아카이브 요약
이 페이지의 역할
서울바르디치과의원의 네이버 블로그 원문을 보존한 아카이브 페이지입니다. 3D 네비게이션 임플란트 카테고리의 애써 심어둔 임플란트, 교체해야 된다구요? 냄새가 난다면 확인해보세요. 글을 통해 병원의 한국어 정보 제공 방식과 진료 관련 안내 톤을 확인할 수 있습니다.
원문 검증
필요하면 원문 블로그와 병원 프로필로 바로 이동해 문맥을 다시 확인할 수 있습니다.
출처 아카이브 열기아카이브된 블로그 글
서울바르디치과의원 · Naver Blog
애써 심어둔 임플란트, 교체해야 된다구요? 냄새가 난다면 확인해보세요. 안녕하세요. 서울바르디치과 원장입니다. "임플란트한 곳에서 자꾸 냄새가 나요." "음식물도 예전보다 너무 많이 끼고, 가끔 욱신거리는 것 같은데... 이거 다시 해야 하나요?" 큰맘 먹고 심은 임플란트인데, 갑자기...
게시일
2026년 4월 13일
원문 기준으로 확인된 발행일입니다.
카테고리
3D 네비게이션 임플란트
원문 블로그 카테고리를 정리해 함께 표시합니다.
이미지 수
15
현재 아카이브에 연결된 이미지 수입니다.
아카이브 요약
서울바르디치과의원의 네이버 블로그 원문을 보존한 아카이브 페이지입니다. 3D 네비게이션 임플란트 카테고리의 애써 심어둔 임플란트, 교체해야 된다구요? 냄새가 난다면 확인해보세요. 글을 통해 병원의 한국어 정보 제공 방식과 진료 관련 안내 톤을 확인할 수 있습니다.
원문 검증
필요하면 원문 블로그와 병원 프로필로 바로 이동해 문맥을 다시 확인할 수 있습니다.
출처 아카이브 열기안녕하세요.
서울바르디치과 원장입니다.
"임플란트한 곳에서 자꾸 냄새가 나요."
"음식물도 예전보다 너무 많이 끼고,
가끔 욱신거리는 것 같은데...
이거 다시 해야 하나요?"
큰맘 먹고 심은 임플란트인데,
갑자기 냄새가 나거나 불편함이 생기면
덜컥 겁부터 나실 겁니다.
혹시나 '잘못 심은 건 아닐까',
'다시 뽑아야 하나' 하는 생각이 드실텐데요~
임플란트 자체에는 신경이 없기 때문에,
냄새가 나거나 고름이 보이는 증상은
이미 잇몸 속에서 상당한 문제가
진행되었다는 신호일 수 있습니다.
오늘은 임플란트 주위염으로 인해
임플란트를 교체해야 했던
안타까운 사례를 소개해드릴게요.
임플란트에서 왜 냄새가 날까요?
애써 심어둔 임플란트, 교체해야 된다구요?
냄새가 난다면 확인해보세요.
임플란트 자체는 금속이라 썩지 않지만,
그 주변을 감싸는 잇몸과 뼈는 이야기가 다릅니다.
이를 전문 용어로 '임플란트 주위염'이라고 불러요.


자연치아에 잇몸병(풍치)이 생기듯,
임플란트 주변에 세균이 번식하면서
염증이 생기는 현상인데요~
임플란트 주위염이 특히 무서운 이유는
통증 없이 조용하게 주변 뼈를 녹이기 때문입니다.

그래서 많은 분들이 이미 상황이 심각해진 후에야
저희 치과를 찾아오시곤 하죠.
결국 공들여 심은 임플란트를 포기하고
제거해야 하는 안타까운 상황이 발생하게 됩니다.
임플란트 주위염으로 결국 제거 후 재식립한 사례
애써 심어둔 임플란트, 교체해야 된다구요?
냄새가 난다면 확인해보세요.
얼마 전 왼쪽 아래 임플란트 끝부분이 깨져서
내원하신 환자분이 계셨어요.

깨진 것도 문제였지만,
예전에 비해 음식물도 너무 잘 끼고
불쾌한 냄새가 나는 것 같다고 말씀해주셨는데요~
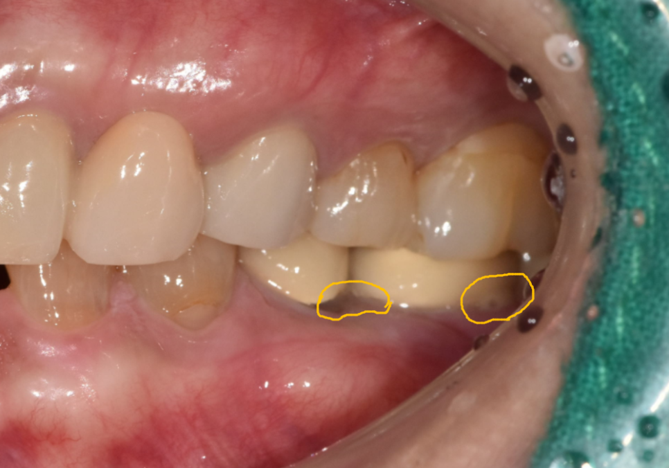
입안을 자세히 살펴보니,

보철물이 많이 닳아 낮아지면서
임플란트 나사 구멍이 드러나 있었고,
주변 잇몸은 붉게 부어올라
살짝만 건드려도 고름이 배어 나오는 상태였습니다.

