아카이브 요약
이 페이지의 역할
서울디아치과의원의 네이버 블로그 원문을 보존한 아카이브 페이지입니다. 충치 치료 카테고리의 마곡역치과_“바니시, 이렇게 진행됩니다!” [3. 치과 불소도포 과정] 글을 통해 병원의 한국어 정보 제공 방식과 진료 관련 안내 톤을 확인할 수 있습니다.
원문 검증
필요하면 원문 블로그와 병원 프로필로 바로 이동해 문맥을 다시 확인할 수 있습니다.
출처 아카이브 열기아카이브된 블로그 글
서울디아치과의원 · 서울디아치과의원
안녕하세요. 입속 작은 변화도 그냥 지나치지 않는 마곡역 서울디아치과입니다. 불소 시리즈의 3편에 들어가기 전에, 지난 2편 기억나시나요? 불소치약, 가글, 바니시까지 종류가 너무 많아서 “이걸 다 언제 외워요…?” 하셨던 분들, (굳이 외울거 까지야~ㅋㅋㅋ) 혹시라도 놓치셨다면 아래에서 살짝 복습하고 오셔도 좋습니다...
게시일
2025년 11월 27일
원문 기준으로 확인된 발행일입니다.
카테고리
충치 치료
원문 블로그 카테고리를 정리해 함께 표시합니다.
이미지 수
6
현재 아카이브에 연결된 이미지 수입니다.
아카이브 요약
서울디아치과의원의 네이버 블로그 원문을 보존한 아카이브 페이지입니다. 충치 치료 카테고리의 마곡역치과_“바니시, 이렇게 진행됩니다!” [3. 치과 불소도포 과정] 글을 통해 병원의 한국어 정보 제공 방식과 진료 관련 안내 톤을 확인할 수 있습니다.
원문 검증
필요하면 원문 블로그와 병원 프로필로 바로 이동해 문맥을 다시 확인할 수 있습니다.
출처 아카이브 열기안녕하세요.
입속 작은 변화도 그냥 지나치지 않는
마곡역 서울디아치과입니다.
불소 시리즈의 3편에 들어가기 전에,
지난 2편 기억나시나요?
불소치약, 가글, 바니시까지 종류가 너무 많아서
“이걸 다 언제 외워요…?” 하셨던 분들,
(굳이 외울거 까지야~ㅋㅋㅋ)
혹시라도 놓치셨다면 아래에서 살짝 복습하고 오셔도 좋습니다.
이제 본론으로 돌아와서,
오늘 이야기에 집중해보죠!!!
그래서 이번 3편은
딱 한 가지, ‘바니시 과정’에만 올인합니다.
직접 받기 전, 어떤 방식인지
머릿속에 그림처럼 그려지도록
핵심만 아주 쉽고 현실적으로 풀어드릴게요.
불소도포(바니시), 이게 뭔가요?
![마곡역치과_“바니시, 이렇게 진행됩니다!” [3. 치과 불소도포 과정] 관련 이미지 1](https://pub-9f2bb3498faf4d1d8714b41df24753e3.r2.dev/content/clinics/archive/rlg13v0fli/naver_blog/dia_dental/assets/by_hash/2e092c3159a471fdac4aa4e6aabd60795161bbd7303aa5cb8331ffa40dc68cf1.png)
마곡역치과_불소 바니시
집에서 사용하는 불소치약보다
약 15~20배 농도가 높은 ‘전문 불소 코팅’입니다.
바니시는 치아 표면에 바르면
침과 만나면서 바로 굳어
법랑질을 단단하게 강화하고
시린 감각을 빠르게 차단하는 역할을 합니다.
빠르죠.
효과도 높죠.
그리고 무엇보다 안 아픕니다.
불소도포(바니시),
이렇게 진행됩니다!
불소바니시, 실제 진행 과정은 딱 ‘3~5분’입니다
아래 순서 그대로 진행되며,
마취도 필요 없고, 통증도 없습니다.
진료실에서 가장 빠르게 끝나는 치료 중 하나입니다.
1단계. 치아 표면을 ‘건조시키기’
![마곡역치과_“바니시, 이렇게 진행됩니다!” [3. 치과 불소도포 과정] 관련 이미지 2](https://pub-9f2bb3498faf4d1d8714b41df24753e3.r2.dev/content/clinics/archive/rlg13v0fli/naver_blog/dia_dental/assets/by_hash/4eb68686bf6a1974715ca259d727e5e3ba3658612ad87d58af4f48391b8cdfab.png)
마곡역치과_치아 표면 말리기
치아에 붙어 있던
침, 물기, 치면막(얇은 생체막)을 부드럽게 제거합니다.
왜 하냐면?
바니시가 더 잘 달라붙도록
코팅이 고르게 퍼지도록
지속력을 높이기 위해서 입니다.
칫솔질이나 스케일링처럼 시끄러운 과정은 아니고
바람이나 거즈, 스폰지로 가볍게 톡톡 정리하는 수준입니다.
