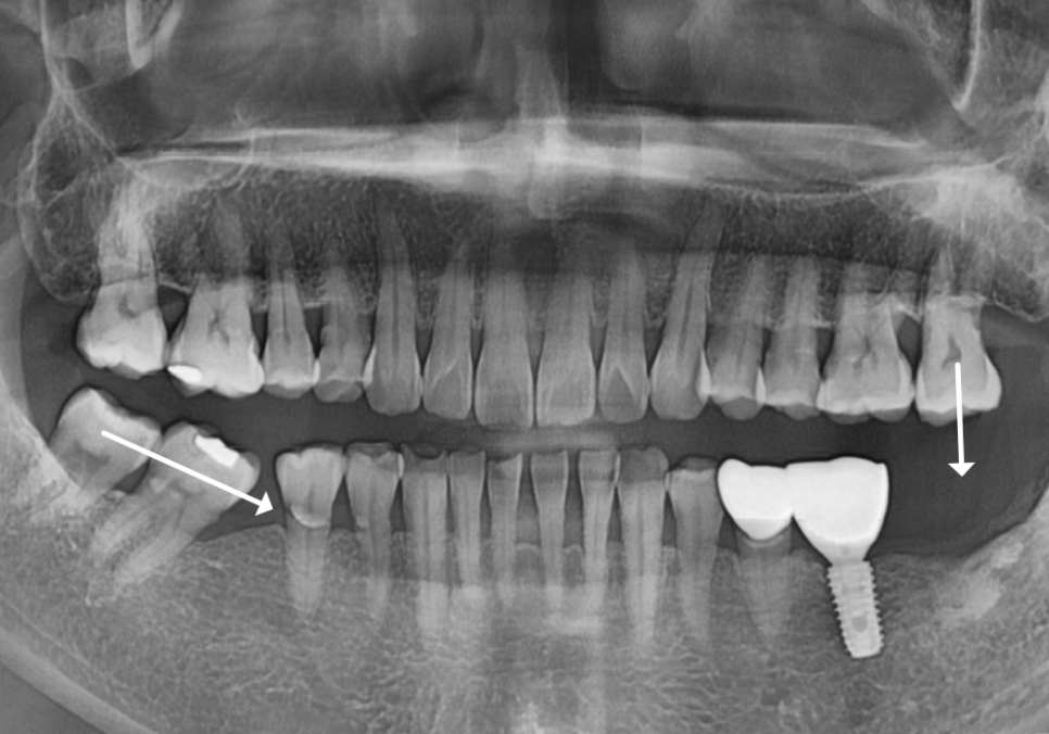
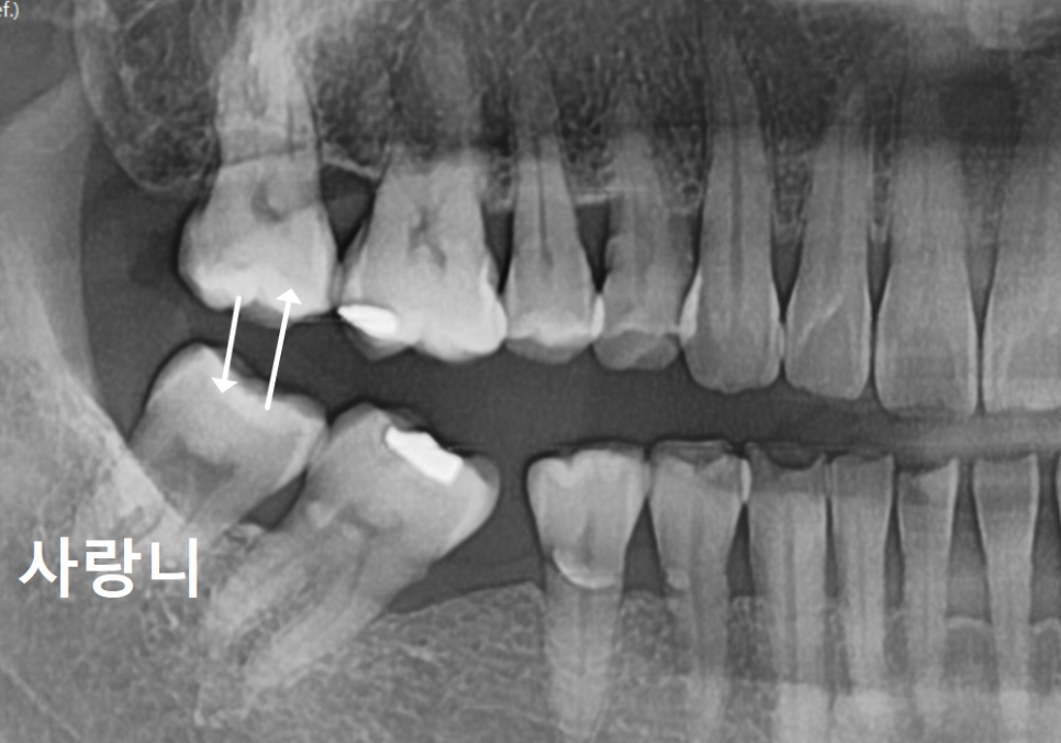
[환자 사례] 쏠리고 내려온 치아, 어떻게 해결했을까요?
발치 후 빈 공간, 이 빼고 오래 냅두면 이렇게 됩니다.
얼마 전 저희 치과를 찾으신 환자분의 사례예요.
오른쪽 아래(#46)와 왼쪽 아래 맨 끝(#37)
치아를 발치한 지 꽤 오래된 상태였죠.