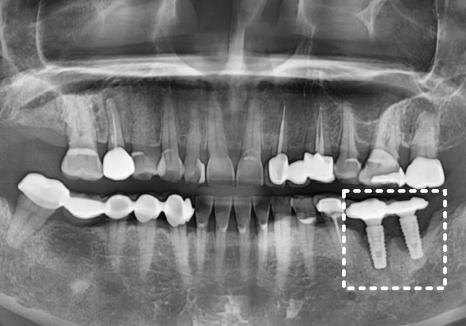
방사선 사진을 살펴보니,
임플란트 주변 뼈가 이미
상당히 소실되어 있는 상태....

CT 상에는 임플란트 뿌리의
약 2/3 정도의 뼈가 녹아,
뿌리 끝부분만 간신히 뼈에 매달려 있는 것을
확인할 수 있었어요.

그간 아프지도 않았는데
왜 이렇게 뼈가 녹았을까?
차라리 통증이라도 있었다면
더 빨리 알아채고 치과를 찾으셨을 텐데...
하는 안타까운 마음이 듭니다.ㅜㅜ
앞서 말씀드렸듯이,
임플란트 주위염은 별다른 통증 없이
조용하게 뼈를 녹입니다.
자각 증상이 없다는 점,
바로 그게 임플란트 주위염이
진짜 무서운 이유죠..!
임플란트 주위염은 한 번 시작되면
아래와 같은 '악순환의 굴레'에 빠지게 됩니다.
염증 발생: 임플란트 주변 관리가 소홀해지며 주위염이 시작됩니다.

잇몸뼈 소실: 염증이 깊어지며 임플란트를 지탱하는 뼈를 녹이기 시작합니다.

빈 공간 형성: 뼈가 녹아버린 자리에 틈이 생기면서 음식물 찌꺼기가 더 깊숙이 침투합니다.

악순환 반복: 관리는 점점 더 힘들어지고, 뼈는 더욱 빠른 속도로 녹아내립니다.
이 상태를 방치하면 임플란트가
저절로 빠지는 것은 물론,
그 옆에 있는 건강한 자연치아의 뼈까지
함께 녹여버리는 악영향을 끼치게 됩니다.
그래서 더 큰 피해를 막기 위해
빠르게 임플란트 교체를 결정했습니다.
치료 결과
애써 심어둔 임플란트, 교체해야 된다구요?
냄새가 난다면 확인해보세요.
염증의 근원인 기존 임플란트 뿌리를
깨끗하게 제거하고,


다행히 남은 뼈의 상태를 고려하여
당일 즉시 새로운 임플란트 식립을 도와드렸습니다.
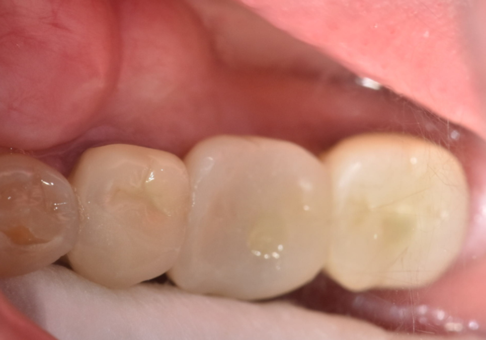
그로부터 약 3개월 후,
임플란트 뿌리와 잇몸뼈가
단단하게 하나로 굳어진 것을 확인한 뒤,

강도와 심미성이 뛰어난 지르코니아 보철물을
올려 치료를 마무리해 드렸습니다. ^^

애써 심어둔 임플란트를 다시 해야 한다는 말을
들으면 누구나 밤잠 설치며 고민하실 겁니다.
물론 모든 임플란트를
교체해야 하는 건 아니지만,
안 되는 것을 억지로 붙들고 있는 것은
주변 치아까지 망가뜨리는 결과를
초래할 수 있습니다.
임플란트 주변에서 자꾸 냄새가 나거나
잇몸이 붓는다면
"피곤해서 그렇겠지" 하고 넘기지 마세요.
임플란트라는 대안보다 더 중요한 것은,
현재 내 구강 건강을 지키는 정직한 진단입니다.
과잉 진료 없이 정직하게 진단하여,
정말 교체가 필요한 상황인지
아니면 다른 방법으로 살릴 수 있는지부터
꼼꼼하게 따져보겠습니다.
오늘도 긴 글 읽어주셔서 감사합니다.^^
▼치과 위치 확인▼
애써 심어둔 임플란트, 교체해야 된다구요? 냄새가 난다면 확인해보세요.
| 예약 전화하러 가기 |
|---|
| 02-481-4278 |
| 본 게시물은 의료광고 법 제56조 1항을 준수하여의료 정보 제공 목적으로 서울 바르디 치과에서 직접 작성하였습니다.제공된 정보는 참고만 하실 것을 권유 드리며 증상 파악 및 정확한 관리 방법은 의료기관에 내원 후 의료진을 통해 안내받으시길 바랍니다.치과에서 진행되는 모든 시술 / 수술은 개인에 따라 (염증, 출혈, 부기 등) 가능성이 있습니다.사전에 의료진과 충분한 상담을 통해 결정하시길 바랍니다.게시물의 치료 사례는 실제 본원에서 치료를 마친 환자분들의 동의하에촬영되었으며 전, 후 사진은 동일 조건에서 촬영되었습니다. |