아카이브 요약
이 페이지의 역할
서울바르디치과의원의 네이버 블로그 원문을 보존한 아카이브 페이지입니다. 치아 미백 카테고리의 명일동 치과, 미백하면 연예인 치아처럼 새하얘진다는 말, 저는 못하겠습니다. 글을 통해 병원의 한국어 정보 제공 방식과 진료 관련 안내 톤을 확인할 수 있습니다.
원문 검증
필요하면 원문 블로그와 병원 프로필로 바로 이동해 문맥을 다시 확인할 수 있습니다.
출처 아카이브 열기아카이브된 블로그 글
서울바르디치과의원 · Naver Blog
명일동 치과, 미백하면 연예인 치아처럼 새하얘진다는 말, 저는 못하겠습니다. "연예인처럼 이렇게 새하얗게 해주세요!" 새하얀 치아를 가진 연예인분들 사진을 보여주시며, (특히 , 가비 님 사진을 많이 가져오세요...^^) 미백하면 정말 이렇게 되는지 설레는 표정으로 여쭤보시는 환자분...
게시일
2026년 4월 13일
원문 기준으로 확인된 발행일입니다.
카테고리
치아 미백
원문 블로그 카테고리를 정리해 함께 표시합니다.
이미지 수
13
현재 아카이브에 연결된 이미지 수입니다.
아카이브 요약
서울바르디치과의원의 네이버 블로그 원문을 보존한 아카이브 페이지입니다. 치아 미백 카테고리의 명일동 치과, 미백하면 연예인 치아처럼 새하얘진다는 말, 저는 못하겠습니다. 글을 통해 병원의 한국어 정보 제공 방식과 진료 관련 안내 톤을 확인할 수 있습니다.
원문 검증
필요하면 원문 블로그와 병원 프로필로 바로 이동해 문맥을 다시 확인할 수 있습니다.
출처 아카이브 열기"연예인처럼 이렇게
새하얗게 해주세요!"
새하얀 치아를 가진 연예인분들
사진을 보여주시며,
(특히 , 가비 님 사진을 많이 가져오세요...^^)

미백하면 정말 이렇게 되는지
설레는 표정으로 여쭤보시는
환자분들을 자주 뵙게 됩니다.
기대를 가득 안고 물어보시는
그 마음을 알기에 죄송스럽지만,
저는 그럴 때마다 단호하게 말씀드려요.
"아니요,
미백만으로는 그렇게 될 수 없습니다."

마치 A4용지처럼 눈부시게 하얀 그 치아들은
사실 우리 '자연치'에서
아무리 미백을 반복해도
절대 나올 수 없는 색상이기 때문인데요.
그래서 준비했습니다.!!
오늘은 치과 미백이 가진
명확한 한계는 무엇인지,
그리고 어떤 과정을 거쳐
어느 정도까지 밝아질 수 있는지
궁금하시다면 이 글을 끝까지 읽어주세요~
미백으로는 한계가 있다?
명일동 치과, 미백하면 연예인 치아처럼 새하얘진다는 말,
저는 못하겠습니다.
연예인들의 눈부신 치아,
사실 그 비밀은 미백이 아닌
'라미네이트'인 경우가 많습니다.
우리 치아는 겉면인 법랑질과
그 안의 노르스름한 상아질로 이루어져 있어요.

미백은 이 법랑질에 침착된 색소를
분해하는 과정이지,
치아 자체를 인공적인 흰색으로
페인트칠하는 것이 아니거든요~

즉, 미백은 타고난 치아 본연의 색조 내에서
최대한 맑고 환하게 만드는 것이라고
생각해주시면 이해가 빠르실 거에요!
정말 A4용지처럼 하얀 색상을 원한다면
치아 겉면에 라미네이트로 치아 자체의 색상을
바꿔야 해요~

무리하게 미백만 반복하다 보면
치아 시림이나 잇몸 자극 같은
부작용이 생길 수 있기에,
저는 환자분이 가진 '자연스러운 아름다움' 내에서
최적의 색을 찾는 것이 훨씬 중요하다고 생각합니다.
왜 사람마다 미백 결과가 다를까요?
명일동 치과, 미백하면 연예인 치아처럼 새하얘진다는 말,
저는 못하겠습니다.
"제 친구는 미백하고 정말 환해졌는데,
저는 왜 이렇게 누렇죠?"
이건 피부에 똑같은 화이트닝 제품을 바른다고 해서
모두가 같은 피부색이 되지 않는 것과 비슷합니다.
환자분마다 치아의 밀도, 두께, 타고난
상아질의 색상이 모두 다르기 때문에
치아 마다 고유의 색상 차이가 날 수 밖에 없답니다.
미백은 이렇게 진행돼요.
명일동 치과, 미백하면 연예인 치아처럼 새하얘진다는 말,
저는 못하겠습니다.
치과에서 하는 미백은
치아와 잇몸의 안전을 지키는 선에서
차근 차근 단계를 거치게 되는데요~
현재 치아 색상을 기준표와 대조하여 정확히
측정하고 목표치를 상의합니다.

고농도 미백제가 연약한 잇몸에 닿지 않도록
특수 보호제를 꼼꼼히 도포합니다.
(잇몸을 보호하고 통증을 줄이는 핵심 단계!)