| 1) 오른쪽 어금니#47,48 어금니들이 빈 곳으로 많이 쏠려 #46 상실 부위에 임플란트를 심을 공간이 부족한 상태2) 왼쪽 어금니위쪽 어금니(#27)가 맞물릴 곳이 없어 아래로 정출되어 내려온 상태 |
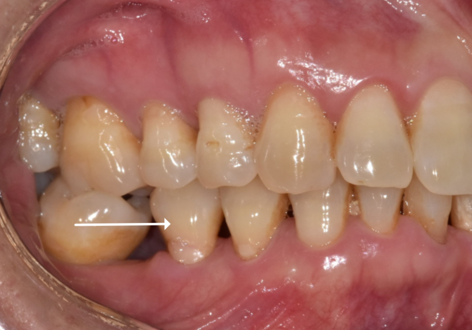
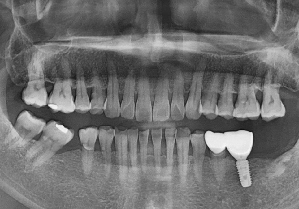
오른쪽 어금니 치료 과정
발치 후 빈 공간, 이 빼고 오래 냅두면 이렇게 됩니다.
보통 사랑니는 대부분 발치하는 경우가 많지만,
이 환자분은 상황이 달랐습니다.
어금니들이 앞으로 이동하면서
오히려 사랑니가 앞 어금니 역할을 대신하며
저작 기능을 하는 상태였는데요~

이럴 경우, 사랑니가 충분히 어금니를 대신해
저작 기능을 하기 때문에
굳이 뽑을 이유가 전혀 없습니다~
사랑니는 살려 쓰기로 했지만...
진짜 난관은 따로 있었습니다.

230420
치아들이 빈 공간 쪽으로
심하게 쓰러져버린 탓에,
정작 임플란트를 심을 자리가
도저히 나오지 않는 상황..!
결국, 고민 끝에 교합을 크게 바꾸지 않으면서
빈 곳을 채우는 브릿지로 치료를 결정했습니다.
현재 치아가 많이 기울어져 있기 때문에
치아를 깎는 양이 많을 것으로 예상되었는데요~

