아카이브 요약
이 페이지의 역할
서울디아치과의원의 네이버 블로그 원문을 보존한 아카이브 페이지입니다. 보철 치료 카테고리의 마곡동치과_3. 인레이 치료 과정과 소요 시간 (feat. 저스트 스캔) 글을 통해 병원의 한국어 정보 제공 방식과 진료 관련 안내 톤을 확인할 수 있습니다.
원문 검증
필요하면 원문 블로그와 병원 프로필로 바로 이동해 문맥을 다시 확인할 수 있습니다.
출처 아카이브 열기아카이브된 블로그 글
서울디아치과의원 · Naver Blog
안녕하세요, 마곡동 서울디아치과입니다. 벌써 인레이 시리즈 3편까지 왔습니다! 혹시 어제 포스팅을 아직 못 보신 분이 계시다면? 괜찮습니다. 2편에서는 인레이 재료별 특징과 가격에 대해 비교해드렸어요. 선택 고민되신다면 아래 링크를 참고해 주세요. 치과 치료 앞에 두려움이 생기는 이유는 ‘모르는 과정’에서 오는 불안이...
게시일
2025년 7월 3일
원문 기준으로 확인된 발행일입니다.
카테고리
보철 치료
원문 블로그 카테고리를 정리해 함께 표시합니다.
이미지 수
7
현재 아카이브에 연결된 이미지 수입니다.
아카이브 요약
서울디아치과의원의 네이버 블로그 원문을 보존한 아카이브 페이지입니다. 보철 치료 카테고리의 마곡동치과_3. 인레이 치료 과정과 소요 시간 (feat. 저스트 스캔) 글을 통해 병원의 한국어 정보 제공 방식과 진료 관련 안내 톤을 확인할 수 있습니다.
원문 검증
필요하면 원문 블로그와 병원 프로필로 바로 이동해 문맥을 다시 확인할 수 있습니다.
출처 아카이브 열기안녕하세요, 마곡동 서울디아치과입니다.
벌써 인레이 시리즈 3편까지 왔습니다!
혹시 어제 포스팅을 아직 못 보신 분이 계시다면?
괜찮습니다.
2편에서는 인레이 재료별 특징과 가격에 대해 비교해드렸어요.
선택 고민되신다면 아래 링크를 참고해 주세요.
치과 치료 앞에 두려움이 생기는 이유는
‘모르는 과정’에서 오는 불안이 크기 때문입니다.
“몇 번이나 가야 하고 마취는 얼마나 아플까?”
“혹시 씌우는 거랑 똑같이 힘든 거 아냐?”
이러한 생각만으로 걱정이 쌓이죠.
하지만 인레이 치료는 단계가 명확하고 비교적 간단한 보철 치료입니다.
과정을 알고 나면, ‘아 이 정도면 할 만하네’ 싶어질 겁니다.
자, 그럼 지금부터 인레이 보철치려 과정을 하나씩 살펴볼게요.
인레이 보철치료, 이렇게 진행됩니다!
1단계. 진단 및 치료 계획 수립

마곡동치과_진단 및 계획
처음 내원 시 우선 충치 범위, 위치, 진행 정도를 진단합니다.
엑스레이 촬영, 구강 내 사진 등을 활용해
레진 치료가 가능한지, 인레이가 필요한지를 정확히 판단하죠.
충치가 상아질까지 진행되었거나,
씹는 면 전체에 넓게 퍼져 있다면 인레이 치료를 계획하게 됩니다.
이 단계에서 인레이 재료도 함께 결정하게 되는데요,
앞서 2편에서 안내해드렸듯이 치아 위치와 예산, 심미성 등을 종합해 맞춤형 선택이 이루어집니다.
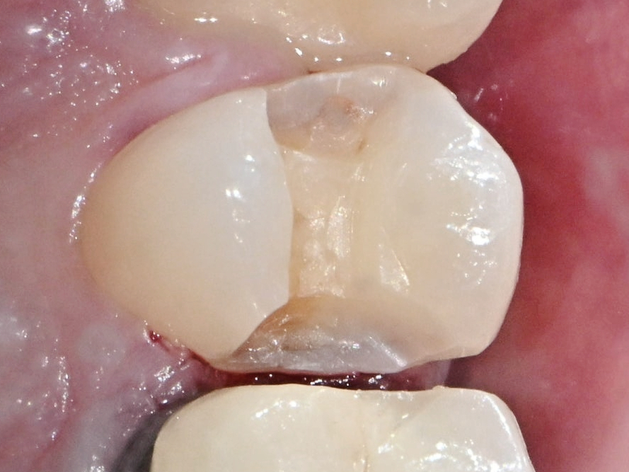
2단계. 충치 제거 & 이빨 모양 성형