치아 표면에 미백제를 바른 뒤
광선을 조사합니다.
보통 1520분씩 23회 반복하며
색 변화를 실시간으로 확인하고
시림 방지 처리를 하며 마무리합니다.
반복해서 많이 하면 계속 하얘질까요?
명일동 치과, 미백하면 연예인 치아처럼 새하얘진다는 말,
저는 못하겠습니다.
간혹 환자분들께서
미백을 반복적으로 많이 하면
더 하얘지는지 여쭤보시곤 하는데요~
답은 "맞을 수도 있고, 아닐 수도 있다!"
입니다.
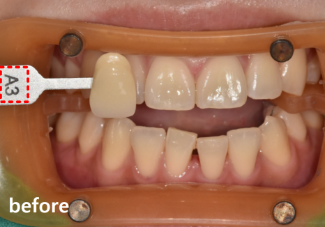
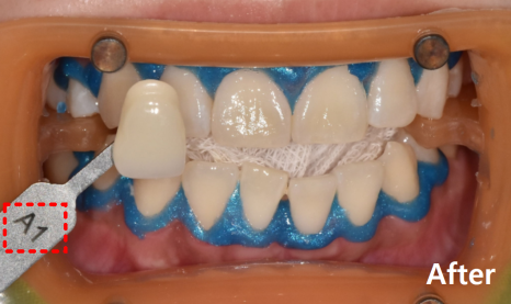
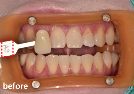
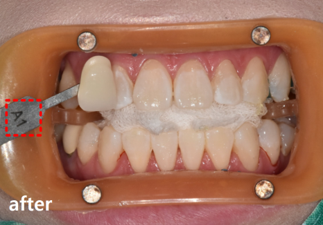
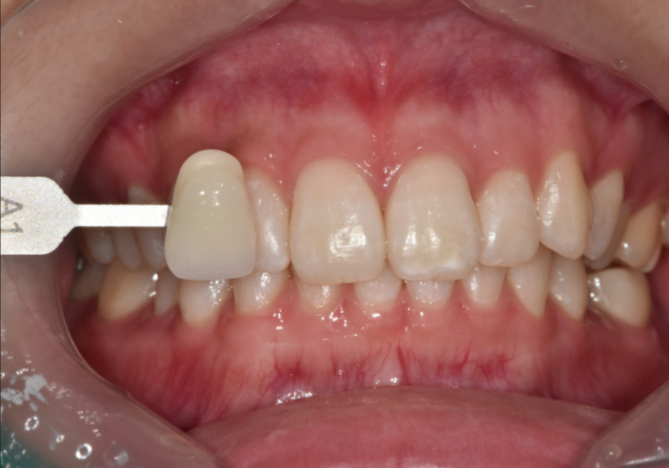
저희가 사용하는
치아 색상 기준표(Shade Guide)를 보면
숫자가 작을수록 더 밝은 색상을 의미합니다.

만약 현재 환자분의 치아 색상이
A4나 A3처럼 누런 기가 많이 도는 상태라면,


2~3회 정도 반복해서 미백을 진행했을 때
자연치가 가질 수 있는


가장 밝은 단계인 A1까지
충분히 환해질 가능성이 큽니다.
(물론 이것도 치아마다 다를 수 있어요^^)
하지만 이미 가장 밝은 A1 단계의 밝기에
도달해 있는 상태라면 ?

그 이후부터는 100번을 반복한다고 해도
라미네이트를 한 것 같은 인공적인 흰색으로
더 이상 넘어가지 않아요~
즉, 결론은 미백으로는 한계가 있다!
연예인 치아처럼 새하얘진다는 말로
환자분을 현혹하기는 쉽습니다.
하지만 저는 그런 무책임한 말은 못 하겠습니다.
제가 생각하는 가장 성공적인 미백은,
남들이 보기에 어딘가 모르게
인상이 깔끔하고 환해졌다~라고
느낄 정도의 자연스러운 밝기를 찾는 것입니다.
과잉 진료 없이, 환자분의 치아 상태에서
도달할 수 있는 '최선의 밝기'가
어디까지인지 정직하게 진단해 드릴게요.
오늘도 긴 글 읽어주셔서 감사합니다. ^^
▼치과 위치 확인▼
명일동 치과, 미백하면 연예인 치아처럼 새하얘진다는 말, 저는 못하겠습니다.
| 예약 전화하러 가기 |
|---|
| 02-481-4278 |
| 본 게시물은 의료광고 법 제56조 1항을 준수하여의료 정보 제공 목적으로 서울 바르디 치과에서 직접 작성하였습니다.제공된 정보는 참고만 하실 것을 권유 드리며 증상 파악 및 정확한 관리 방법은 의료기관에 내원 후 의료진을 통해 안내받으시길 바랍니다.치과에서 진행되는 모든 시술 / 수술은 개인에 따라 (염증, 출혈, 부기 등) 가능성이 있습니다.사전에 의료진과 충분한 상담을 통해 결정하시길 바랍니다.게시물의 치료 사례는 실제 본원에서 치료를 마친 환자분들의 동의하에촬영되었으며 전, 후 사진은 동일 조건에서 촬영되었습니다. |