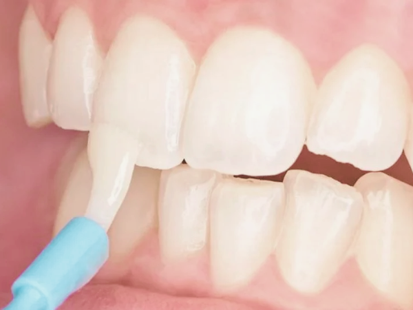
2단계. 바니시 ‘코팅’하기
![마곡역치과_“바니시, 이렇게 진행됩니다!” [3. 치과 불소도포 과정] 관련 이미지 3](https://pub-9f2bb3498faf4d1d8714b41df24753e3.r2.dev/content/clinics/archive/rlg13v0fli/naver_blog/dia_dental/assets/by_hash/7ecddef5bea2c4a73ba5dc42179ddbe187c7a143ea9a879a765c62bc129b6982.png)
마곡동치과_불소 도포
작은 붓(접착 브러시)으로
치아 표면에 얇게 스윽 바르면 끝입니다.
니스처럼 아주 얇게 발리고
치아 전체 또는 필요한 부위만 선택적으로 적용됩니다.
협조만 잘~된다면 과장 없이
바르는 데 30초도 안 걸길 정도로 간단합니다.
3단계. 침과 만나면 바로 ‘굳기’
![마곡역치과_“바니시, 이렇게 진행됩니다!” [3. 치과 불소도포 과정] 관련 이미지 4](https://pub-9f2bb3498faf4d1d8714b41df24753e3.r2.dev/content/clinics/archive/rlg13v0fli/naver_blog/dia_dental/assets/by_hash/8979602c86a7a25dbe4f3ff80bf80d8290b13e93f7cb944167a6ac23bca75a0f.png)
마곡역치과_코팅층 형성
바니시는 특수 성분이라
침이 닿으면 바로 굳어 보호막 코팅층이 형성됩니다.
별도로 건조 시간을 기다릴 필요 없습니다.
굳으면 이렇게 됩니다.
표면이 미끄럽고 코팅된 느낌이 나죠.
약간의 노란빛 혹은 반투명 빛은 정상입니다.
불소층이 치아를 감싸면서 하루종일 보호막 역할합니다.
정말로, 간단하죠?^^
불소도포(바니시),
얼마나 오래 갈까?
![마곡역치과_“바니시, 이렇게 진행됩니다!” [3. 치과 불소도포 과정] 관련 이미지 5](https://pub-9f2bb3498faf4d1d8714b41df24753e3.r2.dev/content/clinics/archive/rlg13v0fli/naver_blog/dia_dental/assets/by_hash/b628f2a48378b39fd804da7cb53a905212694bfec14527055845e20bb33f7cd0.png)
마곡역치과_바니시 유지기간
생각보다 “참 오래가는 스타일”입니다.
대부분 3~6개월 정도 효과가 유지되는데요,
사람마다 치아 상황과 생활 습관이 달라
권장 주기가 조금씩 달라집니다.
딱 이렇게 이해하시면 제일 쉽습니다.
→ 3개월이면 다시 보강하는 게 베스트!
→ 철사 사이 충치 위험 폭발 구간
→ 3개월 강력 추천!
→ 3~6개월 간격이 가장 안정적!
→ 6개월1년에 12회만 해도 매우 우수!
→ 치아가 한창 단단해지는 시기
→ 3개월 주기 루틴 추천!
특히 어린이, 청소년은
충치 진행 속도가 성인보다 훨씬 빠르기 때문에
정기적인 바니시가 “보험 같은 존재”라고 보셔도 됩니다.
짧은 시간 투자로 충치 가능성을 크게 낮출 수 있으니까요.
결론은 단순합니다.
“바니시는 3분 투자해서, 몇 달 동안 치아를 지켜주는 효자템”
그래서 많은 분들에게 늘 사랑받는 관리법입니다.
오늘의 내용 핵심 요약
바니시는 ‘전문 불소 코팅제’로 15~20배 강력
과정은 3~5분, 마취 없음, 통증 없음
치아 표면 정리 → 코팅 → 침과 만나 굳기
효과는 3~6개월 지속
![마곡역치과_“바니시, 이렇게 진행됩니다!” [3. 치과 불소도포 과정] 관련 이미지 6](https://pub-9f2bb3498faf4d1d8714b41df24753e3.r2.dev/content/clinics/archive/rlg13v0fli/naver_blog/dia_dental/assets/by_hash/40e8a1a0785911ef9f02d32c6ca96faf1cf8ef7a78f7d1fc3cddc4992a0c7250.jpg)
마곡역 서울디아치과
마곡역 서울디아치과는
“불소도포 받으세요”가 아니라
왜 해야 하는지, 어떤 과정인지, 누구에게 효과가 큰지
모두 정확히 설명드리고 진행합니다.
바니시는 간단하고 쉽게 접할 수 있는
치아 건강에는 확실하고의미 있는 변화입니다.
다음 편은 불소시리즈의 마지막!!
4편. 치과 불소도포 후 주의사항에 대해 알아보죠.
오늘도 행복한 하루되시고~
내일 알찬정보 준비해서 돌아올게요.^^
그럼~이만!!
[ 본 포스팅은 의료법에 의거하여, 치과 수술 및 시술에 대한 올바른 정보를 안내하기 위한 목적으로 작성되었습니다. 수술 후 감염 및 부작용이 생길 수 있으니 실력 있는 의료진과, 충분한 상담 후 수술(시술)을 결정해야 합니다. ]
[ 마곡역 서울디아치과 불소시리즈]
1편. 불소의 진짜 역할
2편. 불소의 종류와 상황별 선택법
3편. 치과불소도포(바니시) 진행과정
4편. 치과 불소 도포 후 주의사항