마곡동치과_충치 삭제
본격적인 치료는 충치를 깨끗하게 제거하는 것부터 시작됩니다.
마취 후, 썩은 부위를 삭제하고 그 부위에 정확히 맞는
맞춤형 인레이 보철물이 들어갈 수 있도록 치아 모양을 매끄럽게 다듬습니다.
이때 삭제 범위는 최소한으로 보존적으로 진행되기 때문에
자연치아 손상이 크지 않고, 마취 통증도 비교적 덜한 편입니다.
3단계. 디지털 스캔 또는 본뜨기(인상채득)

마곡동치과_구강 스캐너 인상채득
치료 부위를 삭제하고 나면
보철물을 제작하기 위한 작업에 들어갑니다.
일반적으로는 실리콘 같은 재료로 ‘본을 뜨는’ 방식으로진행됩니다.
하지만 서울디아치과에서는 구강 스캐너로 이용합니다.
디지털 스캔은 불쾌한 이물감 없이 단 몇 분 만에
구강 구조를 3D로 정밀하게 분석할 수 있어 환자 만족도가 굉장히 높습니다.
그리고 ‘저스트 스캔(Just Scan)’ 디지털 방식을 도입해
더 빠르고 정확하게 맞춤형 보철물을 제작합니다.
4단계. 임시 충전으로 치아 보호

마곡동치과_임시 인레이 적용
당일 인레이 시스템이 아닌 경우는
보철물이 만들어지는 동안,
치아 보호를 위해 임시로 충전을 해줍니다.
이때는 씹는 힘을 너무 강하게 주지 않도록 주의하며
음식물 섭취에도 약간의 제한이 필요할 수 있습니다.
하지만 일상생활에는 큰 불편이 없도록
기능적 최소 보호는 이뤄지니 걱정하지 않으셔도 됩니다.
5단계. 최종 인레이 장착 & 교합 조정

마곡동치과_인레이 부착
드디어 제작된 인레이가 치과에 도착하면
임시 보철을 제거하고 정밀하게 인레이를 맞춰봅니다.
교합(씹는 힘의 균형)이 잘 맞는지, 치아 사이에 음식물이 낄 틈은 없는지,
접착 상태는 안정적인지 등을 꼼꼼히 체크한 뒤 최종 접착에 들어갑니다.
이후 마무리 광택 처리까지 완료되면,
진짜 ‘내 이빨 같은 느낌’의 인레이가 완성됩니다.
인레이 보철 치료 시간과 내원 횟수는?

마곡동치과_저스트스캔을 이용한 보철물 제작
마곡동 서울디아치과처럼
‘저스트 스캔’을 활용하는 경우엔 당일 1회 치료 가능합니다.
즉, 아침에 오셔서 진단 → 충치 제거 → 스캔 → 인레이 제작 → 부착까지
단 하루 안에 끝나는 치료가 가능하죠.
이건 시간적 여유가 부족한 직장인이나 학업 중인 학생에게는 굉장히 큰 장점입니다.
하지만 전통적인 방식(본뜨기)을 사용하고 ‘저스트 스캔’ 활요하지 않는다면
기공소에서 보철물을 제작하는 추가적인 시간이 소요되어 기본 2회 내원 필요합니다.
1차: 충치 제거 + 본뜨기 + 임시 인레이
2차: 5~7일 후 보철 부착
하지만 환자 상태와 보철물 종류, 기공소 상황에 따라 세부 일정은 조정될 수 있습니다.
서울디아치과는 ‘당일 인레이’ 가능합니다!
서울디아치과는 구강 스캐너 기반의 Just Scan 시스템으로
보다 빠르고 정밀한 당일 인레이 치료를 제공합니다.
불필요한 내원 횟수를 줄이고 치료 시간도 단축해
환자의 시간과 부담을 모두 줄이는 스마트 진료를 추구합니다.
오늘은 인레이 치료가 어떤 과정을 거쳐 이루어지는지,
실제 치과 진료실 안에서 벌어지는 하나하나의 단계를 함께 따라가 봤습니다.
“생각보다 덜 아프네?”
“시간도 그리 오래 안 걸리네?”
이런 느낌, 조금이라도 전해졌다면 이 글은 충분히 역할을 다한 거라 생각합니다.

마곡동치과_디아치과
자, 다음 4편에서는 인레이 치료 후 통증에 대해 다룰 예정입니다.
치료 후에는 통증이 생기는 이유와 대처법까지!
깔끔하게 정리해도 돌아옵니다.
언제? 바로 내일이요~^^
지금까지 마곡동 디아치과였습니다,
오늘하루도 행복하세요.
[ 본 포스팅은 의료법에 의거하여, 치과 수술 및 시술에 대한 올바른 정보를 안내하기 위한 목적으로 작성되었습니다. 수술 후 감염 및 부작용이 생길 수 있으니 실력 있는 의료진과, 충분한 상담 후 수술(시술)을 결정해야 합니다. ]
[ 마곡역 디아치과 인레이 시리즈 ]
Inlay 적응증
Inlay 재료 종류
Inlay 치료과정 (feat. 저스트 스캔)
Inlay 치료 후 통증 원인과 대처
Inlay 보철물 탈락 원인
Inlay 치료 후 주의사항