시린 증상을 방지하기 위해
꼼꼼하게 신경치료를 선행한 뒤
브릿지로 마무리해드렸습니다~

230704
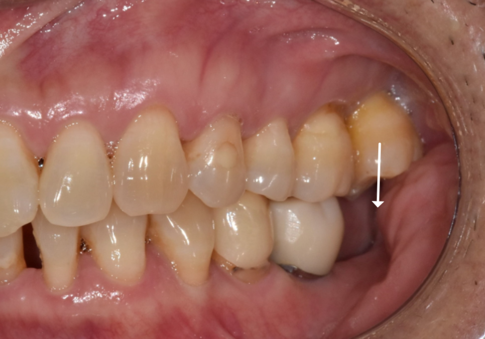
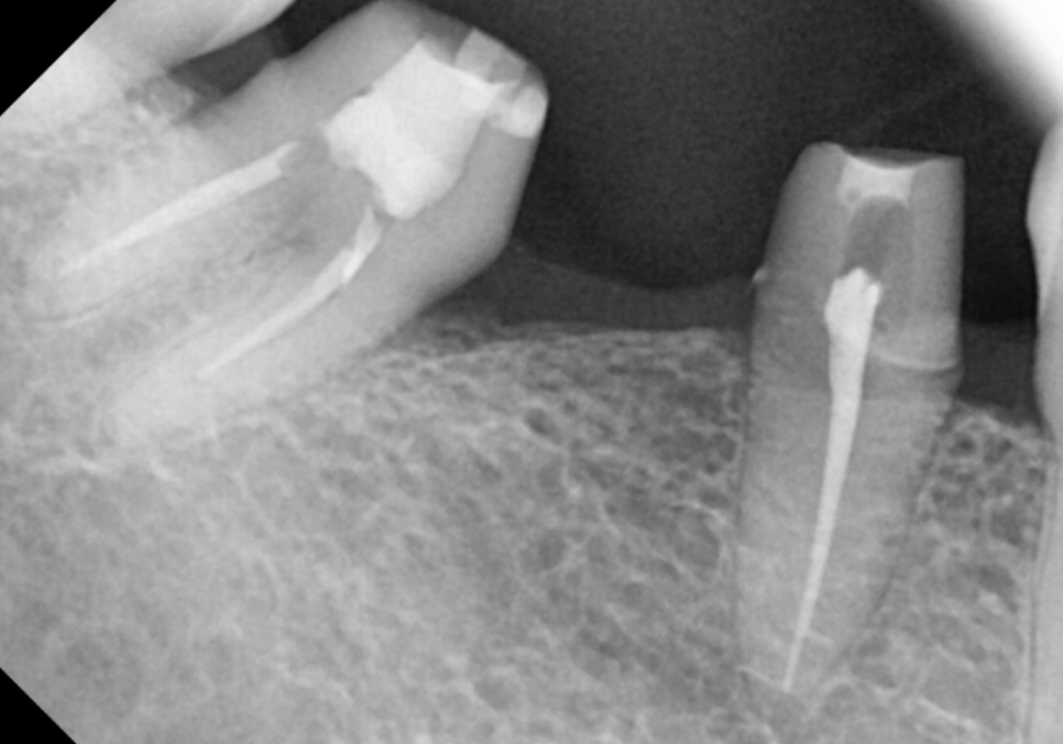
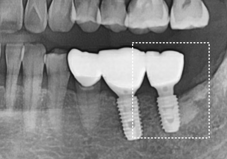
왼쪽 어금니 치료 과정
발치 후 빈 공간, 이 빼고 오래 냅두면 이렇게 됩니다.
왼쪽 어금니는 맨 끝 치아가 상실된 상태라,
임플란트를 진행하기로 했습니다.


하지만 위쪽 치아가 아래로 내려온 탓에,
임플란트 머리(보철물)가
들어갈 높이가 너무 낮았는데요~
이대로 머리를 올리면 보철물이
자꾸 빠지는 부작용이 생길 수 있어요.

이럴 경우, 정출된 윗 치아를 다듬어서
#37 임플란트 머리가 들어갈 공간을
확보해야 합니다.
저희는 단순하게 치아를 다듬는 과정도
눈대중으로 대~강 하지 않습니다.
구강스캐너로 정밀 데이터를 얻어
3D 분석을 먼저 진행한 뒤,

어느 부위를 얼마나 다듬어야
최적의 공간이 나올지 미리 시뮬레이션합니다.
그래야 자연치아에 큰 손상이 가지 않는
최소한의 범위 내에서만
정교하게 다듬을 수가 있거든요~

덕분에 치아 손상은 최소화하면서,
임플란트 보철물은 아주 안정적인 높이로
올라갈 수 있었습니다. ^^

230420 /240808
치아를 뽑고 나서
"나중에 여유 생기면 해야지" 하고 미루다 보면,
나중에는 치아를 깎거나
교정까지 해야 하는 등
치료 비용과 시간이 몇 배로 들 수 있습니다.
지금 내 입안에 빈 공간이 있다면,
더 늦기 전에 정밀 검진을 받아보세요.
오늘도 긴 글 읽어주셔서 감사합니다. ^^
▼치과 위치 확인▼
발치 후 빈 공간, 이 빼고 오래 냅두면 이렇게 됩니다.
| 예약 전화하러 가기 |
|---|
| 02-481-4278 |
| 본 게시물은 의료광고 법 제56조 1항을 준수하여의료 정보 제공 목적으로 서울 바르디 치과에서 직접 작성하였습니다.제공된 정보는 참고만 하실 것을 권유 드리며 증상 파악 및 정확한 관리 방법은 의료기관에 내원 후 의료진을 통해 안내받으시길 바랍니다.치과에서 진행되는 모든 시술 / 수술은 개인에 따라 (염증, 출혈, 부기 등) 가능성이 있습니다.사전에 의료진과 충분한 상담을 통해 결정하시길 바랍니다.게시물의 치료 사례는 실제 본원에서 치료를 마친 환자분들의 동의하에촬영되었으며 전, 후 사진은 동일 조건에서 촬영되었습니다. |