
안녕하세요 라나입니다
치아교정치료를 시작하게 되면
일부 장치(투명교정 등)를 제외하고는
치아 표면에 브라켓을 붙이게 되는데요

이로 인해 칫솔과 양치질 방법 모두
달라지게 됩니다. 치아 가운데 브라켓이
붙어있기 때문에 일반 칫솔을 사용하게 되면
칫솔모가 금방 상해 제대로 쓸 수 없게 되죠
그래서 치아교정 치료자를 위한 교정칫솔이
필요한 것입니다. 교정칫솔은 칫솔 가운데가
V자 모양으로 패여 있어 칫솔질을 보다
원활하게 해 주죠
사실 교정장치가 치아에 붙어있게 되면
치아와 장치 사이에 음식물이 끼기 쉽게 됩니다
이런 음식물이 제때 제거되지 않는다면 충치는 물론
치아의 변색, 잇몸의 염증 등을 유발할 수 있어
교정치료를 하는 경우 칫솔질에 더욱 더 신경을
쓰는 것이 좋습니다.

자 그럼 양치질 방법을 차근차근 알아볼까요
먼저 앞니입니다. 교정칫솔의 가운데 홈이 있는 곳으로
교정장치를 감싼다고 생각하고 좌, 우로 진동을 준다고
생각하며 닦아 냅니다. 장치 아랫부분은 칫솔을 비스듬히
하여 올려 닦고, 치아의 안쪽의 경우 칫솔을 세워 잇몸에서
치아 방향으로 올리며 닦아 냅니다.
다음은 어금니입니다. 홈이 있는 곳으로 교정장치를 감싸는
것은 윗니와 같습니다. 좌, 우로 진동을 주듯 닦아내고
장치 아랫부분과 윗부분 모두 칫솔을 비스듬히 하여 진동을
주면서 닦아 냅니다. 안쪽면은 잇몸에서 치아 방향으로
씹는 면은 진동을 주듯 닦아 냅니다.
이렇게 꼼꼼히 칫솔질을 해도
치아 사이사이, 장치 사이사이에 낀 음식물을
제거하기 쉽지 않은 경우가 있습니다.
이럴 때는 치간칫솔과 치실을 사용하면 좋은데요

치간칫솔은 다양한 크기가 나와 있는데요
본인에게 맞는 것을 쓰지 않으면 잇몸에 상처를
내거나 벌어질 수 있기 때문에 잘 골라 사용해야 합니다.
브라켓과 브라켓 사이 와이어 아래로 치간칫솔을 넣어
빠지지 않는 음식물들을 제거해주면 됩니다.
치아 사이사이도 빼 놓아선 안 되겠죠

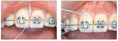
다음은 치실 사용법입니다. 칫솔과 치간칫솔로도
해결되지 않는 문제의 경우 치실을 사용하면
대부분 해결됩니다.
치실을 와이어 안쪽으로 넣고 치아와 평행하게
잡아준 뒤 치아 사이에 치실을 넣고
잘 빠지지 않는 음식물 찌꺼기를 빼 내면 됩니다.
자 지금까지 치아교정 시 칫솔질 방법 및
치간칫솔, 치실 사용법을 알아봤습니다.
교정치료를 할 때는 이전보다 충치가 생길
확률이 높아지는 만큼, 보다 더 신경써서 관리해주셔야 한다는 점
잊지 마세요!